|
Fig. 1. Two-dimensional polyacrylamide
gel electrophoresis of
proteins of the small intestine. The
small intestine was removed from
tadpoles at stage 57 (A,B,D) or at
stage 63 (C). The stage 57 small
intestine was amputated at the
posterior end of the typhlosole to
obtain the anterior (A) and posterior
(B,D) part of the organ. The
stage 63 organ was analyzed as
a whole. Small fragments of intestine
were homogenized and 25 iJQ
of protein per gel was subjected to
2-D PAGE. Gels were stained by
silver (A.B,C), or blotted onto a
nitrocellulose filter and stained
with anti-XPI-28 antibody (D).
Arrowheads (B,D) indicate the
XPI-28 spot, which is specifically
expressed in the posterior part.
Values of pi and molecular weights
are indicated at the top and left
side of (A), respectively.
|
|
Fig. 2. Nucleotide and its deduced amino acid sequences of the full-length eDNA encoding XPI-28. The clone has 3597 bases comprising
41 bases in a 5'-untranslated region, the translation start site initiating an open reading frame that encodes 260 amino acids,
the stop codon marked by an asterisk, and 2676 bases in a 3'-untranslated region. Five polyadenylation signals (AATAAA) are present,
the last of which is boxed. The repeat sequence of ATTT or TTTA in the 3'-untranslated region is underlined, and is found in the
calcium binding protein gene family (Minghetti eta/. 1988).
|
|
Fig. 3. Comparison of Xenopus
and chick cal bind in D2sk. The whole
sequence of Xcalbindin and chick
(chk) calbindin D2sk (Hunziker 1986)
is shown in a 6-lolded manner with
theN-terminal methionine at the top
lett and the C-terminal asparagine
at the bottom right. Calbindin has
six putative calcium binding EF
hand domains, each of which consists
of the helix-loop-helix structure.
Five oxygen atom-containing
amino acid residues in each domain
are important lor calcium binding
proteins to co-ordinate with calcium
(Kretsinger 1976). The glycine
residue located at the center of loop
structures and the glutamic acidleucine
sequence at the end of the
loops are invariable among calcium binding proteins (Kretsinger 1976). These were all found in Xcalbindin. Xcalbindin and chick calbindin
D28k share the amino acid sequence at a rate of 80%. Amino acid residues different between the two are indicated tor the chick.
Dashes in the chk cal bind in and a double line ( =) inserted between arginine and glutamine residues in the calcium binding domain
II of Xcalbindin indicate common amino acids and a gap, respectively. Calcium is shown to bind the EF-hand structure (Kretsinger
1976). Invariant residues of glycine, glutamic acid, and leucine are boxed. Oxygen atom-containing amino acids marked by asterisks
(')are conserved well among calcium binding proteins. Arabic numerals, 260 and 262, shown at the bottom right indicate the sequence
number of carboxyl end residues, asparagine lor Xcalbindin and chk calbindin, respectively.
|
|
Fig. 4. Western blot analysis of Xcalbindin.
(A) Tissue distribution of Xcalbindin.
Proteins were extracted from the
indicated tissues of stage 58 tadpoles
and 10 J-lg was subjected to SDS-PAGE,
blotted, and stained with anti-Xcalbindin
antibody. ai, anterior part of small intestine;
br, brain; co, colon; he, heart; ki,
kidney; li, liver; mu, limb muscle; pi, posterior
part of small intestine; sk, skin; st,
stomach. Molecular weights are indicated
at the lett side. An arrow to the
right side of the gel points to the position
of Xcalbindin. (B) Developmental
changes in Xcalbindin expression.
