|
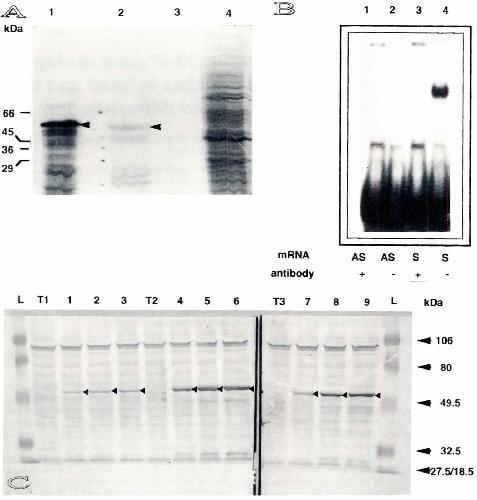
Fig. 1. Analysis of XI.f1i overexpression in injected embryos. IA) Polyacrylamide gel elecrrophoresis of the 35$-labeled translation products encoded
by the XI.fli synthetic transcript, in a rabbit reticulocytesystem (fanes 1)and in a Xenopus oocytesystem (lane 2. 3 and4).Lane 1shows the migrationprofile
of the polypeptides recovered from the rabbit reticulocyte translation mixture. Lane 2 shows the polypeptidesrecoveredfrom the oocyte
extract upon immunoprecipitation with antl.FL/ antibodies. In lane 3. the anti-FLIantibody was preincubated with the antigen prior to the immunoprecipitationreacrion.
Lane 4 shows the complete oocyte translation mixture, in the absence of immunoprecipitation. (8) Bandshifting activity of the
overproduced FLI protein in extracts of Xenopus embryos at neurula stage towards the fTS-target sequence present In MSV-LTR. The embryos have
been injected at the one-celf stage, either with the sense- (lanes 3 and 4) or antisense fIi-synthetic transcript (lanes 1 and 2). The specificity of the
campfeJl: formed with extracts of embryos injected with the sense transcript is assessed by the disappearance of the retarded band upon preincubation
of the protein eJl:tract with an anti-FLI antibody (lane 3). No bandshifting activity is observed in control embryos, probably because endogenous
FLI protein is present at a too low concentration. mRNA: S. injection with the sense transcript; AS. injection with the antisense transcript. antibody:
(+), incubation in the presence of the anti-FLI antibody; (-), incubation in the absence of the anvbody. (C) Immunocharacterization of the FLI protein
overproduced in Xenopus embryos. Fertilized eggs were injected with increasing amounts of synthetic fll mRNA and allowed to develop for 2. 16 and
24 h. Embryos were then homogenized and the proteins were separated by 50S-PAGE and blotted to a nitrocellulose membrane. Proteins of control
embryos of the same developmental stages were also analyzed. The Western blot was then probed with a rabbit polyclonal antl-FLI antibod. L. MW
ladder; T1. T2. T3, control embryos analyzed at 2. 16 and 24 h. respectively. 1.2,3: proteins recovered 2 h after injection of the fertilized eggs with 0.55,
1.1 and 2.2 ng of mRNA. respectively. 4,5 and 6. proteins recovered after a 16 h incubation. 7,8 and 9. proteins recovered after a 24 h Incubation.
The bands correspondmg to the XI-fli protem present in the mjected samples and absent from the control samples are indicated by an arrowhead.
With the eJl:ception of a minor polypeptide of MW ~30 kOa (probably corresponding to a degradation product), all other bands are non specific since
they are observed both in the control and injected samples.
|
|
Fig. 2. Perturbation of gastrulation accompanying XI.fJjoverexpres.
sion. (AI Control Xenopus laevis embryos at the gastrula stage (st.
11.5/12). No superficial feature can be observed, except the blastoporal
rmg m the vegetal hemisphere. IBI Fertilized eggs injecred with the
sense fli svnthetlc transcript exhibir at the gastrula stage (Sf. 10.5/171 a
distinctive cellular outgrowth (arrows) in the ventTO-anterior region.
|
|
Fig. 3. Injected embryos exhibit hyperswollen neural folds. IAI
ControlXenopus laevis embryos at neurula stage (Sf. 18). (B) Fertilized
eggs injected with the sense ffi synthetic transcnpt exhibit at neurula
stage (st. 17/18) a swelling of the border of the neural fold.
|
|
Fig. 4. Injected embryos show at neurula stage 1st. 18/191 distinct
streaks of cells extending from the dorsal to the ventral region,
evocarive of an amplified and/or precocious streaming of neural crest
cells towardsbranchial arches (curved arrows). Note the hyperpigmented
region at the tip of the most anterior cell streak (arrowhead).
|
|
Fig. 5. Injected embryos exhibit blisters and cellular outgrowths at
the level of ectoderm. (AI Embryosinjected with high amounts of the
fli sense synthetic transcripr (1 to 1.4 ngleggJ present head rruncation
phenotypes. similar to the one shown in this picture. Note also the ectodermal
outgrolNths in the most anterior region (arrows} and the important
blisters in the ventral region (hand pointers). (8) A stage 33 injected
embryo, showing a unique malformed eye (full arrow), ventro-anteflor
blisters (hand pOinters), and ectodermal outgrowths (open arrows)
which may look digitated like the most posterior one.
|
|
Fig. 6. Developmental anomalies affecting
the eyes in embryos injected with the (Ii
sense synthetic mRNA 1350 pg/egg). (A) A
single-eyed embryo. IBIAn embryo exhibiting
a deeply buried vestigial eye. ICI An embryo
presenting a third eye in rhe median plane.
probablv arising from a duplication of the A-P
axis in the anterior-most region. IDI Embryos
showmg heavily pigmenred optic sralks
|
|
Fig. 7. XI-fli overexpression leads to a blocking of erythropoiesis in
circulating blood. (Top) Stage 45 embryo injecred with the sense fli
synthetic transcript at the fertilized egg stage (700 pg/egg). Note the
malformations affecting the eyes and guts. and the complete absence
of red blood at the level of rhe heart. although the latter could clearly be
seen beating under the microscope. (BottOm) Conrrol embryo.
