|
Figure 1:
X. laevis NFIs (xNFI) share strong homology with mammalian and avian NFIs. A, Xenopus NFI-B1 (xNFI-B1) is the homolog of the chicken NFI-B subfamily (cNFI-B) (Rupp et al., 1990). B, Xenopus NFI-C1 (xNFI-C1) is the homolog of human CTF/NFI (hCTF/NFI) gene (Santoro et al., 1988) and chicken NFI-C subfamily (Rupp et al., 1990). The DNA binding domains are bracketed. The sites of sequence divergence among different NFIs are putative alternative splicing sites and are indicated by arrows. Dots represent amino acid deletions, and dashes indicate identical amino acids. The boldface italic letters are amino acids that are conserved between Xenopus NFI-B1 and Xenopus NFI-C1 (58%), which concentrate in the DNA binding domain (86%).
|
|
Figure 2:
Anchor PCR cloning revealed a multimember family of NFI proteins in X. laevis. Only the deduced amino acid sequences are shown. A, anchor PCR clones of the amino-terminal end of NFI-B. NFI-B2 class contains three different anchor PCR clones. All contain two amino acid substitutions compared with NFI-B1 (positions 68 and 108). In addition, one of them contains one additional amino acid change (position 72). Only a single clone was isolated for NFI-B3. B, anchor PCR clones of the amino and carboxyl terminus of NFI-C1. The clone NFI-C2 is identical to the original Graphic clone of NFI-C1 except for a different N-terminal end. Anchor PCR cloning of the carboxyl terminus identified four clones, one as shown in the figure and the other three with only a single amino acid substitution at position 376 (Ser or Ala for Pro) or position 400 (Asn for Lys), respectively. The protein sequences derived from original Graphic cDNA clones are in boldface type, while the new sequences obtained by anchor cloning are represented by lightface characters. Dashes indicate identical amino acids.
|
|
