Click here to close
Hello! We notice that you are using Internet Explorer, which is not supported by Xenbase and may cause the site to display incorrectly.
We suggest using a current version of Chrome,
FireFox, or Safari.
???displayArticle.abstract???
We have identified a novel growth factor in Xenopus, which is most closely related to human Bone Morphogenetic Protein-3. Its expression peaks during gastrulation, most prominently in the Spemann organizer, and persists in the posterior neural floor plate and prechordal plate during neurulation. Injection of the corresponding mRNA into dorsal blastomeres results in dose-dependent suppression of dorsal and anterior structures, even in the presence of lithium chloride. Overexpression of the gene downregulates the dorsalizing factors noggin, goosecoid and follistatin, as well as the dorsal markers NCAM, muscle actin and MyoD; conversely, ventral markers are induced. We therefore designate this gene product Anti-Dorsalizing Morphogenetic Protein (ADMP). Though development of dorsoanterior structures is suppressed when exogenous ADMP is injected, the gene is induced by lithium chloride treatment or activin, both of which are known to produce the opposite effect. Thus, the expression of ADMP resembles that of several dorsalizing signals, but its product exerts dorsal-suppressing activity. This suggests that ADMP may moderate organizer-associated dorsalizing influences. These findings are also consistent with the recently advanced proposal of dorsally expressed inhibitory activin-like signals.
Fig. 1. ADMP is a novel member of the TGF-b superfamily. (A) Deduced amino acid sequence of ADMP. The putative signal sequence is
underlined, the consensus RXXR proteolytic processing site is marked by a vertical arrow and the sequences corresponding to the PCR primers
used are indicated by horizontal arrows. (B) Schematic representation of the relationship between ADMP and other members of the TGF-b
superfamily. (C) Amino acid alignment of ADMP with other TGF-b proteins. The diagrams in B and C were generated using GeneWorks
(Intelligenetics, Mountain View, CA) and are based on the region beginning with the first of the seven conserved cysteine residues and ending
with the carboxyl terminal residue (GenBank Accession #: U22155).
Fig. 2. Expression of ADMP during Xenopus development.
(A) Expression levels of ADMP. RT-PCR with total RNA isolated
from the indicated stages was performed for ADMP; cSrc was used
to normalize input cDNA between samples. To allow visualization of
high and low levels of expression within the exponential phase of the
PCR, data from 27 and 29 cycles of amplification are presented. This
analysis was performed twice with identical results. (B) ADMP is
present in the dorsal marginal zone during gastrulation. Stage 10.5
embryos were dissected as indicated in the figure. The RNAs from
each were analyzed for ADMP by RT-PCR. The template amounts
were normalized to produce approximately equal amounts of histone
H4 product (Niehrs et al., 1994). Goosecoid was used as a control for
the dorsal versus ventral dissection and template from which reverse
transcriptase was omitted was used to confirm absence of
contaminating genomic DNA sequences (indicated as Control in the
figure). Expression is most concentrated in the dorsal marginal zone.
Fig. 3. ADMP expression in the Spemann organizer. (A) Series of
embryos from early gastrula (top left) to neural tube (bottom right)
stages demonstrating ADMP localization by hybridization in situ.
(B) Sagittal section of stage 11 embryo indicating localization of
ADMP expression to the dorsal blastopore lip. Staining of the
epithelial layer of the neuroectoderm is not apparent. (C,D) Sagittal
views of cleared stage 12.5 and 22 embryos. Expression is
predominantly in the sensorial layer of the neuroectoderm in a
decreasing gradient from posterior to anterior posteriorly and in the
prechordal plate anteriorly. Red arrows indicate the blastopore.
Hybridization in situ was performed ten times in total with similar
results
Fig. 4. ADMP mRNA injection suppresses dorsoanterior structures.
Each panel shows embryos representative of 20 separate experiments. mRNA was injected into one dorsal blastomere at the 4- to 8-cell
stage in a volume of 5 nl. (A) Control embryos injected with 100 pg preprolactin mRNA; all embryos are siblings at the same stage (approximately stage 35).
