Click here to close
Hello! We notice that you are using Internet Explorer, which is not supported by Xenbase and may cause the site to display incorrectly.
We suggest using a current version of Chrome,
FireFox, or Safari.
???displayArticle.abstract???
Neurofilaments are an important structural component of the axonal cytoskeleton and are made of neuronal intermediate filament (nIF) proteins. During axonal development, neurofilaments undergo progressive changes in molecular composition. In mammals, for example, highly phosphorylated forms of the middle- and high-molecular-weight neurofilament proteins (NF-M and NF-H, respectively) are characteristic of mature axons, whereas nIF proteins such as alpha-internexin are typical of young axons. Such changes have been proposed to help growing axons accommodate varying demands for plasticity and stability by modulating the structure of the axonal cytoskeleton. Xefiltin is a recently discovered nIF protein of the frog Xenopus laevis, whose nervous system has a large capacity for regeneration and plasticity. By amino acid identity, xefiltin is closely related to two other nIF proteins, alpha-internexin and gefiltin. alpha-Internexin is found principally in embryonic axons of the mammalian brain, and gefiltin is expressed primarily in goldfish retinal ganglion cells and has been associated with the ability of the goldfish optic nerve to regenerate. Like gefiltin in goldfish, xefiltin in Xenopus is the most abundantly expressed nIF protein of mature retinal ganglion cells. In the present study, we used immunocytochemistry to study the distribution of xefiltin during optic nerve development and regeneration. During development, xefiltin was found in optic axons at stage 35/36, before they reach the tectum at stage 37/38. Similarly, after an orbital crush injury, xefiltin first reemerged in optic axons after the front of regeneration reached the optic chiasm, but before it reached the tectum. Thus, during both development and regeneration, xefiltin was present within actively growing optic axons. In addition, aberrantly projecting retinoretinal axons expressed less xefiltin than those entering the optic tract, suggesting that xefiltin expression is influenced by interactions between regenerating axons and cells encountered along the visual pathway. These results support the idea that changes in xefiltin expression, along with those of other nIF proteins, modulate the structure and stability of actively growing optic axons and that this stability is under the control of the pathway which growing axons follow.
Figure 1 Camera lucida tracings of representative
transverse sections of optic pathway at progressively
more caudal levels, from the eyes to the optic tecta. onhoptic
nerve head; pon-optic nerve proximal to the eye;
don-optic nerve more distal to the eye; con-optic nerve
approaching the optic chiasm; otr-optic tract. The dots in (
E) and (F) show regions of the brain occupied by optic
axons.
Figure 2 Western blots of juvenile Xenopus laevis brain
protein immunostained with antibodies directed against
xefiltin, XNIF, and Xenopus NF-L. Labeled arrowheads
on the left indicate the positions of prestained protein
molecular weight standards. The arrowheads on the right
of each blot point to the bands stained by the antibodies.
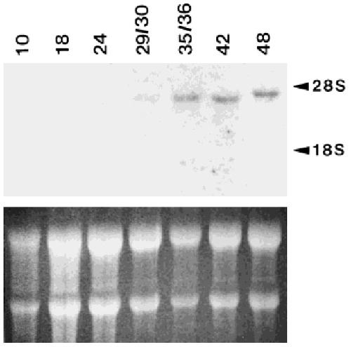
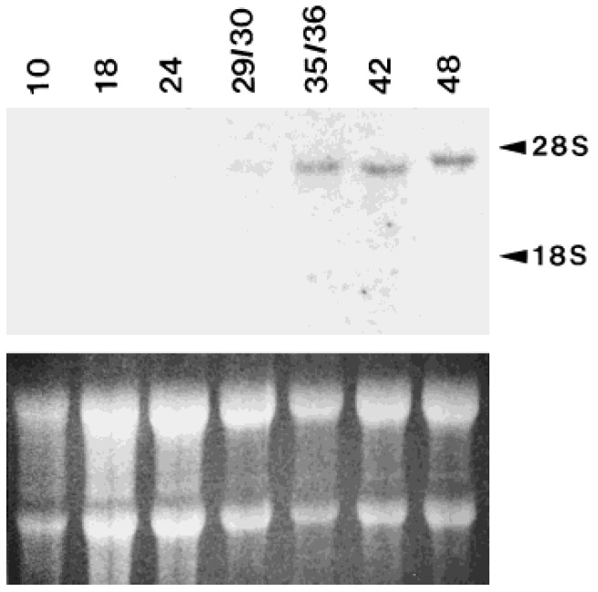
Figure 3 Developmental expression of xefiltin mRNA
was intermediate between those of XNIF and NF-L. as demonstrated by Northern blot analysis (upper) of
total RNA (10 mg) from whole embryos or tadpoles between
stages 10 and 48 (indicated on top) . Arrowheads
labeled 28S and 18S point to the positions of ribosomal
RNAs. (Lower) The same gel stained with ethidium bromide prior to transfer to nitrocellulose, indicating relative
amounts of RNA loaded in each lane.
