Click here to close
Hello! We notice that you are using Internet Explorer, which is not supported by Xenbase and may cause the site to display incorrectly.
We suggest using a current version of Chrome,
FireFox, or Safari.
J Cell Biol
2005 May 09;1693:399-404. doi: 10.1083/jcb.200501121.
Show Gene links
Show Anatomy links
Molecular constituents of neuronal AMPA receptors.
Fukata Y
,
Tzingounis AV
,
Trinidad JC
,
Fukata M
,
Burlingame AL
,
Nicoll RA
,
Bredt DS
.
???displayArticle.abstract???
Dynamic regulation of alpha-amino-3-hydroxy-5-methyl-4-isoxazolepropionic acid receptors (AMPARs) underlies aspects of synaptic plasticity. Although numerous AMPAR-interacting proteins have been identified, their quantitative and relative contributions to native AMPAR complexes remain unclear. Here, we quantitated protein interactions with neuronal AMPARs by immunoprecipitation from brain extracts. We found that stargazin-like transmembrane AMPAR regulatory proteins (TARPs) copurified with neuronal AMPARs, but we found negligible binding to GRIP, PICK1, NSF, or SAP-97. To facilitate purification of neuronal AMPAR complexes, we generated a transgenic mouse expressing an epitope-tagged GluR2 subunit of AMPARs. Taking advantage of this powerful new tool, we isolated two populations of GluR2 containing AMPARs: an immature complex with the endoplasmic reticulum chaperone immunoglobulin-binding protein and a mature complex containing GluR1, TARPs, and PSD-95. These studies establish TARPs as the auxiliary components of neuronal AMPARs.
Figure 1. Immunoisolation of AMPARs from wild-type mice. (A and B) Brain extracts solubilized with 1% Triton X-100 were used for immunoprecipitation with anti-GluR2 antibody or nonimmune mouse IgG. AMPAR subunits and previously reported AMPAR binding proteins (see text) were examined by immunoblotting. Input lanes contain the indicated percentage of proteins used for immunoprecipitation (IP). (A) The percentages of binding (%) are indicated.
Figure 2. Functional expression of CBP/FLAG-GluR2 in heterologous cells and in transgenic mouse brain. (A) Schematic presentation of CBP/FLAG-GluR2. Calmodulin-binding peptide (CBP) and FLAG peptide sequences were inserted after the signal sequence of mouse GluR2 (flop form edited at position 586 (Q/R)). (B) In X. laevis oocytes expressing CBP/FLAG-GluR2, glutamate-evoked currents were vastly increased by coexpression of stargazin cRNA. (C) Surface receptors expressed in hippocampal neurons were live labeled with anti-FLAG M2 and total GluR2 was stained with anti-GluR2/3. Bar, 20 μm. (D) More efficient isolation of CBP/FLAG-GluR2 by immunoaffinity purification (IAP; anti-FLAG M2 agarose) than by conventional immunoprecipitation (anti-GluR2 antibody). Almost 100% of solubilized CBP/FLAG-GluR2 was isolated by IAP. FT, flow-through. (E) Two-step purification of CBP/FLAG-GluR2. The extracts of HEK cells transfected with mock vector or CBP/FLAG-GluR2 were subjected to sequential affinity chromatography: IAP and calmodulin-affinity chromatography (CaM). The arrow indicates the 110-kD protein (CBP/FLAG-GluR2). The arrowhead indicates the copurified 78-kD protein (identified as BiP/Grp78 by mass spectrometry). (F) Whole brain extracts (50 μg) from the indicated transgenic mouse lines and 100 fmol of CBP/FLAG-GluR2 purified from HEK cells were probed with the indicated antibodies. CBP/FLAG-GluR2 represents ∼50% of the endogenous protein in line 917. (G) Basal synaptic transmission is normal in transgenic GluR2 mice. (a) Input–output curve for basal synaptic transmission in hippocampal slices from wild type (Wt; n = 16) and transgenic (Tg; n = 18) mice. Each point represents the mean ± SEM for each bin. Sample fEPSPs at different stimulus intensities are shown on top. Bars: (y-axis) 0.5 mV; (x-axis) 20 ms. (b) AMPA/NMDA ratios were calculated by evoking dual-component EPSCs (Wt, n = 5; and Tg, n = 9). Histogram represents the AMPA/NMDA ratio mean ± SEM. Sample traces of the mixed and isolated AMPA- and NMDA-mediated EPSCs from wild-type and transgenic mice are shown on top. Bars: (y-axis) 100 pA; (x-axis) 20 ms.
