Click here to close
Hello! We notice that you are using Internet Explorer, which is not supported by Xenbase and may cause the site to display incorrectly.
We suggest using a current version of Chrome,
FireFox, or Safari.
???displayArticle.abstract???
The hedgehog family of signaling proteins is associated with a variety of spatial patterning activities in insects and vertebrates. Here we show that new members of this family isolated from Xenopus laevis are expressed embryonically in patterns suggestive of roles in patterning in the ectoderm, nervous system and somites. Banded hedgehog is expressed throughout the neural plate and subsequently in both the nervous system and in the dermatome of somites. Cephalic hedgehog is expressed in anteriorectoderm and endodermal structures, and sonic hedgehog is expressed in patterns which parallel those in other species. Injection of RNAs encoding Xenopus hedgehogs induces ectopic cement gland formation in embryos. Similar to reported activities of noggin and follistatin, Xenopus hedgehogs share a common ability to induce cement glands in animal cap explants. However, hedgehog activities in naive ectoderm appear capable of acting independently of noggin and follistatin since, although all three are induced by activin in animal cap explants, X-hh expression does not induce noggin or follistatin.
Fig. 2. Localization of X-hh transcripts during early development. Localizations of X-hh transcripts during development are revealed by in situ hybridization to embryos with antisense probes for X-bhh (A-D), X-shh (E-H), and X-chh (I-K). (A) Side view of an early gastrulaembryo (stage 10), with animal hemisphere up. X-bhh transcripts are localized to the sub-epithelial layer of the entire marginal zone (arrow). (B) Anterior view of a neurulaembryo (stage 14). X-bhh expression occurs throughout most of the neural plate, with strongest expression along the lateral border (arrows) and no expression along the midline (arrowhead). (C) Lateral view of a late neurulaembryo, after neural tube closure (stage 19/20). The most prominent domain of X-bhh expression is in the anterior of the embryo (arrow), with more diffuse expression observed posteriorly in the mesoderm. (D) Lateral view of a tailbudembryo (stage 28) with anterior toward the left. High levels of X-bhh transcripts are seen in specific structures of the head including the eye (e), otic vesicle (ov) and branchial arches (ba). X-bhh transcripts are also localized in a chevron-shaped band within each somite, predominantly within the dermatome (see text; data not shown). (E) Side view of an early gastrulaembryo (stage 10), with animal hemisphere up. X-shh transcripts are most prominent in the sub-epithelial layer of the entire marginal zone (the lower and upper arrows mark the dorsal and ventral sides of the embryo, respectively). With more extended incubation during the color reaction, lower level expression can be seen to extend over the animal hemisphere (not shown). (F) Anterior view of a neurulaembryo (stage 14). X-shh expression is restricted to the presumptive midline (arrowhead) and is absent from the rest of the neural plate (arrows). (G) Lateral view of a late neurulaembryo (stage 19/20) with anterior to the left. X-shh expression is in the notochord and ventral neural tube with the most prominent expression observed in an anterior domain (arrow). (H) Lateral view of a tailbudembryo (stage 29/30) with anterior toward the left. X-shh is expressed exclusively in cells of the notochord (n) and floorplate (fp) throughout the axis. Strong expression in the brain and other anterior structures persists. (I) Side view of an early gastrulaembryo (stage 10), with animal hemisphere up. X-chh expression extensively overlaps that of X-bhh and X-shh and is most prominent in a band of cells within the marginal zone (arrow). (J) Top view of a mid-neurulaembryo (stage 15/16) with anterior to the left. X-chh transcripts are most abundant in an extreme anterior domain of the embryo; the anterior portion of the neural plate is indicated by the arrows. (K) Lateral view of a tailbudembryo (stage 29/30) with anterior to the left. Low levels of X-chh transcripts are present in the pharyngeal cavity. (L) Side view of a tailbudembryo hybridized with a X-bhh sense probe as a control.
