XB-ART-16772
J Cell Biol
1997 Mar 10;1365:1047-58. doi: 10.1083/jcb.136.5.1047.
Show Gene links
Show Anatomy links
Laminin-induced clustering of dystroglycan on embryonic muscle cells: comparison with agrin-induced clustering.
Cohen MW
,
Jacobson C
,
Yurchenco PD
,
Morris GE
,
Carbonetto S
.
???displayArticle.abstract???
???displayArticle.pubmedLink??? 9060469
???displayArticle.pmcLink??? PMC2132475
???displayArticle.link??? J Cell Biol
???displayArticle.grants??? [+]
Species referenced: Xenopus laevis
Genes referenced: actl6a dag1 dmd dmd.2 musk rapsn rpsa tbx2 utrn
???displayArticle.antibodies??? Dag1 Ab1
???attribute.lit??? ???displayArticles.show???
|
|
Figure 1 Western blot analysis of rabbit and Xenopus βDG. Nitrocellulose transfers of heavy microsomes from rabbit (R) and Xenopus (frog, F) muscle, which had been separated by SDSPAGE, were stained with mAb 43DAG1/8D5 raised to 15 of the last 16 amino acids at the extreme COOH terminus of the human dystroglycan sequence. It recognizes a band of roughly 43 kD in rabbit corresponding to the size of βDG (Ibraghimov-Beskrovnaya et al., 1992). A similar though somewhat larger band of 44â46 kD is visible in Xenopus. Molecular mass markers (in kD) are shown to the right. |
|
|
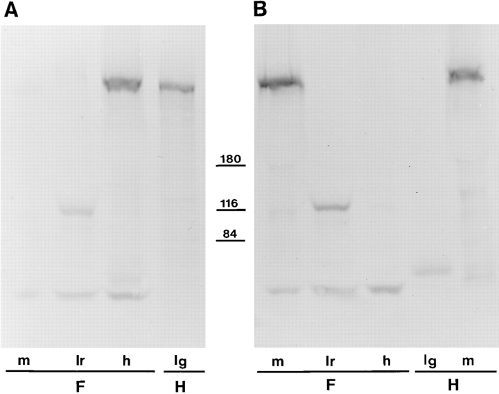
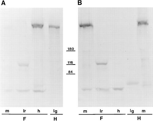
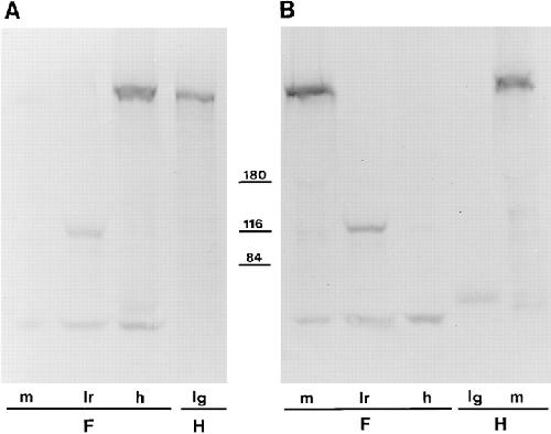
Figure 2 Western blot analysis of human and Xenopus utrophin (A) and dystrophin (B). The Xenopus (frog, F) tissues analyzed were skeletal muscle (m), liver (lr), and heart (h), and the human (H) tissues were skeletal muscle and lung (lg). Positions of molecular mass markers at 180, 116, and 84 kD are shown, while utrophin and dystrophin migrate at â¼400 kD. Lower molecular mass bands at â¼50 and 120 kD are nonspecific and due to cross reactions of the second antibody system. |
|
|
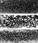
Figure 3 Distribution of DG and LBS on the dorsal surface of muscle cells in control cultures. (A) αDG immunofluorescence, revealing microclusters and a few macroclusters. (B1) βDG immunofluorescence. Part of a megacluster is seen. Microclusters are also apparent but are relatively faint. (B2) LBS immunofluorescence in same field as B1. Microclusters, as well as the megacluster, are well resolved. (C) Laminin immunofluorescence in the absence of pretreatment with laminin, revealing a megacluster but very few microclusters. (D1 and D2) αDG and LBS immunofluorescence, obtained by exposing the culture to 6 nM laminin for 10 min at low temperature, followed by staining for αDG and laminin. The brief pretreatment with laminin inhibited the staining for αDG (compare D1 with A). Bar, 5 μm. |
|
|
Figure 4 Sizes of individual αDG and LBS clusters. (A) αDG clusters (n = 4,989) in control cultures not exposed to laminin. (B) LBS clusters (n = 7,930) in control cultures exposed briefly (10–30 min) to laminin (0.6–6 nM) at low temperature immediately before staining. (C) LBS clusters (n = 3,621) after treatment with 6 mM laminin for 1 d at room temperature. In control cultures (A and B) there were very few macroclusters (>1 μm2), and most of the microclusters were <0.1 μm2. After treatment with laminin for 1 d (C) the incidence of macroclusters was increased whereas the incidence of the smallest microclusters was decreased. |
