Click here to close
Hello! We notice that you are using Internet Explorer, which is not supported by Xenbase and may cause the site to display incorrectly.
We suggest using a current version of Chrome,
FireFox, or Safari.
???displayArticle.abstract??? Occludin is the only known integral membrane protein localized at the points of membrane- membrane interaction of the tight junction. We have used the Xenopus embryo as an assay system to examine: (a) whether the expression of mutant occludin in embryos will disrupt the barrier function of tight junctions, and (b) whether there are signals within the occludin structure that are required for targeting to the sites of junctional interaction. mRNAs transcribed from a series of COOH-terminally truncated occludin mutants were microinjected into the antero-dorsal blastomere of eight-cell embryos. 8 h after injection, the full-length and the five COOH-terminally truncated proteins were all detected at tight junctions as defined by colocalization with both endogenous occludin and zonula occludens-1 demonstrating that exogenous occludin correctly targeted to the tight junction. Importantly, our data show that tight junctions containing four of the COOH-terminally truncated occludin proteins were leaky; the intercellular spaces between the apical cells were penetrated by sulfosuccinimidyl-6-(biotinamido) Hexanoate (NHS-LC-biotin). In contrast, embryos injected with mRNAs coding for the full-length, the least truncated, or the soluble COOH terminus remained impermeable to the NHS-LC-biotin tracer. The leakage induced by the mutant occludins could be rescued by coinjection with full-length occludin mRNA. Immunoprecipitation analysis of detergent-solubilized embryo membranes revealed that the exogenous occludin was bound to endogenous Xenopus occludin in vivo, indicating that occludin oligomerized during tight junction assembly. Our data demonstrate that the COOH terminus of occludin is required for the correct assembly of tight junction barrier function. We also provide evidence for the first time that occludin forms oligomers during the normal process of tight junction assembly. Our data suggest that mutant occludins target to the tight junction by virtue of their ability to oligomerize with full-length endogenous molecules.
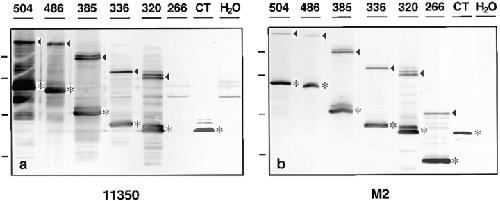
Figure 2. Western blot analysis of Xenopus oocytes injected with mRNAs corresponding to the occludin proteins diagrammed in Fig. 1. mRNAs were microinjected in the vegetal hemisphere of stage VI oocytes, and the injected oocytes were incubated at 17°C overnight. Oocyte homogenates were separated on 12% SDS-PAGE, transferred to Immobilon membranes, and then immunoblotted with either anti-occludin antibody 11350 (a) or with anti-FLAG monoclonal antibody M2 (b). The number on the top of each lane identifies each protein as named in Fig. 1. The asterisks in a and b indicate the predicted position of each expressed protein. With the exception of the soluble CT, the expressed proteins formed dimers as indicated by the arrowheads. Note that protein 266, with almost the entire COOH terminus deleted, was not recognized by 11350 antibody. H2O, control oocytes injected with water. Molecular weight markers (from top to bottom): 97.4, 66, 45, and 31 kD.
Figure 3. Functional assay of tight junctions by surface biotinylation in Xenopus embryos injected with chicken full-length or truncated occludins. 6 h after mRNA injection (2,000 cell blastula), the embryos were labeled by incubation in 1 mg/ml NHS-LC-biotin for 12 min at 10°C, washed, and then fixed in 3% formaldehyde in 80 mM sodium cacodylate. Frozen sections were stained with RITC- avidin and observed by fluorescence microscopy. In all embryos, NHS-LC-biotin reacts with molecules in the vitelline envelope, the subvitelline space, and the apical plasma membranes of the blastomeres, which together appear as a thick, continuous line at the surface of the embryo. The tight junctions in the embryos injected with 504 (a, the full-length) or 486 (b, the least COOH-terminally truncated) occludin mRNAs deny the biotin access to the intercellular spaces, and the basolateral membranes of the blastomeres are not stained. In the embryos injected with 385 (c), 336 (d) 320 (e), and 266 (f) (four COOH-terminally truncated occludin mRNAs), the biotin molecules penetrated into intercellular spaces demonstrating the disruption of the tight junction seal. Bar, 10 μm.
