Click here to close
Hello! We notice that you are using Internet Explorer, which is not supported by Xenbase and may cause the site to display incorrectly.
We suggest using a current version of Chrome,
FireFox, or Safari.
Proc Natl Acad Sci U S A
2005 Jun 07;10223:8210-5. doi: 10.1073/pnas.0500822102.
Show Gene links
Show Anatomy links
Nucleosome assembly protein-1 is a linker histone chaperone in Xenopus eggs.
Shintomi K
,
Iwabuchi M
,
Saeki H
,
Ura K
,
Kishimoto T
,
Ohsumi K
.
???displayArticle.abstract???
In eukaryotic cells, genomic DNA is primarily packaged into nucleosomes through sequential ordered binding of the core and linker histone proteins. The acidic proteins termed histone chaperones are known to bind to core histones to neutralize their positive charges, thereby facilitating their proper deposition onto DNA to assemble the core of nucleosomes. For linker histones, however, little has been known about the regulatory mechanism for deposition of linker histones onto the linker DNA. Here we report that, in Xenopus eggs, the linker histone is associated with the Xenopus homologue of nucleosome assembly protein-1 (NAP-1), which is known to be a chaperone for the core histones H2A and H2B in Drosophila and mammalian cells [Ito, T., Bulger, M., Kobayashi, R. & Kadonaga, J. T. (1996) Mol. Cell Biol. 16, 3112-3124; Chang, L., Loranger, S. S., Mizzen, C., Ernst, S. G., Allis, C. D. & Annunziato, A. T. (1997) Biochemistry 36, 469-480]. We show that NAP-1 acts as the chaperone for the linker histone in both sperm chromatin remodeling into nucleosomes and linker histone binding to nucleosome core dimers. In the presence of NAP-1, the linker histone is properly deposited onto linker DNA at physiological ionic strength, without formation of nonspecific aggregates. These results strongly suggest that NAP-1 functions as a chaperone for the linker histone in Xenopus eggs.
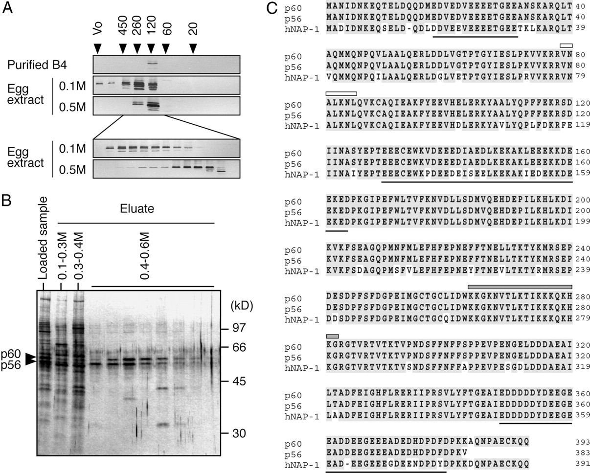
Figure 1. dentification of the B4-binding acidic protein in Xenopus eggs. (A) The B4 protein purified from Xenopus eggs and the soluble fraction of Xenopus egg extract were gel-filtrated on a Superose 12 column in physiological buffer (0.1 M) or high-salt buffer (0.5 M), and fractions were immunoblotted with Ab specific for B4. The position of elution for marker proteins is indicated at the top. (B) The gel-filtration fraction (0.1 M) containing B4 was treated with anti-B4 Ab beads, then B4-binding components were eluted from the beads by high-salt buffer, loaded onto a Mono Q column, and eluted by a linear gradient of 0.1–0.6 M KCl. (C) Alignment of the predicted peptide sequences of the p60 and p56 B4-binding proteins and human NAP-1 (hNAP-1) with identical residues shaded. The identity between p60 and hNAP-1 is 88%. Acidic segments are underlined, and putative nuclear localization and nuclear export signals are indicated by shaded and open bars, respectively.
