Click here to close
Hello! We notice that you are using Internet Explorer, which is not supported by Xenbase and may cause the site to display incorrectly.
We suggest using a current version of Chrome,
FireFox, or Safari.
???displayArticle.abstract???
We report the isolation and characterization of a new inhibitory Smad in Xenopus, which we have designated as Xenopus Smad7. Smad7 is present at fairly constant levels throughout early development and at blastula stages enriched in the ventral side of the animal hemisphere. The induction of mesoderm by TGF-beta-like signals is mediated by receptor ALK-4 and we show that Smad7 blocks signaling of ALK-4 in a graded fashion: lower levels of Smad7 block activation of dorsal mesoderm genes and higher levels block all mesoderm genes expression. Smad7 is able to directly activate neural markers in explants in the absence of mesoderm or endoderm. This neural-inducing activity of Smad7 may be due to inhibition of BMP-4 signaling because Smad7 can also block BMP-4-mediated mesoderm induction. Thus, Smad7 acts as a potent inhibitor of mesoderm formation and also activates the default neural induction pathway.
FIG. 1. Structure of Xenopus Smad7. Alignment of the predicted amino acid sequences of human Smad7 and Xenopus Smad7. Identical
residues are shaded in dark. Mad homology domains, MH1 and MH2 are indicated by arrows.
FIG. 2. Localization of Smad7 during development. (Left) RNA
isolated from embryos at various stages as indicated in the figure
was analyzed by RTâPCR for the expression of Smad7 transcripts.
(Right) Blastula-stage embryos dissected into different regions and
cultured until equivalent of early gastrula stage. AP, animal pole;
M/V, marginal zone and vegetal region; D, dorsal half; V, ventral
half; E, whole embryo; 2RT, whole embryo extracted RNA in the
absence of reverse transcriptase in the RTâPCR reaction.
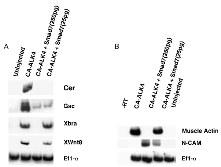
FIG. 3. Smad7 blocks ALK-4-mediated mesoderm induction in
explant assays. (A) Animal pole explants from embryos injected
with 500 pg of CA-ALK-4 alone and coinjected with Smad7
(amounts as indicated) were analyzed by RTâPCR at stage 11 for
the expression of mesoderm-specific markers expressed at gastrula
stages. EF1-a transcripts used as an internal standard. Cer, cerberus;
Gsc, goosecoid; Xbra, brachyury. 2RT lane not shown for this
experiment. (B) Animal pole explants from embryos injected with
500 pg of ALK-4 alone and coinjected with Smad7 (amounts as
indicated) were analyzed by RTâPCR at stage 17 for the expression
of mesoderm and ectoderm differentiated markers. NCAM, neuralspecific
marker; muscle actin, somitic mesoderm marker; 2RT,
whole embryo extracted RNA in the absence of reverse transcriptase
in the RTâPCR reaction.
FIG. 4. Smad7 activates the default neural pathway. (A) Explants
from embryos injected with Smad7 (amounts indicated) alone and
analyzed for the expression of differentiated markers for all germ
layers. EF1-a transcripts used as an internal standard. NCAM, neuralspecific
marker; edd, endoderminâpanendoderm marker; XAG,
cement gland marker; muscle actin, somitic mesoderm marker;
epidermal keratin, epidermis marker; Xbra, Xenopus brachyury, panmesoderm
marker. (B) Smad7 blocks BMP-4-mediated induction of
mesoderm. Embryos were injected with 500 pg of BMP-4 RNA alone
or coinjected with 500 pg of BMP-4 RNA and Smad7 RNA (amounts
indicated). Explants at blastula stage were cultured until gastrula stage
and analyzed for the expression of mesoderm markers by RTâPCR.
2RT, whole embryo-extracted RNA in the absence of reverse transcriptase
in the RTâPCR reaction.
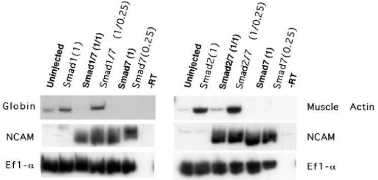
FIG. 5. Smad7 has similar effects on Smad1 and Smad2 activities.
(Left) Animal pole explants from embryos injected with 1 ng of
Smad1 alone and coinjected with Smad7 (amounts as indicated in
ng) were analyzed by RTâPCR at stage 17 for the expression of
globin, a ventralmesoderm marker. (Right) Animal pole explants
from embryos injected with 1 ng of Smad1 alone and coinjected
with Smad7 (amounts as indicated in ng) were analyzed by RTâ
PCR at stage 17 for the expression of muscle actin, somitic
mesoderm marker. NCAM, neural-specific marker used as a positive
control for Smad7; 2RT, whole embryo-extracted RNA in the
absence of reverse transcriptase in the RTâPCR reaction.
FIG. 6. (Top) Smad7 blocks activation of mesoderm markers in the embryo. Albino embryos were injected with 25 pg of Smad7 RNA in
the marginal zone of both blastomeres at the two-cell stage. The embryos were fixed at gastrula stage 10. One-half and whole mount in situ
hybridization was performed using Gsc or Vox antisense probes. (A) Uninjected embryoâGsc is expressed in the dorsal lip. (B) Embryo
injected with Smad7âGsc is no longer detected (n 5 22). (C) Uninjected embryoâVox is expressed in the ventralmesoderm and excluded
from the dorsal lip. (D) Embryo injected with Smad7âVox is no longer detected (n 5 16).
FIG. 7. (Bottom) Smad7 blocks mesoderm formation and affects body axis in the embryo. Embryos injected with 25 pg of Smad7 RNA. (A)
Uninjected embryos. (B) Histological section of uninjected embryos. (C) Embryos injected in a dorsal blastomeres at four-cell stage (n 5 37,
21). (D) Histological section of dorsally injected Smad7 embryosânote the lack of dorsal mesodermal tissue, an enlarged cement gland, and
the presence of a neural tube. (E) Embryos injected with Smad7 RNA in ventral blastomeres at four-cell stage (n 5 28)ânote incomplete
secondary axes. (F) Histological section of embryos injected with Smad7 ventrallyânote that the secondary axis does not contain any
notochord or somitic mesoderm. cg, cement gland; nt, neural tube; s, somites; ov, otic vessicle; nt, notochord.