Click here to close
Hello! We notice that you are using Internet Explorer, which is not supported by Xenbase and may cause the site to display incorrectly.
We suggest using a current version of Chrome,
FireFox, or Safari.
???displayArticle.abstract???
Using a differential display strategy, we have isolated a cDNA corresponding to a mRNA which is induced by retinoic acid treatment of late gastrula Xenopus embryos, and much more strongly induced by retinoic acid and cycloheximide. The cDNA, designated X17C, encodes a novel mitogen-activated protein (MAP) kinase phosphatase of 378 amino acid residues which is only distantly related to other known MAP kinase phosphatases. In normal embryogenesis, the X17C mRNA is expressed after the midblastula transition and accumulates during gastrulation. In neurula and tailbud stage embryos the mRNA is localised in two domains, one in the anterior region of the embryo, and one at the tail tip. When expressed from synthetic mRNA injected into oocytes, the X17C protein is found within the cytosolic fraction and not in the nucleus. The X17C protein dephosphorylates and inactivates Xenopus MAP kinase in oocytes stimulated to undergo maturation by progesterone. We indicate the application of X17C as a tool for interfering with MAP kinase signaling in somatic cells of embryos, using FGF receptor-mediated MAP kinase activation in animal cap explants.
???displayArticle.pubmedLink???
8861094
???displayArticle.link???Mech Dev ???displayArticle.grants???[+]
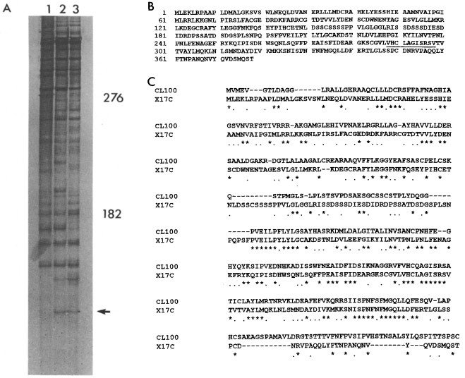
Fig. 1. Isolation of X17C cDNA by differential display, and deduced amino acid sequence of X17C protein. (A) Display of amplified cDNAs on a denaturing polyacrylamide gel. The cDNA were derived by RT-PCR, using arbitrary primers (see Experimental procedures) from stage 13 embryos treated as follows: (I) control untreated; (2) retinoic acid treated; (3) retinoic acid plus cycloheximide treated. The arrow indicates the initially-isolated X17C cDNA fragment. The approximate positions of markers at 182 and 276 nucleotides are indicated. (B) Deduced amino acid sequence of the XI7C protein. (C) Comparison of X17C with the CLlOO MAP kinase phosphatase (Clustal V program).
Fig. 1. Isolation of X17C cDNA by differential display, and deduced amino acid sequence of X17C protein. (A) Display of amplified cDNAs on a denaturing polyacrylamide gel. The cDNA were derived by RT-PCR, using arbitrary primers (see Experimental procedures) from stage 13 embryos treated as follows: (I) control untreated; (2) retinoic acid treated; (3) retinoic acid plus cycloheximide treated. The arrow indicates the initially-isolated X17C cDNA fragment. The approximate positions of markers at 182 and 276 nucleotides are indicated. (B) Deduced amino acid sequence of the XI7C protein. (C) Comparison of X17C with the CLlOO MAP kinase phosphatase (Clustal V program).
Fig. 1. Isolation of X17C cDNA by differential display, and deduced amino acid sequence of X17C protein. (A) Display of amplified cDNAs on a denaturing polyacrylamide gel. The cDNA were derived by RT-PCR, using arbitrary primers (see Experimental procedures) from stage 13 embryos treated as follows: (I) control untreated; (2) retinoic acid treated; (3) retinoic acid plus cycloheximide treated. The arrow indicates the initially-isolated X17C cDNA fragment. The approximate positions of markers at 182 and 276 nucleotides are indicated. (B) Deduced amino acid sequence of the XI7C protein. (C) Comparison of X17C with the CLlOO MAP kinase phosphatase (Clustal V program).
Fig. 1. Isolation of X17C cDNA by differential display, and deduced amino acid sequence of X17C protein. (A) Display of amplified cDNAs on a denaturing polyacrylamide gel. The cDNA were derived by RT-PCR, using arbitrary primers (see Experimental procedures) from stage 13 embryos treated as follows: (I) control untreated; (2) retinoic acid treated; (3) retinoic acid plus cycloheximide treated. The arrow indicates the initially-isolated X17C cDNA fragment. The approximate positions of markers at 182 and 276 nucleotides are indicated. (B) Deduced amino acid sequence of the XI7C protein. (C) Comparison of X17C with the CLlOO MAP kinase phosphatase (Clustal V program).
