Click here to close
Hello! We notice that you are using Internet Explorer, which is not supported by Xenbase and may cause the site to display incorrectly.
We suggest using a current version of Chrome,
FireFox, or Safari.
Dev Dyn
2005 Sep 01;2341:190-200. doi: 10.1002/dvdy.20511.
Show Gene links
Show Anatomy links
Spatio-temporal regulation and cleavage by matrix metalloproteinase stromelysin-3 implicate a role for laminin receptor in intestinal remodeling during Xenopus laevis metamorphosis.
???displayArticle.abstract???
The 37-kd laminin receptor precursor (LR) was first identified as a 67-kd protein that binds laminin with high affinity. We have recently isolated the Xenopus laevis LR as an in vitro substrate of matrix metalloproteinase stromelysin-3 (ST3), which is highly upregulated during intestinal metamorphosis in Xenopus laevis. Here, we show that LR is expressed in the intestinal epithelium of premetamorphic tadpoles. During intestinal metamorphosis, LR is downregulated in the apoptotic epithelium and concurrently upregulated in the connective tissue but with little expression in the developing adult epithelium. Toward the end of metamorphosis, as adult epithelial cells differentiate, they begin to express LR. Furthermore, LR is cleaved during intestinal remodeling when ST3 is highly expressed or in premetamorphic intestine of transgenic tadpoles overexpressing ST3. These results suggest that LR plays a role in cell fate determination and tissue morphogenesis, in part through its cleavage by ST3. Interestingly, high levels of LR are known to be expressed in tumor cells, which are often surrounded by fibroblasts expressing ST3, suggesting that LRcleavage by ST3 plays a role in both physiological and pathological processes.
Figure 3. Tissue-dependent spatial and temporal regulation of LP expression in the intestine during natural metamorphosis. Intestinal cross sections from tadpoles at indicated stages were immunostained with anti-Xenopus LR antibody. Bottom right: (st 60pi) Stage-60 intestinal section stained with preimmune serum. Scale bar = 100 mu m. AE, adult epithelium; CT, connective tissue; L, lumen; LE, larval epithelium. The greenish brown labeling is due to LR antibody staining. The label in the lumen in panel of st 57 was due to non-specific labeling of the intestinal debris.
Figure 4. T3 induces tissue-specific changes in LR expression in the intestine. Stage 55/56 tadpoles were treated with 5 nM T3 for 0, 5, and 7 days. The intestine was isolated and intestinal cross sections were immunostained with anti-Xenopus LR antibody. Scale bar = 100 mu m. Note that some labeling was found in the tip of the epithelium in 7 days, which was due to the remnants of the larval epithelium. AE, adult epithelium; CT, connective tissue; L, lumen; LE, larval epithelium.
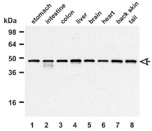
Fig. 1. LR is ubiquitously expressed in tadpole tissues. Total protein was isolated from indicated
organs/tissues of premetamorphic (stage 57) tadpoles. One microgram of each was electrophoresed
on an SDS gel and detected with anti-Xenopus LR antibody.
Fig. 2. LR is expressed in animal intestine throughout development. A: Northern blot analysis reveals
that LR mRNA is expressed through intestinal development while ST3 expression is limited to the
intestinal metamorphosis period. Total RNA was isolated from intestine of tadpoles at various stages
during metamorphosis. Ten micrograms of each were electrophoresed on an agarose gel and hybridized
with ST3 and LR probes. Note that ST3 mRNA shows dramatic upregulation during the early
stages of metamorphic climax (stages 60, 61) whereas little change was found in LR mRNA level during
metamorphosis. B: Western blot shows that LR protein is also present at all stages of intestinal
metamorphosis. Total protein was isolated from intestine of tadpole at various stages during metamorphosis.
One microgram of each was electrophoresed on an SDS gel and detected by anti-Xenopus
LR antibody. The open arrow indicates full-length LR. The triangle and solid and open circles indicate
possible degradation products (as described later). Note that the bands indicated by circles were
present only at stage 61, the climax of intestinal remodeling, while the largest degradation product
(triangle) was observed in different sample preparations at different stages (data not shown) and did not
correlate with intestinal metamorphosis.
Fig. 5. ST3 cleaves cell surface LR. A: Schematically diagram showing that ST3cleavage sites are located between the transmembrane domain (TM)
and the laminin binding sequence (LB) of LR (Amano et al., 2005). ST3 cleaves LR between A115 and F116 (a), and P133 and I134 (b) and the two
cleavage sites by ST3 are indicated by two arrows. LR is either a homodimer of the 37-kd or a heterodimer with another protein (Landowski et al., 1995;
Menard et al., 1997; Buto et al., 1998). Only the 37-kd precursor protein (referred to here and in the text simply as LR) is shown here for simplicity.
