Click here to close
Hello! We notice that you are using Internet Explorer, which is not supported by Xenbase and may cause the site to display incorrectly.
We suggest using a current version of Chrome,
FireFox, or Safari.
???displayArticle.abstract???
Members of the Wnt family of signaling molecules are expressed differentially along the dorsal-ventral axis of the developing neural tube. Thus we asked whether Wnt factors are involved in patterning of the nervous system along this axis. We show that Wnt-1 and Wnt-3a, both of which are expressed in the dorsal portion of the neural tube, could synergize with the neural inducers noggin and chordin in Xenopus animal explants to generate the most dorsal neural structure, the neural crest, as determined by the expression of Krox-20, AP-2, and slug. Overexpression of Wnt-1 or Wnt-3a in the neuroectoderm of whole embryos led to a dramatic increase of slug and Krox-20-expressing cells, but the hindbrain expression of Krox-20 remained unaffected. Enlargement in the neural crest population could occur even when cell proliferation was inhibited. Wnt-5A and Wnt-8, neither of which is expressed in the dorsal neuroectoderm, failed to induce neural crest markers. Overexpression of glycogen synthase kinase 3, known to antagonize Wnt signaling, blocked the neural-crest-inducing activity of Wnt-3a in animal explants and inhibited neural crest formation in whole embryos. We suggest that Wnt-1 and Wnt-3a have a role in patterning the neural tube along its dorsoventral axis and function in the differentiation of the neural crest.
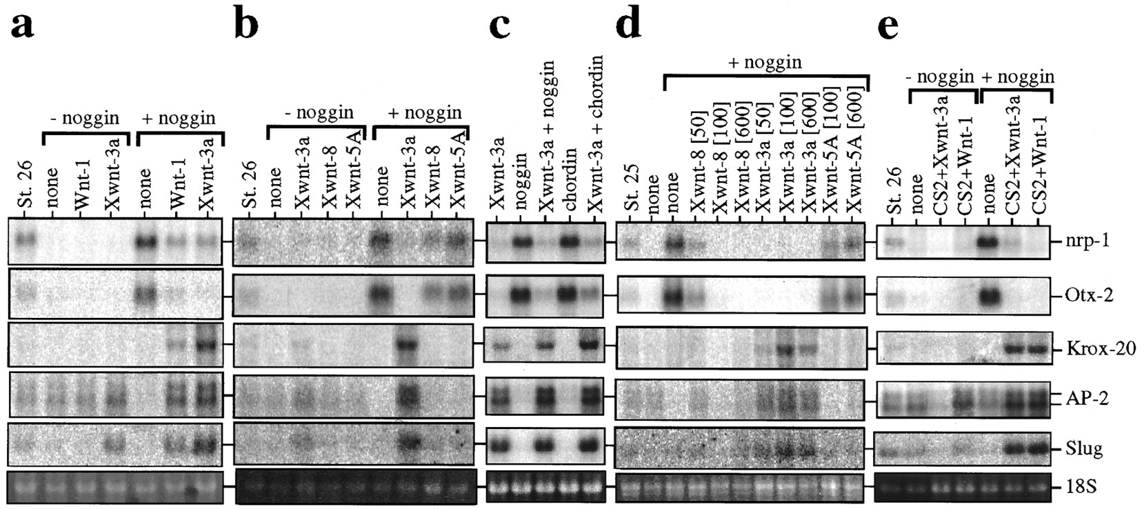
FIG. 1. Expression of neural crest markers in animal cap explants injected with Wnt RNAs or DNAs, as seen by RNA blotting. RNAs were
extracted from animal explants injected with Wnt RNAs or DNAs (CS21Wnt), alone (2noggin), or with noggin RNA (1noggin), from whole
embryos at the indicated stage and from uninjected explants (none). The blots were sequentially hybridized with Krox-20, AP-2, slug, nrp-1, and
otx-2 probes. Ethidium bromide-stained 18S ribosomal RNA is shown as a loading control. In some experiments (two of six), coexpression of Xwnt-8
and noggin induced low levels of slug RNA but consistently failed to induce Krox-20 or AP-2 (b and d). See Materials and Methods for levels of
RNA injected, except for d, where the amount of injected RNA in pg is indicated. a–e represent five experiments.
