Click here to close
Hello! We notice that you are using Internet Explorer, which is not supported by Xenbase and may cause the site to display incorrectly.
We suggest using a current version of Chrome,
FireFox, or Safari.
Proc Natl Acad Sci U S A
1997 Apr 15;948:3720-5. doi: 10.1073/pnas.94.8.3720.
Show Gene links
Show Anatomy links
Regulated bidirectional motility of melanophore pigment granules along microtubules in vitro.
Rogers SL
,
Tint IS
,
Fanapour PC
,
Gelfand VI
.
???displayArticle.abstract???
Although many types of membrane-bound organelles rely upon microtubule-based transport for their proper placement within the cytoplasm, the molecular mechanisms that regulate intracellular motility remain largely unknown. To address this problem, we have studied the microtubule-dependent dispersion and aggregation of pigment granules from an immortalized Xenopus melanophore cell line. We have reconstituted pigment granule motility along bovine brain microtubules in vitro using a microscope-based motility assay. Pigment granules, or melanosomes, move along single microtubules bidirectionally; however, analysis of the polarities of this movement shows that melanosomes that have been purified from dispersed cells exhibit mostly plus end-directed motility, while movement of organelles from aggregating cells is biased toward the minus end. Removal of all soluble proteins from the melanosome fractions by density gradient centrifugation does not diminish organelle motility, demonstrating that all the components required for transport have a stable association with the melanosome membranes. Western blotting shows the presence of the plus end-directed motor, kinesin-II, and the minus end-directed motor, cytoplasmic dynein in highly purified melanosomes. Therefore, purified melanosomes retain their ability to move along microtubules as well as their regulated state. Direct biochemical comparison of melanosomes from aggregated and dispersed cells may elucidate the molecular mechanisms that regulate organelle transport in melanophores.
Figure 1 (A) Electron micrograph of a thin-sectioned pellet of purified melanosomes. The purified melanosome fractions are uncontaminated by other organelles. (Bar = 0.5 μm.) (Inset) A melanosome at higher magnification showing bilayer membrane encapsulating the electron-dense melanin core. (Bar = 0.1 μm.) (B) A Coomassie-stained polyacrylamide gel comparing melanophore extract (lane 1) with purified melanosomes (lane 2). The positions of the molecular weight markers are indicated to the right of lane 2.
