Click here to close
Hello! We notice that you are using Internet Explorer, which is not supported by Xenbase and may cause the site to display incorrectly.
We suggest using a current version of Chrome,
FireFox, or Safari.
Int J Dev Biol
2005 Jan 01;494:437-41. doi: 10.1387/ijdb.051974lb.
Show Gene links
Show Anatomy links
Two members of the Fxr gene family, Fmr1 and Fxr1, are differentially expressed in Xenopus tropicalis.
Blonden L
,
van 't Padje S
,
Severijnen LA
,
Destree O
,
Oostra BA
,
Willemsen R
.
???displayArticle.abstract???
The Fxr gene family is composed of three members, FMR1, FXR1 and FXR2. The FMR1 gene is involved in the fragile X syndrome, whereas for the other two members, no human disorder has been identified yet. An appropriate animal model to study in vivo gene function is essential to unravel the cellular function of the gene products FMRP, FXR1P and FXR2P, respectively. In Xenopus tropicalis both Fmr1 and Fxr1 were identified; however, unexpectedly Fxr2 was not. Here we describe the characterization of both Fmrp and Fxr1p in Xenopus tropicalis. Fmrp is expressed ubiquitously throughout the embryo during embryonic development, whereas Fxr1p shows a more tissue-specific expression particularly during late embryonic development. In adult frogs both proteins are highly expressed in most neurons of the central nervous system and in all spermatogenic cells in the testis. In addition, Fxr1p is also highly expressed in striated muscletissue. Western blotting experiments revealed only one prominent isoform for both proteins using different tissue homogenates from adult frogs. Thus, for in vivo gene function studies, this relative simple animal model may serve as a highly advantageous and complementary model.
Fig. 1. Amino acid sequence alignment of X. tropicalis Fmrp and Fxr1p
with their human orthologues. (A) Identical residues are shaded in black
and conserved substitutions in grey. The alignment shows highly homologous
regions of both Fmrp and Fxr1p between human and X. tropicalis. All
orthologues contain two KH domains, a nuclear localisation signal (NLS), a
nuclear export signal (NES) and an RGG box. In addition, the peptide
sequence of the epitopes of the antibodies are depicted. (B) Phylogenetic
analysis of the Fxr gene family members for human ( FXR), mouse ( Fxr),
zebrafish ( drFxr) and frog ( XtFxr). The early evolutionary origin of this family
is indicated by the Fmr1 like genes from Ciona, Hydractinia ( hyFmr1) and
fruitfly ( dFmr1).
Fig. 2. (Left) Specificity of antibodies KI and 3FX against XtFmrp and XtFxr1p, respectively. GFP signal in HEK293T cells that were transfected with
either XtFmr1 -EGFP (A,G) or XtFxr1 -EGFP (C,E). Cells were simultaneously stained immuno-cytochemically (red) using either antibody KI (B,D) or 3FX
(F,H). Specific labelling of antibody KI was only observed in the XtFmr1 -EGFP transfected cells (B). The absence of KI positive-labelling in the XtFxr1
-EGFP transfected cells (D), indicates lack of cross-reaction of this antibody with Fxr1p. Similarly, antibody 3FX shows only a specific labelling with Fxr1p
(F) and no cross-reactivity with Fmrp (H).
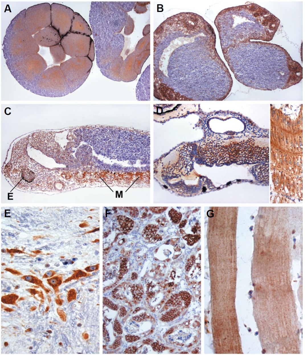
Fig. 3. (Right) Fmrp distribution in X. tropicalis embryos and adult frogs using antibody KI. Fmrp staining is present in the nuclei in stage 6 (A).
The cells composing the animal pole show the typical large nucleus. At stage 23, when internally segregation of the brain occurs, Fmrp expression is
evenly distributed in the cytoplasm of most cells (B). At stages 37 (C) and 46 (D), Fmrp expression remains ubiquitous with high expression in the eye,
brain, intestine and skeletal muscle tissue. In contrast, adult X. tropicalis show a tissue-specifc expression pattern with high expression in the cytoplasm
of most neurons in the brain (E) and all the spermatogenic cells of the testis (F). Note the absence of Fmrp in skeletal muscle (G).
