|
Figure 2. Spatial and temporal distribution of β-catenin (catenin beta 1) during early development of the Xenopus embryo. Embryos were bisected along the dorso-ventral axis after immunolabeling so that each half contained dorsal and ventral blastomeres. Each half was imaged from the bisected surface in the confocal microscope. Embryos are oriented with dorsal on the right, ventral on the left, animal hemisphere at the top, and vegetal hemisphere at the bottom, in AâF. Immunocytochemistry reveals an increase in cytoplasmic β-catenin (orange) on the dorsal side of the embryo from the two-cell (A), to four-cell (B), to eight-cell (C) stages. At the 16-cell stage, intense β-catenin is observed in the cytoplasm (D, arrow denotes nucleus) as well as in the nucleus (G, arrow) of the dorsal vegetal blastomeres. At the 32-cell stage, β-catenin is enriched in the cytoplasm (E, arrows denote nuclei) and nuclei (I, arrow) of all dorsal blastomeres, while ventral blastomeres have lower cytoplasmic staining (E) but neglible nuclear staining (H, arrow). Overall, 93% of the embryos analyzed (n = 120) from the 2â32-cell stages displayed this dorsal enrichment of β-catenin. At the blastula stage, β-catenin is detected in the cytoplasm of both dorsal and ventral cells (F), as well as in ventral (J) and dorsal (L) nuclei, though the dorsal signal was stronger in both cellular compartments. Primarily the outer layers of blastomeres demonstrate intense cytoplasmic β-catenin staining, even when blastula were bisected before immunolabeling to assure access of the antibodies to the inner blastomeres. Specific β-catenin staining is detectable in these inner vegetal blastomeres (K) when fluorescence sensitivity is increased to the point where the dorsal signal becomes saturated.
|
|
Figure 3. Immunolocalization of proteins unrelated to β-catenin. To assess whether the patterns of β-catenin observed in the eight-cell embryo (Fig. 1) were unique or were shared by other proteins, we undertook a comparable analysis of eight-cell embryos stained with other antibodies, optically sectioned near the equator, and viewed at low magnification to monitor dorsoventral patterns (AâC) or viewed at the membrane at high magnification (DâF). Dorsal is to the right for A, B, and C as in Fig. 1. While eight-cell embryos show a clear dorsal enrichment of β-catenin (Fig. 1, A and B), membrane skeleton protein 4.1 (A), α-spectrin (B), and cytokeratin (C) antibodies show no dorsal enrichment. The α-spectrin image in B is somewhat more pigmented in the animal hemisphere than the other images, hence the ventral blastomeres appear somewhat darker than the dorsal blastomeres (right) owing to pigmentation differences. The cytokeratin image is yellow because of the extensive overlap of the green autofluorescence signal with the red cytoplasmic staining of the antibody (see F for cytoplasmic stain at higher magnification). While β-catenin staining extends extensively from the membrane through the cytoplasm at the eight-cell stage (Fig. 1, A and B), both protein 4.1 (D) and α-spectrin (E) are restricted to the plasma membrane, which is consistent with their known functions in the membrane skeleton, while the cytokeratin staining extends into the cytoplasm (F) as filaments as previously noted (Klymkowsky et al., 1987), though our fixation methods also retain nonpolymeric protein and increase nonfilamentous cytokeratin staining.
