Click here to close
Hello! We notice that you are using Internet Explorer, which is not supported by Xenbase and may cause the site to display incorrectly.
We suggest using a current version of Chrome,
FireFox, or Safari.
???displayArticle.abstract???
In this report, we have used mRNA injection to study the action of mutants of XrelA, a Xenopus homolog of the RelA (p65) component of NF-kappaB, on the induction of mesoderm in Xenopus embryos. A region of the rel homology domain of XrelA was deleted to create XrelA deltaSP, which retains the dimerization and activation domains, but no longer binds to DNA. We also made an analogous derivative of mammalian NF-kappaB1 (p50). We show that both constructs have dominant inhibitory activity. When message encoding either is injected into eggs or oocytes, DNA binding of rel family members is suppressed, as is transactivation of a kappaB-dependent promoter in embryos. Expression of XrelA deltaSP in animal caps blocks the induction of mesoderm by bFGF. In addition, this mutant prevents elongation movements generated by activin, but has little effect on posterior dorsal cytodifferentiation, which in marked contrast is blocked by inhibition of the FGF signal transduction pathway between the receptor and MAP kinase. The specificity of the XrelA deltaSP effect on FGF signaling is shown by rescue of mesodermal marker expression when XrelA deltaSP is co-expressed with a specific rel inhibitor. The target of these dominant negative constructs seems to be neither XrelA itself, nor p50, but rather some other molecule with which XrelA, rather than NF-kappaB1, heterodimerizes. We show that XrelA deltaSP blocks FGF induction of mesoderm downstream of MAP kinase and Xbra expression. Thus it prevents the maintenance of Xbra expression by inhibiting its autoregulation by embryonic FGF (eFGF). We suggest that XrelA deltaSP differs from other reported inhibitors of FGF signaling because it inhibits only gastrula stage FGF signaling and not the maternally programmed signaling at the blastula stage. Our results therefore suggest that zygotic FGF action is required for cell movements rather than dorsal differentiation.
Fig. 1. Schematic diagram of rei deletion
constructs.
Fig. 2.1nhibition of XreiA and p50 function by mutants with dominant
negative activity. (A) Each of the DNA bmdmg defic1ent delet1on constructs
was tested for abl/1ty to mh1b1t DNA bmdmg of XreiA.l222. which
conrams the w1ld-rype Xre/A ref homology domam. and of p50. The
appropnate consrrucrs were co-translated m oocyres. and DNA bmdmg
v1sua/1sed using gel mobility shift assays The rauo of dommanr negat1ve
mRNA to w1/d-type RNA was 20:1 (4 ng 200 pgJ m each case. (B) The same
delet1on constructs were also tested for the abli1ty to mh1b1t transactiVatlon
by w1ld-type Xre/A from an reporter construct lpLC2R) dnven by the HIV
L TR. DNA and RNA as shown were tn}ected mto 2-ce/1 embryos and CAT
actiVIty measured at stage 11. (B') The product in B was quantified with
respect to total soluble protein.
Fig. 3. Effects of rei deletion
constructs on embryos. (A.
A', A
H) Comparison of phenorypes
at stage 25. IAI Representative
embryo from a batch
injected with 1 n9 XrelAjSP
mRNA showing reduction in
posreflor structures. IA') More
severely affected embryo from
same batch showmg alt's split
dorsally around an e'-posed yoll<:
plug. (A' Uninjecred control
sibling embryo. IB) Comparison
of control stage 40 embryo
(upper) wirh sibling embryo In-
Jecred with Ing XreIA...1SP
mRNA (lower). Note the complete
lack of tail formatIOn In
rhe lower embryo. IB'I Com-
Pdnson of tYPical embryo at
stage 38 (upper) wIth 2 embryos
from batches Injected
with 0.5 ng XFO mRNA (lower).
IC and C'lln Situ hybd,zations
comparing e ~press,on of Xbra
at stage 10 In an unlnjected
embryo (0 and In a sibling
embryo bllarerally injected wIth
, ngXrelA.J.SPmRNA IC'). Note
the reduction In Xbra e>l.pression
to a small arc ID and D'iln
situ hybridizations for the expression of the notochord marker collagen II. fD) Control embryo at stage 32 showing the normal development of the
notochord and weaker staimng in the somites. 10') Distribution of dorsal a)(lal tissues around the e>l.wsed yolk plug in an cleared embryo Inlecred with
1 ng XrelAlSP RNA Note that a notochord IS present only on one side of the plug. while the other side of the plug has only umdentlf,ed loosely staining
tissue (possIbly either disorganized somite or notochord'.
