Click here to close
Hello! We notice that you are using Internet Explorer, which is not supported by Xenbase and may cause the site to display incorrectly.
We suggest using a current version of Chrome,
FireFox, or Safari.
???displayArticle.abstract???
The aim of our work is to investigate the potential involvement of serotonin and its G-protein-coupled receptors in neural differentiation or other developmental processes in Xenopus laevis. By using a RT-PCR strategy, we isolated a cDNA fragment from X. laevis brain showing high amino-acid similarity with the mammalian 5-HT1A receptor. We used this fragment to isolate a cDNA clone containing a single ORF of 408 amino-acids with an overall amino-acid identity of 73% with the human and rat 5-HT1A receptor. This structural similarity suggests that this clone encodes the Xenopus homolog of the mammalian 5-HT1A receptor (X5-HT1A). In order to establish a possible role for this receptor in development, we analyzed the pattern of its gene expression during embryogenesis, larval stages and in adult brain by in situ hybridization. The first signal of mRNA expression appears in the rostral part of brain stem at stage 22, when the first neurons start differentiation [38,21]. In later stages of development, the cells expressing X5-HT1A transcripts appear to correspond to serotonergic neurons. By stage 41, X5-HT1A mRNA is also detected in the inner nuclear layer (INL) of the developing retina. This pattern of expression is maintained until stage 46, i.e. at the beginning of metamorphosis. In adult, additional brain areas express X5-HT1A mRNA, particularly in telencephalon, diencephalon and mesencephalon. On the whole, our data show that the X5-HT1A receptor mRNA is developmentally regulated, with expression first appearing in differentiating serotonergic neurons, where this receptor may mediate, through an autocrine regulatory pathway, the trophic action of serotonin on developing serotonergic system.
Fig. 1. Nucleotide and deduced amino-acid sequence of the X5-HT1A cDNA. The nucleotide coding sequence is shown in upper-case letters, non-coding sequence is shown in lower-case letters. The origin for coding sequence numbering is the first methionine of the open reading frame. Putative transmembrane regions are indicated by bars. Asparagine residues representing putative glycosylation sites are boxed. Potential phosphorylation sites are indicated by arrowheads. The asterisks denote the amino-acid residues considered to be important in ligand binding. The three AUG codons in the 5′ UTR are underlined. Four putative polyadenylation signals in the 3′ UTR are in italics and underlined. The dots following the first stop codon represent the 3′ UTR region not sequenced (≈300 bp). GenBank accession number: Y07901.
Fig. 2. Alignment of amino-acid sequence of X-5HT1A (below) and the human and rat 5-HT1A receptors (h5-HT1A and r5-HT1A) (above). The asterisks denote the amino-acid identity, the dots the similarity.
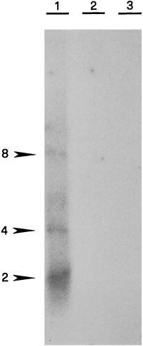
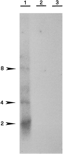
Fig. 3. Northern blot analysis of X5-HT1A receptor mRNA in Xenopus brain (lane 1), heart (lane 2) and liver (lane 3). Three mRNAs (2, 4 and 8 kb) are present only in the brain.
Fig. 4. Spatial expression of X5-HT1A transcripts in Xenopus development as detected by in situ hybridization. Dark-field photomicrographs showing X5-HT1A mRNA distribution on sagittal (A,B) and transverse (C,D) sections. In a stage-22 embryo, the autoradiographic signal is detectable in the rostral part of the brain stem (A); in a stage-31 embryo the labeling extends from the anteriormesencephalon to the posterior end of rhomboencephalon (B); in a stage-29 embryo the label is simmetrically located in a ventro lateral position of the mesencephalon on either side of the midline (C); (D) transversal section of a stage-41 embryo at the rostral mesencephalic level, including hypothalamus. Two pairs of autoradiographic grain clusters are visible in the brain: the more dorsal one is in correspondence of ventralmesencephalon, the other is in correspondence of hypotalamus; a strong signal is present on the inner nuclear layer (INL) of the retina. (E) Bright-field photomicrograph of a section through the eye showing that the INL of the retina appears labeled also at an older stage (44) of development. Scale bars=255 μm (in A); =400 μm (in B); =160 μm (in C,D); =20 μm (in E).
Fig. 5. Dark-field photomicrographs showing the distribution of X5-HT1A receptor mRNA in sagittal (AâC) and transverse sections (D,E) of Xenopus adult brain as revealed by in situ hybridization. In the sagittal section shown in A, the following regions appear labeled: dorsal pallium (dp), medialpallium (mp), septum (s), striatum (st), amygdala (a) in the telencephalon; optic tectum (op) and torus semicircolaris (ts) in the mesencephalon; the cerebellum (cb) as well as the olfactory bulb (ob) and the anterior olfactory nucleus (aon) are not labeled; ch, optic chiasma. (B) Sagittal section of the brain, showing the raphe nuclei (rn) of medulla oblongata labeled; the cerebellum (cb) is clearly not labeled. (C) Sagittal section of the brain showing the anterior, medial, posterior nuclei of the dorsal thalamus (dt) labeled. (D) Transverse section of mesencephalon showing the layer 6 of optic tectum (ot) and the torus semicircularis (ts) intensely labeled. (E) Transverse section of diencephalon: dorsal (dt), ventral (vt) thalamus and the preoptic area (pa) of hypothalamus are labeled. Scale bars=125 μm (in A); =150 μm (in B); =180 μm (in C); =250 μm (in D,E).