FIG. 2. Expression of Krox-20 (a–c, g, and h) and slug (d–f) in
Xenopus embryos (stage 20–25), as seen by whole-mount in situ
hybridization. The embryos are viewed from the dorsal side, and
anterior is to the top. Krox-20 expression in a control embryo (a) is in
two stripes (rhombomeres 3 and 5) in the hindbrain and a stream of
neural crest cells adjacent to rhombomere 5. Xwnt-3a-injected embryo
(b); in the injected half (note the turquoise b-gal staining in the left
half) the stream of Krox-20-expressing cells is dramatically expanded
while still arising from a zone adjacent to rhombomere 5. In an
Xwnt-8-injected embryo (c), the pattern of expression of Krox-20 is
unaffected. Slug expression in a control embryo (d). Xwnt-3a-injected
embryo (e) shows an enlargement of the domain of expression of slug
within the injected right half (see b-gal staining). An Xwnt-8-injected
embryo ( f) presents a pattern of slug expression in the injected half
(right side, b-gal staining) comparable to the uninjected half. (g)
Higher magnification of the hindbrain region of the embryo presented
in b. Rhombomere 3 (R3) and rhombomere 5 (R5) expression of
Krox-20 is not affected; NC indicates stream of neural crest.
CS21Xwnt-3a-injected embryo (h) presents an expanded domain of
expression of Krox-20 in the injected half (see b-gal staining). The
dotted lines indicate the dorsal midline. Among the embryos injected
in the animal pole region, 30% showed some level of axis duplication
when injected with Wnt-1, Xwnt-3a, or Xwnt-8 RNAs.
FIG. 3. Expression of Krox-20 after inhibition of cell proliferation
by HUA. General appearance of a control embryo (a) and an
HUA-treated embryo (b) at equivalent stage 35. Hematoxylin-eosin
staining (c and e) and 4,6-diamidino-2-phenylindole (nuclear) staining
(d and f ) of sections of a control embryo (c and d) and an HUA-treated
embryo (e and f ). The neural crest expression of Krox-20 is unaffected
in HUA-treated embryos although rhombomere expression is reduced
(h) as compared with control untreated embryo (g). The increase in
neural crest cells expressing Krox-20 generated upon Xwnt-3a RNA
injection appears similar in untreated (i) and in HUA-treated (j)
embryos.
FIG. 4. Both the axis inducing and neural crest inducing activities
of Xwnt-3a are antagonized by GSK-3b. (a) GSK-3b partially inhibits
axis rescue by Xwnt-3a. Partial rescue is observed in UV-treated
embryos (DAI 0.1) injected with Xwnt-8 RNA (DAI 3.9) or Xwnt-3a
RNA (DAI 2.6); rescue is inhibited when Xwnt-8 plus GSK-3b RNAs
(DAI 1) or Xwnt-3a plus GSK-3b RNAs (DAI 1.2) are coinjected. (b)
GSK-3b inhibits neural crest induction by Xwnt-3a. Northern blot
from animal explants injected with Xwnt-3a or Xwnt-8 RNAs plus
noggin RNA, with (1GSK-3b) or without GSK-3b RNA. Coinjection
of GSK-3b and noggin RNAs leads to the same repertoire of gene
expression as nogginRNAalone (data not shown).DAI, dorsoanterior
index (30).
FIG. 5. Expression of Krox-20 in embryos injected with 1 ng of
GSK-3b RNA, as seen by whole-mount in situ hybridization. The
embryos are viewed from the dorsal side, and anterior is to the top. (a)
Group of three embryos coinjected on the left side with GSK-3b and
b-gal RNAs (turquoise staining). (b and c) GSK-3b-injected embryos
at a higher magnification. The stream of Krox-20-positive neural crest
cells (NC) arising from rhombomere 5 (R5) is absent from the injected
half (left side), whereas the rhombomere expression is unaffected.
When b-gal staining is not detected in the dorsal region of the injected
embryo the neural crest expression of Krox-20 is unaffected, as shown
in d, where b-gal staining is ventral-anterior.
