|
FIG. 1. Comparison of X-Notch-1 and E(spl)-related gene expression patterns in stage 40 Xenopus retina. (A) Comparison of X-Notch-1 and ESR1 expression patterns. Double in situ hybridizations were performed on sections of stage 40 Xenopus retina using DIG-labeled ESR1 probe and fluorescein-labeled X-Notch-1 probe. ESR1 expression was viewed under visible light (deep purple) and X-Notch-1 expression was viewed under fluorescence (red). A and B show the same section. (A) ESR1 expression is detected in the CMZ except in cells in the most peripheral region. (B) X-Notch-1 labeling is also detected in the CMZ except in cells in the most peripheral region. Occasional labeled cells are seen in the central retina, in late born cells (Dorsky et al., 1995). C and D show a higher magnification of the CMZ from the sections depicted in A and B, respectively. (E) Double labeling demonstrates that ESR1 and X-Notch-1 expressions overlap in the CMZ. CMZ, ciliary marginal zone; CR, central retina; L, lens. Scale bar in A and B, 100 um; scale bar in C, D, and E, 30 um. (F) Comparison of X-Notch-1 and ESR3 expression patterns. Double in situ hybridizations were performed as above with ESR3 in deep purple and X-Notch-1 in red. (F) ESR3 expression is detected in the CMZ except in cells in the most peripheral region. (G) X-Notch-1 labeling is also detected in the CMZ except in cells in the most peripheral region. H and I show a higher magnification of the CMZ from the sections depicted in F and G, respectively. (J) Double labeling demonstrates that ESR3 and X-Notch-1 expressions overlap in the CMZ. Scale bar in F and G, 100 um; scale bar in H, I, and J, 30 um
|
|
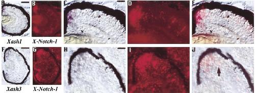
FIG. 2. Comparison of X-Notch-1 and achaete-scute-like gene expression patterns in stage 40 Xenopus retina. (A) Comparison of X-Notch-1 and Xash1 expression patterns. Double in situ hybridizations were performed as in Fig. 1 with Xash1 in deep purple and X-Notch-1 in red. (A) Xash1 expression is detected in the CMZ except in cells in the most peripheral region. (B) X-Notch-1 labeling is also detected in the CMZ except in cells in the most peripheral region. C and D show a higher magnification of the CMZ from the sections depicted in A and B, respectively. (E) Double labeling demonstrates that Xash1 and X-Notch-1 expressions overlap in the CMZ. Scale bar in A and B, 100 um; scale bar in C, D, and E, 30 um. (F) Comparison of X-Notch-1 and Xash3 expression patterns. Double in situ hybridizations were performed as in Fig. 1 with Xash3 in deep purple and X-Notch-1 in red. (F) Xash3 expression is detected in the CMZ except in cells in the most peripheral region. (G) X-Notch-1 labeling is also detected in the CMZ except in cells in the most peripheral region. H and I show a higher magnification of the CMZ from the sections depicted in F and G, respectively. (J) Double labeling demonstrates that Xash3 and X-Notch-1 expressions do not exactly overlap in the CMZ, since some X-Notch-1 positive cells in the most central region of the CMZ do not express Xash3 (arrow). Scale bar in F and G, 100 um; scale bar in H, I, and J, 30 um.
|
|
FIG. 3. Comparison of Xath5 expression pattern with that of neurogenic and achaete-scute-like genes in stage 40 Xenopus retina. (A) Comparison of X-Notch-1 and Xath5 expression patterns. Double in situ hybridizations were performed as in Fig. 1 with Xath5 in deep purple and X-Notch-1 in red. (A) Xath5 expression is detected in the CMZ except in cells in the most peripheral region. Occasional labeled cells were seen in the central retina, being probably late born cells. (B) X-Notch-1 labeling is also detected in the CMZ except in cells in the most peripheral region. Occasional labeled cells are seen in the central retina. C and D show a higher magnification of the CMZ from the sections depicted in A and B, respectively. (E) Double labeling demonstrates that X-Notch-1 and Xath5 expressions do not exactly overlap, since some X-Notch-1 positive cells do not express Xath5 (arrow). Scale bar in A and B, 100 um; scale bar in C, D, and E, 30um. (F) Comparison of X-Delta-1 and Xath5 expression patterns. Double in situ hybridizations were performed as in Fig. 1 with Xath5 in deep purple and X-Delta-1 in red. (F) Xath5 expression is detected in the CMZ except in cells in the most peripheral region. (G) X-Delta-1 labeling is also detected in the CMZ except in cells in the most peripheral region. H and I show a higher magnification of the CMZ from the sections depicted in F and G, respectively. (J) Double labeling demonstrates that X-Delta-1 and Xath5 expressions do not exactly overlap, since some X-Delta-1 positive cells do not express Xath5 (arrow). Scale bar in F and G, 100 um; scale bar in H, I, and J, 30 um. (K) Comparison of Xath5 and Xash3 expression patterns. Double in situ hybridizations were performed as in Fig. 1 with Xath5 in deep purple and Xash3 in red. (K) Xath5 expression was restricted to the more central part of the CMZ. (L) Xash3 labeling was also restricted to the more central part of the CMZ. M and N show a higher magnification of the CMZ from the sections depicted in K and L, respectively. (O) Double labeling demonstrates that Xash3 expression starts more in the periphery of the CMZ than Xath5 expression and that there is a small area in the CMZ where both expressions overlap (arrow). Scale bar in K and L, 100 um; scale bar in M, N, and O, 30 um.