B: Cos7 cells were transfected with a plasmid encoding C-terminal Flag-tagged LR and incubated with or without 2 or 5 g/ml of ST3Cw or ST3Cm
in the DMEM medium containing 2% FCS, 100 M ZnCl2, and 1 mM CaCl2. The cells and conditioned medium were isolated. Cells were lysed in
SDS-sample buffer and subjected to Western blotting with anti-Xenopus LR antibody (left). The conditioned medium was subjected to immunoprecipitation
with anti-Flag beads and the immunoprecipitate was analyzed on a Western blot with anti-Xenopus LR antibody (right). The arrow, and solid
and open circles indicate full-length LR and C-terminal degradation fragments, respectively. The full-length LR was likely due to cell lysis during protein
isolation, although some may also be due to secretion or shedding from cell surface (Karpatova et al., 1996). The star points to a non-specific band.
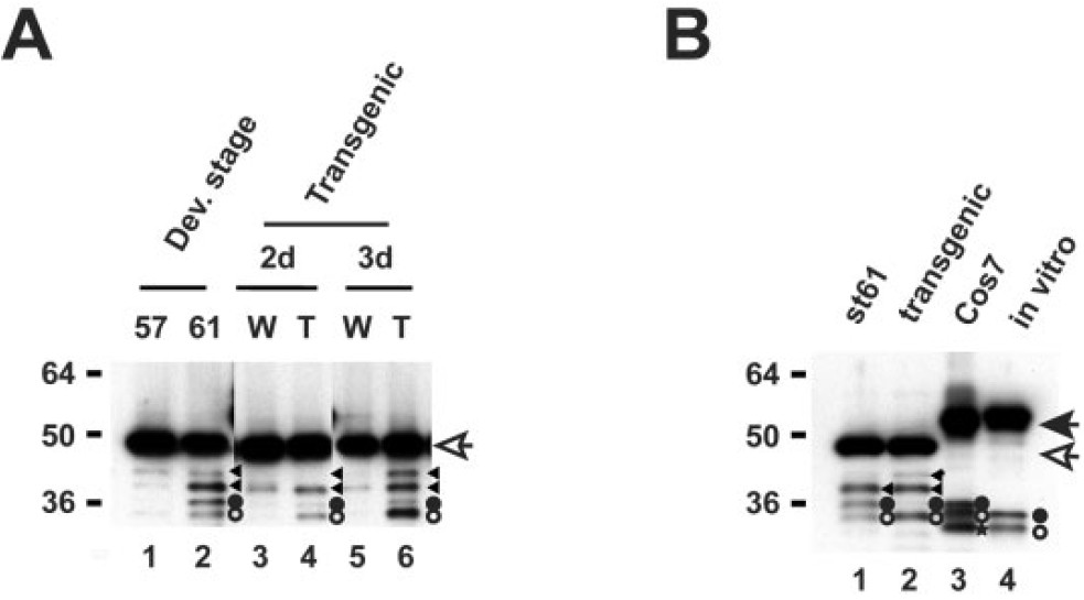
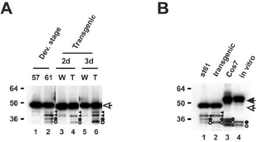
Fig. 6. ST3 degrades LR in vivo. A: LR is degraded in the intestine at the climax of metamorphosis
and in the intestine of premetamorphic transgenic tadpoles overexpressing ST3. Transgenic F1
animals (T) and non-transgenic siblings (W) were heat shocked daily in a same tank. Two (2d) or
three days (3d) later, the intestines were isolated. Total protein was isolated from these intestines
as well as from the intestines of premetamorphic tadpoles at stage 57 (57) or metamorphosing
tadpoles at stage 61 (61). The proteins were subjected to Western blotting with anti-Xenopus LR
antibody. The open arrow indicates full-length LR. The triangles, and solid and open circles indicate
degradation products. The larger bands (triangles) were occasionally observed in different sample
preparations in tadpoles at different stages but the bands indicated by the circles were found only
in metamorphosing intestine or in animals expressing transgenic ST3. B: The LR degradation
profile in tadpoles suggests that LR is cleaved by ST3. Protein samples from intestine of stage 61
(st61, lane 1) and transgenic (lane 2) tadpoles, conditioned medium of Cos7 cells cultured in the
presence of added ST3Cw (see Fig. 5) (lane 3), and purified LR treated with ST3Cw (Amano et al.,
2005) (lane 4) were subjected to Western blotting with anti-LR antibody. Solid and open arrows
indicate full-length LR with or without the tag, respectively. Open and closed circles point to
degradation products. The larger degradation products (triangles) are likely non-specific (see A).
The star indicates a non-specific background band (see Fig. 5). Note that in vivo products are larger
than in vitro products, likely due to the in vivo modifications. The degradation fragments of
overexpressed LR in Cos7 cells are of similar sizes as those in tadpoles.
rpsa (ribosomal protein SA) gene expression in a cross-section of Xenopus laevis intestine, NF stage 60, as assayed by immunohistochemistry.