|
|
Figure 5 Laminin-induced clusters of βDG and LBS. (A1 and A2) βDG and LBS immunofluorescence after treatment with 2.4 nM laminin for 3 d, revealing large numbers of macroclusters and a greatly reduced density of microclusters (compare with Fig. 3 B). (B1 and B2) βDG immunofluorescence in the absence of permeabilization and LBS immunofluorescence after the same laminin treatment as in A. Only some slight âbleedthroughâ of the bright LBS immunofluorescence is seen in B1, thereby confirming that the immunofluorescence in A1 involved the binding of the antiβDG mAb to an intracellular epitope. (C) βDG immunofluorescence on the ventral surface of a cell after the same laminin treatment as in A. (D) βDG immunofluorescence on the ventral surface of a cell in a culture which was not treated with laminin. Comparison of C and D reveals that the laminin treatment induced an extensive accumulation of βDG at the cell periphery but did not induce clustering over the rest of the ventral surface which is inaccessible to laminin. The laminin-induced clustering at the cell periphery is out of focus in A and B2. Bar, 5 μm. |
|
|
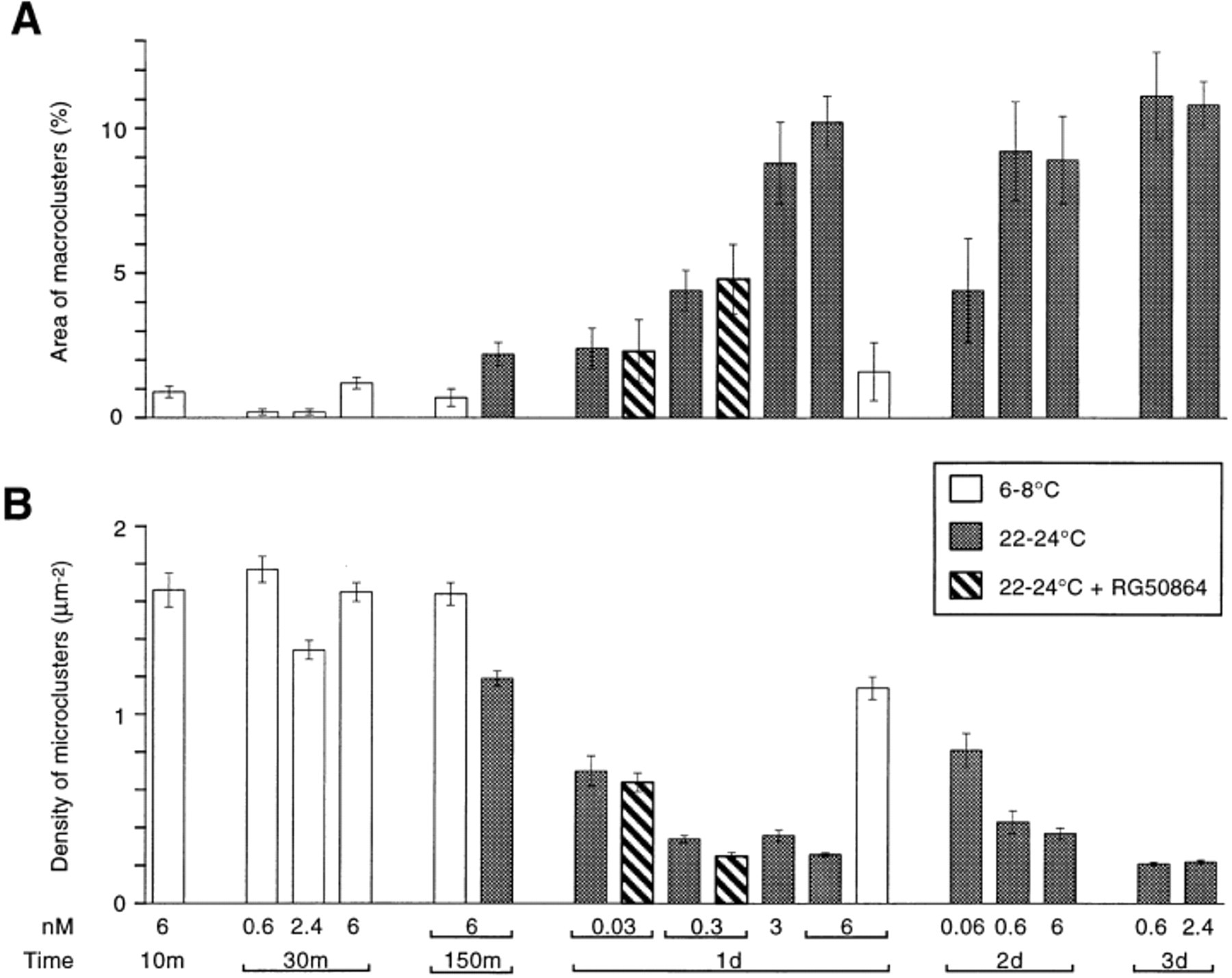
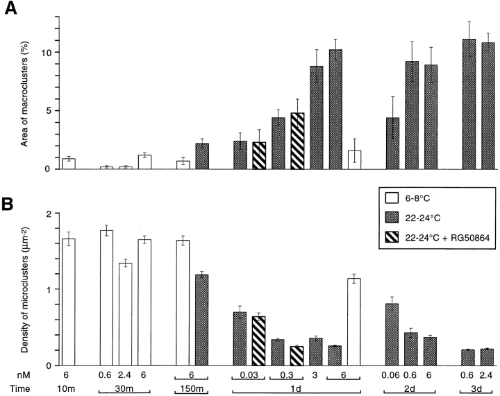
Figure 6 Effect of laminin treatment on (A) the percentage of surface area occupied by LBS macroclusters and (B) the density of LBS microclusters. Laminin concentrations (in nM) and exposure times are indicated at the bottom of B. The cultures were treated with laminin either at low temperature (open columns) or at room temperature (shaded columns). In some cases the laminin treatment was carried out in the presence of RG50864 (striped columns). On average the means and standard errors are based on 26 cells (range, 9–79). |
|
|
Figure 7 Relationship between the density of microclusters and the percentage of surface area occupied by macroclusters. From the data of Fig. 6. |
|
|
Figure 8 E3 lacks clustering activity and inhibits laminin-induced clustering. (A) E3 binding sites after treatment with 3.3 μM E3 for 2 d. Note the relatively high density of microclusters and the paucity of macroclusters. (B) LBS after treatment with 0.6 nM laminin for 1 d. (C) Laminin and E3 binding sites after treatment with 0.6 nM laminin and 3.3 μM E3 for 1 d. E3 inhibited the laminininduced clustering. Bar, 5 μm. |
|
|
Figure 9 Agrin-induced clusters on the dorsal surface. (A1 and A2) βDG and LBS immunofluorescence, revealing several patterned clusters, excellent colocalization, and some decline in the density of microclusters in surrounding regions. (B1 and B2) AChR stain and utrophin immunofluorescence, revealing excellent colocalization. (C1 and C2) AChR stain and PY immunofluorescence, revealing excellent colocalization. The agrin treatment was 3 d in A and B and 2 d in C. Similar results were obtained when the agrin treatment was 1 d. Bar, 5 μm. |
