Click here to close
Hello! We notice that you are using Internet Explorer, which is not supported by Xenbase and may cause the site to display incorrectly.
We suggest using a current version of Chrome,
FireFox, or Safari.
???displayArticle.abstract??? Bone Morphogenetic Proteins (BMPs) are potent regulators of embryonic cell fate that are presumed to initiate signal transduction in recipient cells through multimeric, transmembrane, serine/threonine kinase complexes made up of type I and type II receptors. BMPRII was identified previously in mammals as the only type II receptor that binds BMPs, but not activin or TGFbeta, in vitro. We report the cloning and functional analysis in vivo of its Xenopus homolog, XBMPRII. XBMPRII is expressed maternally and zygotically in an initially unrestricted manner. Strikingly, XBMPRII transcripts then become restricted to the mesodermal precursors during gastrulation. Expression is lower in the dorsal organizer region, potentially providing a mechanism to suppress the actions of BMP4 on dorsally fated tissues. Similar to the results seen for a truncated type I BMP receptor (tBR), a dominant-negative form of XBMPRII (tBRII) can dorsalize ventralmesoderm, induce extensive secondary body axes, block mesoderm induction by BMP4 and directly neuralize ectoderm, strongly suggesting that XBMPRII mediates BMP signals in vivo. However, although both tBRII and tBR can induce partial secondary axes, marker analysis shows that tBRII-induced axes are more anteriorly extended. Additionally, coinjection of tBRII and tBR synergistically increases the incidence of secondary axis formation. A truncated activin type II receptor (deltaXAR1) is known to block both activin and BMP signaling in vivo. Here we show that such crossreactivity does not occur for tBRII, in that it does not affect activin signaling. Furthermore, our studies indicate that the full-length activin type II receptor (XAR1) overcomes a block in BMP4 signaling imposed by tBRII, implicating XAR1 as a common component of BMP and activin signaling pathways in vivo. These data implicate XBMPRII as a type II receptor with high selectivity for BMP signaling, and therefore as a critical mediator of the effects of BMPs as mesodermal patterning agents and suppressors of neural fate during embryogenesis.
Fig. 1. Structure and expression of XBMPRII. (A) Functional
domains of XBMPRII are defined by percentage amino acid
similarity to human BMPRII (Kawabata et al., 1995). The dominant
negative XBMPRII (tBRII) is truncated 10 amino acids after the
putative transmembrane domain (arrow). PM, plasma membrane.
(B) RNAse protection analysis during development (stages indicated
above the lanes) shows maternal and zygotic XBMPRII transcription.
RT-PCR detection of the constitutive fibroblast growth factor
receptor (FGFR) RNA was used as a loading control.
Fig. 2. Spatiotemporal expression pattern of XBMPRII by whole-mount in situ
hybridization. (A) Side view of a stage 9 blastula showing enhanced signal in
the animal region. (B) Sense probe control â neurula stage. (C) The pattern in A
was confirmed by RNAse protection analysis of XBMPRII in animal cap (AC)
and vegetal pole (VP) explants from stage 9 embryos. EF1a was used as a
loading control (four AC or ten VP explants/lane). (D) Vegetal and dorsovegetal
views of stage 10 (left) and 10.5 (right) embryos show expression restricted to
the marginal zone, with substantially less expression adjacent to the forming
dorsal lip (arrowheads). (E) Eosin-counterstained sections of stage 10.5 embryos
show expression in preinvoluting mesodermal precursors (bracketed), but not
extending to the dorsal lip margin (arrowhead). (G) At the neurula stage,
expression is in the posterior, preinvoluting mesoderm. (H) Sectional analysis at
this stage (plane indicated by bars in G) demonstrates a ring of signal
surrounding the yolk plug (YP), and at higher magnification (L â area boxed in
H), the subepithelial localization of expression. (J) At late neurula stages,
expression is concentrated in two areas of ventralmesoderm with fainter
expression in the brain and eye (e). (K) Sections through the posterior focus
(bars in J indicate plane) demonstrate subepithelially localized expression
extending from the proctodeum (PR) to midway up the lateral wall (bars
indicate dorsal limit). Faint neural tube staining is seen (arrowhead). (N) and (O)
A complex pattern of expression is seen at the tailbud stage, including
expression in neural tube (NT), brain (BR) and around the otic vesicle (OV).
CG, cement gland. F, I, M and P show BMP4 expression at similar stages
(photographs kindly provided by E. M. De Robertis), demonstrating a high
degree of overlap with XBMPRII expression. In B,G,I,J and M-P, anterior is to
the left, and dorsal uppermost. Arrowheads in F and P indicate dorsal lip and
ventralblood islands, respectively.
