Click here to close
Hello! We notice that you are using Internet Explorer, which is not supported by Xenbase and may cause the site to display incorrectly.
We suggest using a current version of Chrome,
FireFox, or Safari.
???displayArticle.abstract???
The Drosophila bagpipe (bap) gene is involved in the specification of the musculature of the embryonic midgut. We report the isolation and characterization of a Xenopus sequence, Xbap, which is closely related to bap. Xbap is also expressed in the developing musculature of the midgut, suggesting that this developmental role of bagpipe is evolutionarily conserved. However, a second, novel role in development is suggested by the observation that Xbap is also expressed in a region of the developing facial cartilage. Using a combination of cartilage staining and comparison to the goosecoid head expression pattern, we show that Xbap expression marks the precursors to the basihyobranchial, palatoquadrate, and possibly Meckel's cartilages. This vertebrate bagpipe sequence therefore is expressed in both mesodermally and neural crest-derived tissues.
FIG. 3. Whole mount in situ hybridization pattern of Xbap [cc: now called nkx3-1] (A, B, C, D, E, and F) and gsc (G, H, I, J, and K) and Alcian blue staining to visualize cartilage (L). All embryos were photographed at 701 magnification except for (D) at 601. (A) Lateral view of a stage 36 embryo showing both regions of facial staining and the region of gut expression (indicated by g in the figure). (B) Anterior view of the embryo pictured in (A). The paired anterior regions of expression lie on either side of the future mouth opening (M). (C) Dorsal view of a stage 37 embryo showing the forked appearance of the Xbap staining. (D) Lateral view of the left side of a stage 42 embryo showing staining of the anteriorgut tube and facial staining. (E) Dorsal view of a stage 40 embryo. Xbap staining now marks crescent-shaped regions on either side of the future mouth opening (M). (F) Dorsal view of the embryo shown in (D). The region of staining corresponding to the palatoquadratecartilage (PQ) is indicated. (G) Lateral view of a stage 36 embryo showing gsc expression in the face. (H) Anterior view of the embryo pictured in (G). Compare the gsc staining pattern with that of Xbap in (B) and note the vertical nature of the bilateral patches of staining and the broad domain of expression of the midline staining. (I) Dorsal view of the embryo shown in G and H. (J) Lateral view of a stage 42 embryo stained for gsc transcript. (K) Dorsal view of the embryo pictured in J showing the convergence of the gsc staining at the embryonic midline. (L) Ventral view of the head of a stage 43 embryo stained for cartilage. Compare the location of the palatoquadratecartilage (PQ) with that of Xbap staining in similar stage embryos (E and F). Meckel cartilage (MC), ceratohyalcartilage (CH), and basihyobranchialcartilage (BHB) are also shown.
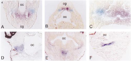
FIG. 4.Sections through the mouth region of embryos stained for Xbap [cc: now called nkx3-1]mRNA (A) or gsc mRNA (A, B, C, and F). Horizontal sections are oriented with anterior at the top. Transverse sections have ventral to the bottom. The positions of the cement gland (cg) and the oral cavity (oc) within the sections are indicated. All sections were photographed at 1001 magnification except C, which is 4001. (A) Transverse section through a double-stained stage 37 embryo. Xbap staining is blue and gsc staining is purple. Both sequences are expressed ventrolat- eral to the oral cavity with Xbap occupying a more lateral position. (B) Horizontal section through the a stage 37 embryo showing Xbap and gsc expression anterior to the oral cavity. Xbap staining marks more lateral tissues. (C) Magnified view of the section shown in B. Notice that the Xbap and gsc staining regions closely abut and appear to overlap in a small area (gray region). (D) Transverse section through the middle of the oral cavity of a stage 37 embryo stained for Xbap sequences alone. Intense Xbap staining is restricted to a small region of tissuelateral to the oral cavity. (E) Transverse section through the posterior of the oral cavity of a stage 37 embryo stained for Xbap alone. A narrow region of Xbap expression is located ventral to the oral cavity, while fainter staining extends upward along the edges of the cavity. (F) Transverse section through the posterior of the oral cavity of a stage 37 embryo stained for gsc alone. Notice that the domain of gsc expression is broader than the Xbap expression shown in E.
FIG. 5. Xbap expression in the gut. A and B are at 301 magnification and C is at 701 magnification. (A) Lateral view of the left side of a stage 38 embryo stained for Xbap. Note the domain of Xbap expression in the gut. (B) Lateral view of the right side of the embryo pictured in A illustrating absence of gut staining. (C) Ventral view of a stage 40 embryo stained for Xbap mRNA showing expression in the developing gut tube on the left side of the embryo. Anterior is up. (D) 1001 magnification of a horizontal section through a stage 37 embryo showing Xbap transcripts in a layer of cells underneath the outer ectoderm on both sides of the embryo. Anterior is to the left. (E) 2001 magnification view of a horizontal section through a stage 41 embryo showing Xbap expression on the left side, partially encircling the gut tube. Anterior is up.
FIG. 6. Localization of Xbap transcripts in the tailbudembryo.
(A) Stage 34 embryos were dissected into head, middle, and tail sections as indicated and total RNA was isolated. (B) Xbap transcript distribution assayed by RNase protection. Total RNA from the head, middle, or tail segments of stage 34 embryos was assayed using either Xbap or XNkx2-5 probe. Both XNkx2-5 and Xbap probes generate two protected fragments, most likely due to dupli- cated genes in the pseudotetraploid Xenopus genome (Kobel and Du Pasquier, 1986). Equal RNA input was determined with the Max probe.
FIG. 7. RT-PCR analysis of Xbap expression in adult tissues. Total RNA was collected from the indicated adult organs and as- sayed for Xbap transcripts using gene specific primers as described under Materials and Methods. RT-PCR amplification of the ubiq- uitous EF-la sequence (visualized by ethidium bromide staining) was used as a control for RNA levels.