Proteins were extracted from the whole
embryo at stage 47 and from the whole
tissue of small intestine at stages from
stage 49 through to the adult (lett
_ panel). Proteins were extracted from the
colon at stage 62 through to the adult
(right panel). Ten or 20 J..lg (stage 47) of
proteins was run on SDS-PAGE, blotted, and stained with anti-Xcalbindin antibody. ad, adult. Arrows at the right side of gels point to
the position of Xcalbindin
|
|
Fig. 5. Immunohistochemistry of Xcalbindin. (A) Whole-mount immunohistochemistry of the small intestine at stage 57. a, anterior
side of the organ; p, posterior side; ty, typhlosole. Arrowheads and a small arrow point to the typhlosole and the posterior end of it,
respectively. A curved arrow at the right side of the organ points to the region that started to be weakly stained by the antibody. Bar,
5 mm. (B) Whole-mount immunohistochemistry of the digestive tract at stage 66 (froglet). The upper organ was stained with antiXcalbindin
antibody and the lower was a negative control. The size of digestive tract was varied among individual froglets. Positively
stained areas are indicated by arrowheads. An arrow shows the anterior end of the positive region. The anterior and posterior ends
of the small intestine are marked by asterisks. Stomach tissues are thick and folded and, as a result, look dark. The black spot between
the intestine and colon is caused by pigmentation. a, anterior side of the organ; p, posterior side; st, stomach; int, small intestine; co,
colon. Bar, 5 mm (C-K) Cross-section immunostaining. C,F,I, anterior part; D,E,G,H,J,K, posterior part; C-E, stage 57; F-H, stage 60;
1-K, stage 66. E,H are an enlargement of a part of D,G, respectively. J,K are the middle and terminal region of the Xcalbindinexpressing
posterior intestine, respectively. Arrows in G,H indicate Xcalbindin positive primary epithelial cells. Secondary epithelium
cells (H) are surrounded by a dotted line. ab, absorptive cells; ct, connective tissue; ep, epithelium; go, goblet cells; lu, lumen; se,
secondary epithelium. Bars, 50 um.
|
|
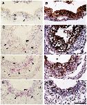
Fig. 6. Expression of Xcalbindin in the islet cells. Cross-sections (4 [Jm) were prepared for various regions of the posterior part of the
small intestine at stage 60 (A,B), or 61 (C-H). Serial sections were stained with methylgreen pyronin Y (A,C,E,G) or anti-Xcalbindin
antibody (B,D,F,H). The vision field of B,D,F,H corresponds to that of A,C,E,G, respectively. ct, connective tissue; pe, primary epithelium.
Arrowheads indicate the islets. Each arrowhead in B,D,F,H points to the islet indicated by each corresponding arrowhead in A,C,E,G,
respectively. Bar, 100 um.
|
|
Fig. 7. Northern blot analysis of the Xcalbindin gene during
spontaneous metamorphosis. Total RNA was extracted from the
whole small intestine at stages indicated and was subjected to
northern hybridization ( 10 ~g RNA/lane) using 32P-Iabeled
Xcalbindin or EF1a as a probe.
|
|
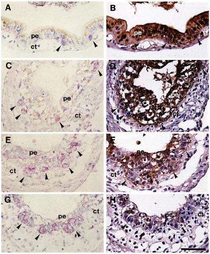
Fig. 8. Changes in the small
intestine during TH-induced
metamorphosis. Tadpoles at
stage 53 were treated with 1 o-s
moi/L T3 up to 72 h. Identical
results were obtained for tadpoles
at stage 55. (A) The length of
small intestine was determined
and its change is shown in relative
length making the length at day 0
ofT 3-treatment 1.0. 0, control animals;
0. T3·treated animals. Each
point represents the average of
five determinations. Vertical bars
represent the standard deviation
of the mean. (B) Northern hybridization
of Xcal bindin gene. Ten
micrograms of RNA at indicated
time points of T3-treatment was
electrophoresed and subjected to
northern hybridization as in Fig . 7.
(C) Immunohistochemistry of
Xcalbindin was performed for a
posterior intestinal cross-section
from a tadpole treated with T 3 for
3 days. ct. connective tissue; lu,
lumen; m, muscle; pe, primary
epithelium . Bar, 50 um.
|