Click here to close
Hello! We notice that you are using Internet Explorer, which is not supported by Xenbase and may cause the site to display incorrectly.
We suggest using a current version of Chrome,
FireFox, or Safari.
Dev Biol
1998 Nov 01;2031:24-35. doi: 10.1006/dbio.1998.8975.
Show Gene links
Show Anatomy links
The expression pattern of thyroid hormone response genes in remodeling tadpole tissues defines distinct growth and resorption gene expression programs.
???displayArticle.abstract??? Thyroid hormone (TH) induces dramatic skeletal and tissue remodeling of the anuran head and body at metamorphosis. The expression pattern of TH up-regulated genes has been correlated with tissues that either grow or resorb at metamorphosis. Whereas the expression of the thyroid hormone receptors in Xenopus laevis tadpoles is ubiquitous, the locations where many of the TH up-regulated genes are activated fall into distinct classes. Genes in the early response class are expressed predominantly in cartilage and brain regions undergoing cell proliferation and at a higher level in the remodeling and growing body than in the resorbing tail. In contrast, expression of genes in the delayed response class is highest in resorbing tissues and higher in the tail than in the body within the subepidermal fibroblast layer, further indicating that this single cell layer is involved in tissue resorption. The expression boundary of delayed response class genes in the subepidermal fibroblasts in the body correlates with epidermal lamella invasion and subsequent adult skin differentiation. Differences in the expression patterns of stromelysin-3 and the delayed response proteinases in the head delineate separate programs of tissue resorption, one for the loss of epithelial structures, and one for the loss of cartilages. Expression of the type III deiodinase is up-regulated in growing tissues nearing completion of their metamorphic changes, suggesting a role for the deiodinase in modulating the influence of TH on these tissues.
FIG. 1. Metamorphic changes in the anuran skeleton. (AâE) Whole mount animals stained with alizarin red and Alcian blue. (A) Stage 56,
(B) stage 61, (C) stage 62, (D) stage 63, (E) stage 66. (F) Planar section of stage 61tadpolehead stained with HallâBrunt connective tissue stain.
In all images, cartilage is stained blue, while bone is stained red. Arrows point to Meckelâs cartilage, filled triangles point to the branchial
arches, and unfilled triangles point to the ceratohyals. Scale bars, 1 mm.
FIG. 2. Ubiquitous expression of the TRs in Meckelâs cartilage and in the branchial arches. In situ hybridization of TRa (A, C) and TRb
(B, D) digoxigenin-labeled antisense riboprobes in stage 61 planar head sections. (A, B) Arrows point to Meckelâs cartilage. (C, D) Branchial
arches. Scale bar, 100 mm.
FIG. 3. Localization of proliferation and expression of early and delayed response genes in cartilages. (AâC) BrdU labeling of proliferative
cells. In situ hybridization of antisense probes of (DâF) gene 12 and (GâI) collagenase-3 at stage 61. (A, D, G) Meckelâs cartilage planar
section. (B, E, H) Larynx cross section. (C, F, I) Branchial arches planar section. Scale bars, 100 mm. Images were taken with Nomarski optics.
Arrows point to Meckelâs cartilage.
FIG. 4. Localization of proliferation and expression of early and delayed response genes within the brain. Stage 61 brain cross sections
double labeled with BrdU and by in situ hybridization with the following antisense probes: (A) TH/bZip, (B, E) gene 12, (C, F) deiodinase,
and (D) collagenase-3. (AâC) Ventricular layer in the mesencephalon. (DâF) Pituitary and underlying anterior floor of brain case. Scale bar,
100 mm and images were taken with Nomarski optics.
FIG. 5. Planar sections over the junction of body and tail at stage 61/62. In situ hybridization of antisense probes of (A) TH/bZip, (B, C)
gene 12, (D, E) xBTEB, and (FâI) FAP. (A) Composite of multiple low-magnification images showing entire planar section from the body into
the tail. Scale bar, 500 mm. Boxes in A indicate the region from which the higher-magnification images in BâI were taken. (BâG) Epidermis
(Ep), epidermal collagen lamella (ECL), subepidermal fibroblasts (SEF), and muscle (M). (H, I) Notochord (NC) and notochord sheath (NcS).
Images on the left (B, D, F, H) are body tissue while tissues on the right (C, E, G, I) are tail tissues. All images are oriented with anterior
to the left and posterior to the right. Scale bar in BâI, 100 mm.
FIG. 6. Distinct expression patterns of collagenase-3 (AâC) and stromelysin-3 (DâF) in the pharyngo-branchial tract . In situ hybridization
of antisense probes in stage 61 head cross sections. (A, D) Pharyngobranchial tract (PBT) and branchial arches (BA). (B, E) Branchial arches.
(C, F) Anterior floor of the braincase (BC) and the pharyngobranchial tract. Scale bars, 100 mm.
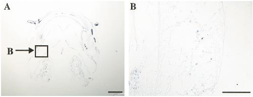
FIG. 7. Increasing deiodinase mRNA expression in Meckelâs cartilage during metamorphosis. In situ hybridization of planar head sections
hybridized with deiodinase antisense probes. (A) Stage 59, (B) stage 61, (C) stage 62, (D) stage 63. Scale bar, 100 mm.
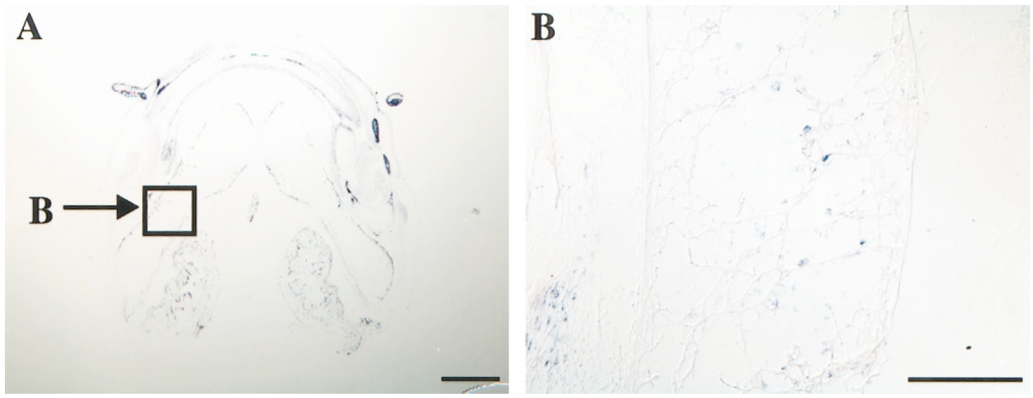
FIG. 8. Expression of genes within and surrounding the metamorphosing ceratohyals. In situ hybridization of stage 61 planar sections with
the following antisense probes: (A) Collagenase-3, scale bar, 1 mm; and (B) deiodinase, scale bar,100 mm. (A) Low-power image of entire cross
section: letter and box indicate the location from which image in B was taken.
FIG. 9. Proposed function of many of the genes that have been
identified to date in metamorphosis. The in situ hybridization
results in this and the accompanying paper (Berry et al., 1998) and
the abundance and kinetics of mRNA appearance (Wang and
Brown, 1993) suggest a broad functional grouping for some of the
TH up-regulated genes. This in situ analysis has delineated many of
the TH-responsive genes into programs of cell growth versus cell
death and further has defined multiple distinct tissues resorption
programs. The type III deiodinase, TR, and TH levels together
modulate the orderly events of spontaneous metamorphosis.