|
|
Figure 8. Effects of Xgsk-3 and LiCl on the spatial accumulation of β-catenin. (A) The dorsoâventral asymmetry in β-catenin requires the postfertilization cortical rotation and is regulated by Xgsk-3. When the postfertilization cortical rotation is prevented by UV-irradiation of the vegetal pole during the first cell cycle (a), 32-cell embryos do not display dorsal enrichments in β-catenin observed in control embryos (b), and some show ventral increases. Injection of 4 ng of RNA encoding Xgsk-3 into the dorsal marginal zone of four- to eight-cell embryos also blocks the dorsal increase in β-catenin staining at the 32-cell stage (c). Conversely, injection of 4 ng of RNA encoding a dominant negative Xgsk-3 into the ventral marginal zone promotes accumulation of β-catenin throughout the 32-cell embryo (d). (B) Injection of a mixture of prolactin and β-cateninâmyc RNAs leads to the accumulation of β-cateninâmyc on the future dorsal side of the embryo (a), though the RNAs are injected and expressed throughout the embryo. Decreased staining (left embryo) or staining for β-cateninâmyc similar to controls (right embryo) is evident when Xgsk-3 RNA is injected with the β-cateninâ myc RNA (b). Inhibition of endogenous Xgsk-3 by injecting dnXgsk-3 RNA increases and expands the accumulation of ectopic β-cateninâ myc to the entire embryonic marginal zone (c). Treatment with lithium also expands the domain of β-cateninâmyc accumulation in embryos overexpressing prolactin (d) or Xgsk-3 (e). Expression of ptβ-cateninâmyc (which encodes a form of β-catenin that is not phosphorylated by Xgsk-3; Yost et al., 1996) with control prolactin results in the accumulation of ptβ-cateninâmyc everywhere in the embryo (f). In these experiments 1 ng of β-cateninâmyc or ptβ-cateninâmyc RNA mixed with 3 ng of prolactin, Xgsk-3, or dnXgsk-3 RNA was injected into the marginal zone of each blastomere of fourcell embryos. Arrowheads denote dorsal (single arrowhead) or dorsal and ventral (two arrowheads) staining. (C) Lithium treatment increases steady-state levels of β-cateninâmyc expressed from injected RNA. Embryos were injected and treated with LiCl as in Materials and Methods. At stage 6.5â7, embryo extracts were prepared and probed for the c-myc epitopeâtagged β-catenin by Western blot analysis. Lane 1, Uninjected controls do not express β-cateninâmyc; lane 2, embryos injected with β-cateninâmyc RNA express the encoded protein; lane 3, injection of β-cateninâmyc RNA as in lane 2 followed by treatment with LiCl leads to greater accumulation of β-cateninâmyc.
|
|
Figure 7. Xwnt-8, but not Xwnt-5A, increases the accumulation of endogenous β-catenin in nuclei. The animal pole of each blastomere at the two-cell stage was injected with RNA encoding prolactin (A), Xwnt-8 (B), or Xwnt-5A (C). At stage 6.5â7 animal cap explants were isolated, fixed, and processed for immunolocalization of endogenous β-catenin.
|
|
Figure 4. Western blot analysis of microdissected 32-cell Xenopus embryos reveals a dorso-vegetal enrichment of β-catenin. (A) Schematic diagram of how embryos were dissected into dorsal animal marginal (DAM; light gray), ventral animal marginal (VAM; black), dorsal vegetal marginal (DVM; pattern), and ventral vegetal marginal (VVM; dark gray) portions. (B) Dorsal steady-state levels of endogenous β-catenin are greater than ventral levels in untreated but not in UV-ventralized embryos. On average, the VVM portions from untreated embryos contained 77% (normalized to tubulin, three experiments) and 64% (normalized to spectrin, five experiments) as much β-catenin as the DVM zones. The VVM portions dissected from UV-irradiated embryos contained more β-catenin relative to their dorsal counterparts; 146% (normalized to tubulin, four experiments) and 172% (normalized to spectrin, four experiments). Spectrin-normalized steady-state levels of β-catenin in the VAM zone were also lower than the DAM region in untreated embryos (78%, five experiments). These differences were eliminated with UV treatment (four experiments for both tubulin and spectrin normalization). The asterisks indicate that the difference in β-catenin content between the dorsal and ventral marginal zones is statistically significant, as determined by Student's t-test (P < 0.05 for a single asterisk, P < 0.005 for a double asterisk). The error bars represent the standard error. (C) Representative Western blot detecting endogenous β-catenin, α-spectrin, and tubulin. Ventral levels of β-catenin are lower in the dissected VAM (lane 2) relative to the DAM (lane 1) regions, and in the VVM (lane 4) relative to DVM (lane 3) regions. It is worth noting that the dissected quadrants of the embryo do not precisely correspond to the areas of maximal β-catenin staining determined by confocal microscopy. Moreover, the thresholds of fluorescence chosen for Figs. 1 and 2 were set high, so as not to saturate the dorsal-ventral differences, and as a result these images do not show the detectable lower levels of cytoplasmic and membrane-associated β-catenin, which nevertheless would contribute to the signals on Western blots. Thus, one cannot quantitatively compare the dorso-ventral differences monitored by the dissections vs. confocal microscopy.