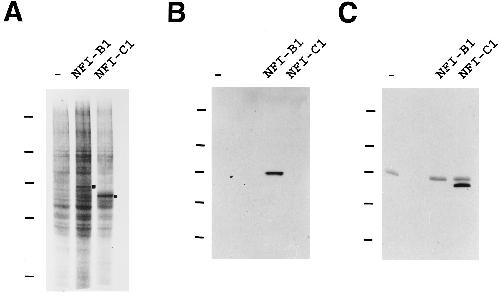
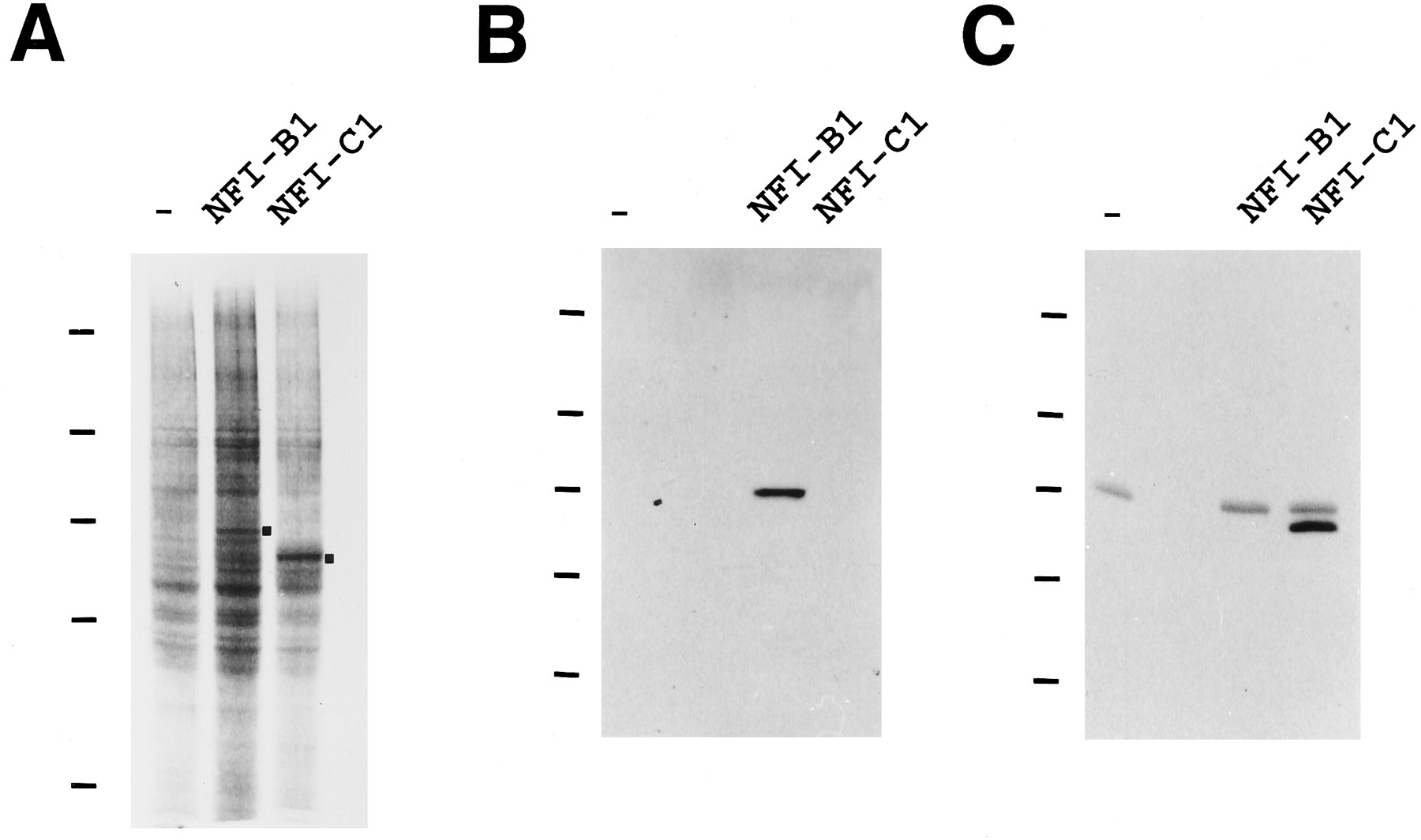
Figure 3:
Expression of NFI-B1 and NFI-C1 proteins in X. laevis oocytes. A, [GraphicS]methionine was coinjected with water (-) or NFI mRNAs into oocytes. Protein extracts were analyzed on a 10% gel. Dots indicate the positions of the overexpressed proteins. B and C, Western blot analysis of the same protein extracts electrophoresed on 7.5% gels with anti-NFI-B1 (B) or NFI-C1 (C) antibody. Note that both antibodies were specific to their antigens. The two bands of very similar sizes detected by the anti-NFI-C1 antibody that were also present in the water-injected oocytes (-) are probably non-NFI peptides. Dashes on the left indicate the positions of the size markers: 30, 46, 66, 97, and 220 kDa, respectively.
|
|
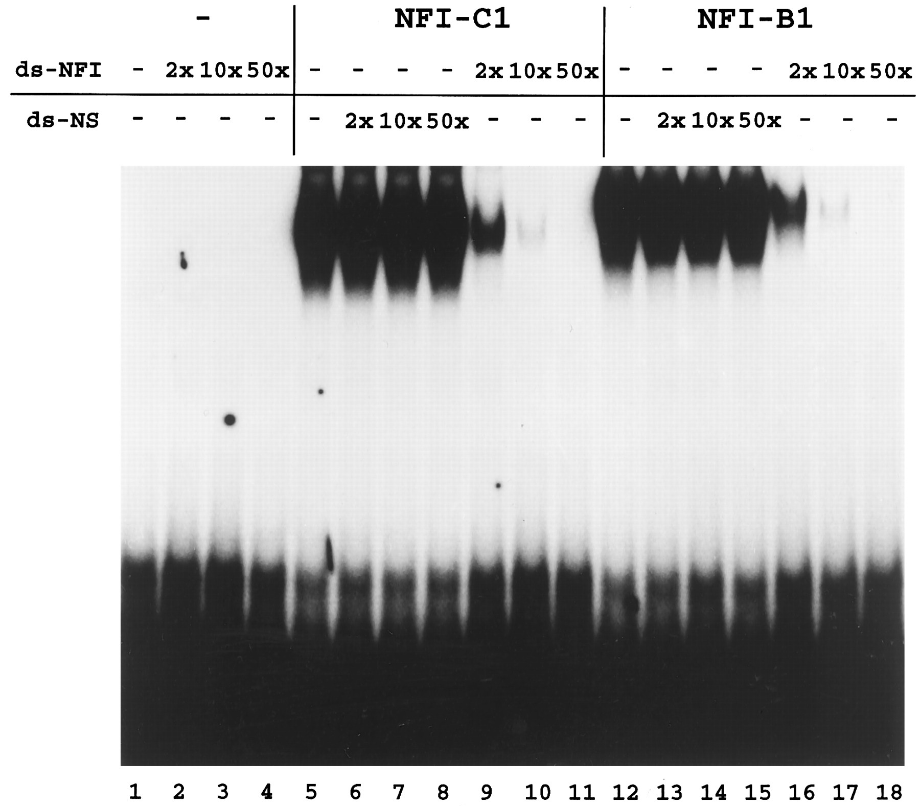
Figure 4:
Specific DNA binding by X. laevis NFIs. Extract from control(-), NFI-B1 (NFI-B1), or NFI-C1 (NFI-C1) mRNA-injected oocytes were used in the gel mobility shift assay with 5 ng of GraphicP-labeled ds-NFI and the indicated amount of unlabeled ds-NFI or a nonspecific DNA (ds-NS) competitor.
|
|
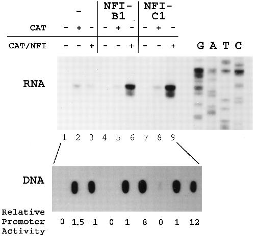
Figure 5:
Transcriptional activation by X. laevis NFIs in a reconstituted oocyte system. Control oocytes(-) or oocytes preinjected with the mRNA for NFI-B1 or NFI-C1 were injected with either one of two promoter vectors. The first vector (CAT) was a vector containing the SV40 promoter upstream of the CAT gene, and the second one (CAT/NFI) had two copies of the NFI binding site inserted into the CAT vector. Half of the oocyte homogenate was used for RNA analysis by primer extension (upper panel). The other half was used to quantify the injected DNA by slot blot analysis (lower panel). The relative promoter activity was determined by normalizing the primer extension signal with the DNA signal.