|
|
Figure 10 Laminin-induced clusters contain dystrophin but lack AChRs, utrophin, and PY. (A1 and A2) LBS and dystrophin immunofluorescence, revealing excellent colocalization. (B1 and B2) Dystrophin immunofluorescence and AChR stain, revealing AChRs at a megacluster but not at laminin-induced macroclusters. (C1 and C2) LBS and utrophin immunofluorescence. Utrophin was not detected at laminin-induced clusters (but was always observed wherever AChRs were clustered). (D1 and D2) LBS and PY immunofluorescence, revealing PY at a megacluster but not at the laminin-induced macroclusters. The laminin treatment was 2.4 nM for 3 d in A and C, 6 nM for 2 d in B, and 6 nM for 1 d in D. Some slight bleedthrough of the bright LBS immunofluorescence is seen in C2 and D2. Bar, 5 μm. |
|
|
Figure 11 Effect of agrin and laminin on megaclusters. Cultures were stained for AChRs and photographed at low magnification. (A) In control cultures each muscle cell typically has one or two megaclusters. (B) After treatment with agrin for 1 d, the muscle cells have many agrin-induced macroclusters but often lack megaclusters. (C) After treatment with 6 nM laminin for 1 d, each muscle cell still has one or two megaclusters. Variable numbers of autofluorescent yolk granules are apparent in the central regions of the cells. The faint outlining of some of the cells in C is due to bleedthrough of the very bright LBS immunofluorescence (not shown) at cell peripheries. Bar, 25 μm. |
|
|
Figure 12 Schematic representation of some of the surface proteins clustered by laminin and agrin, both of which bind to αDG. Before clustering, DG complexes of αDG and βDG are considered to be mobile, like AChRs. Laminin-induced clusters of DG and dystrophin are considered to be linked by lamininâlaminin binding. They do not contain utrophin, AChRs, or tyrosine phosphorylated molecules. Not shown is that the end of the vertical short arm of laminin also participates in self binding; that laminin may bind to other sarcolemma-associated molecules; that dystrophin binds to cytoskeletal actin; and that sarcoglycans and syntrophins may also be present at laminin-induced clusters. Agrin-induced clusters contain DG, sarcoglycans (unlabeled), utrophin, β2 syntrophin (syn), tyrosine phosphorylated AChRs, rapsyn (rn), and tyrosine phosphorylated muscle specific kinase (MuSK). Their formation unlike the formation of laminin-induced clusters, involves stimulation of tyrosine kinase activity. |
|
|
Figure 3. Distribution of DG and LBS on the dorsal surface of muscle cells in control cultures. (A) αDG immunofluorescence, revealing microclusters and a few macroclusters. (B1) βDG immunofluorescence. Part of a megacluster is seen. Microclusters are also apparent but are relatively faint. (B2) LBS immunofluorescence in same field as B1. Microclusters, as well as the megacluster, are well resolved. (C) Laminin immunofluorescence in the absence of pretreatment with laminin, revealing a megacluster but very few microclusters. (D1 and D2) αDG and LBS immunofluorescence, obtained by exposing the culture to 6 nM laminin for 10 min at low temperature, followed by staining for αDG and laminin. The brief pretreatment with laminin inhibited the staining for αDG (compare D1 with A). Bar, 5 μm. |