Figure 2. The remodeling of Xenopus sperm chromatin into nucleosomes in egg extract with and without xNAP-1. (A) Histidine-tagged recombinant proteins of p60 xNAP-1 (His-xNAP-1, lane 1) and B4 (His-B4, lane 2) were produced in E. coli and purified. (B) On immunoblotting of egg extract, Abs raised against His-xNAP-1 detected specifically p56 and p60 xNAP-1 (lane 1), and these bands were also recognized by Ab for yeast NAP-1 (lane 2). (C) Anti-His-xNAP-1 Abs precipitated p56 and p60 xNAP-1 from egg extract, along with B4 (lane 3). (D) Anti-B4 Abs coprecipitated xNAP-1 but neither nucleoplasmin (Npl) nor SET from egg extract, along with B4 (lane 3). Distinct bands of nucleoplasmin are due to the difference in the phosphorylation state. (E) His-xNAP-1 and His-B4 were mixed in physiological buffer at various ratios and electrophoresed on a native-polyacrylamide gel. (F) Egg extract was mock-depleted with control Ab beads (lane 1) or immunodepleted of both xNAP-1 and B4 (lanes 2–4) with anti-xNAP-1 and B4 beads, then reconstituted with free His-B4 (lane 3) or the His-B4/His-xNAP-1 complex (lane 4). Npl (nucleoplasmin) is used as a dilution control. (G) SDS/PAGE analysis of acid extracted proteins from sperm chromatin incubated in egg extract where the xNAP-1/B4 complex has been depleted (lane 1) or replaced by the His-xNAP-1/His-B4 complex (lane 2) or His-B4 (lane 3). (H) Micrococcal nuclease digestion assay of sperm chromatin incubated in the egg extracts where the xNAP-1/B4 complex has been mock-depleted (lane 1), immunodepleted (lane 2), or replaced by the His-xNAP-1/His-B4 complex (lane 3) or His-B4 (lane 4).
Figure 3. The remodeling of Xenopus sperm chromatin in the in vitro reconstitution system. (A and B) Demembranated Xenopus sperm (lane 1) were incubated with the nucleoplasmin/H2A/H2B complex (lane 2) or this complex plus either the His-xNAP-1/His-B4 complex (lane 3) or His-B4 (lane 4). Protein composition and basic structure were examined by SDS/PAGE of acid extracted proteins (A) and micrococcal nuclease digestion (B), respectively.
Figure 4. Facilitation by xNAP-1 of the physiological deposition of B4 onto dinucleosomes. (A) Various concentrations of free B4 (lanes 1–6), the His-xNAP-1/His-B4 complex (lanes 7–12), was added to dinucleosomes, and the binding of the linker histones was examined by the mobility shift of dinucleosomes on agarose gel electrophoresis. The positions of free DNA, dinucleosomes, and dinucleosomes incorporating one (1) and two (2) molecules of the linker histone are indicated. (B) Micrococcal nuclease (MNase) digestion of B4-incorporated dinucleosomes. Dinucleosomes, which had incorporated none (Dinucleosome) or two molar equivalents of B4 in the absence (Di + B4) or presence of His-xNAP-1 (Di + B4/NAP-1) were digested with increasing amounts of micrococcal nuclease. The positions of DNA fragments of dinucleosomes (Di), chromatosome (CH), and nucleosome core (NC) are indicated. M, MspI-deigested pBR322 size marker.
Bharath,
Molecular modeling of the chromatosome particle.
2003, Pubmed
Bharath,
Molecular modeling of the chromatosome particle.
2003,
Pubmed
Chang,
Histones in transit: cytosolic histone complexes and diacetylation of H4 during nucleosome assembly in human cells.
1997,
Pubmed
Dilworth,
Two complexes that contain histones are required for nucleosome assembly in vitro: role of nucleoplasmin and N1 in Xenopus egg extracts.
1987,
Pubmed
,
Xenbase
Dimitrov,
Remodeling sperm chromatin in Xenopus laevis egg extracts: the role of core histone phosphorylation and linker histone B4 in chromatin assembly.
1994,
Pubmed
,
Xenbase
Dimitrov,
Remodeling somatic nuclei in Xenopus laevis egg extracts: molecular mechanisms for the selective release of histones H1 and H1(0) from chromatin and the acquisition of transcriptional competence.
1996,
Pubmed
,
Xenbase
Dworkin-Rastl,
The maternal histone H1 variant, H1M (B4 protein), is the predominant H1 histone in Xenopus pregastrula embryos.
