Click here to close
Hello! We notice that you are using Internet Explorer, which is not supported by Xenbase and may cause the site to display incorrectly.
We suggest using a current version of Chrome,
FireFox, or Safari.
???displayArticle.abstract???
In embryos of X. laevis, and many other species, early development requires targeted movements of molecules and molecular aggregates within the oocyte or eggcytoplasm. One well-known example in Xenopus is the aggregation of germ plasm, a group of cytoplasmic islands that become distributed during the first few cell cycles to cells that will give rise to the germ line. Nothing is known about the cytoskeletal motor proteins that may drive these movements. We show here that a recently identified Xenopus kinesin-like protein, Xklp1, is required for the aggregation of germ plasm in early Xenopus embryos, thus assigning this protein a role in a developmentally important cytoplasmic localization.
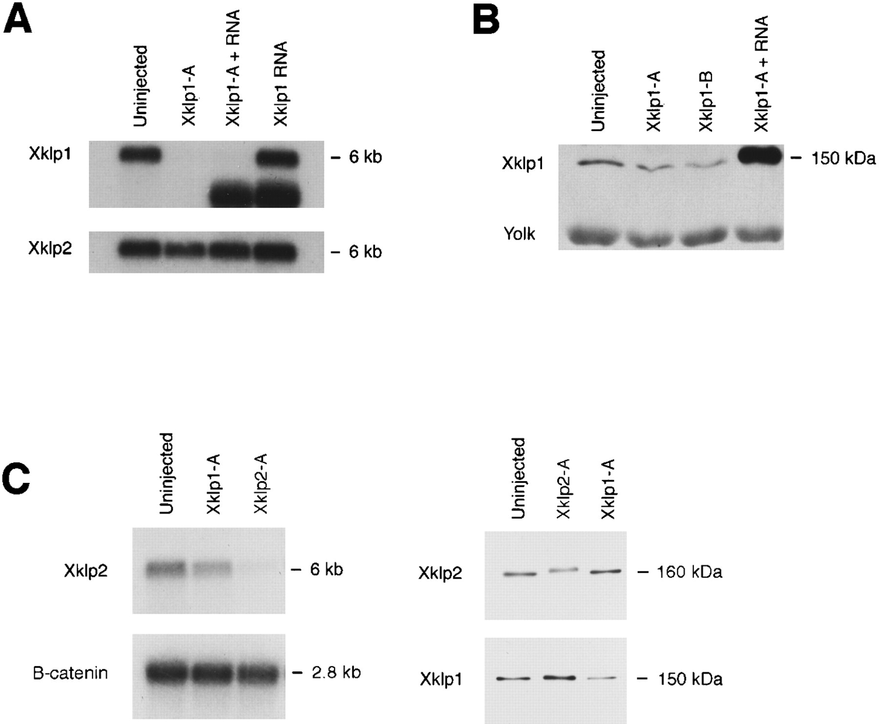
Figure 1.
Xklp1 mRNA and Protein Depletion in Xenopus Oocytes and Embryos by Antisense Oligonucleotides
Antisense oligos directed against Xklp1 effectively deplete Xklp1 mRNA and reduce Xklp1 protein levels in the oocyte.
(A) Northern blot analysis of a rescue experiment shows that antisense oligo Xklp1-A (2nd lane) depletes Xklp1 mRNA as compared to the uninjected lane, but without affecting Xklp2 mRNA. Xklp2 mRNA also acts as a loading control. The injected synthetic Xklp1 mRNA (3rd and 4th lanes) contains Xenopus β-globin UTRs rather than native 5Ⲡand 3ⲠUTRs and thus runs faster on the gel. It is not depleted by the oligo because third base alterations prevent its attack by the oligo.
(B) Western blot analysis of a rescue experiment shows oligos Xklp1-A (2nd lane) and Xklp1-B (3rd lane) cause a reduction in Xklp1 protein as compared to uninjected controls (1st lane). Injected synthetic Xklp1 mRNA is efficiently translated (4th lane).
(C) Northern blot analysis (left) and Western blot analysis (right) show that the antisense oligo Xklp2-A reduces Xklp2 mRNA (left top panel, lane 3) and protein (right top panel, lane 2) without affecting Xklp1 mRNA (not shown) and protein (right lower panel, lane 2). β-catenin was used as a loading control for the Xklp2 Northern. The Western blot was probed with an antibody to Xklp1 (Ab65) and an antibody to Xklp2 (Xklp2-T).
Figure 2.
