Click here to close
Hello! We notice that you are using Internet Explorer, which is not supported by Xenbase and may cause the site to display incorrectly.
We suggest using a current version of Chrome,
FireFox, or Safari.
Cloning and embryonic expression of Xenopus laevis GAP-43 (XGAP-43).
Shain DH
,
Haile DT
,
Verrastro TA
,
Zuber MX
.
???displayArticle.abstract???
Xenopus laevis GAP-43 (XGAP-43) is highly related to other vertebrate GAP-43 proteins in its N-terminal region which contains a membrane-targeting sequence, serine phosphorylation site, and calmodulin binding domain. Unlike other species examined, however, there appear to be two GAP-43-class genes in X. laevis which resulted from the genome duplication in Xenopus approximately 30 million years ago. During embryogenesis, XGAP-43 is expressed in a complex spatiotemporal pattern that is consistent with its putative role in neuronal growth and development.
Fig. 1. The nucleotide sequence of XGAP-43 cDNA. XGAP-43 was cloned from a Xenopus lae~,is stage 28-30 head library (generous gift from Dr.
Richard Harland) using the coding region of rat GAP-43 [19] as a probe. Hybridization was performed at reduced stringency (annealing in 25% formamide,
5 × SSPE, 7% SDS at 42°C; washes in 0.5 × SSC, 0.5% SDS at 50°C). The open reading frame in XGAP-43 cDNA is 636 bp in length and encodes a
protein with a predicted mol. wt. of 23,240 Da. Two HindlII restriction endonuclease sites within the open reading frame are underlined. The GenBank
accession number of XGAP-43 cDNA is U22395.
Fig. 2. Amino acid comparison of vertebrate GAP-43-class proteins. A: the amino acid sequences of frog (X. laevis), rat [19], chick [2] and goldfish [20]
GAP-43 were aligned using PC/GENE software (IntelliGenetics Inc.). The frog sequence is shown in its entirety while amino acid differences in other
proteins are indicated. Dashes represent gaps in the amino acid sequence. The conserved membrane-targeting domain [32,33,38] is underlined, two
palmitoylated cysteines [28] are indicated by asterisks, the calmodulin binding consensus sequence [13] is double underlined, and the serine
phosphorylation site [6] is identified by an arrow. Overall GAP-43 sequence identity between species is shown in (B) and is depicted phylogenetically in
(C), as determined by parsimony [35]. Numbers in (C) represent the approximate number of amino acid changes from the most recent speciation event.
Time points are based upon those described in Strickberger [30]. The branch point in the Xenopus lineage represents the putative genome duplication event
in an ancestral species approximately 30 million years ago [4] that gave rise to duplicate copies of XGAP-43.
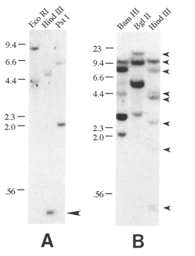
Fig. 3. Genomic Southern blot analysis of XGAP-43. Xenopus laevis
genomic DNA (15 /xg) was digested with the restriction endonucleases
indicated, electrophoresed on a 0.8% agarose gel and transferred to a
positively charged nylon membrane (DuPont). Hybridization was performed
at high stringency (annealing in 50% formamide, 5 ×SSPE, 5%
SDS at 42°C; washes in 0.2 × SSC, 0.5% SDS at 65°C). A) A 250 bp
HindlII fragment from XGAP-43 cDNA (see Fig. 1), which is predicted
to lie on a single exon, generated two bands of different intensity in all
lanes suggesting that two GAP-43-class genes are present in X. laevis.
Similar results were obtained with all other restriction endonucleases
tested including BamHI, BglII and PvaII (not shown). The 250 bp
HindIII genomic fragment, which corresponds in size to the cDNA probe,
is indicated by a large arrowhead. B: a full-length XGAP-43 cDNA probe
generated multiple bands in each lane. The presence of six bands in the
Bam HI lane and eight bands (indicated by small arrowheads) in the
HindIII lane is consistent with two GAP-43-class genes containing three
exons apiece (see text). Several bands in the BgIII lane are likely to be
doublets.
Fig. 4. Whole-mount in situ hybridization of XGAP-43 during Xenopus laevis embryogenesis. Numbers in the left column represent the approximate stage
of embryos in each row. Embryos in columns (A), (B), (D) and (E) were incubated with a full-length antisense XGAP-43 probe and those in columns (C)
and (F) with full-length sense XGAP-43. Lateral views of XGAP-43 expression are shown in columns (A) and (D-F), and dorsal views in column (B).
XGAP-43 transcripts were first observed around stage 22 where they appeared as two parallel stripes on either side of the midline, and also in bilateral
regions of the prospective forebrain/midbrain border. In later stages, XGAP-43 expression was observed in a complex spatiotemporal pattern throughout
the nervous system. E: magnification of CNS structures expressing XGAP-43 in a stage 34 embryo: 1 = brainstem; 2 = hindbrain; 3- cerebellum;
4 = midbrain; 5 = pineal gland; 6 = forebrain (olfactory region); 7 = diencephalon; 8 = optic vesicle; 9 = trigeminal ganglia; 10 = otic capsule. Structures
are based on previous descriptions of Xenopus neuroanatomy [16,17,25]. Probe preparation and whole-mount in situ hybridization were performed as
described [26].
gap43 (growth associated protein 43) gene expression in Xenopus laevis embryo, assayed via in situ hybridization, NF stage 26, lateral view, anteriorright, dorsal up.