Click here to close
Hello! We notice that you are using Internet Explorer, which is not supported by Xenbase and may cause the site to display incorrectly.
We suggest using a current version of Chrome,
FireFox, or Safari.
???displayArticle.abstract???
In order to know the role of the Xdsg gene in presumptive PGCs (pPGCs) of Xenopus, we attempted to inhibit the translation of Xdsg mRNA in pPGCs by injecting antisense morpholino oligo (asMO), together with Fluorescein Dextran-Lysine (FDL), into single germ plasm-bearing cells of 32-cell embryos. Among three types of asMOs complementary to different parts of the 5'-untranslated region of Xdsg mRNA tested, only one asMO, designated as Xdsg-3, inhibited the translation of the mRNA in FDL-labeled pPGCs, resulting in the absence of labeled PGCs in experimental tadpoles. On the other hand, two other asMOs, Xdsg-1 and -2, did not inhibit the translation, so that a similar number of labeled PGCs found in FDL-injected but asMO-uninjected control tadpoles were observed in experimental tadpoles derived from asMO-injected embryos. Surprisingly, use of Xdsg-3 asMO resulted in the disappearance of the protein of Xenopus vasa homolog (Xenopus vasa-like gene 1, XVLG1) from FDL-labeled pPGCs by inhibiting the translation of XVLG1 mRNA. However, the effect of Xdsg-3 asMO on the translation of Xdsg and XVLG1 mRNAs and PGC formation could be canceled by the coinjection with Xdsg mRNA. Consequently, the Xdsg protein in pPGCs may play an important role in the formation of PGCs by regulating the production of XVLG1 protein.
Fig. 3. pPGCs with or without Xdsg protein in Xdsg asMO-injected embryos. Xdsg protein is represented by the fluorescence of Cy3 (red), due to immunostaining. Cells derived from the injected GPBC are labeled with FDL (green). The asMO injected and stage examined are labeled on the panels. Scale bar is 50 μm. (A1) A cell having a granular cytoplasm in the perinuclear region (arrow) or a pPGC is seen among the endoderm cells. (A1â²) Merged image of A1 with FITC and Cy3. The pPGC (arrow) is labeled with both FDL and Cy3 but an adjacent somatic endoderm cell with FDL only. (A2) A pPGC from uninjected GPBCs (arrowhead) in a Xdsg-3 asMO-injected embryo, showing the fluorescence of Cy3 next to the nucleus which seems to be empty. (B) Two pPGCs having a granular cytoplasm in the perinuclear region (arrows). They are stained with both FDL (Bâ²) and Cy3 (Bâ²). (C1) Two pPGCs having a granular cytoplasm in the perinuclear region (arrows) are easily distinguishable from adjacent somatic endoderm cells. (C1â²) Merged image of C1 with FITC and Cy3. The pPGCs (arrows) and the somatic endoderm cells are labeled with FDL only. (C2) Merged image of a transverse section of a Xdsg-3 asMO-injected embryo with FITC and Cy3. Two pPGCs from asMO-uninjected GPBCs stained with Cy3 only (arrowheads) are situated in and next to a cluster of endoderm cells from the asMO-injected GPBC. The top and bottom are the dorsal and ventral sides, respectively. (D) The majority of the endoderm cells are stained with FDL. (Dâ²) Same section as in panel D. The fluorescence of Cy3 is prominent in the perinuclear region of three cells (arrows), indicating that they are definitely pPGCs. The nucleus seems to be empty. (Dâ²) Merged image of panels D and Dâ². The three pPGCs (arrows) are labeled with both FDL and Cy3.
Fig. 4. pPGCs with or without XVLG1 protein in asMO-injected, and Xdsg-3 asMO and Xdsg mRNA coinjected embryos. XVLG1 protein in the perinuclear region of pPGCs is represented by the fluorescence of Cy3 (red), due to immunostaining. Cells derived from the injected GPBC are labeled with FDL (green). The asMO injected and the stage examined are labeled on the panels. Scale bar is 50 μm. (A) All endoderm cells in an embryo are stained with FDL. (Aâ²) Same section as in panel A. Given that the perinuclear cytoplasm of a cell (arrow) is stained with Cy3, it can be concluded as a pPGC. The nucleus seems to be empty. (Aâ²) Merged image of panels A and Aâ². The pPGC (arrow) is stained with both FDL and Cy3. (B) A pPGC having a granular cytoplasm in the vicinity of the nucleus (arrow) in the endoderm cell mass. (Bâ²) Same section as in panel B. The endoderm cells in the upper part, including the pPGC (arrow) are stained with FDL and those derived from an uninjected cell in the lower part of the right-hand corner are unstained. (Bâ²) Same section in panel B. The perinuclear region of the pPGC (arrow) is weakly stained due to the injection of the asMO. (C) FDL-labeled cell (arrow) is located in the lateral part of the endoderm cell mass in a transverse section. The nucleus and the perinuclear region of the cell are heavily stained. (Câ²) Same section as in panel C. The perinuclear region of the cell (arrow) and of another cell (arrowhead) in a more dorsal part is heavily stained with Cy3, indicating that they are definitely pPGCs. (Câ²) Merged image of panels C and Câ². One pPGC stained with both FDL and Cy3 (arrow) and the other with Cy3 only (arrowhead) were derived from the asMO-injected and uninjected GPBCs, respectively. The top and bottom are the dorsal and ventral sides, respectively. (D) A pPGC having a granular cytoplasm in the perinuclear region (arrow) is seen in a central part of the endoderm cell mass of a transverse section of an embryo. (Dâ²) Same section as in panel D. The nucleus and its vicinity of the pPGC (arrow) are heavily stained with FDL. (Dâ²) Same section as in panel D. The perinuclear region of these cells (arrows) is not stained with Cy3 because of the scant or complete absence of XVLG1 protein following injection of the asMO. (E) Two cells (arrow and arrowhead), which are obviously different in morphological features from the endoderm cells with many yolk platelets inside at the lower part of this figure, are situated in the uppermost dorsal part of the endoderm cell mass of a transverse section of an embryo. da: dorsal aorta, n: notochord, s: somite. (Eâ²) Same section as in panel E. One of the two cells, being stained with FDL (arrow), is derived from the coinjected GPBC. (Eâ²) Same section as in panel E. The perinuclear region of the FDL-labeled (arrow) and unlabeled (arrowhead) cells are stained with Cy3. These two cells were defined as pPGCs, owing to the presence of XVLG1 protein in the perinuclear region.
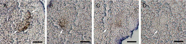
Fig. 5. XVLG1 mRNA in pPGCs of âstage 23â explants by whole-mount in situ hybridization. A signal for the RNA is clearly observed in cells having a granular cytoplasm in the perinuclear region (arrows), possibly pPGCs in the explants from Xdsg-3 (A), -1 asMO (B) injected or uninjected (C) GPBC with the antisense probe for the mRNA. Any signal is not seen in a pPGC (arrow) of the expant from Xdsg-3 (D) or -1 asMO-injected and uninjected GPBC with the sense probe. Scale bar is 20 μm.