(B) Embryos injected with ADMP mRNA. A range of phenotypes
displaying varying degrees of ventralization is shown. (C) Embryos
injected dorsally with 100 pg ADMP mRNA. All embryos are
severely ventralized. (D) Embryos injected ventrally; the phenotypic
perturbations are much less pronounced. (E) Frequency histogram of
Dorsoanterior Index scores of embryos injected dorsally with 5, 25
and 100 pg of either ADMP or preprolactin mRNA demonstrating
clear dose dependence. The mean DAI scores of ADMP and
preprolactin-injected embryos differ significantly (P<0.01) at all
doses. The data shown are representative of four experiments with
comparable numbers of embryos and at least 20 experiments overall.
Some variation in sensitivity to injected ADMP message was
observed between different batches of embryos.
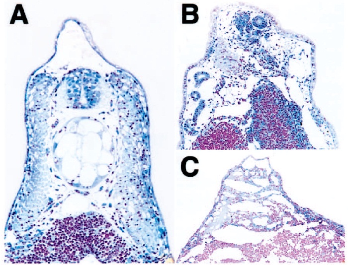
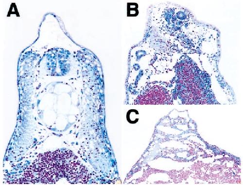
Fig. 5. Histological analysis of ADMP-injected embryos. Frontal
sections of embryos injected with identical doses of (A) preprolactin
or (B,C) ADMP message demonstrate progressive derangement and
suppression of neural tube, notochord and somites with increasing
severity of phenotype. (B) Of ten embryos with DAI 2-3, all
demonstrated significant abnormalities in neural tube, notochord and
somites; (C) of thirteen embryos with DAI 0-1, none had discernible
notochord or neural tube.
Fig. 6. Induction of ADMP by LiCl and activin. (A) Northern blots
of poly(A+) RNA from untreated, UV-irradiated or LiCl-treated
embryos. UV irradiation decreased expression of ADMP; LiCl
induced expression. EF1-a (Krieg et al., 1989) was used as a loading
control. This experiment was performed four times. (B) Spatial
expression pattern of ADMP in control, UV-irradiated and LiCltreated
embryos. Stage 11 embryos were used in A and B. (C) RTPCR
assay for ADMP in animal caps explanted at stage 8 and
cultured with or without activin until sibling embryos reached stage
11. Histone H4 was used to normalize between samples (Niehrs et
al., 1994). Follistatin and brachyury were assayed as positive
controls. (D) Analysis of ADMP expression in caps cultured as
above with and without activin by hybridization in situ. Both assays
confirm induction of ADMP in response to activin.
Fig. 7. Downregulation of dorsalizing signals and dorsal markers by
ADMP. (A) Stage 10 or (B) stage 17 embryos were assayed for
expression of the indicated genes by RT-PCR following injection of
1 ng ADMP message into one blastomere of 2-cell embryos.
(C,D) Caps were explanted at stage 8 from embryos injected with
ADMP message as above and cultured until sibling embryos reached
stages 10.5 and 35, respectively; the indicated markers were then
assayed by RT-PCR. Total RNA from pools of 10-20 embryos or
caps was the template for cDNA synthesis in each case. Control
indicates template from which reverse transcriptase was omitted to
confirm absence of contaminating genomic DNA sequences.
Separate RNA pools corresponding to the conditions displayed were
prepared from each of at least three separate fertilizations; each pool
was assayed at least twice for the indicated markers.
admp (anti-dorsalizing morphogenic protein) gene expression in bisected Xenopus laevis embryo, mid-sagittal section, assayed via in situ hybridization, NF stage 22, lateral view, anteriorleft, dorsal up.
admp (anti-dorsalizing morphogenic protein) gene expression in Xenopus laevis embryo, mid-sagittal section, assayed via in situ hybridization, NF stage 22, dorsal view, anteriorleft.