|
Fig. 1. The nucleotide sequence of XALDA and the deduced amino acid sequence. This clone was 1466 nucleotides long with an open
reading frame consisting of 1089 nucleotides. The boxes indicate an initiation codon ATG., termination codon TAA., and
polyadenylation signal AATAAA. in this order. Arrows indicate the region used as aldolase A specific probe 507 bp. in Northern blot
analysis and whole mount in situ hybridization.
|
|
Fig. 2. Comparison of deduced amino acid sequences between XALDA and three types of aldolases from Xenopus and other animal
species rat, human, rabbit, and chicken.. The strongly shadowed regions I–VII. are regions highly conserved among all types of
aldolases, the weakly shadowed regions 1–4. being the isozyme group-specific regions. Dashes are amino acid residues identical to those
of Xenopus muscle-type aldolase XALDA.. Asterisks ). in the rat aldolase C sequence indicates the position where an amino acid is
deleted. Question marks ?. in chicken aldolase C are unknown amino acid residues. The literature sources are as follows: aldolase A,
human w10x, rat w7x, rabbit w11x, and Xenopus this paper.; aldolase B, human w9x, rat w8x, and chick w43x; and aldolase C, human w12x, rat
w13x, chick w6x, and Xenopus w21x.
|
|
Fig. 3. Phylogenetic tree inference. On the basis of the alignment
of 10 aldolases, a phylogenetic tree was inferred by the
neighbor-joining method w25x, for the region where unambiguous
alignment is possible. The inferred tree shows that Xenopus
aldolase A reported in this paper shares a common ancestor with
the aldolase A of rodent and primates. The length of the horizontal
line is proportional to the number of amino acid substitutions
per residue.
|
|
Fig. 4. Distribution of XALDA mRNA in adult tissues. RNAs
were extracted and subjected to Northern blot analysis using
aldolase A-specific region of XALDA 3X-noncoding region. as a
probe A,B.. The loading equivalency was clear from the occurrence
of approximately the same amount of 18S and 28S rRNA
on each lane A,B, bottom.. Autoradiographic film was exposed
for 1 day A. or for 3 days B.. The same set of RNAs were also
used for Northern blot analysis with the aldolase C-specific
region PíuII– EcoRI fragment. and the full-length XALDC w21x
as probes C and D, respectively.. The loading equivalency was
confirmed by the same amount of 18S rRNA C,D, bottom..
|
|
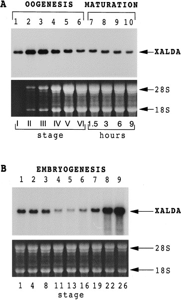
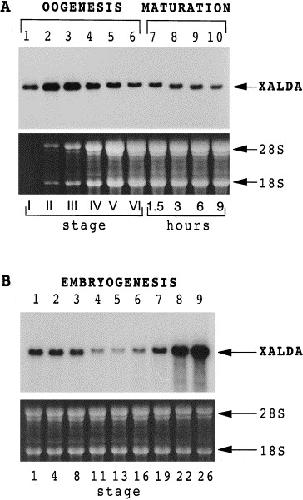
Fig. 5. Temporal changes in the level of XALDA mRNA during
oogenesis, oocyte maturation and embryogenesis. RNAs were
extracted from oocytes at different stages, oocytes during maturation,
and embryos at different stages and subjected to Northern
blot analysis. A. Lanes 1â6, stages IâVI, respectively; lanes
7â10, stage VI oocyte treated with progesterone for 1.5, 3, 6, 9 h,
respectively. Staging of oocytes was according to Dumont w27x.
B. Lane 1, fertilized eggs; lane 2, stage 4 cleavage.; lane 3,
stage 8 mid-blastula.; lane 4, stage 11 mid-gastrula.; lane 5,
stage 13 early-neurula.; lane 6, stage 16 mid-neurula.; lane 7,
stage 19 late-neurula.; lane 8, stage 22 tailbud.; lane 9, stage 26
late-tailbud.. Staging of embryos was according to Nieuwkoop
and Faber w29x.
|
|
Fig. 6. A summary of the changing level of XALDA mRNA during oogenesis, oocyte maturation and embryogenesis. Northern blot
signals in Fig. 5A,B was analyzed in a densitometer, and the strength of signals was plotted against the ordinate on an arbitrary unit,
taking the value for the sample in lane 10 A. and lane 1 B. as 1.0. The abscissa shows the changes in the developmental stages as
indicated in Fig. 5.
|
|
Fig. 7. Expression of XALDA mRNA as studied by the embryo dissection method at 8-cell and neurula stages. A. Diagram of the
dissection of an 8-cell stage embryo. The embryo was separated into four different portions as illustrated. 1, dorsalâanimal part; 2,
dorsalâvegetal part; 3, ventralâanimal part; and 4, ventralâvegetal part. B. Northern blot analysis of RNAs from four dissected portions
of 8-cell stage embryo. The number of lanes corresponds to the region dissected in A.. C. Diagram of neurula dissection. The neural
groove region of neurulae stage 19. was separated into four different parts: 1, notochord; 2, somite; 3, dorsal endoderm; and 4, dorsal
ectoderm. D. Northern blot analysis of RNAs from dissected neurula tissues. The number of lanes corresponds to the region dissected in
C..
|
|
Fig. 8. Spatial expression pattern of XALDA at embryo as studied by whole mount in situ hybridization. In AâG., the aldolase
A-specific region of XALDA was used as an antisense probe and in H as a sense probe. A. Stage 13 early-neurula.; B. stage 19
late-neurula.; C. stage 23 mid-tailbud.; D. stage 25 late-tailbud.; E. stage 26 late-tailbud.; F. stage 35 early-tadpole.; G. stage 40
tadpole.; and H. stage 26 late-tailbud.. Pronephros and heart anlage were indicated by small and large arrowhead, respectively.
|
|
Fig. 9. Expression of XALDA and a-actin mRNAs in animal
caps treated by activin A. Animal caps were treated with different
concentrations of activin A for 30 min and, after culture for 20 or
36 h, RNAs were extracted and subjected to Northern blot
analysis using either aldolase A-specific cDNA as in Fig. 4A and
cDNA for a-actin as a probe B..
|
|
Fig. 10. A zymogram of Xenopus aldolase in adult tissues.
Extracts of different tissues were fractionated on a filter and the
isozyme pattern was obtained. The tetramers of muscle-type
aldolase A., brain-type aldolase C., and both types of aldolases
were shown. Under the pH gradient conditions used, liver-type
aldolase B. was not separated well on the filter.
|
|
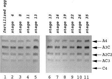
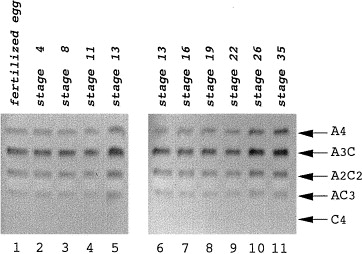
Fig. 11. Zymogram of Xenopus aldolase in embryos at various
stages. Isozyme pattern was analyzed as in Fig. 10. Lane 1,
fertilized eggs; lane 2, stage 4 cleavage.; lane 3, stage 8 mid-
blastula.; lane 4, stage 11 mid-gastrula.; lane 5, stage 13 early-
neurula.; lane 6, stage 13 early-neurula.; lane 7, stage 16
mid-neurula.; lane 8, stage 19 late-neurula.; lane 9, stage 22
early-tailbud.; lane 10, stage 26 late-tailbud.; and lane 11, stage
35 tadpole.. Data in left and right panels were from the same
batch of embryos.
|