|
Figure 1. Effect of single pesticides (0.1 ppb each) on time to initiate metamorphosis (FLE; A) and time to complete metamorphosis (TR; B). Error bars show SEM.*Statistically significant groups (ANOVA, p < 0.05).
|
|
Figure 2. Effect of pesticide mixtures on time to initiate metamorphosis (FLE; A) and time to complete metamorphosis (TR; B). Abbreviations: Atr, atrazine; Bicep, Bicep II Magnum; S-Met, S-metolachlor; Mix, nine-chemical mixture (0.1 ppb each pesticide). Letters above bars indicate statistical groupings. Error bars show SEM.*Statistically significant groups (ANOVA, p < 0.05).
|
|
Figure 3. Effect of single pesticides (0.1 ppb each) on SVL (A) and BW (B). Error bars show SEM.*Statistically significant groups (ANOVA, p < 0.05).
|
|
Figure 4. Effect of pesticide mixtures on SVL) (A) and BW(B). Abbreviations: Atr, atrazine; Bicep, Bicep II Magnum; S-met, S-metolachlor; Mix, nine-chemical mixture (0.1 ppb each pesticide). Letters above bars show statistical groupings. Error bars show SEM.
|
|
Figure 5. Correlational analysis of time to complete TR and SVL. Results are shown for single pesticides (0.1 ppb) in A–J and for mixtures (K–O). For the x-axis, the scales for A–J are identical, but note the difference in scale for the mixtures as a result of the delay in metamorphosis in the animals treated with the nine-compound mixture (O). Results are shown for ethanol (A), alachlor (B), cyfluthrin (C), nicosulfuron (D), tebupirimphos (E), S-metolachlor (F), metalaxyl (G), propiconizole (H), λ-cyhalothrin (I), atrazine (J), 0.1 ppb atrazine + S-metolachlor (K), 10 ppb atrazine + S-metolachlor (L), 0.1 ppb Bicep II Magnum (M), 10 ppb Bicep II Magnum (N), and the nine-compound mixture (O). Ellipses show Gaussian bivariate confidence limits. Ellipses are color-coded: black, a positive and significant correlation; blue, a positive but nonsignificant correlation; yellow, a negative but nonsignificant correlation. Significance (p ≤ 0.05) was determined by Bonferroni probabilities and based on Spearmen rank order correlation coefficients. Sample size (as reported in Table 1) cannot be determined from the number of data points due to overlapping data.
|
|
Figure 6. Correlational analysis of time to complete TR and BW. Results are shown for single pesticides (0.1 ppb) in A–J and for mixtures (K–O). For the x-axis, the scales for the top two rows are identical, but note the difference in scale for the mixtures as a result of the delay in metamorphosis in the animals treated with the nine-compound mixture (O). Results are shown for ethanol (A), alachlor (B), cyfluthrin (C), nicosulfuron (D), tebupirimphos (E), S-metolachlor (F), metalaxyl (G), propiconizole (H), λ-cyhalothrin (I), and atrazine (J), 0.1 ppb atrazine + S-metolachlor (K), 10 ppb atrazine + S-metolachlor (L), 0.1 ppb Bicep II Magnum (M), 10 ppb Bicep II Magnum (N), and the nine-compound mixture (O). Ellipses show Gaussian bivariate confidence limits. Ellipses are color-coded: black, a positive and significant correlation; blue, a positive but nonsignificant correlation; yellow, a negative but nonsignificant correlation; red, a negative and significant correlation. Significance (p ≤ 0.05) was determined by Bonferroni probabilities and based on Spearmen rank order correlation coefficients. Sample size (as reported in Table 2) cannot be determined from the number of data points because of overlapping data.
