Click here to close
Hello! We notice that you are using Internet Explorer, which is not supported by Xenbase and may cause the site to display incorrectly.
We suggest using a current version of Chrome,
FireFox, or Safari.
Dev Genet
1997 Jan 01;204:329-37. doi: 10.1002/(SICI)1520-6408(1997)20:4<329::AID-DVG4>3.0.CO;2-9.
Show Gene links
Show Anatomy links
Temporal and spatial regulation of a putative transcriptional repressor implicates it as playing a role in thyroid hormone-dependent organ transformation.
???displayArticle.abstract??? Thyroid hormone (T3) induces both larval cell death and adult cell proliferation and differentiation during amphibian metamorphosis. We have previously isolated a bZip transcription factor (TH/bZip) as a T3 response gene in the metamorphosing Xenopus intestine. We demonstrate that the Xenopus TH/bZip gene is a direct T3-response gene and ubiquitously regulated by T3 in tadpoles. Developmental in situ hybridization analyses have shown that TH/bZip gene is regulated in a cell-type-specific manner that correlates with tissue transformation. In particular, it is found to be expressed in the larval intestinal epithelial cells prior to their apoptotic degeneration and in the proliferating adult cell types. However, the gene is repressed again upon adult cell differentiation. This regulation pattern mimics that of the thyroid hormone receptor (TR)beta genes. Since the TH/bZip gene is a direct T3-response gene, such a correlation suggests that TR beta may be involved in the regulation of the TH/bZip gene. More importantly, in situ hybridization reveals a strong spatiotemporal correlation of TH/bZip expression with the tissue-specific remodeling in the intestine, suggesting that TH/bZip gene may participate, depending on the cell types, in both inducing apoptosis and stimulating cell proliferation. A similar role has been reported for the proto-oncogene c-myc, another leucine-zipper-containing transcription factor, in tissue culture cell systems.
Fig. 1. Schematics of the intestinal development in Xenopus laevis.
The tadpole small intestine has a single epithelial fold (Ty), the
typhlosole, where the undeveloped immature connective tissue (CT) is
concentrated. The simple columnar epithelium (E) and the connective
tissue are surrounded by a thin layer of immature muscles (M). By
contrast, a frog has multiple intestinal folds (Fo) with elaborate
connective tissue. The folds are surrounded by a well-developed, thick
layer of muscles. Filled circles proliferating adult epithelial cells; open
circles: apoptotic primary epithelial cells. The developmental stages
are based on Nieuwkoop and Faber (1956).
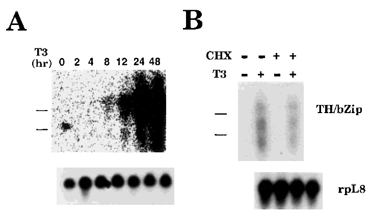
Fig. 2. The TH/bZip gene is a direct T3 response gene. (A) Kinetics
of T3 induction. Stage 54 tadpoles were treated with 5 nM T3 and RNA
was isolated from the intestine. Northern blot hybridization showed
that the TH/bZip mRNA could be detected as early as 8 hr after T3
addition. The positions of 28S and 18S rRNAs were indicated by the
bars on the side. Because of the weak signal, the autoradiogram was
scanned using a phosphorimager in order to reveal the low level of
TH/bZip mRNAafter 8 hr of T3 treatment. (B) T3-induction of TH/bZip
gene is independent of new protein synthesis. Stage 54 tadpoles were
treated with 5 nM T3 in the presence or absence of protein synthesis
inhibitors (CHX) for 12 hr. The RNA was isolated and analyzed by
Northern blot hybridization. Ten μg RNA was used per lane. The
smeary signals migrated faster than the full-length mRNA band were
most likely due to partial degradations of the mRNA. The hybridization
of the duplicate filters with rpL8 served as a loading control.
