Click here to close
Hello! We notice that you are using Internet Explorer, which is not supported by Xenbase and may cause the site to display incorrectly.
We suggest using a current version of Chrome,
FireFox, or Safari.
Spectrum of mutations in the major human skeletal muscle chloride channel gene (CLCN1) leading to myotonia.
Meyer-Kleine C
,
Steinmeyer K
,
Ricker K
,
Jentsch TJ
,
Koch MC
.
???displayArticle.abstract???
Autosomal dominant myotonia congenita and autosomal recessive generalized myotonia (GM) are genetic disorders characterized by the symptom of myotonia, which is based on an electrical instability of the muscle fiber membrane. Recently, these two phenotypes have been associated with mutations in the major muscle chloride channel gene CLCN1 on human chromosome 7q35. We have systematically screened the open reading frame of the CLCN1 gene for mutations by SSC analysis (SSCA) in a panel of 24 families and 17 single unrelated patients with human myotonia. By direct sequencing of aberrant SSCA conformers were revealed 15 different mutations in a total of 18 unrelated families and 13 single patients. Of these, 10 were novel (7 missense mutations, 2 mutations leading to frameshift, and 1 mutation predicted to affect normal splicing). In our overall sample of 94 GM chromosomes we were able to detect 48 (51%) mutant GM alleles. Three mutations (F413C), R894X, and a 14-bp deletion in exon 13) account for 32% of the GM chromosomes in the German population. Our finding that A437T is probably a polymorphism is in contrast to a recent report that the recessive phenotype GM is associated with this amino acid change. We also demonstrate that the R894X mutation may act as a recessive or a dominant mutation in the CLCN1 gene, probably depending on the genetic background. Functional expression of the R894X mutant in Xenopus oocytes revealed a large reduction, but not complete abolition, of chloride currents. Further, it had a weak dominant negative effect on wild-type currents in coexpression studies. Reduction of currents predicted for heterozygous carriers are close to the borderline value, which is sufficient to elicit myotonia.
Figure I
Location of mutations in the CLC-1 chloride channel
protein. A preliminary transmembrane model is shown that is based
on Jentsch et al. (1990) as modified by Pusch et al. (1995). The broad
hydrophobic region D10-D12 is not further subdivided, as predictions
are particularly difficult in this stretch. A circle (0) represents domi
nant mutations; a triangle (A) represents r
Figure 2 Sequence detection of the 950 G-to-A transition in exon 8 (R317Q) in MC family 3004 (pedigree in fig. 3) and the splice-site
mutation 1471 + 1 g to a in exon 13 in GM family 4015 (pedigree and SSCA in fig. 4).
Figure 3 Selected pedigrees with mutation results from the present study. Pedigree 3004 shows autosomal dominantly inherited MC;
all other pedigrees show autosomal recessively inherited GM.
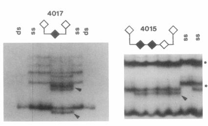
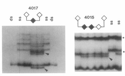
Figure 4 SSCA analysis of Exon 10 (GM family 4017, sequence
change del 2 bp) and Exon 13 (GM family 4015, sequence change
1471 + 1 g to a). The single-stranded alleles corresponding to the
respective mutation are indicated by arrowheads, the polymorphism
in exon 13 with asterisks (*) (Meyer-Kleine et al. 1994b). ds =
double
stranded control; ss = single-stranded control.
Figure 5 Voltage-clamp traces of mutant R894X CLC-1 ex
pressed in a Xenopus oocyte and investigated by two-electrode volt
age-clamp technique. Time- and voltage-dependence of currents are
very similar to WT CLC-1 currents (Steinmeyer et al. 1991a, 1994).
The two-oocyte membrane voltage was clamped sequentially to values
between +60 and-180 mV in 20-mV steps from a holding potential
of-30 mV, followed by a pulse to-80 mV. Currents injected into
the oocyte are shown as superimposed on the time scale.
Figure 6 Quantitative analysis of WT and mutant CLC-1 cur
rents. Oocytes were injected with identical amounts of RNA (; 10
ng), either with pure WT or mutant RNA or with a 1:1 mixture
This mixture mimics the situation in a
heterozygous patient and allows determination of the recessive or
dominant nature of the mutant. Injections of identical total amounts
of RNA ensures that saturation of translation in the oocyte system
can be neglected (Steinmeyer et al. 1994). The means of measurements
of at least seven oocytes are shown. Error bars indicate SEM. Back
ground conductance was not subtracted. Injections of R894X cRNA
gave-13%, WT/R496S 51%, WT/R894X 33%, and WlT/P480L
10% of WT currents. Thus, R894X is intermediate between a fully
recessive (R496S) and a fully dominant (P480L) mutant. Similar re
sults were seen with three different batches of RNA and three batches
of oocytes.
