Click here to close
Hello! We notice that you are using Internet Explorer, which is not supported by Xenbase and may cause the site to display incorrectly.
We suggest using a current version of Chrome,
FireFox, or Safari.
Biochem Biophys Res Commun
1997 Oct 20;2392:585-91.
Show Gene links
Show Anatomy links
Xenopus FK 506-binding protein homolog induces a secondary axis in frog embryos, which is inhibited by coexisting BMP 4 signaling.
Nishinakamura R
,
Matsumoto Y
,
Uochi T
,
Asashima M
,
Yokota T
.
???displayArticle.abstract???
FK 506-binding protein (FKBP) is an immunosuppressant mediator in mammals, but its endogenous physiological function has yet to be determined. Here we report a Xenopus homolog of FKBP, which is expressed at early stages of development. Injection of synthesized Xenopus FKBP mRNA, as well as murine constitutively active calcineurin, induced a secondary axis in Xenopus embryos, while an FKBP mutant which does not bind to calcineurin did not. This secondary-axis-inducing effect was inhibited when FKBP was coinjected with Xmad 1 or XBMP 4 mRNA. These results suggest that FKBP modifies BMP 4 signalling by recruiting calcineurin and may have an important role in axis formation during Xenopus development.
FIG. 1. Amino acid sequences of Xenopus FKBP, mouse FKBP and human FKBP 12. Identical residues are marked with asterisks. The
nucleotide sequence of Xenopus FKBP has been deposited in DDBJ / EMBL / GenBank DNA databases under the accession number
AB006678.
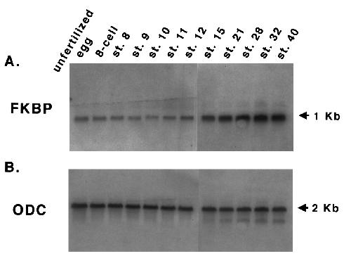
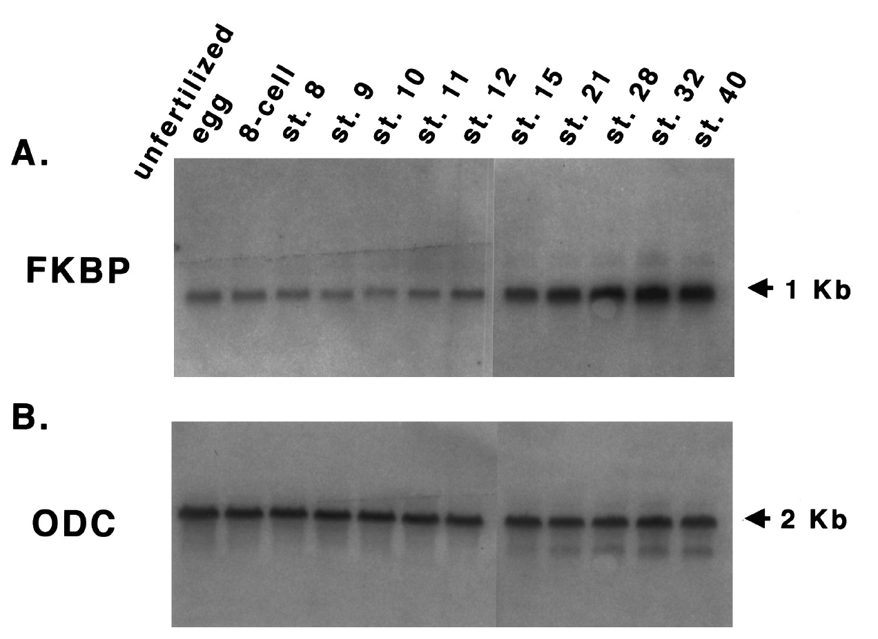
FIG. 2. Expression of FKBP mRNA in embryos. (A) Northern blot of FKBP. 20 mg of total RNA were used for each lane. (B) Expression
of Xenopus ornithine decarboxylase (ODC) as a loading control. Blot A was rehybridized with ODC.
FIG. 3. Whole mount in situ hybridization analysis of FKBP mRNA in stage 18 (A) , 28 (B) and 31 (C) embryos.
FIG. 4. Ventral injection of FKBP mRNA induced a secondary
(A) FKBP mRNA was injected into each of two ventral vegetal
blastomeres
of 8-cell stage embryos ( 2 ng per embryo) , and embryos
were examined at the tailbud stage. The secondary axis was not
complete and lacked head structures. (B) Control embryos injected
with globin mRNA ( 2 ng per embryo).
FIG. 5. Coinjection of FKBP with Xmad 1 or XBMP 4 did not generate a secondary axis. (A) FKBP (1 ng) mRNA was coinjected with
globin mRNA (100 pg) into each of two ventral vegetal blastomeres of 8-cell stage embryos. The secondary axis formation rate is also
indicated. The numbers in the parentheses are the actual numbers of embryos with a secondary axis out of total numbers of injeted embryos.
(B) Coinjection of FKBP mRNA ( 1 ng) with Xmad 1 mRNA ( 100 pg) . The secondary axis formation was blocked in nearly all embryos.
(C) Coinjection of FKBP mRNA ( 1 ng) with XBMP 4 mRNA ( 100 pg). The secondary axis formation was blocked in all embryos. (D)
Injection of globin mRNA ( 1 ng) as a negative control.
fkbp1a (FK506 binding protein 1A ) gene expression in Xenopus laevis embryo, assayed via in situ hybridization, NF stage 31, lateral view, anteriorleft, dorsal up.