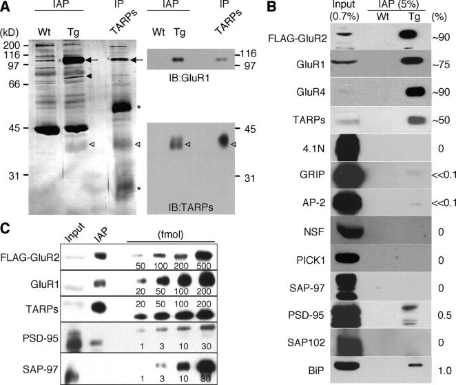
Figure 3. Quantitative association of TARPs with immunopurified AMPARs. (A) Gold colloidal total protein staining of immunoaffinity-purified CBP/FLAG-GluR2 (IAP) and immunoprecipitated TARPs (IP). The same preparations were also analyzed by Western blotting with anti-GluR1 or TARP antibody. The proteins with molecular masses of 110 (arrow), 78 (closed arrowhead), and 35 kD (open arrowhead) were detected in the transgenic mouse (Tg) but not in wild-type (Wt). 110- and 35-kD proteins were also detected in TARPs-IP, which correspond to AMPARs including GluR1 and TARPs, respectively. Asterisks denote the bands of IgG heavy and light chains. (B) IAP elution in A was immunoblotted with the indicated antibodies. The recovery (%) of each protein from input is indicated. (C) Quantitative binding of TARPs with AMPARs. For CBP/FLAG-GluR2, GluR1, and TARPs, input (1%) and purified AMPARs (IAP; 1%) from transgenic mouse brain were analyzed with the indicated amounts of purified CBP/FLAG-GluR2, HA-GluR1, and His6-stargazin COOH terminus. For PSD-95 and SAP-97, input (0.1%) and IAP elution (4%) were analyzed with purified PSD-95-GFP and SAP-97-GFP. These data are representative of five independent experiments.
Figure 4. Two distinct AMPAR complexes. Immunoaffinity-purified brain AMPAR complexes (IAP) were reprecipitated (seqIP) with antibodies to either BiP or TARPs and analyzed by silver staining (top) and immunoblotting with the indicated antibodies (bottom). The BiP reprecipitation isolates 110- (arrow) and 78-kD (closed arrowhead; BiP) proteins; the TARP reprecipitation isolates 110- and 35-kD (open arrowhead; TARPs) proteins. The BiP reprecipitates include only GluR2, but not GluR1, TARPs, or PSD-95, whereas TARP reprecipitates include GluR1 and PSD-95 in addition to GluR2.
Chen,
Impaired cerebellar synapse maturation in waggler, a mutant mouse with a disrupted neuronal calcium channel gamma subunit.
1999, Pubmed
Chen,
Impaired cerebellar synapse maturation in waggler, a mutant mouse with a disrupted neuronal calcium channel gamma subunit.
1999,
Pubmed
Chen,
Stargazin regulates synaptic targeting of AMPA receptors by two distinct mechanisms.
,
Pubmed
Daw,
PDZ proteins interacting with C-terminal GluR2/3 are involved in a PKC-dependent regulation of AMPA receptors at hippocampal synapses.
2000,
Pubmed
Dong,
GRIP: a synaptic PDZ domain-containing protein that interacts with AMPA receptors.
1997,
Pubmed
Greger,
AMPA receptor tetramerization is mediated by Q/R editing.
2003,
Pubmed
Hanley,
NSF ATPase and alpha-/beta-SNAPs disassemble the AMPA receptor-PICK1 complex.
2002,
Pubmed
Hashimoto,
Impairment of AMPA receptor function in cerebellar granule cells of ataxic mutant mouse stargazer.
1999,
Pubmed
Hirbec,
Rapid and differential regulation of AMPA and kainate receptors at hippocampal mossy fibre synapses by PICK1 and GRIP.