|
|
FIG. 4. Comparison of Xath5 and other proneural gene expression patterns in stage 40 Xenopus retina. (A) Comparison of Xath5 and neuroD expression patterns. Double in situ hybridizations were performed as in Fig. 1 with neuroD in deep purple and Xath5 in red. (A) neuroD expression is seen in cells in the CMZ and in the central retina, in the outer part of the inner nuclear layer, and in the outer nuclear layer. (B) Xath5 expression is detected in the CMZ except in cells in the most peripheral region. C and D show a higher magnification of the CMZ from the sections depicted in A and B, respectively. (E) Double labeling demonstrates that Xath5 and neuroD expressions start at the same level in the CMZ. Scale bar in A and B, 100 ï°m; scale bar in C, D, and E, 30 ï°m. (F) Comparison of ATH-3 and Xath5 expression patterns. Double in situ hybridizations were performed as in Fig. 1 with ATH-3 in deep purple and Xath5 in red. (F) ATH-3 expression is seen in cells in the CMZ and in the central retina, in the outer part of the inner nuclear layer. (G) Xath5 expression is detected in the CMZ except in cells in the most peripheral region. H and I show a higher magnification of the CMZ from the sections depicted in F and G, respectively. (J) Double labeling demonstrates that Xath5 and ATH-3 expressions start at the same level in the CMZ. Scale bar in F and G, 100 ï°m; scale bar in H, I, and J, 30 ï°m. (K) Comparison of X-MyT1 and Xath5 expression patterns. Double in situ hybridizations were performed as in Fig. 1 with this time X-MyT1 in deep purple and Xath5 in red. (K) X-MyT1 expression is seen in cells in the CMZ and in the central retina, in the inner nuclear layer. (L) Xath5 expression is detected in the CMZ except in cells in the most peripheral region. In the central retina, similarly to what was observed for X-Notch-1 and X-Delta-1, a few cells, probably late born cells, express Xath5 in this retina which is at a slightly younger stage than the retina shown in Fig. 3. M and N show a higher magnification of the CMZ from the sections depicted in K and L, respectively. (O) Double labeling demonstrates that Xath5 and X-MyT1 expressions start at the same level in the CMZ. Scale bar in K and L, 100 um; scale bar in M, N, and O, 30 um
|
|
FIG. 5. Comparison in stage 40 Xenopus retina of X-Notch-1 expression with that of genes involved in early eye development. (A) Comparison of X-Notch-1 and XSix3 expression patterns. Double in situ hybridizations were performed as in Fig. 1 with XSix3 in deep purple and X-Notch-1 in red. (A) XSix3 is expressed in the CMZ, from the most peripheral cells of the retina, and in the central retina, in the ganglion cell layer and the inner nuclear layer. (B) X-Notch-1 labeling is detected in the CMZ except in cells in the most peripheral region. C and D show a higher magnification of the CMZ from the sections depicted in A and B, respectively. (E) Double labeling demonstrates that XSix3 expression starts more in the periphery than X-Notch-1 expression. Scale bar in A and B, 100 ï°m; scale bar in C, D, and E, 30 ï°m. (F) Comparison of X-Notch-1 and Xrx1 expression patterns. Double in situ hybridizations were performed as in Fig. 1 with Xrx1 in deep purple and X-Notch-1 in red. (F) Xrx1 is expressed in the CMZ, from the most peripheral cells of the retina, and in the central retina, in a subset of cells in the outer part of the inner nuclear layer and in the outer nuclear layer. (G) X-Notch-1 labeling is detected in the CMZ except in cells in the most peripheral region. H and I show a higher magnification of the CMZ from the sections depicted in F and G, respectively. (J) Double labeling demonstrates that Xrx1 expression starts more in the periphery than X-Notch-1 expression. Scale bar in F and G, 100 ï°m; scale bar in H, I, and J, 30 ï°m. (K) Comparison of X-Notch-1 and Pax6 expression patterns. Double in situ hybridizations were performed as in Fig. 1 with Pax6 in deep purple and X-Notch-1 in red. (K) Pax6 is strongly expressed in the central retina, in the ganglion cell layer and in the inner part of the inner nuclear layer, and faint staining is also detected throughout the CMZ. (L) X-Notch-1 labeling is detected in the CMZ except in cells in the most peripheral region. M and N show a higher magnification of the CMZ from the sections depicted in K and L, respectively. (O) Double labeling demonstrates that the strong expression of Pax6 and X-Notch-1 expression does not overlap but that the faint expression of Pax6 in the CMZ starts more peripherally than X-Notch-1 expression. Scale bar in K and L, 100 um; scale bar in M, N, and O, 30 um.