|
|
Figure 5. Wnts, but not BVg1 or noggin, are able to modulate ectopic β-cateninâmyc accumulation both before and after MBT, as assayed by antiâc-myc immunostaining. Uninjected controls do not stain for c-myc when assayed before (A) or after (B) MBT. Embryos expressing β-cateninâmyc and prolactin display a dorsal accumulation of ectopic β-cateninâmyc both before (C) and after (D) MBT, while the ventral side shows negligible staining. (E) Xwnt-8 RNA expands the domain of accumulation of β-cateninâmyc when assayed before MBT (shown, 100 pg Xwnt-8 RNA was injected for the embryo on the left, and 3 ng RNA for the embryo on the right) or after MBT (see Table I). (F) Neither BVg1 (pre-MBT, shown; and post-MBT, Table I) nor noggin RNA (see Table I) are able to elevate β-cateninâmyc accumulation on the ventral side, while β-cateninâmyc accumulates on the dorsal side similarly to control embryos. (G) Xwnt-5A RNA does not alter the pattern of β-cateninâmyc accumulation during the early cleavage stages, but causes β-cateninâmyc to accumulate around the entire marginal zone after MBT (H). In these experiments, 1 ng of β-catenin RNA and 3 ng of prolactin, Xwnt-8 (100 pg in left embryo of panel E), Xwnt-5A, BVg1, or noggin RNA were injected into the marginal zone of each blastomere of four cell stage embryos, followed by antiâc-myc immunostaining before and after MBT. Arrowheads denote dorsal (single arrowhead) or dorsal and ventral (double arrowhead) staining.
|
|
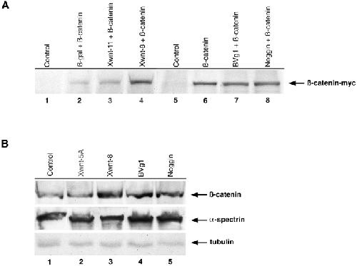
Figure 6. Xwnt-8, but not BVg1 or noggin, is able to increase the accumulation of both ectopic and endogenous β-catenin as assayed by Western blots. (A) In multiple independent experiments (see text), probing Western blots for c-myc, microinjection of 100 pg of β-cateninâmyc RNA with 200 pg of β-galactosidase (lane 2), Xwnt-11 (lane 3), or Xwnt-8 (lane 4) reveals that only Xwnt-8 is able to increase β-catenin levels (compare lanes 2 and 4). Uninjected embryos (lane 1) do not express the c-myc epitope. In separate experiments (lanes 5â8), neither BVg1 (lane 7) nor noggin (lane 8) increases the accumulation of β-catenin above control-injected levels (lane 6), while uninjected embryos do not express β-cateninâmyc (lane 5). (B) Microinjection of 5â10 ng of control prolactin (lane 1), Xwnt-5A (lane 2), Xwnt-8 (lane 3), BVg1 (lane 4), or noggin (lane 5) RNA demonstrates that Xwnt-8 increases the steady state levels of endogenous β-catenin (compare lanes 1 and 3), as shown above for ectopic β-catenin. In these experiments, the animal poles of two-cell embryos were injected with RNA, followed by the extraction of protein before stage 7. To control for protein content and even loading, all endogenous β-catenin bands were normalized to both α-spectrin and tubulin signals from the same Western blot.
|
|
Figure 1 Immunolocalization of β-catenin in early Xenopus embryos. Whole-mount staining with antibody to β-catenin demonstrates greater staining on the dorsal side of embryos (to the right in all panels) at the 8- (A and B) and 16-cell (C and D) stages. Immunolabeled embryos were cut along the equator separating the animal (A and C) from vegetal (B and D) blastomeres and examined with a confocal microscope. Optical sections through these blastomeres demonstrate an arc of cytoplasmic β-catenin in the periphery of the animal dorsal blastomeres (A and C) and vegetal dorsal blastomeres (B and D). Ventral blastomeres stain for β-catenin at the cell surface but not in the cytoplasm.
|