Germ Plasm Aggregates Are Missing from Xklp1 mRNA Depleted Embryos
Both uninjected (A) and Xklp2-depleted (not shown) embryos all contained germ plasm aggregates, seen in this section by anti-vimentin staining. No large aggregates could be found in Xklp1 mRNA depleted embryos (B). However, small bits of staining (arrow) could be found in some specimens. Scale bars = 100 μm.
Figure 3.
Depletion of Xklp1 mRNA Causes an Arrest of Germ Plasm Aggregation
Fluorescence microscopy shows germ plasm stained with MitoTracker (red) as hundreds of small islands covering the vegetal hemisphere of an unpricked oocyte (A). Following prick activation, germ plasm aggregated into one or a few large masses in uninjected (B) and Xklp2 mRNA depleted oocytes (C). Germ plasm aggregation was arrested in Xklp1 depleted oocytes (D). Some samples were fixed, sectioned, and stained with anti-vimentin (green). Vimentin staining mirrored MitoTracker staining in both uninjected (E and F) and Xklp1 mRNA depleted (G and H) oocytes and showed that another germ plasm component was affected by the loss of Xklp1. Scale bars: (A)–(D) = 100 μm; (E)–(H) = 50 μm.
Figure 4.
Two Different Antisense Oligos Directed Against Xklp1 mRNA Cause the Same Arrest of Germ Plasm Aggregation
Depletion of Xklp1 mRNA and reduction of Xklp1 protein, using two antisense oligos (Xklp1-A, Xklp1-B) directed against different regions of the RNA, causes a high percentage of prick-activated oocytes to display an arrest of germ plasm aggregation. The sense oligo Xklp1-S does not cause an arrest. Depletion of Xklp2 mRNA via oligo Xklp2-A also does not cause an arrest of aggregation. A scoring system was established such that activated oocytes were assigned to one of three categories 4 hr after activation: full aggregation (as in Figure 3B), partial aggregation (as in Figure 3D), or little to no aggregation (as in Figure 3A). Results in the graph for uninjected and Xklp1-A injected oocytes are a compilation of 6 individual experiments (117 uninjected oocytes, 120 Xklp1-depleted oocytes). Results for Xklp1-S, Xklp2-A, and Xklp1-B injected oocytes are from 3 separate experiments (65 Xklp1-S injected oocytes, 46 Xklp2-A injected oocytes, 64 Xklp1-B oocytes). Finally, an antisense oligo, (Xklp1-At), that has the same sequence as Xklp1-A but contains a thioate modification instead of an amidate modification, also causes an arrest of germ plasm aggregation (data not shown).
Figure 5.
The Germ Plasm Aggregation Arrest Can Be Almost Completely Rescued by Injecting Full-Length Xklp1 mRNA
Prick activated oocytes from a representative experiment show that the germ plasm in rescued oocytes (C) often aggregates much more than in Xklp1-depleted oocytes (B), but does not quite reach the extent of aggregation found in uninjected controls (A). The table presents data from an individual rescue experiment in which 7 ng of full-length Xklp1 mRNA was injected into oocytes that had been depleted of Xklp1 mRNA via 0.8 ng Xklp1-A oligo. The mRNA alone does not affect aggregation. Four other experiments gave similar results. Scale bars = 200 μm.
Figure 6.
Microtubules Are Closely Associated with Aggregating Germ Plasm
Confocal micrographs show germ plasm in red and microtubules in green.
(A) Aggregated germ plasm contains a dense network of polymerized microtubules continuous with those in the vegetal cytoplasm.
(B) By viewing only the microtubule network, the location of the aggregated germ plasm can be predicted by the denser network of microtubules.
(C) Microtubule networks are in close proximity to germ plasm islands in the unpricked oocyte.
(D) The microtubule network in Xklp1- depleted oocytes is unaffected by the depletion, and yet germ plasm aggregation is still arrested. Scale bars = 40 μm.
Figure 7.
Xklp1 Protein Is Found in Aggregating Germ Plasm
All of the images are standard confocal micrographs compiled from 5–10 steps of 1 μm intervals.
(A) Xklp1 protein stains germ plasm and is seen as discrete dots concentrated in the germ plasm islands of an unpricked oocyte. The protein is also seen in the surrounding cytoplasm of the vegetal pole.
(B) Xklp1 protein is found in germ plasm that has been aggregating for 2 hr, as well as in the surrounding cytoplasm.
(C) The protein is still found in germ plasm upon complete aggregation (3.5 hr). The concentration of the protein appears less than earlier, but this seems to be due to incomplete antibody penetration in the wholemounts.
(D) Overexpression of Xklp1 mRNA leads to an increase in Xklp1 staining in both the germ plasm and the surrounding region. Scale bars = 25 μm.