|
|
Figure 1. Western blot analysis of rabbit and Xenopus βDG. Nitrocellulose transfers of heavy microsomes from rabbit (R) and Xenopus (frog, F) muscle, which had been separated by SDSPAGE, were stained with mAb 43DAG1/8D5 raised to 15 of the last 16 amino acids at the extreme COOH terminus of the human dystroglycan sequence. It recognizes a band of roughly 43 kD in rabbit corresponding to the size of βDG (Ibraghimov-Beskrovnaya et al., 1992). A similar though somewhat larger band of 44–46 kD is visible in Xenopus. Molecular mass markers (in kD) are shown to the right. |
|
|
Figure 2. Western blot analysis of human and Xenopus utrophin (A) and dystrophin (B). The Xenopus (frog, F) tissues analyzed were skeletal muscle (m), liver (lr), and heart (h), and the human (H) tissues were skeletal muscle and lung (lg). Positions of molecular mass markers at 180, 116, and 84 kD are shown, while utrophin and dystrophin migrate at ∼400 kD. Lower molecular mass bands at ∼50 and 120 kD are nonspecific and due to cross reactions of the second antibody system. |
|
|
Figure 10. Laminin-induced clusters contain dystrophin but lack AChRs, utrophin, and PY. (A1 and A2) LBS and dystrophin immunofluorescence, revealing excellent colocalization. (B1 and B2) Dystrophin immunofluorescence and AChR stain, revealing AChRs at a megacluster but not at laminin-induced macroclusters. (C1 and C2) LBS and utrophin immunofluorescence. Utrophin was not detected at laminin-induced clusters (but was always observed wherever AChRs were clustered). (D1 and D2) LBS and PY immunofluorescence, revealing PY at a megacluster but not at the laminin-induced macroclusters. The laminin treatment was 2.4 nM for 3 d in A and C, 6 nM for 2 d in B, and 6 nM for 1 d in D. Some slight bleedthrough of the bright LBS immunofluorescence is seen in C2 and D2. Bar, 5 μm. |
|
|
Figure 11. Effect of agrin and laminin on megaclusters. Cultures were stained for AChRs and photographed at low magnification. (A) In control cultures each muscle cell typically has one or two megaclusters. (B) After treatment with agrin for 1 d, the muscle cells have many agrin-induced macroclusters but often lack megaclusters. (C) After treatment with 6 nM laminin for 1 d, each muscle cell still has one or two megaclusters. Variable numbers of autofluorescent yolk granules are apparent in the central regions of the cells. The faint outlining of some of the cells in C is due to bleedthrough of the very bright LBS immunofluorescence (not shown) at cell peripheries. Bar, 25 μm. |
|
|
Figure 4. Sizes of individual αDG and LBS clusters. (A) αDG clusters (n = 4,989) in control cultures not exposed to laminin. (B) LBS clusters (n = 7,930) in control cultures exposed briefly (10–30 min) to laminin (0.6–6 nM) at low temperature immediately before staining. (C) LBS clusters (n = 3,621) after treatment with 6 mM laminin for 1 d at room temperature. In control cultures (A and B) there were very few macroclusters (>1 μm2), and most of the microclusters were <0.1 μm2. After treatment with laminin for 1 d (C) the incidence of macroclusters was increased whereas the incidence of the smallest microclusters was decreased. |
