Click here to close
Hello! We notice that you are using Internet Explorer, which is not supported by Xenbase and may cause the site to display incorrectly.
We suggest using a current version of Chrome,
FireFox, or Safari.
???displayArticle.abstract??? Bone Morphogenetic Protein-4 (BMP-4) is a potent epidermal inducer and inhibitor of neural fate. We have used differential screening to identify genes involved in epidermal induction downstream of BMP-4 and report here evidence of a novel translational mechanism that regulates the division of the vertebrate ectoderm into regions of neural and epidermal fate. In dissociated Xenopus ectoderm, addition of ectopic BMP-4 leads to an increase in the expression of translation initiation factor 4AIII (eIF-4AIII), a divergent member of the eIF-4A gene family until now characterized only in plants. In the gastrulaembryo, Xenopus eIF-4AIII (XeIF-4AIII) expression is elevated in the ventralectoderm, a site of active BMP signal transduction. Moreover, overexpression of XeIF-4AIII induces epidermis in dissociated cells that would otherwise adopt a neural fate, mimicking the effects of BMP-4. Epidermal induction by XeIF-4AIII requires both an active BMP signaling pathway and an extracellular intermediate. Our results suggest that XeIF-4AIII can regulate changes in cell fate through selective mRNA translation. We propose that BMPs and XeIF-4AIII interact through a positive feedback loop in the ventralectoderm of the vertebrate gastrula.
Fig. 1. Comparison of the deduced amino acid sequences of XeIF-
4AIII (GenBank accession no., AF020432) and NeIF-4A3.
Conserved amino acids are shown in black boxes.
Fig. 2. Temporal expression of XeIF-4AIII. RT-PCR analysis of
XeIF-4AIII expression during development. cSRC and EF1-a are
used as loading controls. The ‘-RT’ lane contains all reagents except
reverse transcriptase and was used as a negative control.
Fig. 3. Localization of XeIF-4AIII transcripts during Xenopus
development. (A) Dorsal view of a neural plate stage embryo (stage
14); anterior is to right. XeIF-4AIII transcript is enriched in a region
around the blastopore (arrowhead) and in the anterior neural plate
(arrow). (B) Dorsal view of a neural plate stage embryo (stage 16);
anterior is to right. High levels of XeIF-4AIII transcript can be seen
in the anterior neural tube (arrow). (C) Lateral view of a stage 23
embryo; anterior is at right, dorsal is at top. (D) Dorsal view of
embryo shown in C. Line in C and D demarcates region of mid-trunk
eIF-4AIII expression. (E) Lateral view of a stage 27 embryo; anterior
is at right, dorsal is at top. (F) Detail showing head of embryo in E.
ov: otic vesicle. Embryos in C-F were cleared in 2:1 benzyl
benzoate/benzyl alcohol.
Fig. 4. XeIF-4AIII expression is elevated in the ventral versus dorsal
ectoderm. (A) Schematic diagram of stage 11.5 embryo, showing
regions isolated for expression analysis in B. (B) RT-PCR analysis of
XeIF-4AIII expression in midgastrula dorsal and ventral ectoderm
explants (stage 11.5). Epidermal keratin expression is restricted to
the ventral ectoderm; Xbra, a pan-mesodermal marker at this stage, is
absent from the explants. XeIF-4AIII levels in the dorsal and ventral
ectoderm were obtained by quantitative phosphorimaging, with
normalization to EF1-a levels (Krieg et al., 1989).
