|
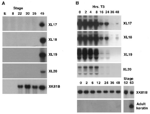
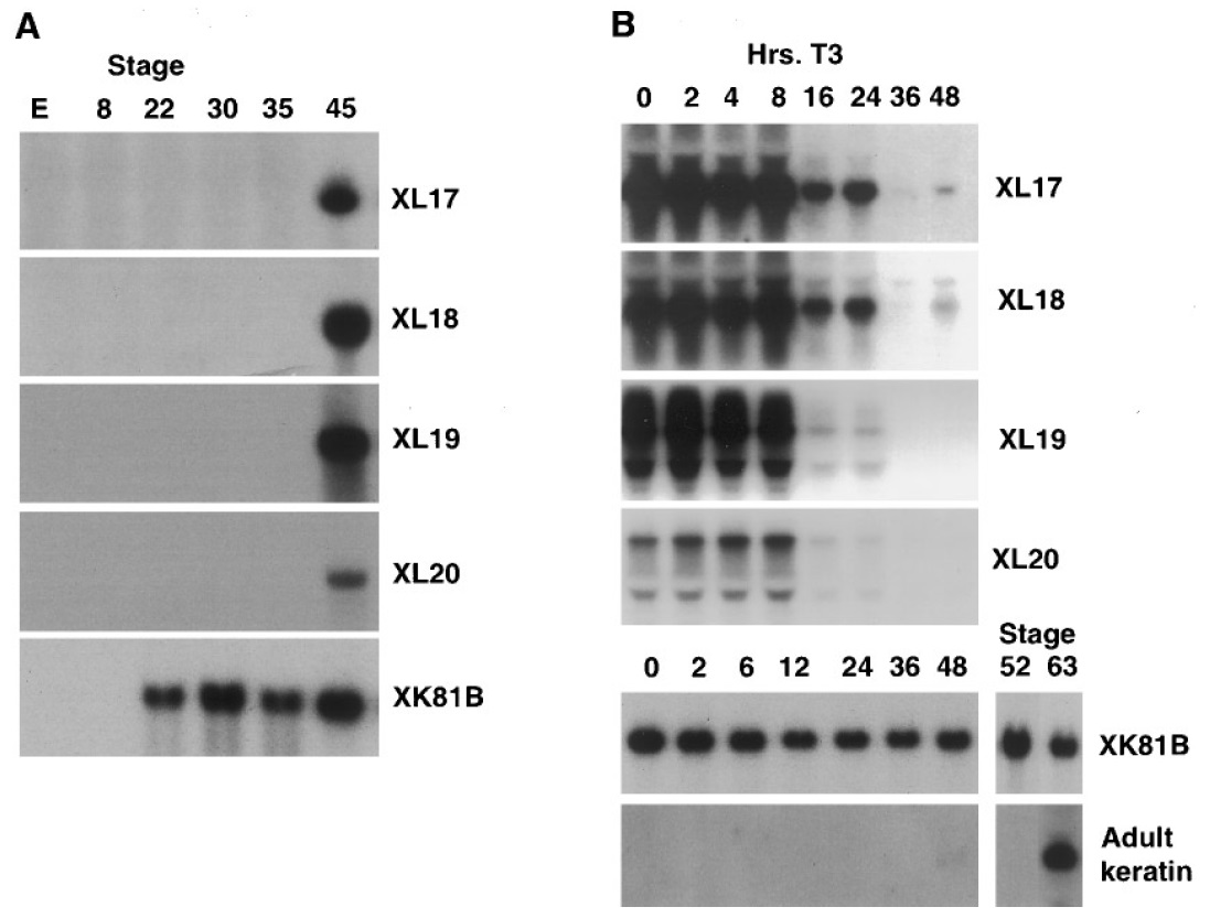
FIG. 1. Northern analysis of total RNA from staged X. laevis embryos and tadpole tails using the indicated cDNA probes. (A) 10 mg of
total RNA from fertilized eggs, E, or from embryos at the indicated developmental stages; (B) XL17-20, 20 mg total tail RNA from stage
52 tadpoles treated with 100 nM T3 for varying lengths of time; XK81B and adult keratin, 10 mg total tail RNA for tadpoles treated as
above or from the indicated stages.
|
|
FIG. 2. Comparison of XL17 and XL18 with human uromodulin. The predicted protein sequences for XL17 (357 amino acids) and XL18
(429 amino acids) are aligned with human uromodulin (hUro, amino acids 211 to 640 are shown) (Pennica et al., 1987, Hession et al.,
1987). Identical amino acids are noted by two dots. Aligned cysteine residues are boxed. Predicted signal sequences (von Heinje, 1986) for
XL17 and XL18 are underlined at the amino-termini. Hydrophobic sequences at the carboxy-termini of XL17, XL18, and uromodulin
which are predicted to be the signal sequences for GPI-anchor addition (Udenfriend and Kodukula, 1995, Rindler et al., 1990) are also
underlined. Potential sites of N-linked glycosylation (N-X-S/T) for XL17 and XL18 are noted by the black triangles below the sequences.