|
|
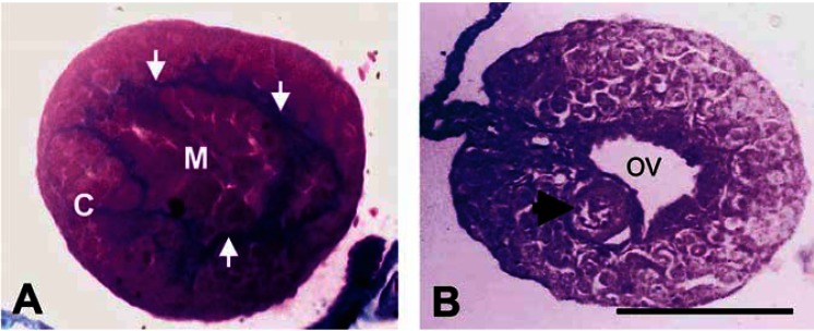
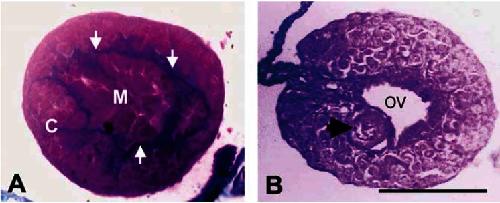
Figure 7. Histological transverse cross-section (8 μm) of presumptive male (A) and female (B) leopard frog (R. pipiens) at metamorphosis (Gosner stage 46). Gonads are not completely differentiated. Note the intact cortex (C) and medulla (M) separated by blue connective tissue (arrows in A). Also note medullary regression and ovarian vesicle (OV) but absence of significant oogenesis in the female (B). A single oocyte (arrow) is noted in the female. Scale bar = 125 μm.
|
|
Figure 8. Dorsal (A,C) and frontal (B,D) view of newly metamorphosed (Gosner stage 46) control (A,B) R. pipiens and similar-aged animal exposed to the nine-pesticide mixture (C,D). Control animal is in good body condition as expected. The pesticide-treated animal is in poor body condition because of a generalized gram-negative bacterial infection. The pathogen was identified in control and treated frogs, but only pesticide-exposed animals show signs of disease: head tilt, unilateral extensor muscle rigidity, anisocoria, and intermittent recumbency due to a severe otitis interna and meningitis. This presentation is consistent with C. menigosepticum infection, a stress-induced disease of frogs.
|
|
Figure 9. Representative transverse cross-section through the thymus of a control animal (A) and (B) an animal treated with the nine-compound pesticide mixture. (C) The frequency of animals with detectable damage to the thymus. No control animals showed damage to the thymus. Animals exposed to 0.1 ppb atrazine or to S-metolachlor (S-met) had damage as shown in B, with increasing frequencies of damage with exposure to Bicep II Magnum (atrazine + metolachlor, given to concentration of 0.1 ppb atrazine), and maximum damage with exposure to the pesticide mixture (Mix). Histological sections were 4 μm stained in Mallory’s trichrome stain. Scale bar = 0.5 mm for A and B.
|
|
Figure 10. Effect of the pesticide mixture on plasma corticosterone levels in adult male African clawed frogs (X. laevis). Error bars show SEM.*Statistical significance (p < 0.05).
|
|
Figure 11. Field 413 (40°55.88 N, 97°22.38 W), York County, Nebraska (A–F). In 2001 frogs bred in the irrigation ditch (A) and were present by the thousands. Even at this time, the water level (and thus temperature and pesticide levels) fluctuated drastically from one day to the next: the photo in B was taken on 22 July 2001 and photos in A and C were taken on 23 July 2001. (B) All the water has evaporated and only the small pool (white glare) remains. In 2004 seven pairs of frogs bred at the same site when the irrigation ditch filled with rainwater and snowmelt (D; arrow indicates where frog clutches were found). (E) One of the seven clutches. (F) The fields around the irrigation ditch were not planted in 2003 or 2004, and the ditch dried up, resulting in 100% failure of the population at this site for the second year since initial collection. (G) A breeding pond (arrow) in Hitchcock County, Nebraska (40°08.433 N, 101°13.804 W) along the Republican River. All the tadpoles died of desiccation at this site, further illustrating the interaction between pesticides that slow development and delay metamorphosis and the impact of agriculture (and irrigation practices) on amphibian populations.
|
|
Figure 12. Demonstration of the effects of decreased size at metamorphosis on amphibians. (A) Newly metamorphosed leopard frog (R. pipiens) attempting to ingest a cricket that is too large (frog is 3.3 cm SVL; cricket is 2.1 cm long). (B) A 67-cm-long garter snake (Thamnophis sirtalis) feeding on a newly metamorphosed 3.2-cm-long leopard frog (R. pipiens). Frogs are gape-limited predators and less likely to find appropriate food when size at metamorphosis is reduced by pesticides. Similarly, garter snakes (like all snakes) are gape-limited predators, so smaller frogs are more vulnerable to snake predation.
|