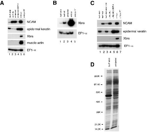
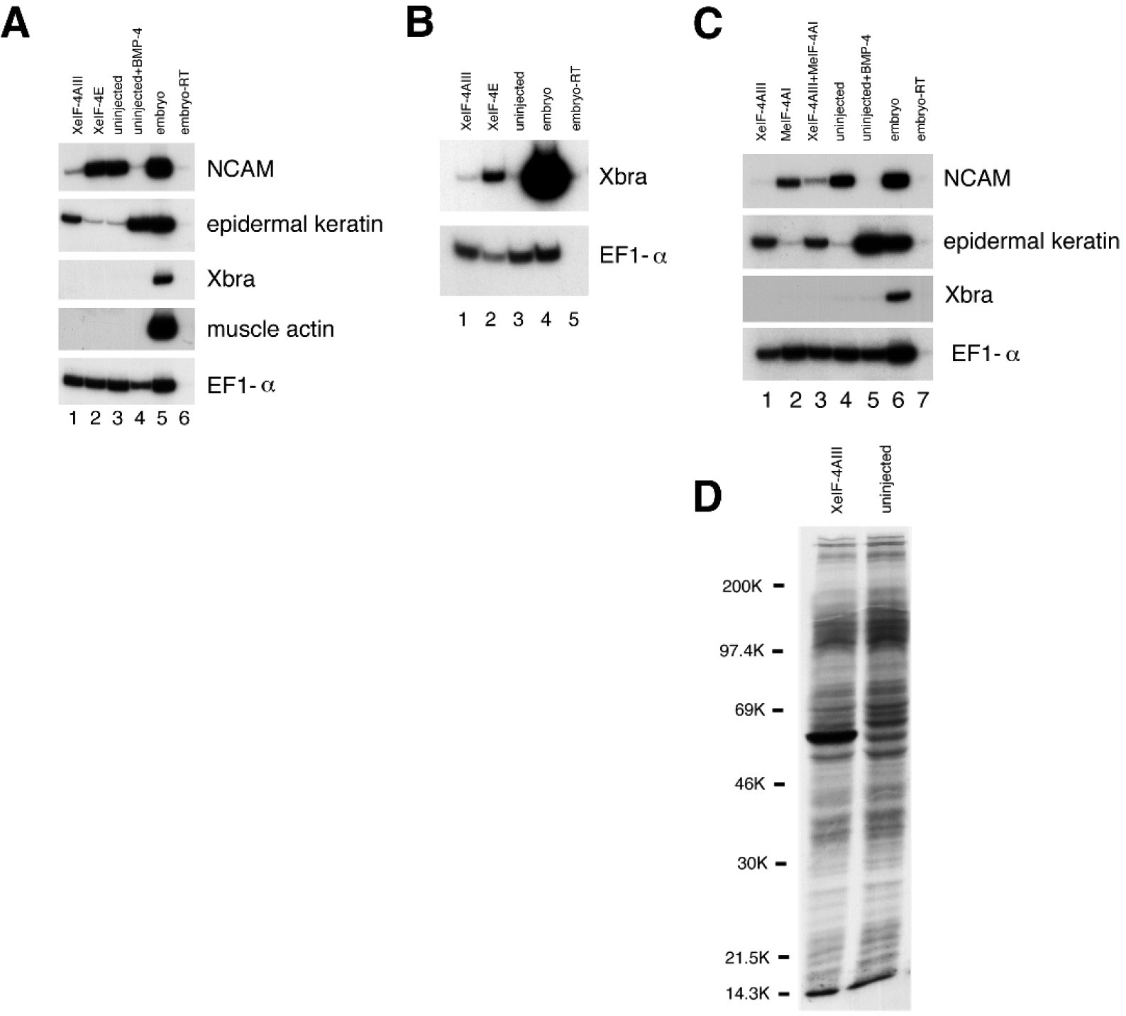
Fig. 5. XeIF-4AIII inhibits neuralization and induces epidermis. (A) Induction of
epidermis by XeIF-4AIII, but not XeIF-4E, in dissociated ectoderm cultures.
