|
Figure 1.
Comparision of the amino acid sequences derived from cDNAs of Xenopus Fizzy (X-FZY), Drosophila Fizzy (D-FZY) and Drosophila Fizzy-related (D-FZR). Regions with identity between the X-FZY and at least one of the two other sequences are in bold. The seven WD-40 repeats in the C-terminal region are indicated by numbered arrows. The comparison was generated with the MAP program (Xiaoqiu, 1994).
|
|
Figure 2.
X-FZY is expressed and undergoes cell cycle-dependent phosphorylation during the first mitotic Xenopus cell cycle. (A) X-FZY is detected by Western blotting in extracts prepared from unfertilized eggs, whereas X-FZR is not detected. Lane 1, extract prepared from a CSF extract (75 μg of proteins); lane 2, reticulocyte lysate (2 μl) programmed with X-FZY (estimated amount of 35S-labelled X-FZY: 0.4 pmol); lane 3, reticulocyte lysate (2 μl) programmed with X-FZR (estimated amount of 35S-labelled X-FZR: 0.2 pmol). The left blot was probed with affinity-purified antibodies directed against X-FZY, the right blot with affinity-purified antibodies directed against X-FZR. (B) Analysis by Western blotting of the changes in the electrophoretic mobility of X-FZY during the cell cycle. I, interphase extract (prepared 40 min after parthenogenetic activation); M, the same interphase extract after incubation for 15 min with highly purified starfish cyclin B–cdc2 kinase (1 μl into 20 μl; volume-specific activity: 200 pmol P transferred to H1 histone/min/μl); CSF, CSF extract; CSF +CaMKII, the same CSF extract after 45 min incubation with in vitro translated, constitutively active CaMKII (2 μl reticulocyte lysate into 20 μl CSF extracts). (C) 32P-incorporation into X-FZY and co-immunoprecipitated proteins after incubation of an interphase extract with highly purified starfish cyclin B–cdc2 kinase. The same experiment as in (B), but [γ-32P]ATP (50 μCi) was added simultaneously with the kinase. FZY and co-immunoprecipitated proteins were analysed by autoradiography after immunoprecipitation with affinity-purified FZY antibodies.
|
|
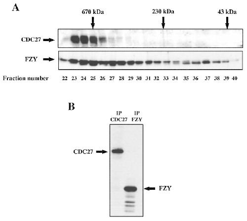
Figure 3.
X-FZY is a component of a high molecular weight complex distinct from the APC/cyclosome. (A) Side-by-side analysis by Western blot of consecutive fractions (30 μl loaded), after chromatography of a CSF extract by gel filtration on a Superdex 200 column in the presence of 1% Triton X-100 and 0.5% Na deoxycholate. Upper panel: blot probed with affinity-purified antibodies directed against CDC27. Lower panel: blot probed with affinity-purified antibodies directed against FZY. The vertical arrows indicate the positions of elution for thyroglobulin (670 kDa), catalase (230 kDa) and ovalbumin (43 kDa). (B) Fractions corresponding to the peak of high molecular weight FZY complex were pooled and 400 μl immunoprecipitated without dilution with affinity-purified CDC27 (IP CD27) or FZY (IP FZY) antibodies cross-linked to protein A–Sepharose. Materials eluted from each matrix were analysed by Western blotting with a mixture of affinity-purified CDC27 and FZY antibodies.
|
|
Figure 4.
FZY antibodies prevent in vitro assembled spindles from exit of metaphase arrest in response to CaMKII. A suspension (20 μl) of in vitro assembled spindles, arrested at metaphase by CSF, was treated for 15 min with affinity-purified FZY antibodies (Ab Fizzy) or the same amount (2 μg) of rabbit immunoglobulins (CT: control). Constitutively active, in vitro translated CaMKII (CaMK) was added (2 μl). Samples were taken before, or 45 and 90 min after CaMKII addition, and examined by fluorescence microscopy. Chromosomes were visualized by the fluorescence of the DNA-binding dye Hoechst 33342, and microtubules with rhodamine-labelled tubulin. The bar in the lower right micrograph corresponds to 2.5 μm (same magnification for all micrographs).
|
|
Figure 5.
Antibodies directed against Xenopus FZY (FZYAb) suppress degradation of 35S-labelled cyclin B1 triggered by CaMKII or microcystin in CSF extracts. (A and D) A CSF extract (20 μl) received either 2 μg of affinity-purified FZY antibodies or the same amount of rabbit immunoglobulins (Mock Ab), as well as 1 μl of in vitro translated 35S-labelled cyclin B1. Ten minutes later, either 2 μl of constitutively active unlabelled CaMKII, in vitro translated in reticulocyte lysate (A) or 1 μM microcystin (D) was added. Samples (3 μl) were taken 0.5, 15 and 40 min later and analysed by SDS–PAGE and autoradiography for degradation of cyclin B1. (C and D) Aliquots (40 μl) of a CSF extract were depleted with affinity-purified antibodies immobilized on protein A–Sepharose beads (FZY, antibodies against the N-terminally truncated recombinant protein; N-TER FZY, antibodies against a N-terminal peptide of FZY; see Materials and methods) or mock depleted with the same amount (10 μg) of rabbit immunoglobulins (MOCK). Supernatants (20 μl) were taken and constitutively active in vitro translated CaMKII was added (2 μl), as well as 1 μl of in vitro translated 35S-labelled cyclin B. Samples (3 μl) were taken 0, 5, 15 and 40 min later and analysed by SDS–PAGE (B). Supernatants (1 μl) were also analysed by Western blotting with affinity-purified FZY antibodies (C) to confirm depletion of the FZY protein.
|
|
Figure 6.