Figure 4. Coinjection of the full-length (504) occludin mRNA with the most COOH-terminally truncated occludin mRNA (266) rescued the tight junction leakage caused by injection of construct 266 alone. The experimental procedure was same as in Fig. 3. The frozen sections from the embryos injected with ∼2 pg of 504 (a), 266 (b), or 504 and 266 (c) construct mRNA were stained with RITC-avidin. The extraembryonic space is toward the top of figure in a, and left in b and c. No leak was seen in the embryo infected with 504 mRNA (a). Biotin molecules clearly penetrated through the tight junctions and labeled the intercellular spaces between the apical cells of embryo injected with 266 mRNA (b). However, there was no detectable leak in the embryo injected with both 504 and 266 mRNA (c). Bar, 15 μm.
Figure 5. Double labeling of frozen sections of Xenopus embryos with anti-occludin 11350 (a) and anti-FLAG M2 (b). 4 nl (∼10 pg) of mutant 266 mRNA were microinjected into the anterior, dorsal blastomere of eight-cell stage embryo and incubated for 8 h at room temperature before freezing. The arrowheads indicate the colocalization of Xenopus full-length occludin and chicken truncated occludin at the junctional complexes. Bar, 10 μm.
Figure 6. Immunocolocalization of Xenopus ZO-1 with the protein directed by mutant 266, the most truncated occludin in Xenopus embryos. Frozen sections were made of embryos injected with mutant 266 mRNA and stained with either anti–ZO-1 (a) or with anti-FLAG M2 (b). The arrowheads indicate the colocalization of both proteins at the junctional complexes. Bar, 10 μm.
Figure 7. The interaction of Xenopus occludin with chicken occludin in vivo assayed by immunoprecipitation. The embryos were microinjected with the most COOH-terminally truncated occludin mRNA (266; a and b, left lanes) or water (C; a and b, right lanes) and incubated at room temperature for 10 h. After homogenization, the samples were centrifuged at 100,000 g for 30 min at 4°C. The membrane pellet was solubilized in modified RIPA buffer (see Materials and Methods) and centrifuged at 100,000 g for 1 h at 4°C. The resulting supernatant was immunoprecipitated with anti-occludin 11350 (a) or anti-FLAG M2 (b) overnight at 4°C. Immunoprecipitates were immunoblotted with anti-FLAG M2 (a) or anti-occludin 11350 (b). A specific band corresponding to the chicken truncated occludin (compare with Fig. 2 b, lane 266) was present in a (left lane) after immunoprecipitated with anti-occludin 11350. The Xenopus full-length occludin was observed at b (left lane) after immunoprecipitated with anti–FLAG M2. The two thick bands in b were IgG heavy chain.
Figure 8. Coimmunoprecipitation of the mutant with endogenous occludin was not the result of exchange of monomers between detergent-solubilized oligomeric assemblies. Confluent A6 cell monolayers were metabolically labeled with 150 μCi/ml [35S]methionine/cysteine for 20 h at 27°C, solubilized under nondenaturing conditions, and then mixed with similarly detergent-solubilized supernatant from Xenopus embryos injected with 266 construct mRNA at the two-cell stage and incubated for 10 h at room temperature. After immunoprecipitation with anti-occludin 11350 (left lane), anti-FLAG M2 (middle lane), or preimmune rabbit serum (right lane), samples were separated on 12% SDS-PAGE and autoradiographed. 35S-labeled occludin could not be immunoprecipitated with anti-FLAG M2 (middle lane), demonstrating that mixing of the mutant with wild-type molecules after extraction did not result in detergent-mediated exchange of protein monomers. The bar above the arrowhead indicates the molecular weight marker 66 kD.
Ando-Akatsuka,
Interspecies diversity of the occludin sequence: cDNA cloning of human, mouse, dog, and rat-kangaroo homologues.
1996, Pubmed
Ando-Akatsuka,
Interspecies diversity of the occludin sequence: cDNA cloning of human, mouse, dog, and rat-kangaroo homologues.
1996,
Pubmed
Balda,
Functional dissociation of paracellular permeability and transepithelial electrical resistance and disruption of the apical-basolateral intramembrane diffusion barrier by expression of a mutant tight junction membrane protein.
1996,
Pubmed
Citi,
Cingulin, a new peripheral component of tight junctions.
1988,
Pubmed
Claude,
Fracture faces of zonulae occludentes from "tight" and "leaky" epithelia.
1973,
Pubmed
Diamond,
Twenty-first Bowditch lecture. The epithelial junction: bridge, gate, and fence.
