Click here to close
Hello! We notice that you are using Internet Explorer, which is not supported by Xenbase and may cause the site to display incorrectly.
We suggest using a current version of Chrome,
FireFox, or Safari.
???displayArticle.abstract???
We have shown previously that fibroblast growth factor (FGF) signalling in posterior regions of the Xenopus embryo is required for the development of the trunk and tail via a molecular pathway that includes the caudal-related gene Xcad3 and the posterior Hox genes [1]. These results have been contested by the work of Kroll and Amaya [2], which shows that Xenopus embryos transgenic for a dominant-negative form of the FGF receptor (FGF-RI) express posterior Hox genes normally, leading these authors to suggest that the FGFs are not required for anteroposterior (A-P) patterning of the dorsal axis. In order to investigate the apparent discrepancy between these studies, we have produced Xenopus embryos transgenic for two inhibitors of the FGF/Caudal pathway: a kinase-deficient dominant-negative FGF receptor (XFD) [3]; and a domain-swapped form of Xcad3 (Xcad-EnR) in which the activation domain of Xcad3 is replaced by the repression domain of the Drosophila Engrailed protein. Both of these were introduced as fusions with the green fluorescent protein (GFP), which allows identification of non-mosaic transgenic embryos at early gastrula stages by simply looking for GFP fluorescence. Analysis of gene expression in embryos transgenic for these constructs indicated that the activation of posterior Hox genes during early neurula stages absolutely requires FGF signalling and transcriptional activation by Xcad3, while the maintenance of Hox gene expression in the trunk and tail during later development is independent of both FGF and Xcad.
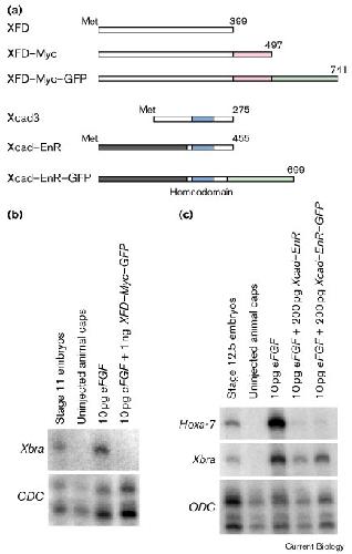
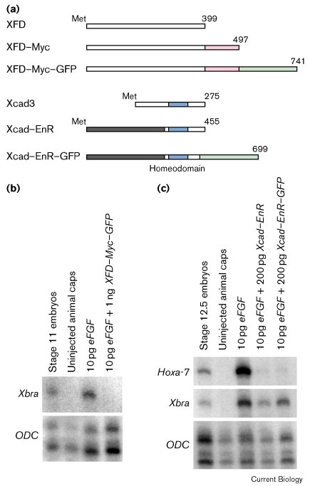
Figure 1.
(a) Constructs used in this study. The six repeats of the Myc epitope tag fused to XFD in XFDâMyc are shown in pink; GFP is shown in green. In XcadâEnR, the activation domain of Xcad3 was replaced with the repressor domain of Drosophila Engrailed (blue). To make the XcadâEnRâGFP fusion, XcadâEnR was truncated and GFP (green) fused after the homeodomain. The numbers indicate the total number of amino acids in each fusion protein. (b) RNase protection analysis of a control experiment showing that XFDâMycâGFP blocks the activation of Xbra expression in animal caps explanted from embryos injected with 10 pg eFGF mRNA. RNA (3 μg) from gastrula stage 11 caps was hybridised with probes to Xbra and the loading control ODC. (c) RNase protection analysis of a control experiment showing that XcadâEnR and XcadâEnRâGFP block activation of Hoxa-7 expression in animal caps explanted from embryos injected with 10 pg eFGF mRNA. RNA (3 μg) from gastrula stage 12.5 was hybridised with probes to Hoxa-7, Xbra and ODC.
Figure 2.
Transgenic overexpression of XFDâMycâGFP and XcadâEnRâGFP fusion proteins shows correct subcellular localisation and disrupts posterior development. (aâc) Fluorescent confocal microscope images of control and transgenic gastrula stage 12 embryos. (a) An image of the animal pole region of a non-transgenic control embryo showing faint autofluorescence from yolk granules. (b) An image of the animal pole region of an embryo transgenic for XFDâMycâGFP showing strong peripheral fluorescence from the membrane-bound receptorâGFP fusion. Some punctate fluorescence is also visible within intracellular inclusions in the secretory apparatus. (c) An image of the animal pole region of an embryo transgenic for XcadâEnRâGFP showing strong nuclear fluorescence. (dâf) Control and transgenic embryos at swimming larva stage 41. (d) Phenotype of a normal control embryo resulting from non-transgenic nuclear transfer. (e,f) Embryos showing disruption of posterior development resulting from the transgenic expression of XFDâMycâGFP (e) and XcadâEnRâGFP (f).
Figure 3.
RNase protection analyses showing gene expression in embryos carrying the XFDâMycâGFP transgene at late gastrula stage 13 and tailbud stage 25. (a) Expression of GFP, Hoxa-7 and ODC in transgenic and non-transgenic siblings. (b) Expression of Hoxb-9, Xcad3, Xbra and ODC in transgenic and non-transgenic siblings. RNA (3 μg) from each group was hybridised with relevant probes.
Figure 4.
RNase protection analysis showing GFP and Hoxa-7 expression in embryos carrying the XcadâEnRâGFP transgene at late gastrula stage 13, late neurula stage 18 and tailbud stage 25. RNA (3 μg) from each group was hybridised with GFP, Hoxa-7 and ODC probes.
Uniform expression of the XFDâMycâGFP transgene in a tailbud stage
25 embryo. Fluorescence image showing the ubiquitous expression of
the GFP-tagged dominant-negative FGF receptor protein
(XFDâMycâGFP). Anterior is to the left.
The recovery of Hoxa-7 expression in a tailbud stage XFDâMycâGFP
transgenic embryo. The top embryo is at tailbud stage 27 and shows
normal Hoxa-7 expression in the trunk and developing tail forming
regions. The bottom stage 27 embryo is transgenic for XFDâMycâGFP
and shows the recovery of Hoxa-7 expression around the margins of
the open blastopore (bp). Anterior is to the left.
hoxa7 (homeobox A7 ) gene expression in Xenopus laevis embryo, assayed via in situ hybridization, NF stage 27, lateral view, anteriorleft, dorsal up.