Click here to close
Hello! We notice that you are using Internet Explorer, which is not supported by Xenbase and may cause the site to display incorrectly.
We suggest using a current version of Chrome,
FireFox, or Safari.
???displayArticle.abstract???
The gata2 gene encodes a transcription factor implicated in regulating early patterning of ectoderm and mesoderm, and later in numerous cell-specific gene expression programs. Activation of the gata2 gene during embryogenesis is dependent on the bone morphogenetic protein (BMP) signaling pathway, but the mechanism for how signaling controls gene activity has not been defined. We developed an assay in Xenopus embryos to analyze regulatory sequences of the zebrafish gata2 promoter that are necessary to mediate the response to BMP signaling during embryogenesis. We show that activation is Smad dependent, since it is blocked by expression of the inhibitory Smad6. Deletion analysis identified an octamer binding site that is necessary for BMP-mediated induction, and that interacts with the POU homeodomain protein Oct-1. However, this element is not sufficient to transfer a BMP response to a heterologous promoter, requiring an additional more proximal cooperating element. Based on recent studies with other BMP-dependent promoters (Drosophila vestigial and Xenopus Xvent-2), our studies of the gata2 gene suggest that POU-domain proteins comprise a common component of the BMP signaling pathway, cooperating with Smad proteins and other transcriptional activators.
Figure 1. Structure of the zebrafish gata2 gene. (A) The diagram illustrates the exon/intron structure at the 5′ end of the zebrafish gata2 gene, determined by comparing the 5′-RACE product with the genomic sequence. Exons are shown as boxes and +1 indicates the transcription start site. (B) The position of the first intron relative to the genomic sequence is shown, with intronic sequences in lower case, and conserved intronic splice junction sequences in bold. (C) To generate a reporter gene, the sequences from the initiation ATG at +595 (relative to the transcription start site) to −6520 were placed upstream of the coding sequences for the firefly luciferase gene. This construct is analogous to a transgenic reporter shown to recapitulate the early gata2 expression pattern in zebrafish embryos (38).
Figure 2. The gata2 promoter directs reporter gene activity that is induced by BMP4 and dependent on Smad signaling. (A) The luciferase reporter was injected at the four-cell stage into blastomeres that contribute preferentially to ventral or dorsal regions of the embryo, as indicated. The reporter is more active in the ventral-posterior derivatives, but this is abrogated by co-injection of RNA encoding the inhibitory Smad6 (the error bar for this sample is present, but it is so small that it is not evident). The results indicate that the reporter responds as predicted to the endogenous Smad-dependent BMP signaling pathway. (B) The gata2 promoter is induced ∼5-fold by co-injection of RNA encoding BMP4. This activation is also blocked by co-expression of Smad6.
Figure 3. Deletion analysis maps a BRE to a 68 bp region upstream of the gata2 promoter. A progressive series of 5′ deletions was used to measure the relative activity of the promoter when injected with RNA encoding BMP4, compared to the same reporter when injected with non-coding control RNA, as described in Materials and Methods. For each construct, the site of truncation is indicated, the +1 indicates the transcriptional start site, and the box represents the firefly luciferase reporter. The fold difference (induced/uninduced) is plotted and shows a significant drop when sequences are deleted between −819 and −751. This 68 bp sequence is designated BRE1.
Figure 4. BRE1 mediates activation by BMP4 or Smads. The inducible reporter (−819) or the reporter lacking BRE1 (−751), as diagrammed in Figure 3, was co-injected into Xenopus embryos with RNA encoding Smad1, BMP4, Smad5 or Smad8, as indicated. Smad1 activates the reporter equivalent to BMP4, and in both cases this is dependent on the presence of the BRE1 sequences. Smad5 is only slightly less active, while Smad8 fails to induce reporter activity.
Figure 5. Mutation of an octamer element located at the 3′ end of the BRE1 is sufficient to block BMP-induced activation of the promoter. (A) A series of specific mutations were introduced into the BRE1 by site-directed mutagenesis for potential Smad-binding sites (mutations #1–5) or for an A/T-rich sequence (mutation #6), or a putative octamer binding site (mutation #7). (B) When compared to the BMP-inducible reporter containing the intact BRE1 (−819), none of the first six mutations had a significant effect on induction. In contrast, mutation of the putative octamer binding site (mutation #7) blocked BMP-mediated induction, similar to deletion of the BRE1 (−751).