Figure 2 Bidirectional motility of a single melanosome along an axoneme-nucleated microtubule observed by video-enhanced DIC microscopy. Portions of a video sequence showing (A) minus end-directed motility and (B) plus end-directed motility of the same melanosome (arrowheads). The elapsed time between frames is 2 s. (Bar = 6 μm.)
Figure 4 Comparison of the movement of crude (shaded bars) and Percoll-purified melanosomes (open bars). The samples were assayed on a continuous carpet of microtubules, and the total number of motile melanosomes per field was tallied over 10-min periods. At least three different samples were assayed per preparation. The results for each treatment were averaged, and both results were normalized for melanosome concentration using the OD550 of each sample. Results of three individual experiments are shown.
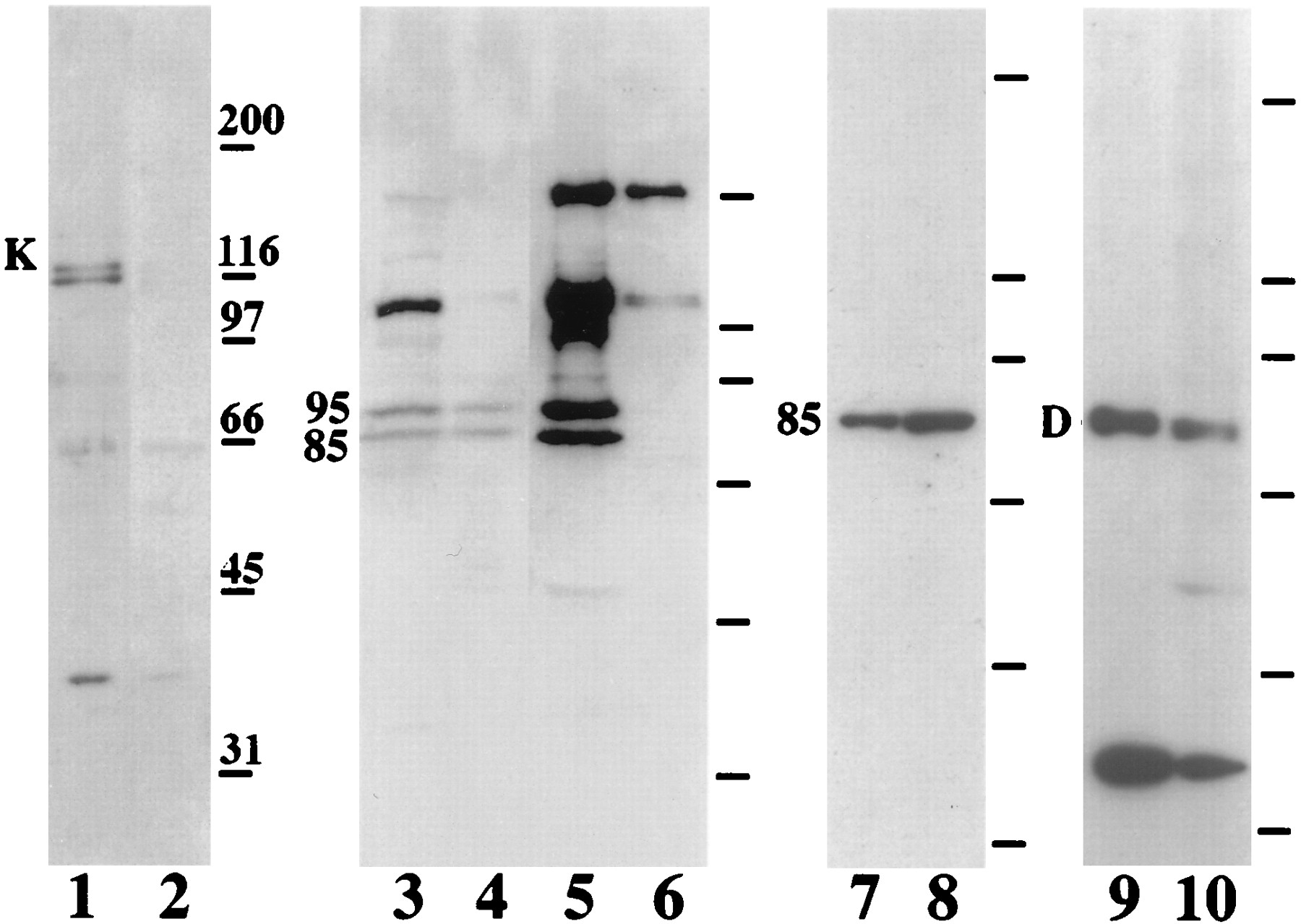
Figure 5 Microtubule motors in melanophores and on melanosomes. Lanes 1â10 show immunoblots probed with antibodies against motor proteins. Kinesin was probed with polyclonal HD-kin5 in cell extract (lane 1) and melanosomes (lane 2). Kinesin heavy chain is marked with âK.â Kinesin-related proteins were detected with the pan-kinesin antibody HIPYR in cell extract (lane 3), melanosomes (lane 4), and proteins that cosediment with microtubules in the presence of AMP-PNP (lane 5) or ATP (lane 6). The 85- and 95-kDa subunits of kinesin-II are indicated. Kinesin-II was probed with the monoclonal K2.4 in cell extract (lane 7) and melanosomes (lane 8). The position of the 85-kDa chain is indicated. Cytoplasmic dynein was detected with the monoclonal 74.1 against dynein intermediate chain in cell extract (lane 9) and melanosomes (lane 10). The position of the 83-kDa intermediate chain is indicated with âD.â The positions of the molecular weight standards are marked to the right of each blot.
Allan,
Protein phosphatase 1 regulates the cytoplasmic dynein-driven formation of endoplasmic reticulum networks in vitro.
1995, Pubmed,
Xenbase
Allan,
Protein phosphatase 1 regulates the cytoplasmic dynein-driven formation of endoplasmic reticulum networks in vitro.
1995,
Pubmed
,
Xenbase
Allan,
Cell cycle control of microtubule-based membrane transport and tubule formation in vitro.
1991,
Pubmed
,
Xenbase
Clark,
Pigment particle translocation in detergent-permeabilized melanophores of Fundulus heteroclitus.
1982,
Pubmed
Cole,
Isolation of a sea urchin egg kinesin-related protein using peptide antibodies.
1992,
Pubmed
,
Xenbase
Cole,
Organization of organelles and membrane traffic by microtubules.
1995,
Pubmed
Cole,
Novel heterotrimeric kinesin-related protein purified from sea urchin eggs.