Fig. 5. Cytoplasmic localisation of X17C protein expressed in injected oocytes. Oocytes were injected either with 5 ng X17C mRNA, or with 5 ng Xenopus thyroid hormone receptor mRNA. The thyroid hormone receptor (TRal) is known to be concentrated in the nucleus (Old et aI., 1992). Oocytes were radiolabelled as described in Fig. 4, and were enucleated manually to generate nuclear and cytoplasmic fractions. Extracts of whole oocytes, cytoplasms, or nuclei are represented by w, c and n, respectively.
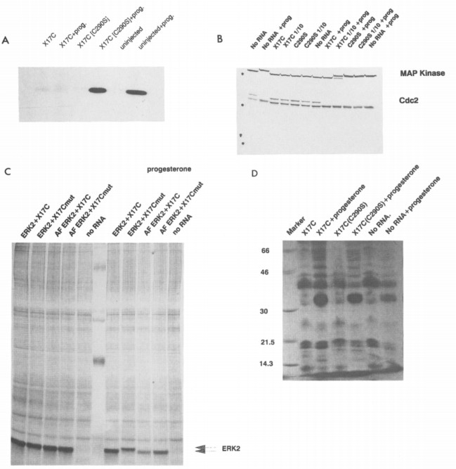
Fig. 6. Activity and specificity of XI7C as a MAP kinase phosphatase. (A) In-gel assay of MAP kinase activity in oocytes injected with synthetic X17C mRNA and then incubated for 20 h at 18°C in the presence or absence of progesterone (prog) (50 µml) to stimulate maturation. Injections were also performed with a mutant form of XI7C produced by mutation of codon 290 so as to replace the encoded cysteine with serine, XI7C(C290S). (B) Western blot to detect MAP kinase and Cdc2 in extracts of oocytes injected with the wild-type or the mutated, XI7C(C290S), forms of X17C mRNA. The oocytes were injected either with about 2.5 ng of synthetic mRNA, or with ten-fold less (i.e. 0.25 ng, indicated by 1/10 in the figure). Oocytes were treated with progesterone (prog) where indicated. After incubation for 20 h, oocytes were homogenised, and extracts were analysed by Western blotting as described in Experimental procedures. (C) Effect of X17C on ERK2 in oocytes injected with synthetic X17C mRNA and ERK2 mRNA, incubated as described in Fig. 4 with radio-labelled methionine, and incubated in the presence or absence of progesterone to stimulate maturation. Where indicated, control experiments were carried out with the X17C(C290S) mutant of X17C (indicated by XI7Cmut in the figure), or with a mutant form of ERK2 in which the threonine and tyrosine residues that become phosphorylated are replaced by alanine and phenylalanine, respectively (indicated by AF ERK2 in the figure). In this experiment, the amount of synthetic X17C mRNA that was injected was reduced to a low amount so that no labelled polypeptide corresponding to XI7C is visible on the autoradiograph of the SOS-polyacrylamide gel; this was to avoid obscuring the ERK2 bands (which co-migrate with X17C at about 42 kDa). The ERK2 bands are indicated by arrows corresponding to the phosphorylated (and hence slower migrating) and non-phosphorylated forms. (0) Assay for an effect of XI7C expression upon abundant oocyte phosphoproteins. Oocytes were injected with 2.5 ng of synthetic X17C mRNA. They were also injected with y_[32pjATP to label phosphoproteins. After incubation for 20 h, homogenates were analysed by SOS-polyacrylamide gel electrophoresis and autoradiography. Oocytes were matured by inclusion of progesterone in the incubation medium, where indicated. The mutant form of X17C was expressed in oocytes where indicated, X17C(C290S).
Fig. 7. Effect of overexpression of X17C upon MAP kinase activation in response to bFGF in animal cap explants. Wild-type or phosphatase-dead X17C was expressed in embryos by injection of 2.5 ng of synthetic mRN A into fertilised eggs at the two cell stage. Where indicated, embryos were injected with synthetic mRNA encoding a dominant negative FGF receptor, XFD (Amaya et aI., 1991). Animal cap explants were taken at stage 8, and treated with bFGF (50 nglml) for 7.5 min, where indicated. The explants were then homogenised and analysed for MAP kinase activity by the in-gel assay.