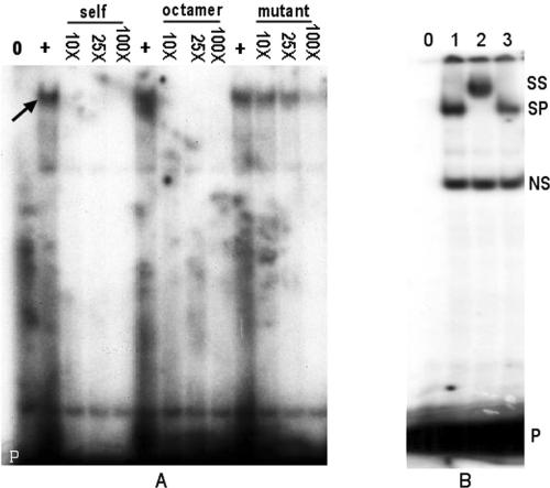
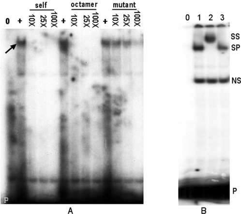
Figure 6. The octamer site of BRE1 binds Oct-1 in Xenopus nuclear lysates. (A) Gel mobility shift assays were performed using a labeled probe containing the BRE1 sequences including the putative octamer binding site. Lane 0 represents probe alone and the position of the free probe is indicated (P). In lanes marked with a ‘+’, a specific complex forms using nuclear extracts derived from stage 13 embryos, as indicated by the arrow in the second lane. The complex is competed specifically by the addition in the reaction of excess (10×, 25× or 100×) unlabeled probe DNA (self) or DNA containing the octamer consensus (octamer), but not by DNA containing the same mutation of the octamer that blocks the induction by BMP4 (mutant). (B) Similar gel mobility-shift assays were performed. In this case, the lanes include probe alone (0), nuclear extract (1), nuclear extract and antibody to Xenopus Oct-1 (2) or a control isotype-matched antibody (3). The free probe is indicated (P) as are the positions of a non-specific complex (NS), the specific complex (SP) and the complex that is super-shifted by addition of the Oct-1 antibody (SS).
Figure 7. The BRE1 cooperates with a distinct BRE2 element located at ∼100 bp proximal to the Oct-1 binding site. (A) The SV40 minimal promoter was used to test if the BRE activity could be transferred to a heterologous promoter. The SV40 promoter itself is not induced by BMP4. Shown below this construct are six additional reporters containing various regions of the gata2 upstream region as indicated on the map below, placed upstream of the SV40 promoter. Sequences from −819 to −685 containing just the BRE1 (construct #1, 134 bp) does not function as a BRE, whereas the entire region from −819 to −443 (construct #2, 377 bp) is sufficient to mediate ∼3-fold activation of the SV40 promoter by BMP-4. Subsequent constructs delineated a 20 bp sequence (between −666 and −646) that is necessary for BRE activity (designated BRE2). Dark grey boxes indicate gata2 genomic sequences, black boxes indicate the SV40 promoter, and the light grey box represents the luciferase reporter gene. Black boxes on the map below represent the BRE sequences. (B) BRE2 is not active in the absence of BRE1. This is shown by transferring sequences from −751 to −443 upstream of the SV40 promoter, which fails to support BMP-mediated induction. Therefore, neither BRE1 nor BRE2 has activity on its own, but the two regions cooperate to mediate the response. Boxes represent sequences as in (A). (C) Sequences around the BRE2, defined so far by the 20 bp region between −646 and −666. Potential Smad (AGAC) or Vent-2 (ATTA) binding sites are indicated, although we have so far been unable to confirm that they are functional, either for binding or activity (data not shown).
Bertwistle,
GATA factors and the origins of adult and embryonic blood in Xenopus: responses to retinoic acid.
1996, Pubmed,
Xenbase
Bertwistle,
GATA factors and the origins of adult and embryonic blood in Xenopus: responses to retinoic acid.
1996,
Pubmed
,
Xenbase
Brewer,
Nuclear translocation of a maternal CCAAT factor at the start of gastrulation activates Xenopus GATA-2 transcription.
1995,
Pubmed
,
Xenbase
Cao,
The POU factor Oct-25 regulates the Xvent-2B gene and counteracts terminal differentiation in Xenopus embryos.
2004,
Pubmed
,
Xenbase
Certel,
Restricted patterning of vestigial expression in Drosophila wing imaginal discs requires synergistic activation by both Mad and the drifter POU domain transcription factor.