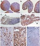
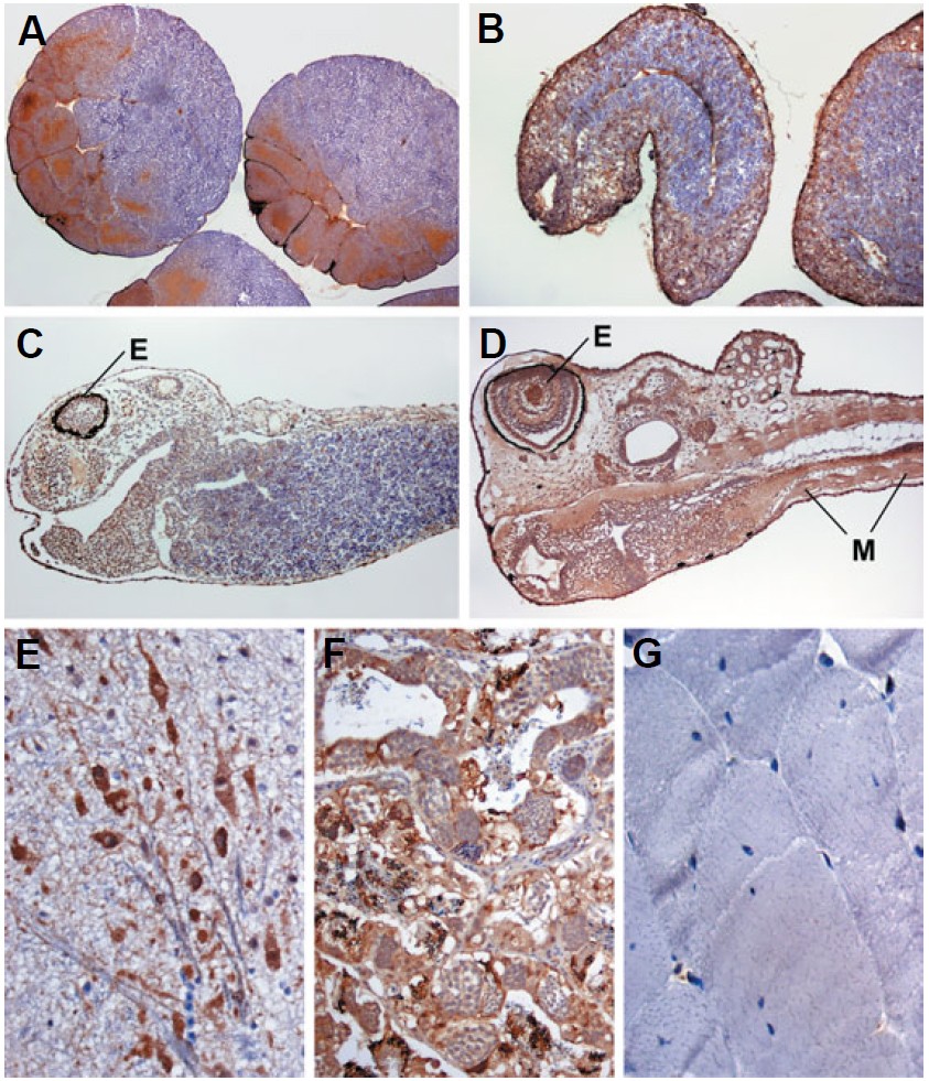
Fig. 4. Fxr1p distribution in X. tropicalis embryos and adult frogs using antibody 3FX. Fxr1p
staining is detected in the nuclei of pre MBT cells (A) (=morula); stage 6. At stage 23, high Fxr1p
expression is predominantly present in structures that will develop into muscle and brain tissue (B),
although a weak labelling is also present in the other cell types. At stages 37 (C) and 46 (D), Fxr1p
shows a tissue-specific expression pattern with a high expression in myoblasts of muscle tissue and
neurons of the brain. The inset in (D) shows a high magnification of Fxr1p labelled myoblasts. In adult
X. tropicalis, Fxr1p expression is confined to the cytoplasm of neurons in the brain (E) and all the
spermatogenic cells in the testis (F). In addition, a granular labelling pattern is observed in skeletal
muscle tissue (G).
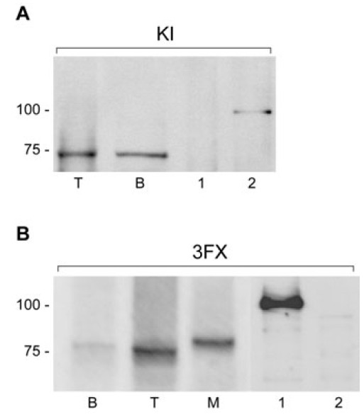
Fig. 5. Western blot analysis of adult X. tropicalis tissues using
antibodies KI (A) and 3FX (B). (A) In homogenates from testis (lane T) and
brain (lane B), a single isoform of approximately 72kDa could be detected.
Importantly, homogenates of HEK293T cells transfected with XtFmr1-
EGFP showed a prominent band representing the Fmrp-EGFP fusion
protein of approximately 99 kDa (lane 2), whereas transfection with XtFxr1-
EGFP did not results in any detectable isoform (lane 1). (B) For Fxr1p, a
weak band of approximately 80 kDa could be detected in brain (lane B) and
in testis this band was more prominent (lane T). In skeletal muscle
homogenates a single isoform of approximately 84 kDa appeared (lane M).
The specificity of antibody 3FX is illustrated by the detection of the Fx1p-
EGFP fusionprotein in XtFxr1-EGFP transfected HEK293T cells with a size
of approximately 107 kD (lane 1) and the absence of any isoform in XtFmr1-
EGFP transfected HEK293T cells (lane 2).