|
|
FIG. 3. Predicted open reading frames for XL19 and XL20. (A) The open reading frame for XL19 predicted from the sequence of its partial
cDNA clone is shown. Three and one-half repeats rich in proline (7–10%) and threonine (31–34%) are aligned, followed by the nonrepetitive
carboxy-terminus. Numbering of the amino acids is from the first amino acid encoded at the 5*-end of the partial cDNA. Four potential
N-linked glycosylation sites are noted by black triangles. (B) The predicted open reading frame for XL20 is compiled from two overlapping
cDNA clones. The region of overlap is from the amino acids 570 to 651, and differences in the predicted amino acids are shown underneath.
An amino-terminal signal peptide is underlined. Potential N-linked glycosylation sites are noted by black triangles.
|
|
FIG. 4. In situ hybridization of tadpole tail sections. Tail cross-sections of stage 52 X. laevis tadpoles were hybridized with the following
digoxigenin (DIG)-labeled riboprobes: (A) an XL17 antisense probe, (B) an XL17 sense probe, (C) an XL18 antisense probe, (D and E) an
XL19 antisense probe in which the sections were counterstained with DAPI to visualize cell nuclei, and (F) an XL20 antisense probe. All
sections are shown at 401 original magnification except E, which was taken at 1001 original magnification. In E, the apical cell layer
(Ap) and the skein cell layer (Sk) are noted by arrows. The underlying collagen lamella layer is marked by black triangles.
FIG.
|
|
FIG. 5. Appearance of down-regulated gene expression during epidermal development. In situ hybridization of tail cross-sections was
performed with the following staged X. laevis embryos and tadpoles and antisense DIG-labeled riboprobes: (A) stage 37/38 with the larval
keratin XK81B, (B) stage 37/38 with XL20, (C) stage 37/38 with XL17, (D) stage 40 with XL20, (E) stage 42 with XL20, and (F) stage 42
with XL17. Sections in D and E were counterstained with DAPI. All are 401 original magnification.
|
|
FIG. 6. Loss of down-regulated gene expression and appearance of adult keratin expression during spontaneous metamorphosis. In situ
hybridization of tail cross-sections was performed with the following staged tadpoles and DIG-labeled riboprobes: (A) stage 62 with XL19,
(B) stage 62 with XL20, (C) stage 62 with adult keratin, (D) stage 63 with XL19, and (E, F) stage 63 with adult keratin. Arrows in A indicate
cells expressing less XL19 than other cells in the section. When in the frame of the picture, the collagen lamella is marked by a black
triangle. Dorsal fin tips are shown in A, B, C, D, and F; side of tail is shown in E. A is at 1001 original magnification, the rest are at 401
original magnification.
|
|
FIG. 7. Localization of XL17 protein by immunohistochemical staining. X. laevis tadpole tail cross-sections were stained with (AâC)
an antibody against XL17 protein or (D) the anti-XL17 antibody preincubated with the peptide antigen. (A) Stage 48 tail, (B and D) stage
54 tadpole tails, (C) stage 63 tadpole tail. (A) 51 original magnification taken with bright field, (BâD) 401 original magnification taken
with Nomarski optics.
|
|
FIG. 8. Whole-mount in situ hybridization of staged X. laevis tadpoles with XL19 or 63-kDa keratin probes. Whole tadpoles were hybridized
with antisense DIG-labeled riboprobes for XL19 (A, labeled XL19; BâD) or 63-kDa adult keratin (A, labeled AK; EâH). Staged tadpoles shown
are (A) stage 53 tadpoles, (B) hindlimb of stage 51 tadpole, (CâF) stage 57, and (G, H) stage 59. dl, dorsolateral region of the hindlimb; m,
medial hindlimb; ll, lateral line organs; hl, hindlimb. Positions of the close-up views of the tadpoles in (D, F, and H) are boxed in (C, E, and
G), respectively. Dark regions in (A, C, E, and G) in the gut area of whole tadpoles are due to normal dark coloration of that tissue.
|
|
thdl17 (thyroid hormone down-regulated protein (gene 17) ) gene expression in Xenopus laevis embryo, assayed via in situ hybridization, coronal section of NF stage 52, dorsal up.
|
|
thdl18 (thyroid hormone down-regulated protein (gene 18) ) gene expression in Xenopus laevis embryo, assayed via in situ hybridization, coronal section of NF stage 52, dorsal up.
|
|
|
|
krt6 (keratin 6) gene expression in Xenopus laevis embryo, assayed via in situ hybridization, coronal section of NF stage 62, dorsal right.
|