2000,
Pubmed
Chen,
Smad4 and FAST-1 in the assembly of activin-responsive factor.
1997,
Pubmed
,
Xenbase
Chen,
A transcriptional partner for MAD proteins in TGF-beta signalling.
1996,
Pubmed
,
Xenbase
Dale,
Bone morphogenetic protein 4: a ventralizing factor in early Xenopus development.
1992,
Pubmed
,
Xenbase
Detrich,
Intraembryonic hematopoietic cell migration during vertebrate development.
1995,
Pubmed
Dosch,
Bmp-4 acts as a morphogen in dorsoventral mesoderm patterning in Xenopus.
1997,
Pubmed
,
Xenbase
Evans,
An erythrocyte-specific DNA-binding factor recognizes a regulatory sequence common to all chicken globin genes.
1988,
Pubmed
Fleenor,
Comparison of human and Xenopus GATA-2 promoters.
1996,
Pubmed
,
Xenbase
Fortuno,
The amino terminus of Smads permits transcriptional specificity.
2001,
Pubmed
,
Xenbase
Friedle,
Cooperative interaction of Xvent-2 and GATA-2 in the activation of the ventral homeobox gene Xvent-1B.
2002,
Pubmed
,
Xenbase
Groves,
Differential regulation of transcription factor gene expression and phenotypic markers in developing sympathetic neurons.
1995,
Pubmed
Hata,
OAZ uses distinct DNA- and protein-binding zinc fingers in separate BMP-Smad and Olf signaling pathways.
2000,
Pubmed
,
Xenbase
Hata,
Smad6 inhibits BMP/Smad1 signaling by specifically competing with the Smad4 tumor suppressor.
1998,
Pubmed
,
Xenbase
Henningfeld,
Autoregulation of Xvent-2B; direct interaction and functional cooperation of Xvent-2 and Smad1.
2002,
Pubmed
,
Xenbase
Henningfeld,
Smad1 and Smad4 are components of the bone morphogenetic protein-4 (BMP-4)-induced transcription complex of the Xvent-2B promoter.
2000,
Pubmed
,
Xenbase
Herr,
The POU domain: versatility in transcriptional regulation by a flexible two-in-one DNA-binding domain.
1995,
Pubmed
Heyworth,
A GATA-2/estrogen receptor chimera functions as a ligand-dependent negative regulator of self-renewal.
1999,
Pubmed
Imai,
The homeobox genes vox and vent are redundant repressors of dorsal fates in zebrafish.
2001,
Pubmed
,
Xenbase
Imamura,
Smad6 inhibits signalling by the TGF-beta superfamily.
1997,
Pubmed
Ishida,
Smad6 is a Smad1/5-induced smad inhibitor. Characterization of bone morphogenetic protein-responsive element in the mouse Smad6 promoter.
2000,
Pubmed
Karaulanov,
Transcriptional regulation of BMP4 synexpression in transgenic Xenopus.
2004,
Pubmed
,
Xenbase
Kelley,
Ventral expression of GATA-1 and GATA-2 in the Xenopus embryo defines induction of hematopoietic mesoderm.
1994,
Pubmed
,
Xenbase
Kim,
Drosophila Mad binds to DNA and directly mediates activation of vestigial by Decapentaplegic.
1997,
Pubmed
Korchynskyi,
Identification and functional characterization of distinct critically important bone morphogenetic protein-specific response elements in the Id1 promoter.
2002,
Pubmed
Kusanagi,
Characterization of a bone morphogenetic protein-responsive Smad-binding element.
2000,
Pubmed
Lawson,
GATA factors are essential for activity of the neuron-specific enhancer of the gonadotropin-releasing hormone gene.
1996,
Pubmed
López-Rovira,
Direct binding of Smad1 and Smad4 to two distinct motifs mediates bone morphogenetic protein-specific transcriptional activation of Id1 gene.
2002,
Pubmed
Maeno,
The role of BMP-4 and GATA-2 in the induction and differentiation of hematopoietic mesoderm in Xenopus laevis.
1996,
Pubmed
,
Xenbase
Massagué,
TGF-beta signal transduction.
1998,
Pubmed
Massagué,
How cells read TGF-beta signals.
2000,
Pubmed
Meng,
Promoter analysis in living zebrafish embryos identifies a cis-acting motif required for neuronal expression of GATA-2.
1997,
Pubmed
Minegishi,
Alternative promoters regulate transcription of the mouse GATA-2 gene.
1998,
Pubmed
,
Xenbase
Miyanaga,
A maternal Smad protein regulates early embryonic apoptosis in Xenopus laevis.
