|
Figure 2. Schematic representation of the cysteine mutants tested. An alignment of selected mammalian connexin sequences for the two extracellular loops (E1 and E2) is shown (shaded) above the sequence of Cx32, which was the target of mutation here. Restriction enzyme sites used to create combination mutants within each loop (Fig. 3) and between loops (Fig. 4) are indicated (refer to Materials and Methods for details). Mutants leading to movement of the cysteines in E1 and E2 are illustrated, with appropriately marked arrows indicating the terminology for direction of the movements used in the text.
|
|
Figure 3. Functional analysis of single and paired movements of cysteines 1 and 3 within E1 or E2 of Cx32. Mutants of Cx32 in which cysteines 1 and 3 of either E1 or E2 were moved singly, or in pairs within a loop (refer to Fig. 2 for nomenclature used), were tested for function in paired Xenopus oocytes. In all cases, mutant cRNA was injected into one oocyte, and Cx32 wt cRNA into another, before pairing and analysis of coupling. The percent of mutant/Cx32 wt coupling compared to Cx32 wt/Cx32 wt coupling of oocytes from the same batch is illustrated graphically, and numerically (right), along with the standard error (SE), and number of experiments (n). Single mutants failed to pair with Cx32, as did most double movements except those in which the cysteines were moved two residues away from their original positions in the sequence.
|
|
Figure 4. Functional analysis of paired movements of cysteines 1 and 3 between E1 and E2 of Cx32. Movements of one or both of cysteines 1 and 3 in E1 were combined in several permutations with equivalent movements of cysteines in E2 as indicated. Functional analysis in the paired oocyte expression system was as described in Fig. 3, with mutant Cx32 wt coupling expressed as a percentage of Cx32 wt/Cx32 wt coupling. The mean percent coupling/standard error and the number of experiments (n) are shown on the right. Interloop pairings of both C1s or both C3s failed to couple, but movements of C1 in one loop and C3 in the other consistently gave equal or better coupling than the intraloop pairings. As with the movements within a loop, a periodicity of two was evident in the functional mutants. Note that the minimally functional E2:C1−4/C3+4 mutant was rescued when combined with E1:C1−2/C3+2.
|
|
Figure 9. Proposed model of the extracellular loop regions of a connexin. (A) Based on the observations presented here, E1 and E2 form stacked, antiparallel β sheets connected by three disulfide bonds, although the bond between the 2 and 2′ cysteines is not directly demonstrated here. The model accounts for the periodicity of cysteine movements between loops that rescue coupling, and how movements of the first and third cysteines within a loop could be accommodated by a change in the orientation of the interloop disulfides, or a sliding of the loops with respect to one another. Equivalent loops from the connexins of the apposed hemichannel are hypothesized to interdigitate in front of and behind the stacked loops shown. Conserved residues are indicated based on alignments of all vertebrate connexins. Filled circles indicate hydrophobic character, and open circles indicate hydrophilic character. Half-filled circles indicate that either no consensus of hydrophilic or hydrophobic residues exists at this location, or the conserved residue at that location has an amphipathic character (e.g., Y). Specific residues are only indicated when at least 14 of the 17 aligned sequences were identical at that position. (B) An artist's impression of the β zip model of how the loops of individual connexins could interdigitate to form a β barrel extension of the gap junction channel at the docking interface between hemichannels. Concentric barrels, according to the model shown in A, would be held together by disulfides and are shown extending from the connexin subunits within the membrane into the extracellular space separating the cells. The loops have been shown with an arbitrary tilt to the perpendicular axis of the barrel, consistent with other known β barrel structures.