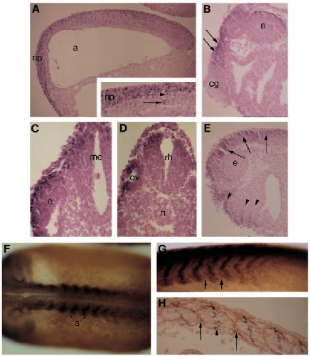
Fig. 3. Expression of X-bhh in mesoderm and ectodermal derivatives. Whole embryos, hybridized in situ with a probe specific for X-bhh transcripts, were embedded in paraffin and sectioned (see Materials and methods). (A) Sagittal section of a stage 14 neurula with anterior to the left. X-bhh transcripts are most prominent in the sub-epithelial and epithelial layers of the neuroectoderm but are also present at lower levels in the underlying chordamesoderm (see arrows in the insert), (np) neural plate, (a) archenteron. (B) Parasagittal section through the head of a stage 28 tailbudembryo with anterior to the left. X-bhh-expressing cells are seen in the sub-epithelial layer of the ectoderm (arrows), just dorsal to the cement gland (cg); (e) eye. (C) Transverse section of a stage 28 embryo at the level of the eye (e). X-bhh expression is found in both the superficial and deep layers throughout the roof of the mesencephalon (me). Expression is also observed prominently in the prospective retinal layer of the eye vesicle (e). (D) Transverse section of a stage 28 embryo at the level of the otic vesicle (ov). X-bhh expression is seen in the dorsal roof of the rhombencephalon (rh), and in the epithelial layer of the ectoderm. Expression is also prominent in the otic vesicle (ov), (n), notochord. (E) Para-sagittal section through the head of a stage 28 embryo with anterior to the left. X- bhh transcripts are detected in the dorsal mesencephalon and rhombencephalon (arrows) and in the branchial arches (arrowheads). (F) Dorsal view of a whole tailbudembryo (stage 23) with anterior to the left. The embryo has been double-labeled by in situ hybridization with a probe specific for X-bhh transcripts prior to immunostaining with monoclonal antibody 12/101, specific for the myotomal portion of the somite (Kintner and Brockes, 1984). A block of two adjacent somites (s) is delimited by the arrows. (G) Lateral view of the embryo in F, at higher magnification, and with anterior to the left. The brown 12/101 stain highlights the myotome of each somite (area between two arrows); the dark blue X-bhh stain is localized to a single central portion of the dermatome of each somite (see text; data not shown). (H) Glancing section in the plane of the dermatome of an embryo similar to that in F with anterior to the left. The arrows demarcate the boundaries of a single somite and the arrowhead denotes X-bhh staining.
Fig. 4. Injection of X-bhh mRNA induces enlarged and ectopic anterior ectodermal and neural structures. Embryos at the two cell stage were injected with synthetic lacZ (A,C) or X-bhh mRNA and the resulting tadpoles were subjected to whole-mount in situ hybridization with probes for the XAG-1 cement gland marker (A,B) and the XANF-2 anteriorpituitary gland marker (C,D) (see Materials and methods). lacZ-injected embryos display wild-type patterns of XAG-1 (A) and XANF-2 (C) expression; X-bhh-injected embryos, in contrast, display enlarged (white arrows in B and D) and ectopic (arrowheads in B) cement glands and an expanded region of labeling with the anteriorpituitary marker (compare dark arrows in C and D). Normal and expanded cement glands in panels C and D (white arrows) are visible due to natural pigmentation. (E) Embryos co- injected with lacZ and X-bhh RNAs into both dorsal tier one cells of the 32 cell embryo develop with foci of XAG-1 expression (arrowheads) in only a subset of cells expressing β-galactosidase (red-brown stained cells beneath the bracket).
Fig. 5. Cement gland induction in animal cap explants from X- bhh-injected embryos. (A) Uninjected tailbudembryo stained for expression of the cement gland marker XAG-1 by in situ hybridization (white arrow). (B) Histological section of a stage 25-equivalent animal cap explant from an uninjected embryo stained for XAG-1. (C) Histological section of stage 25-equivalent animal cap explant from a lacZ mRNA- injected embryo stained for XAG-1. (D) Animal caps from X-bhh-injected embryos, cultured until siblings reached stage 25 and stained for XAG-1. (E) Histological section of one of the explants shown in D demonstrating foci of cement gland formation (white arrowheads). (F) Histological section of a X-bhh-injected animal cap showing the densely packed columnar morphology characteristic of cement gland secretory cells (bracket).