XB-ART-15998
Development
1997 Sep 01;12417:3293-302. doi: 10.1242/dev.124.17.3293.
Show Gene links
Show Anatomy links
Functional differences among Xenopus nodal-related genes in left-right axis determination.
???displayArticle.abstract???
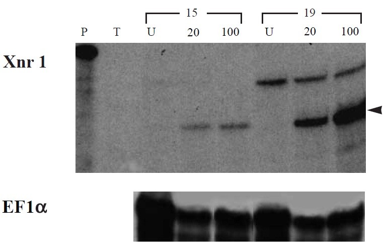
An association has been noted previously in chick, mouse and frog embryos between asymmetric nodal-related gene expression and embryonic situs, implying an evolutionarily conserved role in left-right specification. Of the four Xenopus nodal-related genes expressed during gastrulation, only Xnr-1 is re-expressed unilaterally in the left lateral plate mesoderm at neurula/tailbud stages. Here, we show that the asymmetric expression of Xnr-1 can be made bilaterally symmetric by right-sided microinjection of RNA encoding active Xenopus hedgehog proteins. Moreover, we provide the first evidence that Xnr-1 expression per se is a causal factor in left-right axis determination. When plasmids expressing Xnr-1 were delivered unilaterally to the right side of Xenopus embryos, a reversed laterality of both the heart and gut (homotaxic reversal) was induced in 40% of surviving embryos, while an additional 10-20% showed reversal of the heart or gut alone (heterotaxia). This effect on laterality was specific to Xnr-1, since neither Xnr-2 nor Xnr-3 plasmids had this activity. In addition, we find that Xnr-1 and Xnr-2, which have both been defined as mesoderm inducers from overexpression studies, show quantitative differences in their ability to induce dorsal mesoderm. Together, these findings suggest that the various Xnrs perform substantially different functions during Xenopus embryogenesis. Moreover, they strongly support the hypothesis that left lateral plate expression of nodal-related genes is a causative factor in the determination of asymmetry in vertebrate embryos.
???displayArticle.pubmedLink??? 9310324
???displayArticle.link??? Development
???displayArticle.grants???
Species referenced: Xenopus
Genes referenced: gsc ihh mt-tr nodal nodal1 nodal2 shh tbxt trna
???attribute.lit??? ???displayArticles.show???
