Click here to close
Hello! We notice that you are using Internet Explorer, which is not supported by Xenbase and may cause the site to display incorrectly.
We suggest using a current version of Chrome,
FireFox, or Safari.
Bone morphogenetic protein 2 in the early development of Xenopus laevis.
Clement JH
,
Fettes P
,
Knöchel S
,
Lef J
,
Knöchel W
.
???displayArticle.abstract???
The temporal and spatial transcription patterns of the Xenopus laevis Bone morphogenetic protein 2 (BMP-2) gene have been investigated. Unlike the closely related BMP-4 gene, the BMP-2 gene is strongly transcribed during oogenesis. Besides some enrichment within the animal half, maternal BMP-2 transcripts are ubiquitously distributed in the early cleavage stage embryos but rapidly decline during gastrulation. Zygotic transcription of this gene starts during early neurulation and transcripts are subsequently localized to neural crest cells, olfactory placodes, pineal body and heart anlage. Microinjection of BMP-2 RNA into the two dorsal blastomeres of 4-cell stage embryos leads to ventralization of developing embryos. This coincides with a decrease of transcripts from dorsal marker genes (beta-tubulin, alpha-actin) but not from ventral marker genes (alpha-globin). BMP-2 overexpression inhibits transcription of the early response gene XFD-1, a fork head/HNF-3 related transcription factor expressed in the dorsal lip, but stimulates transcription of the posterior/ventral marker gene Xhox3, a member of the helix-turn-helix family. Activin A incubated animal caps from BMP-2 RNA injected embryos show transcription of ventral but an inhibition of dorsal marker genes; thus, BMP-2 overrides the dorsalizing activity of activin A. The results demonstrate that BMP-2 overexpression exerts very similar effects as have previously been described for BMP-4, and they suggest that BMP-2 may act already as a maternal factor in ventralmesoderm formation.
Fig. 2. RNase protection analysis of RNAs from oocytes, embryos, adult tissues and cell lines. Each 30 µg RNA from (A) oocytes (stage VI; classification according to Dumont, 1972) or embryos at different developmental stages (morula: st. 6.5; blastula: St. 8; gastrula: St. 10.5-11.5; neurula: St. 15-16; somite segregation: St. 25; tadpole: St. 37-38; stage classification according to Nieuwkoop and Faber, 1956), (B) from adult tissues as indicated and (C) from three Xenopus cell lines were hybridized with BMP-2 antisense RNA derived from a 401 bp Sac I/Sma I fragment (see also Section 4). Control hybridizations were performed with yeast tRNA. After RNAse digestion, protected fragments were separated on polyacrylamide gels and visualized by autoradiography. Integrity of RNA preparations was checked by RNase protection using an EF-1α antisense probe (Pöting et al., 1990; Krieg et al., 1989).
Fig. 3. Whole mount in situ hybridization (BMP-2) of Xenopus embryos. Xenopus albino embryos were hybridized with a digoxygenin labelled BMP- 2 antisense RNA derived from a 737 bp Sac IlPst I fragment and processed as described in Section 4. (A) From left to right: four-cell (st. 4), 32-cell (St. 6). morula (St. 7), blastula (St. 8.5) and gastrula (st. 11.5) stage embryos. Asterisk denotes the blastoporus. (B) Late neurula (St. 19) (dorsal view). (C) St. 21 (dorsal view). (D) Transverse section (30µm) through stage 17 embryo. The arrowhead points at staining in the dorsal midline. (E) St. 22/23 embryos. Arrowheads denote staining in the dorsal midline (upper) and in anterior and posteriormesoderm (lower). (F) Transversal section (100�m) (trunk region) through a St. 24 embryo. (G) St. 24, anterior view. Arrows denote intense staining at two frontal loci. (H) St. 28 embryo. The arrow points at the olfactory placode. (I) St. 28 embryos, frontal view. Note staining of the pineal body and of the olfactory placodes. (J) Parasagittal section through st. 28 embryo. (K) Anterior transversal section (100µm) according to the arrow in (I) through st. 30 embryo. (L) Higher magnification of an anterior transversal section (30µm) showing the mushroom-shaped pineal body and its communication to the third ventricel (arrowhead). (M) St. 32 embryo. (N) Magnification of the tailbud regions of St. 29 (top) and st. 33 (bottom) embryos. The arrows point at the disintegration of neural crest cells. cg: cement gland; e: eye anlage; h: heart anlage; nc: neural crest; no: notochord; nt: neural tube; o: olfactory placode; p: pineal body.