Figure 4 Comparison of XNIF (A, B) and xefiltin (C, D) immunostaining in whole-mount
preparations of stage 35/36 tadpoles. (A) and (C) show XNIF and xefiltin staining, respectively,
in the head. (B, D) show longitudinal views of the somites and underlying spinal cord.
Anterior is to the left in all panels. XNIF staining is abundant in optic nerve, spinal cord,
peripheral motor axons [unlabeled arrowheads in (B)], and several branches of developing
cranial nerves (Vmd, VII, IX, and X) . Xefiltin staining is principally visible in the optic nerve
and, to a lesser extent, in longitudinal axons within the spinal cord and within a few axons of
Vmd. (The Z line between somites also stained with the xefiltin antiserum, but this structure is
nonneuronal.) on-optic nerve; ov-otic vesicle; SC-spinal cord; Vmd-mandibular branch of the
trigeminal nerve; VII-branch of the facial nerve; IX-newly developing branches of the glossopharyngeal
nerve; X-newly developing branches of the Xth nerve. The scale bars in (A) and
(D) apply also to panels (C) and (B), respectively.
Figure 5 Whole-mount immunostaining of optic axons in a stage 35/36 tadpole with the xefiltin antiserum. (A)
Staining of optic axons within the eye (indicated by unlabeled arrowheads) and within the proximaloptic nerve
(ON) , which at this stage exits from ventralretina. (B) Staining of optic axons near the optic chiasm and optic
tract. ON-optic nerve as it approaches the brain; CON-segment of optic nerve approaching the optic chiasm;
OT-optic tract which contains axons from the contralateral eye. Scale bar applies to both (A) and (B).
Figure 6 Sections from the visual pathway containing regenerating optic axons labeled by
intraocular injection of WGA-HRP, shown at various times after an orbital nerve crush. At 9
days after nerve crush, labeled regenerating fibers extended from the optic nerve head [(A)
ONH] , through the optic nerve (B), as far as the optic nerve near the chiasm [(C) CON]. At
15 days after surgery, labeled regenerating fibers were seen in the optic tract [unlabeled
arrowheads in (D)] and extended into the optic tectum [unlabeled arrowheads in (F)]. At 18
days, the optic tectum was more densely labeled with regenerated optic fibers [unlabeled
arrowheads in (G)]. For panels (F) and (G), the midline is at the right edge of the picture.
(E) Aberrantly projecting retinoretinal axons in the periphery of the contralateral optic nerve
3 weeks after nerve crush. (A–C) From the levels illustrated by Figure 1(A,C,D) , respectively.
(D) is taken from the level illustrated by Figure 1(E), and (F) and (G) are from Figure 1(F).
(E) From a section taken between those illustrated by Figure 1(B,C) . The scale bar applies
to all the panels.
Figure 7 Disappearance of xefiltin immunostaining from different regions of the injured optic
nerve (B,D,F) , compared to staining of the uninjured control nerve on the contralateral side
(A,C,E) , 6 days after surgery. (A,B) Sections through the optic nerve head (ONH) , from the
level illustrated by Figure 1(A). (C,D) Sections through a segment of optic nerve proximal
to the eye (PON) , near the level illustrated by Figure 1(B). (E,F) Sections through a distal
segment of the optic nerve (DON) , near the level illustrated by Figure 1(C). Arrowheads in
(B) and (D) point to the outer perimeter of the injured nerve, which was unstained. The
staining in (F) represents residual xefiltin in degenerating fibers. V-vitreous of the eye. Scale
bar in (F) applies to all panels.
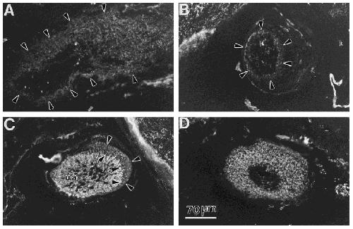
Figure 8 Xefiltin immunostaining in the regenerating optic nerve (B,D,F) compared to that
of the uninjured control nerve on the contralateral side (A,C,E) 9 days after surgery. (A,B)
Sections through the optic nerve head (ONH) , near the level illustrated by Figure 1(A).
Xefiltin immunoreactivity reappeared in regenerating axons, as indicated by the arrowheads in
(B). (C,D) Sections through a segment of optic nerve proximal to the eye (PON) , near the
level illustrated by Figure 1(B). Xefiltin immunostaining was detectable in regenerating axons
in the periphery of the nerve, just adjacent to the central core of degenerating fibers (D).
Unlabeled arrowheads in (B) and (D) point to the outer rim of the optic nerve. (E,F) Sections
through a more distal region of the optic nerve (DON) , near the level illustrated by Figure
1(C). In this region of injured nerve (F), xefiltin immunostaining was detectable mostly within
the central core of degenerating fibers and only rarely in regenerating fibers around the rim of
the optic nerve. Scale bar in (F) applies to all panels.
