Click here to close
Hello! We notice that you are using Internet Explorer, which is not supported by Xenbase and may cause the site to display incorrectly.
We suggest using a current version of Chrome,
FireFox, or Safari.
Polycomb and bmi-1 homologs are expressed in overlapping patterns in Xenopus embryos and are able to interact with each other.
Reijnen MJ
,
Hamer KM
,
den Blaauwen JL
,
Lambrechts C
,
Schoneveld I
,
van Driel R
,
Otte AP
.
???displayArticle.abstract???
The Polycomb group genes in Drosophila are involved in the stable and inheritable repression of gene expression. The Polycomb group proteins probably operate as multimeric complexes that bind to chromatin. To investigate molecular mechanisms of stable repression of gene activity in vertebrates we have begun to study Xenopus homologs of Polycomb group genes. We identified the Xenopus homologs of the Drosophila Polycomb gene and the bmi-1 gene. bmi-1 is a proto-oncogene which has sequence homology with the Polycomb group gene Posterior Sex Combs. We show that the XPolycomb and Xbmi-1 genes are expressed in overlapping patterns in the central nervous system of Xenopus embryos. However, XPolycomb is also expressed in the somites, whereas Xbmi-1 is not. We further demonstrate that the XPolycomb and Xbmi-1 proteins are able to interact with each other via conserved sequence motifs. These data suggest that also vertebrate Polycomb group proteins form multimeric complexes.
???displayArticle.pubmedLink???
8555110
???displayArticle.link???Mech Dev
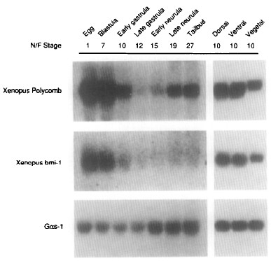
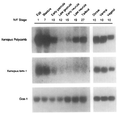
Fig. 3. Developmental expression of XPolycomb and Xbmi- 1. Antisense probes for the XPolycomb and Xbmi-1 genes were used for Northern analysis of total RNA (20,µg) isolated from the indicated developmental stages (Nieuwkoop and Faber 1967). To study the localization of the maternal transcripts, the ectoderm of early stage 10 gastrula embryos was dissected into equal portions of dorsal and ventralectoderm. Also the vegetal remainder of the embryo which consists of presumptive endoderm and mesoderm was isolated. In each case equal amounts (20,ug) of total RNA was loaded. The filter was rehybridized with a probe for Gas to verify the loading and integrity of RNA in each lane. Exposures of the filters were as follows: hybridized with XPolycomb for 1 week, with Xbmi-I for 2 weeks and Gas overnight.
Fig. 4. Localization of XPolycomb and Xbmi-I transcripts during early Xenopus development by whole mount in situ hybridization. Developing embryos at stage 9 late blastula (A,E), stage 15 early neurula (B,F), stage 19 late neurula (C,G) and stage 20-28 tailbud (D,H) were hybridized with antisense XPolycomb (A-D) and Xbmi-I (E-H) probes. All pictures are lateral views. The blastocoel (b) (A,E) and the anterior regions (a) of the neurula embryos (B,C,F,G) are indicated. In D the focus is on the hybridization signals in the spinal cord (top) or in the somites (bottom). Specific staining in the rhombencephalon (r) and spinal cord (sp.c) (D,H) and somites (s) (D) is indicated.
Fig. 5. Sections of embryos hybridized with XPolycomb and Xbmi-1. Transverse sections of stage 28 embryos hybridized with XPolycomb (A,B) and Xbmi-1 (C,D). XPolycomb transcripts are detected in the spinal cord (spc) and somites (s) (A) and the rhombencephalon (r) and otic vesicles (ov) (B). Xbmi-1 transcripts are detected in the spinal chord (sp.c) (C) and the rhombencephalon (r) and otic vesicles (ov) (D). Nospecific hybridization signals were detected in the notochord (n) (A-D).
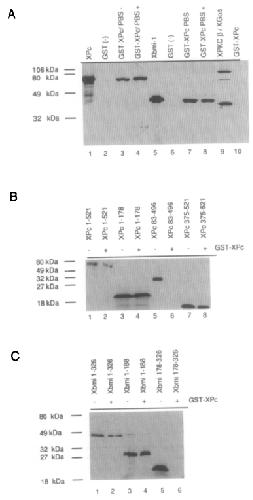
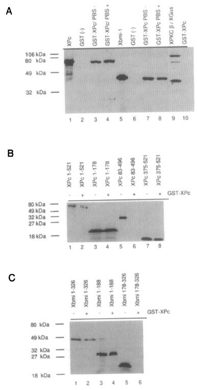
Fig. 6. XPolycomb protein interacts in vitro with itself and with Xbmi-1 protein. (A) A bacterially produced fusion protein between GST and XPolycomb (GST-XPc) immobilized to glutathione-Sepharose was incubated with in vitro translated and [35S]methionine labelled XPolycomb protein (XPc) (lane I). Following incubation and extensive washing the complex was analyzed by SDS-Page electrophoresis (12% gel). Incubations were with GST-Sepharose alone (lane 2) or GST-XPc either under low (PBS-) (lane 3) or high (PBS+) (lane 4) salt conditions (see Experimental procedures). The input (lane 1) was 1110 of the amount of lysate which was used in the incubations (lanes 2-4). Similarly, GST-XPc was incubated with in vitro translated and [35S]- methionine labelled Xbmi-1 protein (Xbmi-1) (lane 5). Incubations were with GST-Sepharose alone (lane 6) or GST-XPc either under low PBS-) (lane 7) or high (PBS+) (lane 8) salt conditions. The input (lane 5) was l/l0 of the amount of Lysate which was used in the incubations (lanes 6-8). No binding was observed (lane IO) when GST-XPc was incubated with a mixture of two unrelated, in vitro labelled proteins, Xenopus protein kinase C fi (XPKCÃ) and the Xenopus G-protein a, subunit (Ga,) (lane 9). (B) GST-XPc fusion protein was incubated under high salt conditions with in vitro translated and [35S]methionine labelled XPolycomb protein fragments (XPc l-521, lane I and 2; XPc l-178, lanes 3 and 4; XPc 83496, lanes 5 and 6, and XPc 375-521, lane 7 and 8). Following incubation and extensive washing the complex was analyzed by SDS-Page electrophoresis (I 8% gel). The input (lanes 1. 3, 5 and 7) was Ill0 of the amount of Lysate which was used in the incubations (lanes 2, 4, 6 and 8). (C) GST-XPc fusion protein was incubated under high salt conditions with in vitro translated and [35S]methionine labelled Xbmi-I protein fragments (Xbmi l-326, lanes 1 and 2; Xbmi l-188, lanes 3 and 4; Xbmi 178-326, lanes 5 and 6). Following incubation and extensive washing the complex was analyzed by SDS-Page electrophoresis (15% gel). The input (lanes I, 3 and 5) was 1/10 of the amount of Lysate which was used in the incubations (lanes 2.4 and 6).