|
|
Figure 6. Effect of laminin treatment on (A) the percentage of surface area occupied by LBS macroclusters and (B) the density of LBS microclusters. Laminin concentrations (in nM) and exposure times are indicated at the bottom of B. The cultures were treated with laminin either at low temperature (open columns) or at room temperature (shaded columns). In some cases the laminin treatment was carried out in the presence of RG50864 (striped columns). On average the means and standard errors are based on 26 cells (range, 9–79). |
|
|
Figure 7. Relationship between the density of microclusters and the percentage of surface area occupied by macroclusters. From the data of Fig. 6. |
|
|
Figure 8. E3 lacks clustering activity and inhibits laminin-induced clustering. (A) E3 binding sites after treatment with 3.3 μM E3 for 2 d. Note the relatively high density of microclusters and the paucity of macroclusters. (B) LBS after treatment with 0.6 nM laminin for 1 d. (C) Laminin and E3 binding sites after treatment with 0.6 nM laminin and 3.3 μM E3 for 1 d. E3 inhibited the laminininduced clustering. Bar, 5 μm. |
|
|
Figure 9. Agrin-induced clusters on the dorsal surface. (A1 and A2) βDG and LBS immunofluorescence, revealing several patterned clusters, excellent colocalization, and some decline in the density of microclusters in surrounding regions. (B1 and B2) AChR stain and utrophin immunofluorescence, revealing excellent colocalization. (C1 and C2) AChR stain and PY immunofluorescence, revealing excellent colocalization. The agrin treatment was 3 d in A and B and 2 d in C. Similar results were obtained when the agrin treatment was 1 d. Bar, 5 μm. |
|
|
Figure 12. Schematic representation of some of the surface proteins clustered by laminin and agrin, both of which bind to αDG. Before clustering, DG complexes of αDG and βDG are considered to be mobile, like AChRs. Laminin-induced clusters of DG and dystrophin are considered to be linked by lamininâlaminin binding. They do not contain utrophin, AChRs, or tyrosine phosphorylated molecules. Not shown is that the end of the vertical short arm of laminin also participates in self binding; that laminin may bind to other sarcolemma-associated molecules; that dystrophin binds to cytoskeletal actin; and that sarcoglycans and syntrophins may also be present at laminin-induced clusters. Agrin-induced clusters contain DG, sarcoglycans (unlabeled), utrophin, β2 syntrophin (syn), tyrosine phosphorylated AChRs, rapsyn (rn), and tyrosine phosphorylated muscle specific kinase (MuSK). Their formation unlike the formation of laminin-induced clusters, involves stimulation of tyrosine kinase activity. |
References [+] :
Anderson,
Nerve-induced and spontaneous redistribution of acetylcholine receptors on cultured muscle cells.
