Click here to close
Hello! We notice that you are using Internet Explorer, which is not supported by Xenbase and may cause the site to display incorrectly.
We suggest using a current version of Chrome,
FireFox, or Safari.
J Comp Neurol
1998 May 04;3942:242-51. doi: 10.1002/(sici)1096-9861(19980504)394:2<242::aid-cne8>3.0.co;2-2.
Show Gene links
Show Anatomy links
Interleukin-1beta and its type 1 receptor are expressed in developing neural circuits in the frog, Xenopus laevis.
Jelaso AM
,
Acevedo S
,
Dang T
,
Lepere A
,
Ide CF
.
???displayArticle.abstract???
The cytokine interleukin-1 beta (IL-1beta) is an evolutionarily conserved molecule that was originally identified in the immune system. In addition to regulating peripheral immune responses, IL-1beta plays an important role in mediating neural-immune interactions and regulating glial activities during healing and repair in the damaged nervous system. Active IL-1beta is produced by interleukin-converting enzyme (ICE), a caspase thought to be involved in the induction of apoptosis. We report that, in the developing frog, Xenopus laevis, IL-1beta and the IL-1 type 1 receptor proteins are coexpressed in specific neurons that comprise early sensory-motor circuits. IL-1beta and IL-1 type 1 receptor proteins are colocalized in specific midbrain and hindbrain reticular cells, including Mauthner's neuron; specific cells in the trigeminal (fifth), lateral line (seventh), and vestibular (eighth) cranial ganglia; oculomotor neurons; and the primordial Purkinje cells of the lateral cerebellar auricle. In the spinal cord, Rohon-Beard sensory neurons, dorsal root ganglion cells, and primary motoneurons are immunopositive. Anteriorly, the olfactory pits, olfactory nerves, and olfactory bulbs are labeled, as are retinal cells, especially photoreceptor inner segments. With regard to the function of IL-1beta during neural development, IL-1beta and its type 1 receptor are present throughout the course of neural development in identifiable, long-lived neurons, such as Mauthner's neuron. These and other data suggest that IL-1beta and its type 1 receptor may be involved in the maintenance of cell survival rather than induction of neuronal death.
Fig. 1. Western blot shows that a polyclonal interleukin-1 type 1
(IL-1 type 1) receptor antibody recognizes a putative Xenopus laevis
IL-1 type 1 receptor protein with a molecular weight of 80.6 kDa. The
mammalian IL-1 type 1 receptor protein has a molecular weight of 80
kDa. Protein from 5-day-old Xenopus laevis tadpoles were run in lanes