2002,
Pubmed
,
Xenbase
Nagai,
Transcription factor GATA-2 is expressed in erythroid, early myeloid, and CD34+ human leukemia-derived cell lines.
1994,
Pubmed
Nakayama,
Smad6 functions as an intracellular antagonist of some TGF-beta family members during Xenopus embryogenesis.
1998,
Pubmed
,
Xenbase
Nohe,
The mode of bone morphogenetic protein (BMP) receptor oligomerization determines different BMP-2 signaling pathways.
2002,
Pubmed
Nony,
Alternate promoters and developmental modulation of expression of the chicken GATA-2 gene in hematopoietic progenitor cells.
1998,
Pubmed
,
Xenbase
Oh,
Activin receptor-like kinase 1 modulates transforming growth factor-beta 1 signaling in the regulation of angiogenesis.
2000,
Pubmed
Park,
Bone morphogenetic protein-2 (BMP-2) transactivates Dlx3 through Smad1 and Smad4: alternative mode for Dlx3 induction in mouse keratinocytes.
2002,
Pubmed
Persons,
Enforced expression of the GATA-2 transcription factor blocks normal hematopoiesis.
1999,
Pubmed
Phillips,
The virtuoso of versatility: POU proteins that flex to fit.
2000,
Pubmed
Rastegar,
Transcriptional regulation of Xvent homeobox genes.
1999,
Pubmed
,
Xenbase
Rosenfeld,
Multistep signaling and transcriptional requirements for pituitary organogenesis in vivo.
2000,
Pubmed
Schuler-Metz,
The homeodomain transcription factor Xvent-2 mediates autocatalytic regulation of BMP-4 expression in Xenopus embryos.
2000,
Pubmed
,
Xenbase
Shi,
Mechanisms of TGF-beta signaling from cell membrane to the nucleus.
2003,
Pubmed
Shi,
Crystal structure of a Smad MH1 domain bound to DNA: insights on DNA binding in TGF-beta signaling.
1998,
Pubmed
Shimizu,
A quantitative analysis of signal transduction from activin receptor to nucleus and its relevance to morphogen gradient interpretation.
1999,
Pubmed
,
Xenbase
Strausberg,
Generation and initial analysis of more than 15,000 full-length human and mouse cDNA sequences.
2002,
Pubmed
Sturm,
The ubiquitous octamer-binding protein Oct-1 contains a POU domain with a homeo box subdomain.
1988,
Pubmed
Sykes,
Suppression of GATA factor activity causes axis duplication in Xenopus.
1998,
Pubmed
,
Xenbase
Tiso,
BMP signalling regulates anteroposterior endoderm patterning in zebrafish.
2002,
Pubmed
Trindade,
DNA-binding specificity and embryological function of Xom (Xvent-2).
1999,
Pubmed
,
Xenbase
Tsai,
An early haematopoietic defect in mice lacking the transcription factor GATA-2.
1994,
Pubmed
Veenstra,
Dynamic and differential Oct-1 expression during early Xenopus embryogenesis: persistence of Oct-1 protein following down-regulation of the RNA.
1995,
Pubmed
,
Xenbase
Verrijzer,
The oct-1 homeo domain contacts only part of the octamer sequence and full oct-1 DNA-binding activity requires the POU-specific domain.
1990,
Pubmed
Verrijzer,
POU proteins bend DNA via the POU-specific domain.
1991,
Pubmed
Verrijzer,
The DNA binding specificity of the bipartite POU domain and its subdomains.
1992,
Pubmed
Walmsley,
Negative control of Xenopus GATA-2 by activin and noggin with eventual expression in precursors of the ventral blood islands.
1994,
Pubmed
,
Xenbase
Wilson,
Concentration-dependent patterning of the Xenopus ectoderm by BMP4 and its signal transducer Smad1.
1997,
Pubmed
,
Xenbase
Winnier,
Bone morphogenetic protein-4 is required for mesoderm formation and patterning in the mouse.
1995,
Pubmed
Wrana,
The Smad pathway.
2000,
Pubmed
Yue,
Cloning and expression of a rat Smad1: regulation by TGFbeta and modulation by the Ras/MEK pathway.
1999,
Pubmed
Zhang,
Regulation of Hex gene expression by a Smads-dependent signaling pathway.
2002,
Pubmed
Zhang,
BMP-like signals are required after the midblastula transition for blood cell development.
1996,
Pubmed
,
Xenbase