Fig. 4. Phenotype of embryos injected with BMP-2 mRNA. Four-cell stage Xenopus embryos were injected with each 1 ng of in vitro transcribed mRNA into the two dorsal or ventral blastomeres. They were allowed to develop until uninjected control embryos had reached stage 17 or stage 32 to 34, respectively. (A) Stage 17 embryos, injected with BMP-2 mRNA into the dorsal blastomeres; (8) stage 17 embryos, uninjected; (C) stage 33 embryos, injected with BMP-2 mRNA into the dorsal blastomeres; (D) stage 33 embryos, injected with BMP-2 mRNA into the ventral blastomeres; (E) stage 33 embryos, injected with BMP-2delta Pst I mRNA into the dorsal blastomeres; (F) stage 33 embryo, injected with human globin mRNA into the dorsal blastomeres.
Fig. 5. Transcription of dorsal and ventral marker genes in embryos overexpressing BMP-2. Each 1 ng of in vitro transcribed BMP-2 mRNA was injected either into the two dorsal or into the two ventral blastomeres of four-cell stage Xenopus embryos. When uninjected embryos (control) had reached stage 32 to 35, the embryos were fixed and analysed by whole mount in situ hybridization. (A-C): α-Cardiac actin α1 (Stutz and Spohr, 1986); (D-F): class II Ã-tubulin (Richter et al., 1988, Good et al., 1989); (G-I): embryonic α-globin (Widmer et al., 1981). Embryos were bleached and cleared in benzylbenzoate/benzyI alcohol (2:l). Arrowheads in (A) or (D) point towards residual α-actin Ã-tubulin transcripts, respectively.
Fig. 6. Xhox3 and XFD-I transcription in embryos injected with BMP-2 mRNA. Xenopus embryos at the four-cell stage were injected with each 1 ng of BMP-2 mRNA or BMP-2delta Pst I mRNA into the two dorsal blastomeres. (A) Total RNA (equivalent of 5 embryos) of BMP-2 injected (BMP-2) or uninjected embryos (control) at stage 12 was analysed by RNase protection with antisense RNA transcribed from a 750 bp Eco RI fragment of Xhox3 (Ruiz i Altaba and Melton, 1989a, 1989b). a 484 bp Eco RI/Bgl II fragment of XFD-1 (Kn6chel et al., 1992) or a 311 bp Pvu II/Pst I fragment of EF-lα (pXEF7, P�ting et al., 1990). Yeast tRNA was used as control. (B) Embryos were fixed at stage 11. Whole mount in situ hybridization was performed with antisense RNA transcribed from a 484 bp Eco RI/Bgl II fragment of XFD-1.
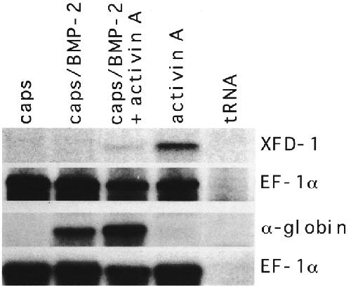
Fig. 7. Analysis of dorsal and ventral marker genes in animal cap explants from BMP-2 injected embryos. Animal caps of uninjected and BMP-2 injected embryos (each 1 ng RNA into the two dorsal blastomeres at the four-cell stage) were dissected at early to midblastula stage and, in part, incubated with 75 ng/ml human recombinant activin A. RNA was collected when control embryos had reached stage 12 or stage 35, respectively. RNA equivalent to each ten caps/lane was analysed by RNase protection for XFD-I or EF-lα transcripts at stage 12 (same probes as described in the legend to Fig. 6) and, at stage 35, for embryonic α-globin transcripts using an antisense probe transcribed from the 252 bp Pst I/Barn HI fragment of pXGL 19.1 (Widmer et al., 1981) or for EF-lα transcripts.