Abdalla,
Linkage of Thomsen disease to the T-cell-receptor beta (TCRB) locus on chromosome 7q35.
1992, Pubmed
Abdalla,
Linkage of Thomsen disease to the T-cell-receptor beta (TCRB) locus on chromosome 7q35.
1992,
Pubmed
Bryant,
Chloride conductance in normal and myotonic muscle fibres and the action of monocarboxylic aromatic acids.
1971,
Pubmed
George,
Nonsense and missense mutations of the muscle chloride channel gene in patients with myotonia congenita.
1994,
Pubmed
George,
Molecular basis of Thomsen's disease (autosomal dominant myotonia congenita).
1993,
Pubmed
Heine,
Proof of a non-functional muscle chloride channel in recessive myotonia congenita (Becker) by detection of a 4 base pair deletion.
1994,
Pubmed
Jentsch,
Primary structure of Torpedo marmorata chloride channel isolated by expression cloning in Xenopus oocytes.
1990,
Pubmed
,
Xenbase
Kawasaki,
Cloning and expression of a protein kinase C-regulated chloride channel abundantly expressed in rat brain neuronal cells.
1994,
Pubmed
,
Xenbase
Kieferle,
Two highly homologous members of the ClC chloride channel family in both rat and human kidney.
1994,
Pubmed
Koch,
Evidence for genetic homogeneity in autosomal recessive generalised myotonia (Becker).
1993,
Pubmed
Koch,
The skeletal muscle chloride channel in dominant and recessive human myotonia.
1992,
Pubmed
Krieg,
Functional messenger RNAs are produced by SP6 in vitro transcription of cloned cDNAs.
1984,
Pubmed
,
Xenbase
Kwieciński,
Drug-induced myotonia in human intercostal muscle.
1988,
Pubmed
Lehmann-Horn,
Myotonia levior is a chloride channel disorder.
1995,
Pubmed
Lipicky,
Cable parameters, sodium, potassium, chloride, and water content, and potassium efflux in isolated external intercostal muscle of normal volunteers and patients with myotonia congenita.
1971,
Pubmed
Lorenz,
Genomic organization of the human muscle chloride channel CIC-1 and analysis of novel mutations leading to Becker-type myotonia.
1994,
Pubmed
,
Xenbase
Mashal,
Detection of mutations by cleavage of DNA heteroduplexes with bacteriophage resolvases.
1995,
Pubmed
Mehrke,
The myotonic mouse mutant ADR: electrophysiology of the muscle fiber.
1988,
Pubmed
Meyer-Kleine,
A recurrent 14 bp deletion in the CLCN1 gene associated with generalized myotonia (Becker).
1994,
Pubmed
Meyer-Kleine,
Molecular and genetic characterisation of German families with paramyotonia congenita and demonstration of founder effect in the Ravensberg families.
1994,
Pubmed
Pusch,
Gating of the voltage-dependent chloride channel CIC-0 by the permeant anion.
1995,
Pubmed
,
Xenbase
Rüdel,
Transient weakness and altered membrane characteristic in recessive generalized myotonia (Becker).
1988,
Pubmed
Steinmeyer,
Inactivation of muscle chloride channel by transposon insertion in myotonic mice.
1991,
Pubmed
Steinmeyer,
Primary structure and functional expression of a developmentally regulated skeletal muscle chloride channel.
1991,
Pubmed
,
Xenbase
Steinmeyer,
Multimeric structure of ClC-1 chloride channel revealed by mutations in dominant myotonia congenita (Thomsen).
1994,
Pubmed
Thiemann,
A chloride channel widely expressed in epithelial and non-epithelial cells.
1992,
Pubmed
,
Xenbase
van Slegtenhorst,
A gene from the Xp22.3 region shares homology with voltage-gated chloride channels.
1994,
Pubmed
Youil,
Screening for mutations by enzyme mismatch cleavage with T4 endonuclease VII.
1995,
Pubmed