1 and 2.
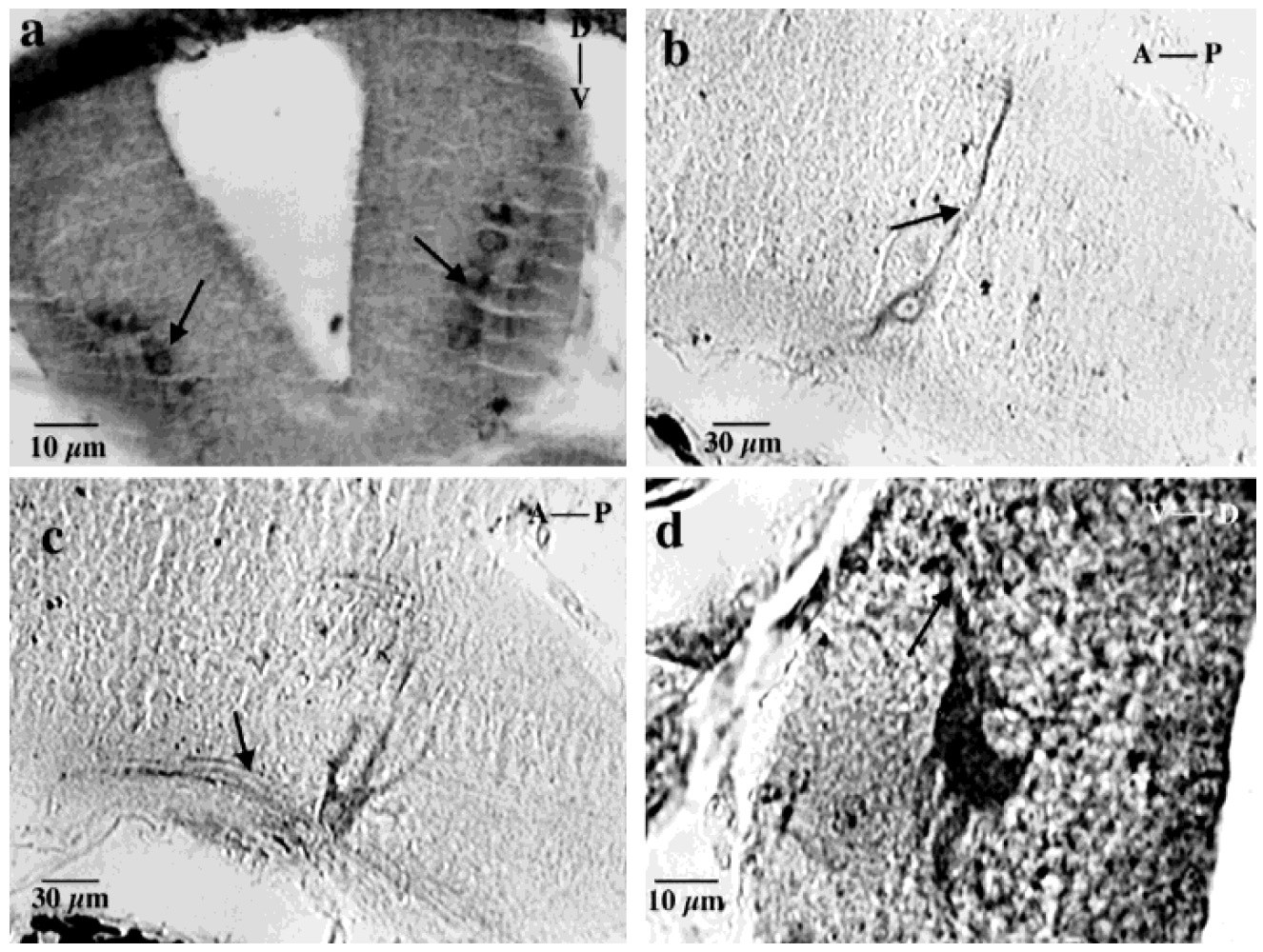
Fig. 2. Interleukin-1 beta (IL-1b) immunoreactivity is observed in
specific reticular neurons. a: Reticular cells in the midbrain (arrows) of
a 4-day-old tadpole. b: Mauthnerâs giant neuron and axon (arrow) are
labeled in a 9-day-old tadpole. c: Mauthnerâs neuron and afferents
(arrow) are labeled in a 9-day-old tadpole. d: The lateral dendrite
(arrow) as well as other dendrites are labeled in Mauthnerâs neuron in
a 6-day-old tadpole. D-V, dorsal-ventral orientation; A-P, anteriorposterior
orientation.
Fig. 3. IL-1b immunoreactivity is observed in the cranial ganglia of a 5-day-old tadpole. a: IL-1b
protein in the fifth cranial ganglion. b: The seventh, eighth, and ninth cranial ganglia (arrows) express
IL-1b protein. c: The seventh and eighth cranial ganglia at higher magnification (403). d: IL-1b is present
in only a specific subpopulation of cells in the eighth cranial ganglion.
Fig. 4. IL-1b immunoreactivity in the neuromuscular system. a: Primary motoneuron (arrow) in a
6-day-old tadpole. b: Labeling in the tail musculature (arrow) of a 5-day-old tadpole. c: Rohon-Beard
neurons (arrows) in a 5-day-old tadpole. d: Dorsal root ganglia (arrows) in a 7-day-old tadpole.
Fig. 5. IL-1b immunoreactivity in additional sensory and motor
structures of the developing frog. a: IL-1b immunoreactivity in the
olfactory bulbs (arrows) of a 5-day-old tadpole. b: IL-1b in the
oculomotor nerve and associated neurons (arrows) in the brain of a
4-day-old tadpole. c: IL-1b in the retina (thick arrow points to
photoreceptors) and outer growth zone of the lens (thin arrow).
d: IL-1b in the lateral Purkinje cells of the cerebellar auricle (arrows).
Fig. 6. Expression of IL-1b and the IL-1 type 1 receptor in
developing Xenopus laevis. a: Hindbrain reticular neurons (white
arrows), including Mauthnerâs neuron (black arrow), show IL-1b
immunoreactivity (red) and IL-1 type 1 receptor immunoreactivity
(blue). b: Higher power view (1003) of Mauthnerâs neuron. Note
expression of IL-1 type 1 receptor (blue) in the nucleus (white arrow),
ventral dendrite (black arrow), and axon hillock (blue arrow). c: Cells
of the ninth cranial ganglion are both double labeled (white arrows) for
IL-1b (red) and its type 1 receptor (blue). Surrounding fibroblast-type
cells are single labeled for the IL-1 type 1 receptor (blue label, black
arrows).
il1b (Interleukin-1 beta) immunoreactivity in Mauthnerâs neuron and afferents (arrow) in a 9-day-old Xenopus tadpole.