|
|
FIG. 6. Comparison in stage 40 Xenopus retina of X-Notch-1 or neuroD expressions with that of genes involved in cellular determination of retinal cells. (A) Comparison of Xotx2 and neuroD expression patterns. Double in situ hybridizations were performed as in Fig. 1 with Xotx2 in deep purple and neuroD in red. (A) Xotx2 expression was seen in cells in the CMZ and in the central retina, in the outer part of the inner nuclear layer. (B) neuroD labeling was seen in cells in the CMZ and in the central retina, in the outer part of the inner nuclear layer and the outer nuclear layer. C and D show a higher magnification of the CMZ from the sections depicted in A and B, respectively. (E) Double labeling demonstrates that neuroD and Xotx2 expressions start at the same level in the CMZ and that they overlap in the outer part of the inner nuclear layer. Scale bar in A and B, 100 ï°m; scale bar in C, D, and E, 30 um. (F) Comparison of X-Notch-1 and Brn-3.0 expression patterns. Double in situ hybridizations were performed as in Fig. 1 with Brn-3.0 in deep purple and X-Notch-1 in red. (F) Brn-3.0 is only expressed in the ganglion cell layer. (G) X-Notch-1 labeling is detected in the CMZ except in cells in the most peripheral region. H and I show a higher magnification of the CMZ from the sections depicted in F and G, respectively. (J) Double labeling of retina demonstrates that Brn-3.0 and X-Notch-1 expressions do not overlap. Scale bar in F and G, 100 um; scale bar in H, I, and J, 30 um
|
|
FIG. 7. Double staining for BrdU uptake and gene expression in stage 40 Xenopus CMZ. (A) Double staining for BrdU uptake and Xath5 expression. Xath5 staining is shown in A, BrdU immunostaining in B. Double staining in C shows that BrdUï° cells in the peripheral CMZ are Xath5ï°. In the central CMZ, BrdUï° cells are stained for Xath5. A few cells are BrdUï° and stained with Xath5. (D) Double staining for BrdU uptake and neuroD expression. neuroD staining is shown in D, BrdU immunostaining in E. Double staining in F shows that BrdUï° cells in the peripheral CMZ are neuroDï°. In the central CMZ, BrdUï° cells are stained for neuroD. neuroDï° cells in the central retina are BrdUï°. (G) Double staining for BrdU uptake and Brn-3.0 expression. Brn-3.0 staining is shown in G, BrdU immunostaining in H. Double staining in I shows that all BrdUï° cells in the CMZ are Brn-3.0ï° and that all Brn-3.0ï° cells are BrdUï°. (J) Double staining for BrdU uptake and Pax6 expression. Pax6 staining is shown in J, BrdU immunostaining in K. Double staining in L shows that BrdUï° cells in the CMZ express a low level of Pax6 and that cells in the central retina expressing a strong level of Pax6 are BrdUï°. Peripheral CMZ is on the left. Scalebar in A, 30 ï°m.
|
|
FIG. 9. Overexpression of Xath5 and NeuroD promotes ectopic activation of Brn3.0 expression. Embryos were injected at the two-cell stage with RNA for ï°-galactosidase either alone (A) or in combination with RNA for neuroD (B) or Xath5 (C) and then cultured until stage 14 (neural plate stage). The embryos were stained with Magenta-gal (magenta color) to detect ï°-galactosidase expression, followed by whole-mount in situ hybridization using a digoxigenin-labeled Brn-3.0 probe (dark purple). All embryos are shown in a dorsoanterior view with the injected side on the right. (A) A control embryo injected with RNA for ï°-galactosidase, showing Brn-3.0 expression as two discrete patches in the anterolateral neural plate. (B) An embryo injected with RNA for neuroD and ï°-galactosidase showing an expanded patch of expression of Brn-3.0 in the anterolateral neural plate. (C) An embryo injected with RNA for Xath5 and ï°-galactosidase showing general activation of Brn-3.0 expression on the injected side with the most enhanced expression at the anterior of the embryo
|
|
pou4f1 (POU class 4 homeobox 1) gene expression in Xenopus laevis embryos, NF stage 40, as assayed by in situ hybridization. Lateral view of sectioned eye.
|
|
hes5.2 (hairy and enhancer of split 5, gene 2 ) gene expression in Xenopus laevis embryos, NF stage 40, as assayed by in situ hybridization. Lateral view of sectioned eye.
|