Click here to close
Hello! We notice that you are using Internet Explorer, which is not supported by Xenbase and may cause the site to display incorrectly.
We suggest using a current version of Chrome,
FireFox, or Safari.
???displayArticle.abstract???
In amphibian embryos, establishment of dorsal-ventral asymmetry is believed to involve dorsal-ventral differences in vegetally derived mesoderm-inducing signals and/or differences in the competence of animal hemisphere (ectodermal) cells to respond to these signals. Previous studies have shown that certain Wnt proteins can generate an ectopic dorsal axis when misexpressed, and that they do so by modifying the response of ectodermal cells to inducers. None of these Wnt proteins are expressed at an appropriate time to do so in vivo. In this study, we describe the isolation and characterization of a full length cDNA for the Xenopus Wnt gene, Xwnt-8b, whose biological activity and expression pattern suggest that it may be involved in establishment of the dorsoventral axis. Both maternal and zygotic Xwnt-8b transcripts undergo alternative splicing to generate mRNAs which encode two different forms of Xwnt-8b protein. During early cleavage stages Xwnt-8b transcripts are confined primarily to animal hemisphere blastomeres, while zygotically derived Xwnt-8b transcripts are restricted almost exclusively to a band of cells in the prospective forebrain of neurula and tailbud stage embryos. Ectopically expressed Xwnt-8b can completely rescue dorsal development of embryos ventralized by exposure to ultraviolet light, and can induce a complete secondary axis in wild-type embryos. Axis induction is observed only if Xwnt-8b is supplied prior to the onset of zygotic gene transcription. This biological activity, together with the presence of maternal Xwnt-8b transcripts in cells that will be induced to form the dorsal mesoderm, is consistent with the possibility that Xwnt-8b may be the endogenous agent that establishes asymmetry in the response of ectodermal cells to mesoderm-inducing signals, thereby initiating dorsal development.
Fig. 1. Comparison of predicted Xwnt-8b and Xwnt-8 protein sequences. Gaps introduced to
align the sequences are shown as dashes and identical residues are shaded.
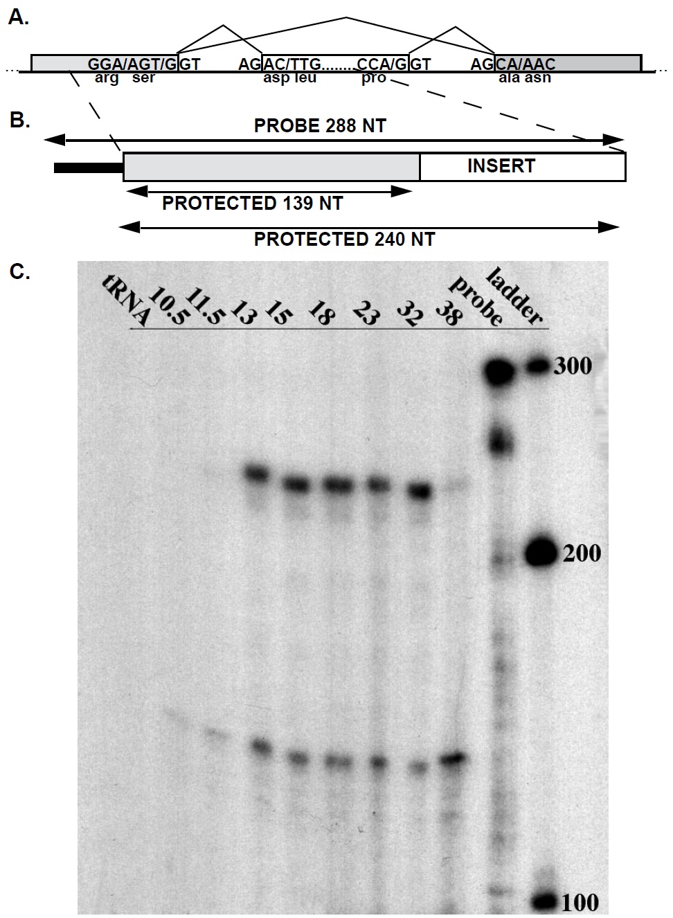
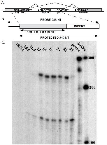
Fig. 2. Developmental expression of two Xwnt-8b transcripts generated by differential
splicing. (A) Schematic diagram of differential splicing event. Exons are shown as bars
and introns as lines. Nucleotides at the intron/exon borders match conserved consensus
sequences for eukaryotic splice sites (Mount, 1982) as shown. (B) Schematic diagram
of cDNA that was transcribed to generate a probe for ribonuclease protection analysis
of Xwnt-8b expression. Dotted lines indicate location of 5¢ and 3¢ limits of the probe
template relative to alternatively spliced exon. Solid bar represents vector sequence
included in unprotected probe. (C) Ribonuclease protection analysis of 10 μg of tRNA
or 50 μg of total RNA isolated from embryos at the developmental stage indicated at
the top of each lane (numbers refer to stages according to Nieuwkoop and Faber,
1967).