Arrowhead, heart; large full arrow, reddish internal mass suggestingan
ectopic accumulation of erythrocytes.
|
|
Fig. 8. Formation of a periocular hemangioma in a stage 45 X. fae.
vis embryo injected with a ffi sense synthetic mRNA (350 pg/eggJ.
|
|
Fig. 9. XI-fli overexpression results in a lack of adhesion between
ectodermal layers. (A) Section of an ara/dire-embedded Xenopus laevis
embryo (st. 10.5/11), injected with the sense fh synthetic mRNA at
the fertiftzed egg stage. Note the .scar. of the injection in the vegetal
hemisphere, containing round-shaped. isolated cells. These abnormal
cells can also be observed on the blastocoel floor. Simultaneously, the
eel/layers in the non involuting dorsal and ventral marginal zones appear
to separate from each other. 8ar, 200 pm_ 81, blastocoel; o8L, dorsal blastoporal lip; DMZ. VMZ, dorsal and ventral marginal zones; M, mesoderm. (BI
Transverse section of an araldlte-embedded gastrula embryo (st. 17/12) injected with the sense fli synthetic transcript at the fertilized egg stage,
exhibiting a hyperswollen blastocoel. Note that the blastocoel appears limired by a single cell layer (the outer layer of epidermal ectoderm), the inner
layer of the epidermal ectoderm looking broken at the level of the blastocoel floor. AS. archentera! slit; BI, blastocoel; Ec, ectoderm; M. mesoderm:
y. yolk. Bar. 200 pm.
|
|
Fig. 10. XI-fli overexpression leads to the accumulation of nonadherent
cells at the borders of the different embryonic layers. (AI
Sagittal section of an araldite-embedded X. laevis embryo at neurula stage (control). The embryo exhibits a large archenteral cavity and in the
dorsal region the three embryonic layers (neuroectoderm. mesoderm
and endoderm) are in perfect contiguity. Anterior is to the right. dorsal to
the top. Bar. 200 f,Jm. (B) Section equivalent to (A' in a neurula embryo
microinjected with a sense fJj synthetic transcript (700 pg) at the fertilized
egg stage. The archenteron is reduced to a mere slit. Although the
mesoderm has actively migrated under the ecroderm. the borders
between the three embryonic layers are now full of round-shaped isolated
cells (thick arrows). probably present In an excess of ECM. Notice
the .scar' of the iniection site. exhibiting rhe same anomalous cells. Also
remark the separation between the epithelial and sensorial layers of the
ectoderm in the ventro-anterior region (arrowheads). Anterior is to the
left. dorsal to the tOp. Bar. 200 j.Jm. (CI Two-fold enlargement of the dorsal
region of the section of (B) showing in more details the separation of
the embryonic layers by anomalous cells (thick arrows). Bar. 100 11m. Ar:
archenteron; Ar.d.. archenteron (dorsa/); Ar.R.. archenteron roof; Ar.v..
archenteron (ventra/); Bcd, blastoporal coffar (dorsa!}; Bcv. blastoporal
collar (ventral); EA. eye anlage; Ee. ectoderm; M. mesoderm; Nee. neuroectoderm;
SM. somitic mesoderm,- Y. yolk.
|
|
Fig. 11. Two para sagittal sections of a paraffin-embedded stage 37/38
embryo injected with a sense fIi synthetic mRNA (700 pg/egg) at the fertilized
egg stage. Note the curvature of the A-P axis. the presence of blisters
and the eye anomalies. On the one side. the eye is almost normal (A. long
arrow), whereas on the other side the optic cup did not invaginate properly, the
retinal layer does not appear differentiated as on the opposite side, and the
crystalline lens is stiff attached to the ectoderm (B) (see x2 enlargemenr, C,.
Simultaneously, the anterior region of the eye appears to contain an excess of
ECM (long arrow in the inserrJ containing elongated mesenchymal cells. Bar.
200 pm.
|
|
Fig. 12. Anomalies in heart development accompanying XI.fIi overexpression.
(A) Sagittal section of an araldite-embedded stage 45 embryo (control). Notice the layer of endothelial cells (EC) lining the cardiac jelly (CJ) and the red blood cells (BC) filling the cardiac cavity. (B) Equivalent section In a stage 45 embryo injected with the fli sense synthetic mRNA (700 pg/egg) at the fertilized egg stage. Notice the thickening of the cardiac jelly (CJ) reducing the volume of the cardiac cavity and suggesting an increase in the secretion of a component of the ECM. The endothelial cells (EC) instead of forming a monolayer are now piling up as if they were proliferating abnormally or had modified adhesion properties. Bar. 30um.
|
|
Fig. 13. Transverse section of a paraffin-embedded stage 45 embryo
exhibiting a hemangioma in the periocular region (see Fig. 8).
demonstrating the accumulation of erythrocytes (ellipsoidal nucle.
ated cells) in avascular structures (thin arrows). Also note the fibrous
remnants of a fiffing marerial evocarive of an excessive production of
ECM(thickarrows).C. cartilage:E. eye: Er. erythrocytes: M, muscle.
Bar. 20 /)m.
|