Click here to close
Hello! We notice that you are using Internet Explorer, which is not supported by Xenbase and may cause the site to display incorrectly.
We suggest using a current version of Chrome,
FireFox, or Safari.
???displayArticle.abstract???
The larynx, the vocal organ of Xenopus laevis, is sexually differentiated; male laryngeal muscle fibers are entirely fast twitch while female fibers are predominantly slow twitch. In adults, all male laryngeal muscle fibers express the mRNA for a laryngeal-specific myosin heavy chain (MHC), LM; female laryngeal muscle expresses LM in a subset of fast-twitch fibers. In juvenile females, LM expression is increased by exposure to exogenous androgen, suggesting that sexually differentiated expression of this laryngeal-specific MHC is regulated by exposure to male sex hormones. Here we examine hormonal regulation of LM expression in juvenile male and female frogs. Exposure to exogenous androgen increases LM expression in both sexes. In situ hybridization analyses of larynges reveal upregulation of LM expression within 8 hr of androgen treatment in males; upregulation is not evident until after 48 hr in females. The upregulation in juvenile females includes both an increase in the number of muscle fibers expressing LM and an increase in expression in fibers already expressing LM. In juvenile males, all fibers express LM from the end of metamorphosis on; levels of LM expression are increased in all fibers by androgen treatment. Androgen-induced increases in LM expression are prevented by treatment with cycloheximide and are thus dependent upon protein synthesis. Castration of juvenile males results in diminished LM expression relative to intact animals. We conclude that expression of LM is regulated by exposure to androgen and that this regulation accounts for the sexually differentiated phenotype.
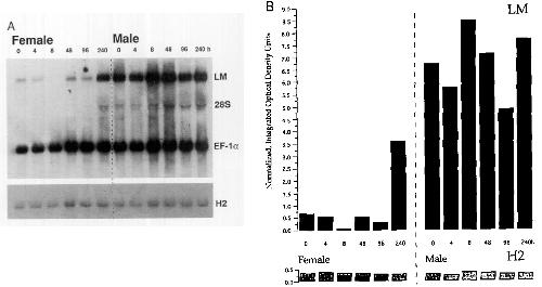
FlG. 1. Regulation of a laryngeal myosin heavy chain isoform (LM) expression by treatment with androgen. Gonadally intact female and male PM2 frogs were treated with dihydrotestosterone (DHT) for the times indicated in hours. (A) 10 ug of total RNA extracted from laryngeal muscle was loaded in each lane, electrophoretically separated, and subjected to Northern analysis using F3-500 as a probe. This blot was simultaneously probed with the elongation factor EF1a (Krieg etal., 1989) and then stripped and reprobed with an embryonic actin (clone H2 of Dworkin-Rastl et al., 1986). Autoradiograms were exposed overnight. (B) Densitometric analysis of the autoradiogram shown in A. Integrated optical density values were obtained for each band on the autoradiogram. To control for gel loading, values for LM and H2 expression were divided by the EF1a expression value for that lane relative to the 0 hr female time point.
FIG. 2. In situ hybridization analysis of androgen-regulated LM expression. Dark-field micrographs of transverse 10·um hemisections through the larynges of female PM2 frogs treated with DHT for 0, 8, 48, 96, or 240 hr (240 hr = 10 days) are shown. For comparison,hybridization of an antisense LM probe to an untreated PM2 male larynx (panel at lower right, 0 hr) is also shown. The hybridization of the LM probe to an extrinsic muscle of the larynx, the strapmuscle, did not exceed background !see arrowheads, male 0 hr), control hybridization with sense probes also did not exceed background (not shown). In the section of female larynx at 0 hr, a fold immediately above the thyohyral cartilages (TH) gives a false impression of increased expression relative to the rest of the muscle. LM expression is patchy throughout the muscle. Scale bar, 250 um.
FIG. 3. Higher magnification in situ hybridization autoradiograms of LM expression in male and female PM2 larynges after androgen treatment; dark-field illumination. In females, LM expression after 8 hr of DHT treatment (top left) is patchy and does not exceed control values (see Fig. 2). After 48 hr of treatment, expression of LM in female larynges is uniform and increased relative to previous time points (bottom left). In PM2 males, expression of LM is uniform before treatment (top right) and increased after 8 hr of DHT treatment (bottom right). Scale bars, 100 um.
FIG. 4. Cycloheximide treatment prevents DHT-induced increases In LM expression. Bright-fleld micrographs of 10-um paraffin sections through the larynges of untreated (left) DHT-treated (middle) and cycloheximide plus DHT·treated (right) PM2 male frogs following in situ hybridization with LM antisense riboprobes.
FIG. 5. Castration reduces LM expression in juvenile frogs. Hybridization of the antisense LM probe to intact (top) or castrated (bottom) PM2 (left) or PMO (right) is shown. Note that only a small portion of laryngeal muscle is depicted for the PM2 intact male; the region of muscle shown is similar to the "tongue" of muscle wrapping around the cartilage at bottom right in Fig. 2. The bright spots sunoundlng the laryngeal muscle are pigment granules. Scale bar, 100 um.
myh3 (myosin, heavy chain 3, skeletal muscle, embryonic) gene expression in Xenopus laevis embryo, assayed via in situ hybridization, female juvenile frog stage, transverse section through larynx.
myh3 (myosin, heavy chain 3, skeletal muscle, embryonic) gene expression in Xenopus laevis embryo, assayed via in situ hybridization, male juvenile frog stage, transverse section through larynx.