Fig. 3. The Xenopus TH/bZip gene is highly expressed during both
natural and T3-induced metamorphosis. (A) Developmental expression
of TH/bZip mRNA. Each lane had 10 μg RNA except the lane for
the tail at stage 64, which had only 5 μg. (B) TH/bZip expression
during T3 treatment. Stage 54 tadpoles were treated with 5 nM T3 for
0–5 days, and RNAwas isolated from the intestine. 5 μg RNAwas used
per lane. The hybridization with rpL8 served as a loading control. Bars
indicate the position of the 18S and 28S rRNA. It should be pointed
that the plasma T3 concentration peaked at stage 62 (Leloup and
Buscaglia, 1977), when the TH/bZip mRNA was at the maximal level,
and gradually decreased toward the end of metamorphosis as the
TH/bZip mRNA was down-regulated. By contrast, a constant level of
T3 was maintained during in vitro treatment. This decrease in plasma
T3 is probably not critical for the down-regulation of the TH/bZip gene
as the mRNAlevel was repressed by stage 64 when the plasma T3 was
still at 45% of the peak level (Leloup and Buscaglia, 1977).
Fig. 4. In situ hybridization analysis of TH/bZip gene in the small
intestine before stage 60. (A) Small intestine at stage 55, hybridized
with the antisense TH/bZip probe. The intestinal wall consists of the
simple columnar epithelium (E) facing the lumen (L), the immature
connective tissue (CT), and a thin layer of muscles (M). No specific
signals are detected in any tissues. 3570. (B) Control section of the
small intestine at stage 55, hybridized with the sense probe. No
specific signals are detected. 3570. (C) Small intestine at stage
59, hybridized with the antisense probe. Signals are detected in
the epithelium (arrows), but not in the connective tissue and the
muscles. 3570. (D) Control section of the small intestine at stage 59,
hybridized with the sense probe. No specific signals are detected.
3570. Bars: 20 μm.
Fig. 5. In situ hybridization analysis of TH/bZip gene in the small
intestine during stages 60â61. (A) Cross section of the small intestine
at stage 60. The connective tissue begins to increase in thickness
outside the typhlosole (Ty). Signals are detected not only in the
epithelium (E) facing the lumen (L), but also in the connective tissue
(CT) and the muscles (M). 3160. (B) Control section of the small
intestine at stage 60, hybridizaed with the sense probe. No specific
signals are detected. 3160. (C) Lower region of the typhlosole at stage
60, hybridized with the antisense probe. Positive cells in the connective
tissue cells are localized in the bottom of the typhlosole (arrows).
3525. (D) Intestinal wall at stage 60, hybridized with the antisense
probe. Islets of adult epithelial cells (arrowheads) appear between the
larval epithelium (LE) and the connective tissue. They are intensely
positive. 3525. (E) Intestinal epithelium at stage 61, hybridized with
the antisense probe. The adult epithelium (AE) remains positive, but
the degenerating larval epithelium is negative. 3525. Bars: 20 μm.
Fig. 6. In situ hybridization analysis of TH/bZip gene in the small
intestine during stages 62–66. (A) Cross section of the small intestine
at the early phase of stage 62, hybridized with the antisense probe.
The typhlosole (Ty) becomes shorter, while the adult intestinal folds
(Fo) are developing. The larval epithelium is almost completely
replaced by the adult epithelium (AE), except for the crest region of the
typhlosole and the folds (arrows). Signals in the muscles (M) and the
connective tissue (CT), especially in the typhlosole, are stronger than
those at stage 60 in Fig. 5A, while signals in the epithelium are
weaker. 3130. (B) Control section of the small intestine at the early
phase of stage 62, hybridized with the sense probe. No specific signals
are detected. 3130. (C) Developing intestinal fold of the small
intestine at stage 62, hybridized with the antisense probe. Signals are
intense in the muscles and the connective tissue but not in the adult
epithelium. 3525. (D) Cross section of the small intestine at stage 63,
hybridized with the antisense probe. The connective tissue (CT)
remains positive, but signals are weaker than those at stage 62 in Fig.
6A and C. The muscles are almost negative. 3190. (E) Cross section of
the small intestine at stage 66, hybridized with the antisense probe.
No specific signals are definitively detected in any tissues. 3175. (F)
Control section of the small intestine at stage 66, hybridized with
the sense probe. No specific signals are detected. 3175. L, lumen.
Bars: 20 μm.