FIG. 6. Expression of dorsal and ventral neural genes in animal
explants injected with noggin RNA, Xwnt-3a RNA, or a combination
of both. Animal explants coexpressing noggin and Xwnt-3a activate a
broad range of dorsally expressed genes (Krox-20, slug, wnt-1, and
pax-3) but failed to activate ventrally expressed genes (shh and FKH-1).
Bang,
Expression of Pax-3 is initiated in the early neural plate by posteriorizing signals produced by the organizer and by posterior non-axial mesoderm.
1997, Pubmed,
Xenbase
Bang,
Expression of Pax-3 is initiated in the early neural plate by posteriorizing signals produced by the organizer and by posterior non-axial mesoderm.
1997,
Pubmed
,
Xenbase
Basler,
Control of cell pattern in the neural tube: regulation of cell differentiation by dorsalin-1, a novel TGF beta family member.
1993,
Pubmed
Bradley,
The structure and expression of the Xenopus Krox-20 gene: conserved and divergent patterns of expression in rhombomeres and neural crest.
1993,
Pubmed
,
Xenbase
Chakrabarti,
Secretory and inductive properties of Drosophila wingless protein in Xenopus oocytes and embryos.
1992,
Pubmed
,
Xenbase
Christian,
Interactions between Xwnt-8 and Spemann organizer signaling pathways generate dorsoventral pattern in the embryonic mesoderm of Xenopus.
1993,
Pubmed
,
Xenbase
Christian,
Xwnt-8, a Xenopus Wnt-1/int-1-related gene responsive to mesoderm-inducing growth factors, may play a role in ventral mesodermal patterning during embryogenesis.
1991,
Pubmed
,
Xenbase
Cui,
Xwnt-8b: a maternally expressed Xenopus Wnt gene with a potential role in establishing the dorsoventral axis.
1995,
Pubmed
,
Xenbase
Cunliffe,
Specification of mesodermal pattern in Xenopus laevis by interactions between Brachyury, noggin and Xwnt-8.
1994,
Pubmed
,
Xenbase
Dickinson,
Evidence for a mitogenic effect of Wnt-1 in the developing mammalian central nervous system.
1994,
Pubmed
Dirksen,
A novel, activin-inducible, blastopore lip-specific gene of Xenopus laevis contains a fork head DNA-binding domain.
1992,
Pubmed
,
Xenbase
Du,
Identification of distinct classes and functional domains of Wnts through expression of wild-type and chimeric proteins in Xenopus embryos.
1995,
Pubmed
,
Xenbase
Echelard,
Sonic hedgehog, a member of a family of putative signaling molecules, is implicated in the regulation of CNS polarity.
1993,
Pubmed
Goulding,
Pax-3, a novel murine DNA binding protein expressed during early neurogenesis.
1991,
Pubmed
Harland,
In situ hybridization: an improved whole-mount method for Xenopus embryos.
1991,
Pubmed
,
Xenbase
Harris,
Neuronal determination without cell division in Xenopus embryos.
1991,
Pubmed
,
Xenbase
He,
Glycogen synthase kinase-3 and dorsoventral patterning in Xenopus embryos.
1995,
Pubmed
,
Xenbase
Ikeya,
Wnt signalling required for expansion of neural crest and CNS progenitors.
1997,
Pubmed
Kao,
The entire mesodermal mantle behaves as Spemann's organizer in dorsoanterior enhanced Xenopus laevis embryos.
1988,
Pubmed
,
Xenbase
Kennison,
The Polycomb and trithorax group proteins of Drosophila: trans-regulators of homeotic gene function.
1995,
Pubmed
Knecht,
Dorsal-ventral patterning and differentiation of noggin-induced neural tissue in the absence of mesoderm.
1995,
Pubmed
,
Xenbase
Lamb,
Neural induction by the secreted polypeptide noggin.
1993,
Pubmed
,
Xenbase
Landesman,
Xwnt-2b is a novel axis-inducing Xenopus Wnt, which is expressed in embryonic brain.