1977, Pubmed,
Xenbase
Anderson, Nerve-induced and spontaneous redistribution of acetylcholine receptors on cultured muscle cells. 1977, Pubmed , Xenbase
Bowe, Identification and purification of an agrin receptor from Torpedo postsynaptic membranes: a heteromeric complex related to the dystroglycans. 1994, Pubmed
Campanelli, A role for dystrophin-associated glycoproteins and utrophin in agrin-induced AChR clustering. 1994, Pubmed
Campbell, Three muscular dystrophies: loss of cytoskeleton-extracellular matrix linkage. 1995, Pubmed
Carbonetto, The basement membrane at the neuromuscular junction: a synaptic mediatrix. 1995, Pubmed
Cohen, Neuritic deposition of agrin on culture substrate: implications for nerve-muscle synaptogenesis. 1994, Pubmed , Xenbase
Cohen, Former neuritic pathways containing endogenous neural agrin have high synaptogenic activity. 1995, Pubmed , Xenbase
Cohen, Distribution of alpha-dystroglycan during embryonic nerve-muscle synaptogenesis. 1995, Pubmed , Xenbase
Cohen, Early appearance of and neuronal contribution to agrin-like molecules at embryonic frog nerve-muscle synapses formed in culture. 1992, Pubmed , Xenbase
Colognato-Pyke, Mapping of network-forming, heparin-binding, and alpha 1 beta 1 integrin-recognition sites within the alpha-chain short arm of laminin-1. 1995, Pubmed
Daggett, Full-length agrin isoform activities and binding site distributions on cultured Xenopus muscle cells. 1996, Pubmed , Xenbase
DeChiara, The receptor tyrosine kinase MuSK is required for neuromuscular junction formation in vivo. 1996, Pubmed
Ervasti, A role for the dystrophin-glycoprotein complex as a transmembrane linker between laminin and actin. 1993, Pubmed , Xenbase
Fallon, Building synapses: agrin and dystroglycan stick together. 1994, Pubmed
Ferns, Agrin-induced acetylcholine receptor clustering in mammalian muscle requires tyrosine phosphorylation. 1996, Pubmed
Gautam, Defective neuromuscular synaptogenesis in agrin-deficient mutant mice. 1996, Pubmed
Gee, Laminin-binding protein 120 from brain is closely related to the dystrophin-associated glycoprotein, dystroglycan, and binds with high affinity to the major heparin binding domain of laminin. 1993, Pubmed
Gee, Dystroglycan-alpha, a dystrophin-associated glycoprotein, is a functional agrin receptor. 1994, Pubmed
Glass, Agrin acts via a MuSK receptor complex. 1996, Pubmed
Godfrey, Components of Torpedo electric organ and muscle that cause aggregation of acetylcholine receptors on cultured muscle cells. 1984, Pubmed
Hall, Synaptic structure and development: the neuromuscular junction. 1993, Pubmed
Hemmings, Analysis of the actin-binding domain of alpha-actinin by mutagenesis and demonstration that dystrophin contains a functionally homologous domain. 1992, Pubmed
Ibraghimov-Beskrovnaya, Human dystroglycan: skeletal muscle cDNA, genomic structure, origin of tissue specific isoforms and chromosomal localization. 1993, Pubmed
Ibraghimov-Beskrovnaya, Primary structure of dystrophin-associated glycoproteins linking dystrophin to the extracellular matrix. 1992, Pubmed
James, Utrophin-dystroglycan complex in membranes of adherent cultured cells. 1996, Pubmed
Jung, Identification and characterization of the dystrophin anchoring site on beta-dystroglycan. 1995, Pubmed
Kalb, Binding and calcium-induced aggregation of laminin onto lipid bilayers. 1991, Pubmed
Kidokoro, Concanavalin A prevents acetylcholine receptor redistribution in Xenopus nerve-muscle cultures. 1986, Pubmed , Xenbase