Synthetic RNA, as listed, was injected into both blastomeres of 2-cell-stage embryos;
2 ng mRNA was injected into each blastomere. Animal caps were dissected at late
blastula stages (stage 9), dissociated for 4 hours, then reaggregated and cultured until
midneurula stages (stage 20). BMP-4 protein was added to the sample in lane 4 at 2
mM (50 ng/ml) immediately after dissociation. EF1-a is used as a loading control.
NCAM is a pan-neural marker and epidermal keratin is a marker of epidermis. Xbra
is expressed in both the notochord and ventral/posterior mesoderm at this stage.
muscle actin is a marker of mediolateral mesoderm. The â-RTâ lane contains all
reagents except reverse transcriptase and was used as a negative control. (B) XeIF-4E,
but not XeIF-4AIII, induces mesoderm in intact ectoderm. Synthetic RNA, as listed,
was injected as in A. Animal caps were dissected at late blastula stages (stage 9) and
cultured intact until midgastrula stages (stage 11.5). Xbra is a marker of both
notochord and of all non-involuted mesoderm at this stage. (C) Induction of
epidermis by XeIF-4AIII, but not MeIF-4AI, in dissociated ectoderm cultures. RNA
injection, cell culture, markers and controls are as in A. For single RNAs, 1 ng was
injected into each blastomere; for double RNAs, 2 ng was injected into each
blastomere. (D) General translation rates are not affected by XeIF-4AIII
overexpression. 10 ng XeIF-4AIII mRNA was injected into stage VI oocytes and
cultured in the presence of [35S]methionine for 3 days. Oocytes were lysed and this
cell fraction was analyzed on 10% acrylimide gels by SDS-PAGE. All samples were
treated with b-mercaptoethanol.
Fig. 6. Epidermal induction by XeIF-4AIII acts though an
extracellular intermediate. Epidermal induction by XeIF-4AIII
requires reaggregation. Synthetic RNA, as listed, was injected into
both blastomeres of 2-cell-stage embryos. Animal caps were
dissected at late blastula stages (stage 9) and dissociated. Left panel:
cells were dissociated for 6 hours to late gastrula stages (stage 12.5),
at which point RNA was harvested. Cultures maintained as
dissociated until midneurula stages (stage 20) have the same
expression profile as cultures harvested at late gastrula stages (data
not shown). Right panel: cells were dissociated for 4 hours, then
reaggregated and cultured until midneurula stages. XeIF-4AIII
induces epidermal keratin and inhibits NCAM expression at RNA
concentrations down to 1 ng (lanes 9-16). Controls are as listed in
Fig. 5A.
Fig. 7. Epidermal induction by XeIF-4AIII requires an active BMP
signaling pathway. Co-injection of a truncated BMP receptor (tBR)
blocks epidermal induction by XeIF-4AIII. Synthetic RNA, as listed,
was injected into both blastomeres of 2-cell-stage embryos. 1 ng of
each RNA was injected per blastomere. Animal caps were dissected
at late blastula stages (stage 9) and dissociated. Cells were
dissociated for 4 hours, then reaggregated and cultured until
midneurula stages.
Fig. 8. Model for a positive feedback loop involving BMP and XeIF-
4AIII. In the ventral ectoderm of the Xenopus gastrula, binding of
BMP-4 (diamond) to its receptor (Y) leads to an increase in the
expression of XeIF-4AIII RNA (nuclear wavy line), which
presumably results in an increase in cytoplasmic XeIF-4AIII protein
(oval). Elevated levels of XeIF-4AIII protein may mediate the
increased translation of specific mRNAs (cytoplasmic wavy line). In
this model, the resulting protein products (coil) drive the production
of a secreted epidermal inducer (diamond), either directly, or
indirectly via one or more molecular intermediates. This factor
requires active signaling through the BMP receptor and may be
BMP-4 or a related protein. n, nucleus; c, cytoplasm.
eif4a3 (eukaryotic translation initiation factor 4A3) gene expression in Xenopus laevis embryo, assayed via in situ hybridization, NF stage 27, lateral view, anteriorright, dorsal up.