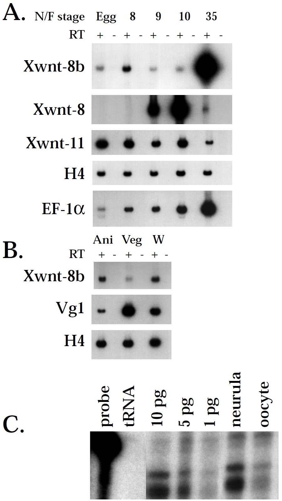
Fig. 3. Expression of maternal Xwnt-8b transcripts in eggs and cleaving
embryos. (A) Analysis by RT-PCR of the expression of Xwnt-8b, Xwnt-8,
Xwnt-11, Histone H4 (H4) and EF-1a in unfertilized eggs (Egg) and embryos at
the indicated stages (N/F: Nieuwkoop and Faber, 1967). (B) Analysis by RTPCR
of the expression of Xwnt-8b, Vg1 and Histone H4 in blastomeres isolated
from the animal (Ani) or vegetal (Veg) half of 8-cell embryos. For each RNA
sample, PCRs were performed on duplicate aliquots incubated with (+) or
without (-) reverse transcriptase (RT) as indicated above each lane. (C) RNase
protection assay for Xwnt-8b in total RNA samples from oocytes (100 mg) and
st. 18 neurulae (50 mg). Also included in the assay is in vitro synthesized Xwnt-
8b RNA at the amounts indicated.
Fig. 4. Localization of Xwnt-8b transcripts in neurula and tailbud stage embryos by whole-mount in situ hybridization. (A) Neurula (st. 21), and
(B) sagittal section of neurula stage embryo hybridized with a digoxigenin-labeled antisense Xwnt-8b probe showing signal at junction between
prospective prosencephalon and mesencephalon (arrowheads). (C) Low (left side) and high (right side) magnification views of whole tailbud
(st. 33) embryos hybridized with antisense Xwnt-8b probe. Staining of dorsal diencephalon (black arrowhead), forebrain-midbrain border
(white arrowhead) and dorsal mesencephalon (white arrow) is indicated. Embryo on right was stained overnight to visualize midbrain staining.
All of the blue signal with the exception of that indicated by arrows was also observed in embryos hybridized overnight with a sense probe
(data not shown) and is thus nonspecific staining. (D) Tailbud (st. 33) embryo hybridized with sense Xwnt-8b probe. Low (E,G) and high (F,H)
magnification views of sagittal sections of tailbud (st. 33) embryos showing Xwnt-8b expression in the dorsal diencephalon (arrowheads).
Fig. 5. Injection of synthetic RNA encoding Xwnt-8b into ventral blastomeres of 4-cell embryos induces formation of an anteriorly complete
secondary dorsal axis. Approximately 10 pg of Xwnt-8b RNA was injected near the marginal zone into ventral (A) or dorsal (B) blastomeres of
4-cell Xenopus embryos.