Kramarcy, Association of utrophin and multiple dystrophin short forms with the mammalian M(r) 58,000 dystrophin-associated protein (syntrophin). 1994, Pubmed
Kullberg, Development of the myotomal neuromuscular junction in Xenopus laevis: an electrophysiological and fine-structural study. 1977, Pubmed , Xenbase
Laemmli, Cleavage of structural proteins during the assembly of the head of bacteriophage T4. 1970, Pubmed
Lyall, Tyrphostins inhibit epidermal growth factor (EGF)-receptor tyrosine kinase activity in living cells and EGF-stimulated cell proliferation. 1989, Pubmed
Matsumura, Differential expression of dystrophin, utrophin and dystrophin-associated proteins in peripheral nerve. 1993, Pubmed
Moody-Corbett, Influence of nerve on the formation and survival of acetylcholine receptor and cholinesterase patches on embryonic Xenopus muscle cells in culture. 1982, Pubmed , Xenbase
Morris, Apo-dystrophins (Dp140 and Dp71) and dystrophin splicing isoforms in developing brain. 1995, Pubmed , Xenbase
Nguyen, Localization of the DMDL gene-encoded dystrophin-related protein using a panel of nineteen monoclonal antibodies: presence at neuromuscular junctions, in the sarcolemma of dystrophic skeletal muscle, in vascular and other smooth muscles, and in proliferating brain cell lines. 1991, Pubmed , Xenbase
Nguyen thi Man, Monoclonal antibodies against defined regions of the muscular dystrophy protein, dystrophin. 1990, Pubmed
Ozawa, Dystrophin-associated proteins in muscular dystrophy. 1995, Pubmed
Peng, Formation of ACh receptor clusters induced by positively charged latex beads. 1981, Pubmed , Xenbase
Peng, Elimination of preexistent acetylcholine receptor clusters induced by the formation of new clusters in the absence of nerve. 1986, Pubmed , Xenbase
Reist, Agrin released by motor neurons induces the aggregation of acetylcholine receptors at neuromuscular junctions. 1992, Pubmed
Suzuki, Molecular organization at the glycoprotein-complex-binding site of dystrophin. Three dystrophin-associated proteins bind directly to the carboxy-terminal portion of dystrophin. 1994, Pubmed
Timpl, The laminins. 1994, Pubmed
Tinsley, Increasing complexity of the dystrophin-associated protein complex. 1994, Pubmed
Vogel, Laminin induces acetylcholine receptor aggregation on cultured myotubes and enhances the receptor aggregation activity of a neuronal factor. 1983, Pubmed
Wallace, Regulation of the interaction of nicotinic acetylcholine receptors with the cytoskeleton by agrin-activated protein tyrosine kinase. 1995, Pubmed
Wallace, Staurosporine inhibits agrin-induced acetylcholine receptor phosphorylation and aggregation. 1994, Pubmed
Weldon, Development of synaptic ultrastructure at neuromuscular contacts in an amphibian cell culture system. 1979, Pubmed , Xenbase
Worton, Muscular dystrophies: diseases of the dystrophin-glycoprotein complex. 1995, Pubmed
Xu, Murine muscular dystrophy caused by a mutation in the laminin alpha 2 (Lama2) gene. 1994, Pubmed
Yoshida, Dissociation of the complex of dystrophin and its associated proteins into several unique groups by n-octyl beta-D-glucoside. 1994, Pubmed
Yurchenco, Molecular architecture of basement membranes. 1990, Pubmed
Yurchenco, Self-assembly and calcium-binding sites in laminin. A three-arm interaction model. 1993, Pubmed
Ziskind-Conhaim, Redistribution of acetylcholine receptors on developing rat myotubes. 1984, Pubmed
