Click here to close
Hello! We notice that you are using Internet Explorer, which is not supported by Xenbase and may cause the site to display incorrectly.
We suggest using a current version of Chrome,
FireFox, or Safari.
Dev Dyn
1998 Jul 01;2123:403-12. doi: 10.1002/(SICI)1097-0177(199807)212:3<403::AID-AJA8>3.0.CO;2-L.
Show Gene links
Show Anatomy links
Identification of a receptor-like protein tyrosine phosphatase expressed during Xenopus development.
Yang CQ
,
Friesel R
.
???displayArticle.abstract???
To begin to determine the role of receptor-like tyrosine phosphatases during Xenopus development, we have isolated a cDNA predicted to encode receptor-like tyrosine phosphatase with significant amino acid sequence identity to mouse and human protein tyrosine phosphatase alpha (PTPalpha). Xenopus PTPalpha (XPTPalpha) exists as a maternally expressed mRNA that decreases in expression during gastrulation and then maintains a constant lower level of expression through early tadpole stages. In situ hybridization reveals that XPTPalpha mRNA is expressed throughout the gastrula stageembryo. During subsequent development, XPTPalpha mRNA becomes restricted in its expression to various regions of the brain and the visceral arches. XPTPalpha mRNA is also expressed in several adult tissues and in Xenopus XTC cells. Immunoblot analysis demonstrates that XPTPalpha protein is expressed at relatively uniform levels throughout development. Expression of XPTPalpha protein in insect cells with a recombinant baculovirus results in a glycosylated polypeptide of 110-130 kDa with intrinsic phosphotyrosine phosphatase activity. The spatial and temporal patterns of expression of XPTPalpha indicate that it may play multiple roles during early development including development of the brain.
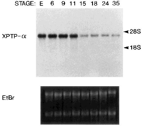
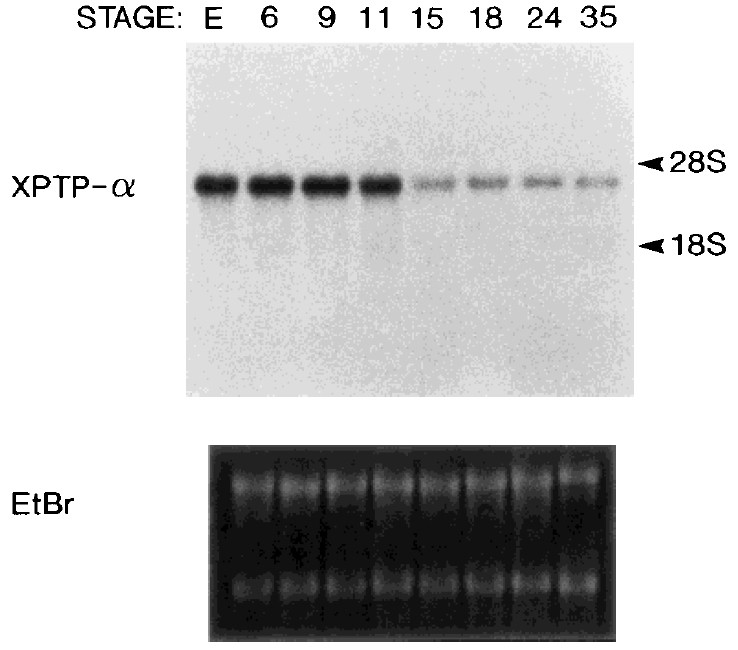
Fig. 2. Temporal expression pattern of Xenopus protein tyrosine
phosphatase a (XPTPa) mRNA during Xenopus development. An RNA
gel blot of total RNA (10 μg/lane) from fertilized eggs and embryos at
various stages of development was probed with a 2.9-kb XPTPa cDNA
probe. The bottom panel is a photograph of the ethidium bromide
(EtBr)-stained gel to demonstrate that similar amounts of RNA were
present in each lane.
Fig. 3. Xenopus protein tyrosine phosphatase a (XPTPa) mRNA
expression levels in various adult Xenopus tissues. Total RNA (15
μg/lane) was separated in a 1% agarose formaldehyde gel, blotted into a
filter and probed with a XPTPa cDNA probe. Below is a photograph of the
ethidium bromide stained 18S rRNA for comparison of sample loading.
Fig. 4. Whole-mount in situ hybridization analysis of Xenopus protein tyrosine phosphatase a (XPTPa) mRNA expression in early Xenopus
development. A: Vegetal view of mid-gastrula stage embryos hybridized with digoxigenin-labeled sense (left) or anti-sense (right) XPTPa RNA probes.
The arrowhead indicates the future dorsal aspect of the embryo. B: Lateral view of a stage 18/19 embryo. The anterior is to the left. C: Lateral view of a
stage 22 embryo. Highest levels of XPTPa transcript expression appear in the forebrain (fb) indicated by the arrowhead. D: Dorsal view of a stage 24
embryo. Intense staining is evident in the forebrain (fb) and expression is now also seen in the visceral arches (va). E: Lateral view of a stage 27/28
embryo. F: Lateral view of a stage 31/32 embryo. Prominent staining can be seen in the forebrain (fb), epiphysis (ep), hindbrain (hb), and visceral arches
(va). Some staining is also apparent in the otic vesicle.
Fig. 5. Immunoblot analysis of Xenopus protein tyrosine phosphatase
a (XPTPa) protein expression during early development in Xenopus.
Triton X-100 lysates of 3 embryo equivalents were separated by SDSPAGE
followed by electroblotting onto nitrocellulose filters and probed
with an anti-XPTPa antibody to detect total XPTPa protein expression.
The arrow at the right indicates the position of XPTPa. The position of the
molecular weight markers are indicated on the left.
Fig. 6. Baculovirus expression of Xenopus protein tyrosine phosphatase
a (XPTPa). Recombinant AcNPV-XPTPa was used to infect Sf9
insect cells at an multiplicity of infection of 10. Cells were collected by
centrifugation 48 hr after infection, and lysates were prepared using buffer
A containing Triton X-100. Lysates were adsorbed to wheat-germ agglutinin
(WGA)-agarose followed by extensive washing and elution with 0.5 M
N-acetylglucosamine. A: Immunoblot analysis: lane 1, 20 μg of total cell
lysate from wild-type AcNPV-infected Sf9 cells; lane 2, 20 μg of total cell
lysate from AcNPV-XPTPa-infected Sf9 cells; lane 3, 0.1 μg of XPTPa
protein partially purified by WGA-agarose affinity chromatography. B:
Coomassie blue staining of total cell lysates (40 μg) of AcNPV-XPTPainfected
Sf9 cells (lane 1) and XPTPa (2 μg) partially purified by
WGA-agarose chromatography (lane 2). The molecular mass markers
are indicated to the right in kilodaltons. The arrowhead indicates the
position of the 110- to 130-kDa XPTPa polypeptides.
ptpra (protein tyrosine phosphatase, receptor type, A) gene expression in Xenopus laevis embryo, assayed via in situ hybridization, NF stage 32, lateral view, anteriorleft, dorsal up.