1997,
Pubmed
,
Xenbase
Liem,
Dorsal differentiation of neural plate cells induced by BMP-mediated signals from epidermal ectoderm.
1995,
Pubmed
,
Xenbase
Marcelle,
Coordinate actions of BMPs, Wnts, Shh and noggin mediate patterning of the dorsal somite.
1997,
Pubmed
Mayor,
Induction of the prospective neural crest of Xenopus.
1995,
Pubmed
,
Xenbase
Mayor,
Role of FGF and noggin in neural crest induction.
1997,
Pubmed
,
Xenbase
McGrew,
Specification of the anteroposterior neural axis through synergistic interaction of the Wnt signaling cascade with noggin and follistatin.
1995,
Pubmed
,
Xenbase
McMahon,
The Wnt-1 (int-1) proto-oncogene is required for development of a large region of the mouse brain.
1990,
Pubmed
McMahon,
Ectopic expression of the proto-oncogene int-1 in Xenopus embryos leads to duplication of the embryonic axis.
1989,
Pubmed
,
Xenbase
Miller,
Signal transduction through beta-catenin and specification of cell fate during embryogenesis.
1996,
Pubmed
Moon,
Xwnt-5A: a maternal Wnt that affects morphogenetic movements after overexpression in embryos of Xenopus laevis.
1993,
Pubmed
,
Xenbase
Moon,
WNTs modulate cell fate and behavior during vertebrate development.
1997,
Pubmed
Morgan,
The role in neural patterning of translation initiation factor eIF4AII; induction of neural fold genes.
1997,
Pubmed
,
Xenbase
Nieto,
Relationship between spatially restricted Krox-20 gene expression in branchial neural crest and segmentation in the chick embryo hindbrain.
1995,
Pubmed
Nusse,
Wnt genes.
1992,
Pubmed
Parr,
Dorsalizing signal Wnt-7a required for normal polarity of D-V and A-P axes of mouse limb.
1995,
Pubmed
Parr,
Mouse Wnt genes exhibit discrete domains of expression in the early embryonic CNS and limb buds.
1993,
Pubmed
Piccolo,
Dorsoventral patterning in Xenopus: inhibition of ventral signals by direct binding of chordin to BMP-4.
1996,
Pubmed
,
Xenbase
Sasai,
Regulation of neural induction by the Chd and Bmp-4 antagonistic patterning signals in Xenopus.
1995,
Pubmed
,
Xenbase
Sharpe,
A homeobox-containing marker of posterior neural differentiation shows the importance of predetermination in neural induction.
1987,
Pubmed
,
Xenbase
Stark,
Epithelial transformation of metanephric mesenchyme in the developing kidney regulated by Wnt-4.
1994,
Pubmed
Stolow,
Xenopus sonic hedgehog as a potential morphogen during embryogenesis and thyroid hormone-dependent metamorphosis.
1995,
Pubmed
,
Xenbase
Taira,
Role of the LIM class homeodomain protein Xlim-1 in neural and muscle induction by the Spemann organizer in Xenopus.
1994,
Pubmed
,
Xenbase
Takada,
Wnt-3a regulates somite and tailbud formation in the mouse embryo.
1994,
Pubmed
Thomas,
Targeted disruption of the murine int-1 proto-oncogene resulting in severe abnormalities in midbrain and cerebellar development.
1990,
Pubmed
Turner,
Expression of achaete-scute homolog 3 in Xenopus embryos converts ectodermal cells to a neural fate.
1994,
Pubmed
,
Xenbase
Wilkinson,
Expression of the proto-oncogene int-1 is restricted to specific neural cells in the developing mouse embryo.
1987,
Pubmed
Winning,
Developmental regulation of transcription factor AP-2 during Xenopus laevis embryogenesis.
1991,
Pubmed
,
Xenbase
Wolda,
Overlapping expression of Xwnt-3A and Xwnt-1 in neural tissue of Xenopus laevis embryos.
1993,
Pubmed
,
Xenbase
Zimmerman,
The Spemann organizer signal noggin binds and inactivates bone morphogenetic protein 4.
1996,
Pubmed
,
Xenbase