1977,
Pubmed
Duffey,
Regulation of epithelial tight junction permeability by cyclic AMP.
1981,
Pubmed
FARQUHAR,
Junctional complexes in various epithelia.
1963,
Pubmed
Fujimoto,
Freeze-fracture replica electron microscopy combined with SDS digestion for cytochemical labeling of integral membrane proteins. Application to the immunogold labeling of intercellular junctional complexes.
1995,
Pubmed
Furuse,
Direct association of occludin with ZO-1 and its possible involvement in the localization of occludin at tight junctions.
1994,
Pubmed
Furuse,
Occludin: a novel integral membrane protein localizing at tight junctions.
1993,
Pubmed
Goodenough,
Topological distribution of two connexin32 antigenic sites in intact and split rodent hepatocyte gap junctions.
1988,
Pubmed
Gumbiner,
Generation and maintenance of epithelial cell polarity.
1990,
Pubmed
Gumbiner,
Identification of a 160-kDa polypeptide that binds to the tight junction protein ZO-1.
1991,
Pubmed
Hertzberg,
Isolation and characterization of gap junctions from rat liver.
1979,
Pubmed
Hurtley,
Protein oligomerization in the endoplasmic reticulum.
1989,
Pubmed
Jesaitis,
Molecular characterization and tissue distribution of ZO-2, a tight junction protein homologous to ZO-1 and the Drosophila discs-large tumor suppressor protein.
1994,
Pubmed
Kachar,
Rapid massive assembly of tight junction strands.
1981,
Pubmed
Keon,
Symplekin, a novel type of tight junction plaque protein.
1996,
Pubmed
Krieg,
Functional messenger RNAs are produced by SP6 in vitro transcription of cloned cDNAs.
1984,
Pubmed
,
Xenbase
Madara,
Structural basis for physiological regulation of paracellular pathways in intestinal epithelia.
1987,
Pubmed
Mazariegos,
Alteration of tight junctional permeability in the rat parotid gland after isoproterenol stimulation.
1984,
Pubmed
McCarthy,
Occludin is a functional component of the tight junction.
1996,
Pubmed
Milks,
The effect of neutrophil migration on epithelial permeability.
1986,
Pubmed
Musil,
Multisubunit assembly of an integral plasma membrane channel protein, gap junction connexin43, occurs after exit from the ER.
1993,
Pubmed
,
Xenbase
Pappenheimer,
Paracellular intestinal absorption of glucose, creatinine, and mannitol in normal animals: relation to body size.
1990,
Pubmed
Pappenheimer,
Contribution of solvent drag through intercellular junctions to absorption of nutrients by the small intestine of the rat.
1987,
Pubmed
Pappenheimer,
Physiological regulation of transepithelial impedance in the intestinal mucosa of rats and hamsters.
1987,
Pubmed
Paul,
Expression of a dominant negative inhibitor of intercellular communication in the early Xenopus embryo causes delamination and extrusion of cells.
1995,
Pubmed
,
Xenbase
Raviola,
Structure of rapidly frozen gap junctions.
1980,
Pubmed
Reuss,
Ion transport across gallbladder epithelium.
1989,
Pubmed
Schneeberger,
Structure, function, and regulation of cellular tight junctions.
1992,
Pubmed
Slack,
Intracellular and intercellular potentials in the early amphibian embryo.
1973,
Pubmed
,
Xenbase
Smith,
Single-step purification of polypeptides expressed in Escherichia coli as fusions with glutathione S-transferase.
1988,
Pubmed
Stevenson,
Identification of ZO-1: a high molecular weight polypeptide associated with the tight junction (zonula occludens) in a variety of epithelia.
1986,
Pubmed
Swenson,
Formation of gap junctions by expression of connexins in Xenopus oocyte pairs.
1989,
Pubmed
,
Xenbase
van Meer,
The tight junction does not allow lipid molecules to diffuse from one epithelial cell to the next.
,
Pubmed
Wong,
A synthetic peptide corresponding to the extracellular domain of occludin perturbs the tight junction permeability barrier.
1997,
Pubmed
,
Xenbase
Zahraoui,
A small rab GTPase is distributed in cytoplasmic vesicles in non polarized cells but colocalizes with the tight junction marker ZO-1 in polarized epithelial cells.
1994,
Pubmed
Zhong,
Monoclonal antibody 7H6 reacts with a novel tight junction-associated protein distinct from ZO-1, cingulin and ZO-2.
1993,
Pubmed