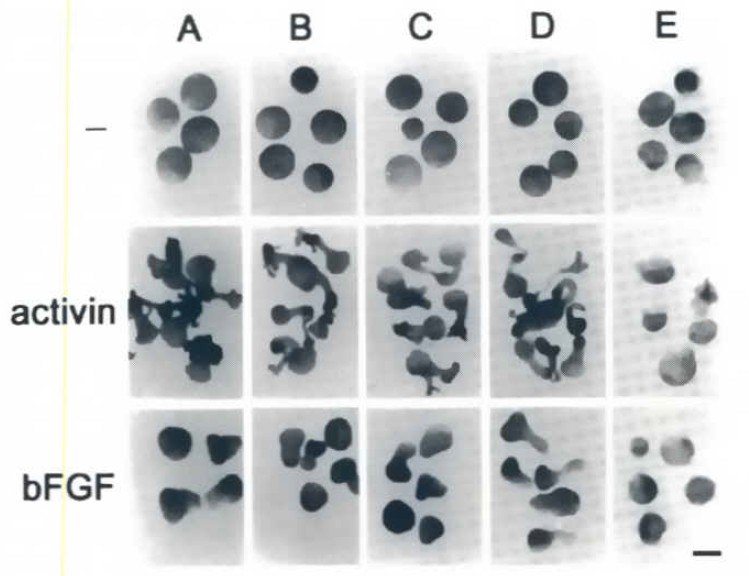
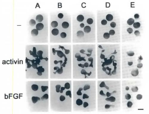
Fig. 4 A.E: Effect of XrelA and p50 dominant negative expression on
the induction of morphological movements in animal caps. Embryos
were uOinJecredlAI, or InJecred with 1ngofmRNA encodmg the dommant
negarlves XrelA1SP222 IBI. XrefA1222lCl, p50-1SPIDI or X,elA1SPIEI ar
the two cell stage. Animal caps were Isolated at stage 8 5 and cultured In
Barth's medium alone. or containmg either 1 .\ WIF or 50 ng/ml bFGF.
Normal morphogenetic movements of the tissue, scored at control stage
17, are seen in response ro both facrors with the exception of caps taken
from embryos e)(pressing XreIAlSP. Inhibition of FGFand activin mduced
e:tr.tension movemenrs by XrelA1SP IShighly reproducible. Bar, 250 um
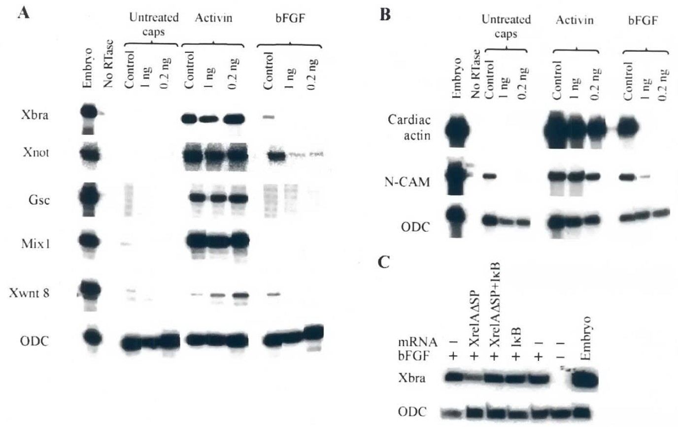
Fig. 5. Differential effects of XrelADSP on expression of mesodermal marker genes induced by FGF and activin. Embryos were injected with
XrelA.JSP mRNA as shown and animal caps were excised at stage 8.5 before treatment with mesoderm mducmg factors. fAI Expression of markergenes
at stage 11. (81 Expression of muscle and neural specific genes at stage 17. (CI Rescue of the effects of XrelA.JSP. Co-mjectJon of 500 pg of XrelA.lSP
mRNA with 1ng of mRNA encoding h.-a. a specific inhibitor of NF-,.Bproteins. fully rescues the induction of Xbra by bFGF.