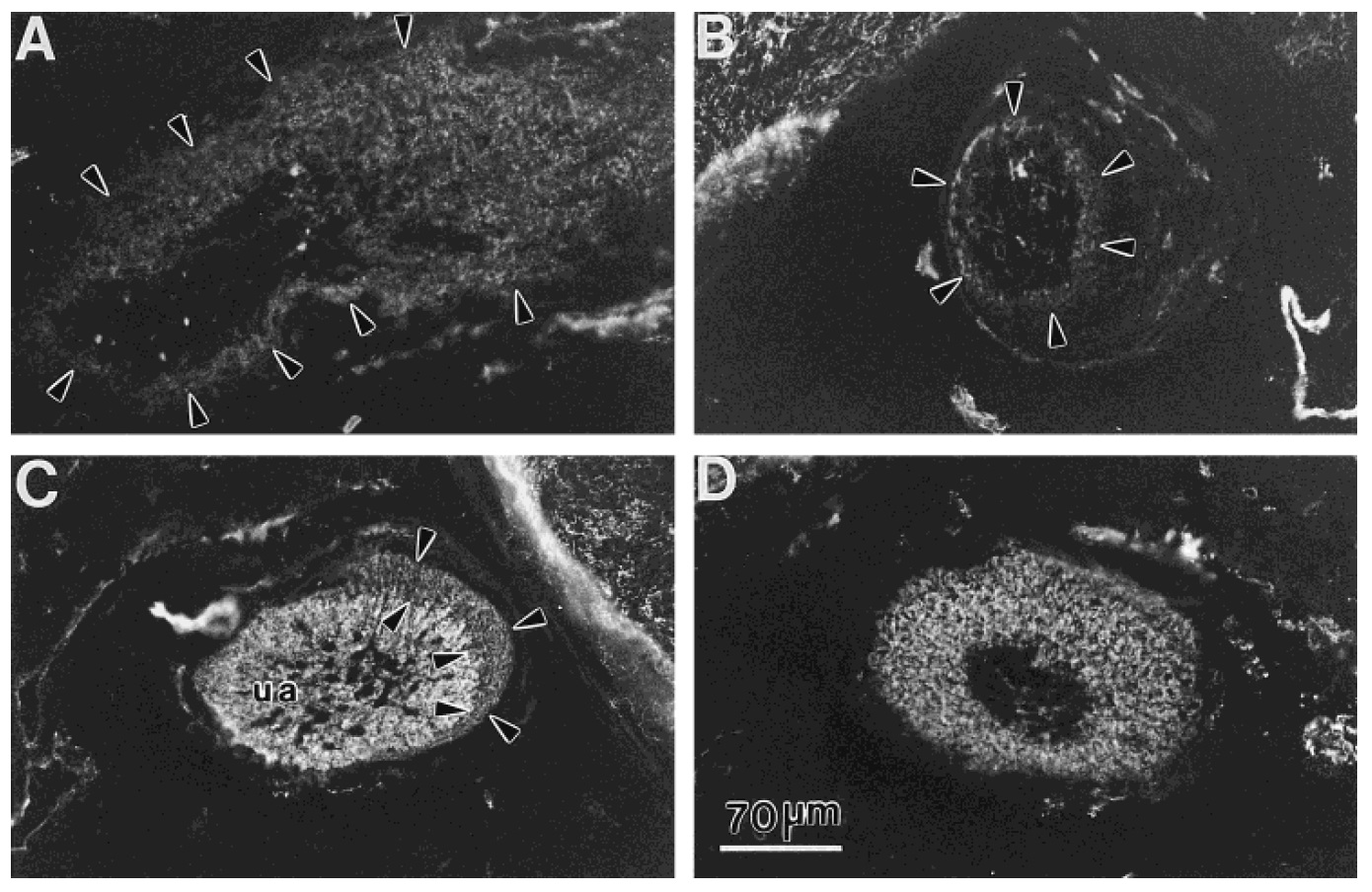
Figure 9 Xefiltin immunostaining in regenerating optic axons, 12 (A,B) and 21 (C,D) days
after surgery. (A) Xefiltin staining in regenerating axons (unlabeled arrowheads) within the
proximal region of the injured nerve, near the level illustrated by Figure 1(B). (B) Xefiltin
staining in regenerating axons (unlabeled arrowheads) within the distal region of the injured
nerve, near the level illustrated in Figure 1(C). (C) Xefiltin staining in regenerating axons
that grew aberrantly into the uninjured control optic nerve on the contralateral side, 21 days
after injury. Unlabeled arrowheads point to xefiltin stained fibers in the aberrant retinoretinal
projection adjacent to the more intensely labeled, uninjured control fibers (ua) . (D) Xefiltin
staining in regenerating axons within the injured optic nerve, midway between the eye and the
brain [a region between those illustrated in Fig. 1(B,C)]. Scale bar in (D) applies to all panels.