Fig. 4. Whole-mount analysis of secondary axes. (A) tBRII RNAinjected
double-axis embryo. Black arrows and white arrowheads
denote primary and secondary axes, respectively. Cement glands
(black arrowheads) are present in both axes, but the secondary axis
lacks recognizable head structures. tBRII injected embryos were
analyzed by in situ hybridization (B,C, E-H) or immunohistochemistry
(D) to determine the tissue types present in the secondary axis. Arrows
and arrowheads (B-H) indicate primary and secondary axes,
respectively. (B) General neural marker, nrp-1. (C) Xbra, notochord
and tailbud marker. The secondary axis lacks expression. (D) 12/101
muscle-specific antibody. (E) HoxB9, spinal cord marker. (F) En2,
midbrain/hindbrain boundary marker. (G) Krox20, marker of
rhombomeres 3 and 5. (H) Otx2, anterior neural marker. Embryos are
oriented with anterior to the left and dorsal up.
Fig. 5. Direct anterior neural induction in animal caps by tBRII. (A)
RNAse protection analysis of animal cap RNA (10 caps/lane) for
neural (NCAM) and mesodermal (Xbra) tissues at stages 25 (tailbud)
and 11 (gastrula) respectively. tBRII induces neural tissue without
mesoderm induction. EF1a is the loading control. WE, whole
embryo control; uninj., control caps from uninjected embryos (B)
RT-PCR analysis of animal cap RNA for region-specific neural
marker expression. tBRII induces the anterior neural marker, Otx2,
but not the hindbrain marker, Krox20. FGFR expression was used as
a loading control. -RT, no reverse transcriptase control.
Fig. 6. tBRII dorsalizes ventral marginal zones. Dorsal and ventral
marginal zones (DMZ and VMZ) were analyzed at stage 12.5 (early)
or stage 25 (late) by RT-PCR for expression of the mesodermal
markers gsc, Xwnt8 and actin. As expected, DMZs show similar
marker expression profiles among the three experimental groups.
tBRII or tBR-loaded VMZs express the dorsal markers gsc and actin,
and the ventral marker, Xwnt8, is suppressed. FGFR is the loading
control. WE, RNA from whole embryos; uninj, DMZs or VMZs
from uninjected embryos; -RT, no reverse transcriptase control.
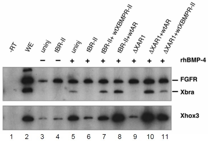
Fig. 7. tBRII blocks BMP4-mediated mesoderm induction. RT-PCR
analysis of animal cap RNA at stage 16 for expression of the panmesodermal
marker, Xbra, or ventrolateral mesodermal marker,
Xhox3. When compared to control caps (lane 3), incubation of
uninjected animal caps with rhBMP4 induces mesodermal markers
(lane 5). The induction is blocked by tBRII (lane 6) or ÆXAR1 (lane
9). The inhibition is reversed by coexpressing the wild-type BMP
type II (lanes 7 and 11) or activin type II (lanes 8 and 10) receptor.
FGFR expression was used as the loading control. WE, RNA from
whole embryos; uninj, animal caps from uninjected embryos; -RT,
no reverse transcriptase control.
Fig. 8. tBRII does not block activin signaling. (A) Morphological
analysis of animal caps at stage 22. Uninjected animal caps elongate
in response to 5 ng/ml activin (top two panels). This elongation is not
affected by tBRII (next four panels) but is diminished greatly by
ÆXAR1 (bottom four panels). (B) RT-PCR analysis of animal cap
RNA at sibling stage 11 (early) or 25 (late) for expression of the panmesodermal
marker, Xbra, or the dorsolateral mesodermal marker,
actin. Neither marker is significantly expressed in control or tBRII
injected caps (lanes 3-5), but both are induced by treating uninjected
caps with activin (lane 6). Marker expression is not inhibited by tBRII
(lanes 7 and 8), but ÆXAR1 dose-dependently blocks expression
(lanes 9 and 10). FGFR expression was used as a loading control.
WE, RNA from whole embryos; uninj, animal caps from uninjected
embryos; act, activin; -RT, no reverse transcriptase control.
bmpr2 (bone morphogenetic protein receptor, type 2 (serine/threonine kinase)) gene expression in Xenopus laevis embryo, assayed via in situ hybridization, NF stage 28, lateral view, anteriorleft, dorsal up.