2003,
Pubmed
Hollmann,
Cloned glutamate receptors.
1994,
Pubmed
Jensen,
A juvenile form of postsynaptic hippocampal long-term potentiation in mice deficient for the AMPA receptor subunit GluR-A.
2003,
Pubmed
Jia,
Enhanced LTP in mice deficient in the AMPA receptor GluR2.
1996,
Pubmed
Lee,
Clathrin adaptor AP2 and NSF interact with overlapping sites of GluR2 and play distinct roles in AMPA receptor trafficking and hippocampal LTD.
2002,
Pubmed
Lee,
Subunit rules governing the sorting of internalized AMPA receptors in hippocampal neurons.
2004,
Pubmed
Leonard,
SAP97 is associated with the alpha-amino-3-hydroxy-5-methylisoxazole-4-propionic acid receptor GluR1 subunit.
1998,
Pubmed
Letts,
The mouse stargazer gene encodes a neuronal Ca2+-channel gamma subunit.
1998,
Pubmed
Luo,
The majority of N-methyl-D-aspartate receptor complexes in adult rat cerebral cortex contain at least three different subunits (NR1/NR2A/NR2B).
1997,
Pubmed
Lüthi,
Hippocampal LTD expression involves a pool of AMPARs regulated by the NSF-GluR2 interaction.
1999,
Pubmed
Lüthi,
Endogenous serine protease inhibitor modulates epileptic activity and hippocampal long-term potentiation.
1997,
Pubmed
Meng,
Synaptic transmission and plasticity in the absence of AMPA glutamate receptor GluR2 and GluR3.
2003,
Pubmed
Nishimune,
NSF binding to GluR2 regulates synaptic transmission.
1998,
Pubmed
Noel,
Surface expression of AMPA receptors in hippocampal neurons is regulated by an NSF-dependent mechanism.
1999,
Pubmed
Osten,
Mutagenesis reveals a role for ABP/GRIP binding to GluR2 in synaptic surface accumulation of the AMPA receptor.
2000,
Pubmed
Osten,
The AMPA receptor GluR2 C terminus can mediate a reversible, ATP-dependent interaction with NSF and alpha- and beta-SNAPs.
1998,
Pubmed
Perez,
PICK1 targets activated protein kinase Calpha to AMPA receptor clusters in spines of hippocampal neurons and reduces surface levels of the AMPA-type glutamate receptor subunit 2.
2001,
Pubmed
Rubio,
Calnexin and the immunoglobulin binding protein (BiP) coimmunoprecipitate with AMPA receptors.
1999,
Pubmed
Schnell,
Direct interactions between PSD-95 and stargazin control synaptic AMPA receptor number.
2002,
Pubmed
Shen,
Regulation of AMPA receptor GluR1 subunit surface expression by a 4. 1N-linked actin cytoskeletal association.
2000,
Pubmed
Shi,
Subunit-specific rules governing AMPA receptor trafficking to synapses in hippocampal pyramidal neurons.
2001,
Pubmed
Song,
Interaction of the N-ethylmaleimide-sensitive factor with AMPA receptors.
1998,
Pubmed
Srivastava,
ABP: a novel AMPA receptor binding protein.
1999,
Pubmed
Srivastava,
Novel anchorage of GluR2/3 to the postsynaptic density by the AMPA receptor-binding protein ABP.
1998,
Pubmed
Tomita,
Functional studies and distribution define a family of transmembrane AMPA receptor regulatory proteins.
2003,
Pubmed
Tomita,
Dynamic interaction of stargazin-like TARPs with cycling AMPA receptors at synapses.
2004,
Pubmed
,
Xenbase
Wyszynski,
Interaction between GRIP and liprin-alpha/SYD2 is required for AMPA receptor targeting.
2002,
Pubmed
Xia,
Clustering of AMPA receptors by the synaptic PDZ domain-containing protein PICK1.
1999,
Pubmed
Yang,
Crucial step in cholesterol homeostasis: sterols promote binding of SCAP to INSIG-1, a membrane protein that facilitates retention of SREBPs in ER.
2002,
Pubmed
Zamanillo,
Importance of AMPA receptors for hippocampal synaptic plasticity but not for spatial learning.
1999,
Pubmed