1994,
Pubmed
,
Xenbase
Fujii-Nakata,
Functional analysis of nucleosome assembly protein, NAP-1. The negatively charged COOH-terminal region is not necessary for the intrinsic assembly activity.
1992,
Pubmed
Haushalter,
Chromatin assembly by DNA-translocating motors.
2003,
Pubmed
Ishimi,
Purification and initial characterization of a protein which facilitates assembly of nucleosome-like structure from mammalian cells.
1984,
Pubmed
,
Xenbase
Ishimi,
Identification and molecular cloning of yeast homolog of nucleosome assembly protein I which facilitates nucleosome assembly in vitro.
1991,
Pubmed
,
Xenbase
Ito,
Drosophila NAP-1 is a core histone chaperone that functions in ATP-facilitated assembly of regularly spaced nucleosomal arrays.
1996,
Pubmed
Iwabuchi,
Residual Cdc2 activity remaining at meiosis I exit is essential for meiotic M-M transition in Xenopus oocyte extracts.
2000,
Pubmed
,
Xenbase
Katagiri,
Remodeling of sperm chromatin induced in egg extracts of amphibians.
1994,
Pubmed
,
Xenbase
Kellogg,
Members of the NAP/SET family of proteins interact specifically with B-type cyclins.
1995,
Pubmed
,
Xenbase
Kleinschmidt,
Nucleosome assembly in vitro: separate histone transfer and synergistic interaction of native histone complexes purified from nuclei of Xenopus laevis oocytes.
1990,
Pubmed
,
Xenbase
Laskey,
Nucleosomes are assembled by an acidic protein which binds histones and transfers them to DNA.
1978,
Pubmed
,
Xenbase
Lever,
Rapid exchange of histone H1.1 on chromatin in living human cells.
2000,
Pubmed
Loyola,
Histone chaperones, a supporting role in the limelight.
2004,
Pubmed
Luger,
Crystal structure of the nucleosome core particle at 2.8 A resolution.
1997,
Pubmed
Misteli,
Dynamic binding of histone H1 to chromatin in living cells.
2000,
Pubmed
Ohsumi,
Occurrence of H1 subtypes specific to pronuclei and cleavage-stage cell nuclei of anuran amphibians.
1991,
Pubmed
,
Xenbase
Ohsumi,
Characterization of the ooplasmic factor inducing decondensation of and protamine removal from toad sperm nuclei: involvement of nucleoplasmin.
1991,
Pubmed
,
Xenbase
Ohsumi,
Chromosome condensation in Xenopus mitotic extracts without histone H1.
1993,
Pubmed
,
Xenbase
Philpott,
Nuclear chaperones.
2000,
Pubmed
Philpott,
Nucleoplasmin remodels sperm chromatin in Xenopus egg extracts.
1992,
Pubmed
,
Xenbase
Rodriguez,
Functional characterization of human nucleosome assembly protein-2 (NAP1L4) suggests a role as a histone chaperone.
1997,
Pubmed
Saeki,
Linker histone variants control chromatin dynamics during early embryogenesis.
2005,
Pubmed
,
Xenbase
Smith,
Expression of a histone H1-like protein is restricted to early Xenopus development.
1988,
Pubmed
,
Xenbase
Steer,
Xenopus nucleosome assembly protein becomes tissue-restricted during development and can alter the expression of specific genes.
2003,
Pubmed
,
Xenbase
Travers,
The location of the linker histone on the nucleosome.
1999,
Pubmed
Tyler,
Chromatin assembly. Cooperation between histone chaperones and ATP-dependent nucleosome remodeling machines.
2002,
Pubmed
Ura,
Differential association of HMG1 and linker histones B4 and H1 with dinucleosomal DNA: structural transitions and transcriptional repression.
1996,
Pubmed
,
Xenbase
Ura,
ATP-dependent chromatin remodeling facilitates nucleotide excision repair of UV-induced DNA lesions in synthetic dinucleosomes.
2001,
Pubmed
von Lindern,
Can, a putative oncogene associated with myeloid leukemogenesis, may be activated by fusion of its 3' half to different genes: characterization of the set gene.
1992,
Pubmed
Yoon,
Molecular cloning and functional characterization of a cDNA encoding nucleosome assembly protein 1 (NAP-1) from soybean.
1995,
Pubmed