|
|
Figure 6:
Northern blot analysis showing differential regulation of X. laevis NF1 genes in the intestine, tail, and hind limb during metamorphosis. Ten μg of RNA were used per lane except for the tail at stage 64 and the hind limb at stage 56, which had only 5 μg RNA. Duplicate blots were probed with the coding regions of NFI-B1 and NFI-C1. After boiling off the probes, the filters were hybridized with rpL8 as a control for loading (Shi and Liang, 1994). The blots containing limb RNA were exposed for a longer period. The positions of 28 and 18 S rRNA are indicated. Note that both genes had similar expression profiles. High levels of their mRNAs were present in the intestine during remodeling (stages 60-66), in the tail during resorption (stages 62-64), and in hind limb during and immediately after limb morphogenesis (stages 56-60; note that only half as much RNA was used for stage 56). The smeary signals for both genes were most likely due to partial degradation of the mRNAs because of their large sizes, about 10 and 8 kilobases for NFI-B and NFI-C mRNA, respectively. In addition, some size heterogeneity might be due to alternative splicing.
|
|
Figure 7:
TGraphic activation of NFI genes in premetamorphic tadpoles. 10 μg of total RNA from intestine and tail of stage 56 tadpoles treated with 5 nM of TGraphic for the indicated number of days were electrophoresed on 1% agarose/formaldehyde gels. Duplicate blots were probed with the coding regions of NFI-B1 and NFI-C1 cDNA. After boiling off the probes, the same filters were probed with rpL8 as control of loading. The positions of 28 and 18 S rRNA are indicated.
|
|
Figure 8:
Xenopus NFI genes are activated during late embryogenesis and further up-regulated during metamorphosis. Ten μg of total RNA from ovary, whole embryos, or tadpoles up to stage 66 (the end of metamorphosis) were analyzed by Northern blot hybridization. The hybridization signals were quantified using a PhosphorImager. Note that both NFI-B and NFI-C genes were activated around stage 23/24 (the early tailbud stages). Relatively low levels of their expression were present throughout late embryogenesis (stages 23-45; tadpole hatches around stage 35/36 and feeding begins around stage 45). The mRNA levels were then up-regulated after stage 54 when endogenous TGraphic levels began to increase (Leloup and Buscaglia, 1977).
|
|
Figure 9:
Anti-NFI-B1 antibody supershifts NFI-DNA complexes. DNA binding was performed as in Fig. 4 with control (-) or NFI mRNA-injected oocyte extracts. Anti-NFI antibodies were added either before (lanes 3, 5, 8, 10, 13, and 15) or after (lanes 2, 4, 7, 9, 12, and 14) the addition of labeled ds-NFI. Note that anti-NFI-B1 antibody could supershift both the NFI-B1-DNA complexes (arrowhead) and less efficiently the NFI-C1-DNA complexes (asterisk) while anti-NFI-C1 antibody had no effect, independently of the order of antibody addition.
|
|
Figure 10:
NFI binding activity is regulated similarly as the NFI mRNAs during development. Whole cell extracts were isolated from the intestine (A), hind limb (B), and tail (C) of tadpoles at different developmental stages and analyzed for binding to labeled ds-NFI. Specific complexes were formed in the absence (lanes 1-4) or presence of a 20-fold excess of a nonspecific competitor (lanes 5-8) but not in the presence of a 20-fold excess of the unlabeled ds-NFI (lanes 9-12). The addition of the anti-NFI-B1 antibody could supershift most of the complexes formed (lanes 13-16). The arrowheads and asterisks indicate complexes of similar mobilities as the supershifted NFI-B1-DNA and NFI-C1-DNA complexes, respectively, shown in Fig. 9. Note that longer exposure was necessary for the tail samples (C) due to weaker binding activity and that more smear was present in stage 62 and 64 samples. This smear was likely due to protein degradation even though proteinase inhibitors were present in the samples. This is probably because proteinases were more abundant in the tail at these stages as the tail resorbs (Nieuwkoop and Faber, 1956). The protein degradation might be also responsible for the inefficient antibody supershifting.
|
|
Figure 11:
NFI binding activity is present in adult organs. Whole cell extracts were made from different regions of the gastrointestinal tract, hind limb, and liver of young frogs and analyzed for ds-NFI binding activity. The binding activity was present in all tissues, and the binding could be competed out by a 20-fold excess of the unlabeled ds-NFI itself but not by a 20-fold excess of the nonspecific DNA (ds-NS). The adult liver complexes migrated faster, likely due to partial degradation of the NFI proteins. For comparison, stage 56 liver extract contained much less NFI binding activity than the frog liver but produced complexes of similar mobilities as those by the intestinal or limb extracts.
|