|
|
Figure 5. Cell-free translation and membrane insertion of Cx32 mutants. cRNAs for Cx32 wt, (lane 1) and a subset of the nonfunctional Cx32 cysteine mutants (lanes 2–7) were translated in rabbit reticulocyte lysate supplemented with [35S]met and dog pancreatic microsomes (Zhang et al., 1996). Microsomal pellets were isolated and then washed in Na2CO3 to remove accessory and lumenal proteins before solubilization for SDS-PAGE and autoradiography. Cx32 wt and all mutants, except Cx32 (E1:C1−2); (lane 6), produced two major bands corresponding to full-length Cx32 and a truncated form arising from cleavage at a cryptic signal peptidase site (Falk et al., 1994; Zhang et al., 1996), indicating insertion of all products into the membrane. Lower molecular weight products that are likely to be the result of internal initiation or premature termination of translation are evident in all translations. Cx32 (E1:C1−2) (lane 6) produces less full-length product and a major lower molecular weight product distinct from other constructs. Samples shown are: wt Cx32 (lane 1), Cx32 (E2:C1−1) (lane 2), Cx32 (E2:C3+1) (lane 3), Cx32 (E2:C1−2) (lane 4), Cx32 (E2:C1−3/C3+3) (lane 5), Cx32 (E1:C1−2) (lane 6) and Cx32 (E1:C3+2) (lane 7).
|
|
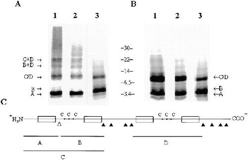
Figure 6. In vitro analysis of disulfide formation in WT and mutant Cx32. Nonreducing (A), and reducing (B) SDS-PAGE were used to dissect disulfide formation in Cx32 wt (A and B, lanes 1), functional paired mutants [Cx32 (E1:C3+2/E2:C1−2): A and B, lanes 2], and nonfunctional single mutants [Cx32 (E2:C1−2) in A and B, lanes 3) produced by the cell-free translation/microsomal translocation system (Zhang et al., 1996). Full-length products were digested with trypsin albumenally (exposed sites based on wt topology are indicated by solid arrowheads in C). In combination with the cryptic activity of signal peptidase (open arrowhead), this should yield fragments A–D as indicated in C. Products were then analyzed on nonreducing (A) or reducing (B) SDS–polyacrylamide gels, with the predicted mobilities of each fragment indicated. Wt and both mutants yielded the same predicted profile under reducing conditions (B), indicating a similar topology in all cases. This pattern did not change for the nonfunctional mutant under nonreducing conditions (A, lane 3). In contrast, both wt and functional mutants yield higher molecular weight products under nonreducing conditions, consistent with disulfide formation between the loops (A, lanes 1 and 2).
|
|
Figure 7. Current traces of wt and mutant Cx32 channels express in Xenopus oocyte pairs. As a test of the degree to which mutant Cx32 channels reproduced the wt channel phenotype, transjunctional currents in response to applied transjunctional voltage steps from −100 to +100 mV in 10-mV (A and B) or 20-mV (C) increments were recorded in the paired Xenopus oocyte system. Oocytes were initially clamped at −40 mV. 3 min was allowed for recovery between pulses. Responses of the wt channels (A) were essentially indistinguishable in kinetics and sensitivity to voltage from either heterotypic pairings of Cx32 wt and Cx32 (E1:C3+2/ E2:C1−2) (B) or homotypic pairing of Cx32 (E1:C3+2/ E2:C1−2). However, progressive decreases in the absolute conductance level of the mutant were typically observed. Similar results were obtained with other functional mutants listed in Figs. 3 and 4.
|
|
Figure 8. Current traces of Cx32 mutants E2-2 and E1-2/E2-2 paired with an oocyte expressing the endogenous connexin (XeCx38). Shown are plots of current (nA) versus time (ms) for oocyte pairs injected with Cx32 (E2:C1−2): water (A and C), and Cx32 (E1:C1−2/E2:C1−2): water (B and D). Currents are in response to 20-s transjunctional voltage steps from −110 to +110 mV in 20-mV increments. The majority of records obtained show little or no response of junctional currents to transjunctional voltage gradients in this range (A and B). In one experiment, a markedly asymmetric response was noted for both mutants (C and D). One side remained voltage insensitive, but when the XeCx38- expressing cell was relatively positive, a fast and sensitive voltage response was seen analogous to that of XeCx38 homotypic channels.
|