Fig. 6. Animal caps from embryos injected with XreiA. XrelA.J222 or
p50JSP were excised and treated 8S in Fig. 5 and analyzed for Xbra
expression at stage 11. Wild rype XrelA IAI equally reC1uces induction of
Xbr8 by borh aCClvln and FGF. The dommanr negatives p50.'JSP 181 and
XrelA.J222 ICI have no discernible effect on mductlon of Xbra by either
facror
Fig. 7, XrelAjSP does not inhibit the induction of mesoderm by BMP-4. Animal caps
were injected with I ng BMP-4 mANA alone or in combination with 2 ng Xre/AJSP mANA,
as indicated. (AI RT-PCR analysis of marker expression showing that XrefAJSP has IIrrteor
no effect on the mductlon of ventral and intermediate mesodermal markers by BMP-4. (8-
D) Histology of animal caps at stage 40. (8) uninjected caps contain only atvpical epidermis
(ae), IC) caps from embryos mjected with BMP-4 mRNA develop vesicles containing
mesenchyme (mc). (D) caps from embryos injected with BMP-4 and XreJAJSP develop as
C. Bar in 0, 100 ,urn and applies to panels B-D
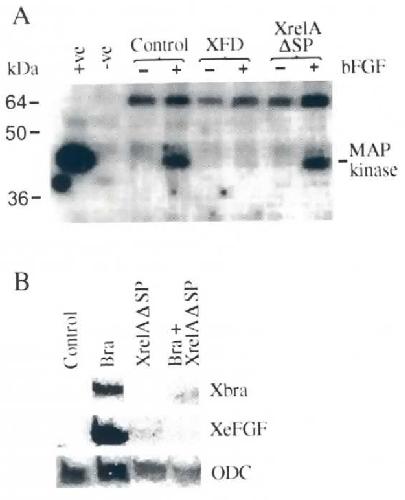
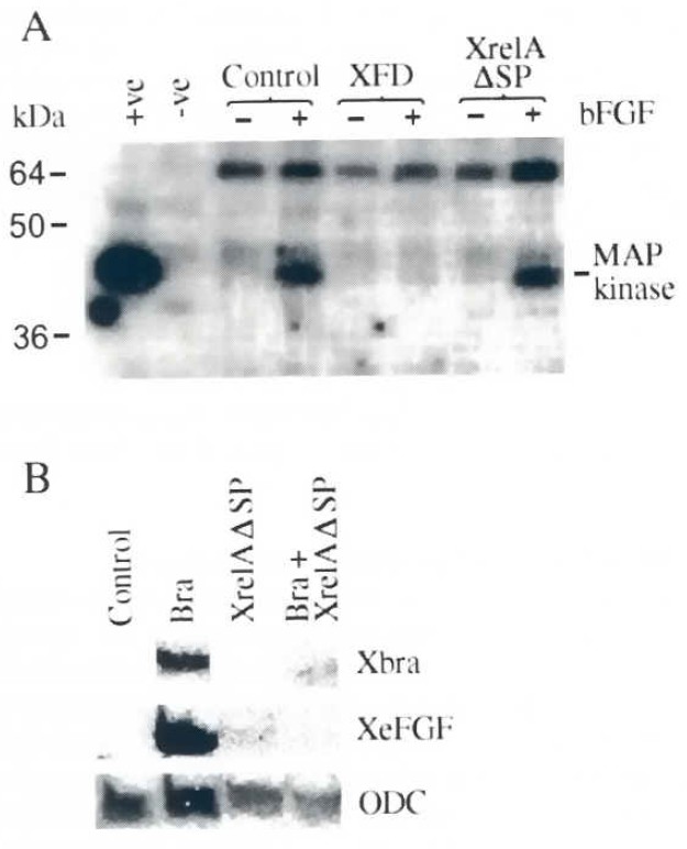
Fig. 8 (AI. Assay for the activation of MAP kinase in response to FGF
treatment of animal caps. Lanes 1 and 2 are positive and negative
controls respectively for the detection of active MAP kinase and correspond
to extracts from matured (1) and immature (2) stage Vloocytes
Active MAP kinase IS vIsible as a 42 kOa band. Caps were assayed for MAP
kinase specific phosphorylation of myelin basic protein after 20min contact
with 50 ng/ml bFGF according to Mason et al., 1996. The lanes in 3 are
extracts from uninjected animal caps, MAP kinase is activated by FGF.
Caps from embryos injected with 400 pg of XFD mRNA (4) do not show an
activation of MAP kinase in response to FGF. In contrast, Injection of 2 ng
XrelA..15P does not affect the activation of MAP kinase by FGF in animal
caps (5). fBI RT.PCR assay for the induction of Xbra and XeFGF by
exogenous Brachyury. 600 pg mRNA from the mouse Brachyury gene
was injected into 2 cell Xenopus embryos with and without 1 ng XrelA..1SP
mRNA Animal caps were isolated at stage 9 and assayed for Induction of
Xbra and XeFGF at stage 11.
Fig. 9. Model showing possible points of action of XFD and Xrel~P
in animal cap inductions. This is simplrfied Since it is clear that activin and
FGF do more than induce Xbra. and the latter does more than Induce
XeFGF.