Click here to close
Hello! We notice that you are using Internet Explorer, which is not supported by Xenbase and may cause the site to display incorrectly.
We suggest using a current version of Chrome,
FireFox, or Safari.
???displayArticle.abstract???
Embryological data and the activities of the neural-inducing factors noggin and follistatin are consistent with the hypothesis that the nervous system is initially induced with an anterior character, with subsequent signals imparting posterior pattern. We report that Xwnt3a is a candidate for involvement in anteroposterior neural patterning, as it synergizes with the neural-inducing factors noggin and follistatin to increase the expression of posterior neural genes. Furthermore we show that beta-catenin, an intracellular protein implicated in the Wnt signal transduction cascade, mimics the activity of Xwnt3a. These data suggest that the generation of pattern within the vertebrate nervous system may rely on synergism between a Wnt signaling pathway and multiple neural-inducing factors.
FIG. 1. Effects of Xwnt3a on anteroposterior neural pattern in Keller explants. (A, B, and C) Whole-mount in situ hybridization of the
panneural RNP clone, pNPG152; (D, E, and F) Whole-mount in situ hybridization of the cement gland marker, XAG-1. (A and D) Control
albino embryos, stage 19 (A) and stage 25 (D). (B and E) Control Keller explants from stage 10â 10.25 embryos previously injected with
bovine prolactin mRNA (B, 15 of 15 sandwiches were RNP-positive, see arrows; E, 12 of 12 sandwiches were XAG-1-positive, see arrow).
(C and F) Keller explants from stage 10â 10.25 embryos injected with Xwnt3a mRNA (C, 22 of 22 sandwiches were RNP-positive, see
arrows; F, 1 of 12 sandwiches was XAG-1-positive). Keller sandwiches isolated from Xwnt3a-injected embryos exhibited reproducibly
shortened neural ectoderm when compared to Keller sandwiches isolated from prolactin-injected embryos. The Keller explants shown in
(B and C) are from pigmented embryos. (G) RTâPCR analysis of Keller explants using the following set of anteroposterior markers, depicted
with anterior to the top, and increasingly posterior genes below: XAG-1, cement gland; XANF-2, anteriorpituitary gland; Otx-A, forebrain;
En-2, midbrainâhindbrain boundary; Krox-20, rhombomeres 3 and 5; Xlhbox-6, posterior spinal cord; NCAM, panneural; muscle actin,
axial mesoderm; Ef1-a, RNA loading control; /RT, plus reverse transcriptase, 0RT, minus reverse transcriptase.
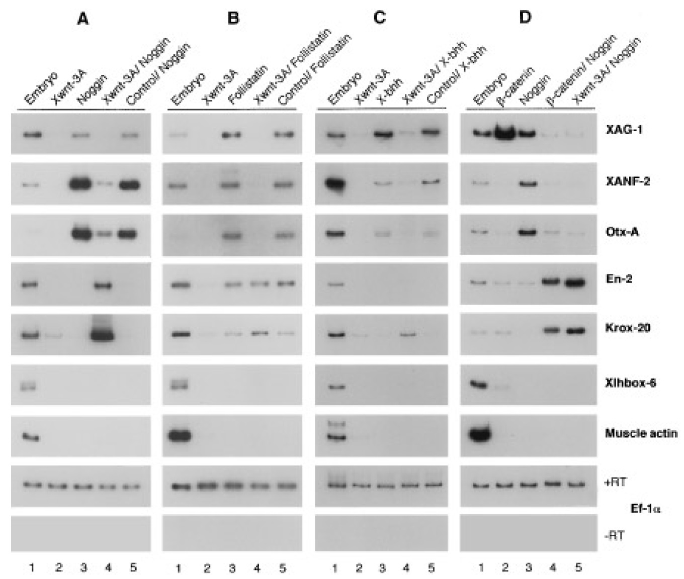
FIG. 2. Effects of Xwnt3a and b-catenin on induction of neural genes by noggin, follistatin, and X-bhh. RNA was injected into 2- to 4-
cell embryos, and blastula caps were isolated, cultured, and employed for RTâPCR using the same anteroposterior neural markers as in
Fig. 1, again with the most anterior gene at the top and the most posterior gene at the bottom. Relative levels of gene expression can be
compared within the same panel, but not between panels, as each panel represents an independent yet representative experiment utilizing
RTâPCR conditions which yield products in the exponential phase of amplification and at the same exposure of the X-ray film. At least
three fully independent experiments were conducted for each panel, with qualitatively similar results for each experiment. In all panels
lane 1 utilizes RNA from whole embryos as a positive control and reference point, and in AâC lane 2 demonstrates that Xwnt3a does
not induce neural genes. (A, lane 3) noggin induces the three most anterior genes. (A, lane 4) Xwnt3a synergizes with noggin to induce
expression of En-2 and Krox-20 and to reduce expression of more anterior genes (compare to lanes 3, 5). (A, lane 5) Prolactin does not
synergize with noggin. (B, lane 3) follistatin induces a subset of neural genes. (B, lane 4) Xwnt3a and follistatin reduce the expression of
the XAG-1, XANF-2, and Otx-A markers which are induced by follistatin (lanes 3, 5). (B, lane 5) Prolactin does not synergize with
follistatin. (C, lane 3) X-bhh induces XAG-1 and very weakly induces XANF-2 and Otx-A. (C, lane 4) Xwnt3a and X-bhh do not induce
expression of neural genes. The slightly elevated expression of Krox-20 was not representative of other independent experiments. (C, lane
5) A frame-shifted hedgehog does not synergize with X-bhh. (D, lane 2) b-catenin induces expression of XAG-1, but not neural genes. (D,
lane 3) noggin induces the same three anterior genes as in A. (D, lane 4) b-catenin synergizes with noggin in a manner indistinguishable
from Xwnt3a (D, lane 5) to reduce expression of XAG-1, XANF-2, and Otx-A and to elevate expression of En-2 and Krox-20.