FZY antibodies suppress MPF-dependent activation of the APC/cyclosome. (A) An interphase extract (20 μl), prepared 40 min after parthenogenetic activation from Xenopus eggs, received either 2 μg of affinity-purified FZY antibodies, or the same amount of rabbit immunoglobulins (Mock Ab). After 10 min, highly purified starfish cyclin B–cdc2 kinase was added (1 μl; volumic activity: 200 pmol P/min/μl). Samples were taken 0.5, 15 and 40 min thereafter and analysed by Western blotting with an antibody directed against starfish cyclin B (upper panel) for degradation of cyclin B. The lower panel shows the same experiment, excepted that recombinant human cyclin A was added before cyclin B–cdc2 kinase addition, and samples were analysed by Western blotting with an antibody directed against human cyclin A. (B) Samples taken 30 min after cyclin B–cdc2 kinase addition in the above experiment, in the presence of affinity-purified FZY antibodies (lane 2) or mock immunoglobulins (lane 3), were run together with a CSF sample (lane 1) and analysed by Western blotting for detection of the active, phosphorylated form of MAPK. Active MAPK is detected in CSF extract only. (C) Samples, taken before (lane 1) or 20 min after addition of starfish cyclin B–cdc2 kinase in the experiment depicted in (A), and containing affinity-purified FZY antibodies (lane 2) or mock immunoglobulins (lane 3), were first depleted with protein A–Sepharose, then supernatants were immunoprecipitated with affinity-purified CDC27 antibodies. The immunoprecipitated APC/cyclosome was assayed in each condition for accumulation of ubiquitin conjugates from 35S-labelled cyclin B1 during a 15 min incubation (see Materials and methods). (D) Same experiments as (A), but the blot was probed with affinity-purified CDC27 antibodies. (E) Same experiment as in (A), using an interphase extract (20 μl) containing 2 μg of FZY antibodies (+) or 2 μg of control immunoglobulins (−), but starfish cyclin B–cdc2 kinase was added simultaneously with [γ-32P]ATP (50 μCi). After 20 min, FZY antibodies or control immunoglobulins were depleted with protein A–Sepharose beads, then the APC/cyclosome was immunoprecipitated with affinity-purified CDC27 antibodies and analysed by autoradiography after SDS–PAGE.
|
|
Figure 7.
Differential effects of FZY antibodies added to interphase egg extracts before or after activation of the APC/cyclosome by GST–cyclin B–cdc2 kinase. (A) Four μg of affinity-purified FZY antibodies (FZY Ab) were added to 40 μl of interphase egg extract. After 10 min, recombinant GST–cyclin B (1 μg) was added, and a further 60 min later 35S-radiolabelled cyclin B1, translated in reticulocyte lysate (2 μl), was added (the same result was obtained if GST–cyclin B and FZY antibodies were added simultaneously). (B and C) GST–cyclin B was added to 40 μl of the same interphase egg extract. After 60 min, 4 μg of control immunoglobulins (Mock Ab) and affinity-purified FZY antibodies were added (B and C respectively). In all cases, samples (3 μl) were taken at 0.5, 30 and 60 min after addition of 35S-labelled cyclin B1 and analysed by SDS–PAGE and autoradiography for degradation of [35S]cyclin B1 (upper panel), and an additional sample (15 μl) was taken at 15 min and used for ubiquitinylation assay (lower panel) as described in Materials and methods.
|
|
Figure 8.
X-MAD2 is not required for the block of cyclin degradation induced by FZY antibodies. (A) A CSF extract (100 μl) was depleted with affinity-purified X-MAD2 antibodies (10 μg) immobilized on protein A–Sepharose beads. One μl of supernatant (Depleted CSF) or of the starting extract (CSF) was analysed by Western blotting and probed with affinity-purified X-MAD2 (upper panel) or FZY (lower panel) antibodies. (B) The X-MAD2-depleted extract (20 μl) was treated with 2 μg of affinity-purified FZY antibodies (FZY Ab) or control immunoglobulins (Mock Ab) and received 1 μl of in vitro translated 35S-labelled cyclin B1. After 10 min, 1 μM microcystin was added. Samples (3 μl) were taken at the indicated times and analysed by SDS–PAGE and autoradiography for degradation of cyclin B1. (C) Twenty μl of CSF extract were treated with 2 μg of affinity-purified FZY antibodies (FZY Ab) or control immunoglobulins (Mock Ab). After 10 min, antibodies or immunoglobulins were removed with protein A–Sepharose beads, and supernatants immunoprecipitated with affinity-purified CDC27 antibodies cross-linked to protein A–Sepharose beads (IP CDC27). Material eluted from each matrix, as well as 2 μl of starting material, were analysed by Western blotting and probed with affinity-purified X-MAD2 antibodies.
|
|
Figure 9.
A speculative model for the role of FZY in the activation of the APC/cyclosome. The model is discussed in detail in the text.
|