1993,
Pubmed
,
Xenbase
Coy,
Organelle transport and sorting in axons.
1994,
Pubmed
Cozzi,
The protein-phosphatase inhibitor okadaic acid mimics MSH-induced and melatonin-reversible melanosome dispersion in Xenopus laevis melanophores.
1992,
Pubmed
,
Xenbase
Dabora,
Cultured cell extracts support organelle movement on microtubules in vitro.
1988,
Pubmed
Daniolos,
Action of light on frog pigment cells in culture.
1990,
Pubmed
,
Xenbase
Dillman,
Differential phosphorylation in vivo of cytoplasmic dynein associated with anterogradely moving organelles.
1994,
Pubmed
Euteneuer,
Polarity of some motility-related microtubules.
1981,
Pubmed
Gibbons,
Photosensitized cleavage of dynein heavy chains. Cleavage at the "V1 site" by irradiation at 365 nm in the presence of ATP and vanadate.
1987,
Pubmed
Hearing,
Enzymatic control of pigmentation in mammals.
1991,
Pubmed
Hoyt,
Cellular roles of kinesin and related proteins.
1994,
Pubmed
Hyman,
Preparation of modified tubulins.
1991,
Pubmed
Jiménez,
Tyrosinases from two different loci are expressed by normal and by transformed melanocytes.
1991,
Pubmed
Laemmli,
Cleavage of structural proteins during the assembly of the head of bacteriophage T4.
1970,
Pubmed
Lippincott-Schwartz,
Bidirectional membrane traffic between the endoplasmic reticulum and Golgi apparatus.
1993,
Pubmed
Lombillo,
Antibodies to the kinesin motor domain and CENP-E inhibit microtubule depolymerization-dependent motion of chromosomes in vitro.
1995,
Pubmed
McClintock,
Melanophore pigment dispersion responses to agonists show two patterns of sensitivity to inhibitors of cAMP-dependent protein kinase and protein kinase C.
1996,
Pubmed
,
Xenbase
Middleton,
KAR3-encoded kinesin is a minus-end-directed motor that functions with centromere binding proteins (CBF3) on an in vitro yeast kinetochore.
1994,
Pubmed
Paschal,
MAP 1C is a microtubule-activated ATPase which translocates microtubules in vitro and has dynein-like properties.
1987,
Pubmed
Porter,
Characterization of the microtubule movement produced by sea urchin egg kinesin.
1987,
Pubmed
Rodionov,
Kinesin is responsible for centrifugal movement of pigment granules in melanophores.
1991,
Pubmed
Rozdzial,
Reactivated melanophore motility: differential regulation and nucleotide requirements of bidirectional pigment granule transport.
1986,
Pubmed
Rozdzial,
Bidirectional pigment granule movements of melanophores are regulated by protein phosphorylation and dephosphorylation.
1986,
Pubmed
Sammak,
Intracellular cyclic AMP not calcium, determines the direction of vesicle movement in melanophores: direct measurement by fluorescence ratio imaging.
1992,
Pubmed
Sawin,
Evidence for kinesin-related proteins in the mitotic apparatus using peptide antibodies.
1992,
Pubmed
,
Xenbase
Schnapp,
Kinesin is bound with high affinity to squid axon organelles that move to the plus-end of microtubules.
1992,
Pubmed
Scholey,
Kinesin-II, a membrane traffic motor in axons, axonemes, and spindles.
1996,
Pubmed
Schroer,
Two activators of microtubule-based vesicle transport.
1991,
Pubmed
Schroer,
The role of kinesin and other soluble factors in organelle movement along microtubules.
1988,
Pubmed
Thaler,
Regulation of organelle transport in melanophores by calcineurin.
1990,
Pubmed
Towbin,
Electrophoretic transfer of proteins from polyacrylamide gels to nitrocellulose sheets: procedure and some applications.
1979,
Pubmed
Vale,
Directional instability of microtubule transport in the presence of kinesin and dynein, two opposite polarity motor proteins.
1992,
Pubmed
Vernos,
Motors involved in spindle assembly and chromosome segregation.
1996,
Pubmed
Weetall,
Covalent coupling methods for inorganic support materials.
1976,
Pubmed
Weingarten,
A protein factor essential for microtubule assembly.
1975,
Pubmed
Wright,
Roles of kinesin and kinesin-like proteins in sea urchin embryonic cell division: evaluation using antibody microinjection.
1993,
Pubmed