XB-ART-13932
Dev Dyn
1998 Nov 01;2133:261-70. doi: 10.1002/(SICI)1097-0177(199811)213:3<261::AID-AJA3>3.0.CO;2-V.
Show Gene links
Show Anatomy links
Alcohol dehydrogenases in Xenopus development: conserved expression of ADH1 and ADH4 in epithelial retinoid target tissues.
???displayArticle.abstract???
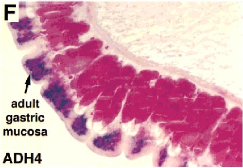
Mammalian alcohol dehydrogenases ADH1 (class I ADH) and ADH4 (class IV ADH) function as retinol dehydrogenases contributing to the synthesis of retinoic acid, the active form of vitamin A involved in growth and development. Xenopus laevis ADH1 and ADH4 genes were isolated using polymerase chain reaction primers corresponding to conserved motifs of vertebrate ADHs. The predicted amino acid sequence of Xenopus ADH1 was clearly found to be an ortholog of ADH1 from the related amphibian Rana perezi. Phylogenetic tree analysis of the Xenopus ADH4 sequence suggested this enzyme is likely to be an ADH4 ortholog, and this classification was more confidently made when based also on the unique expression patterns of Xenopus ADH1 and ADH4 in several retinoid-responsive epithelial tissues. Northern blot analysis of Xenopus adult tissues indicated nonoverlapping patterns of ADH expression, with ADH1 mRNA found in small intestine, large intestine, liver, and mesonephros and ADH4 mRNA found in esophagus, stomach, and skin. These nonoverlapping tissue-specific patterns are identical to those previously observed for mouse ADH1 and ADH4, thus providing further evidence that Xenopus ADH1 and ADH4 are orthologs of mouse ADH1 and ADH4, respectively. During Xenopus embryonic development ADH1 mRNA was first detectable by Northern blot analysis at stage 35, whereas ADH4 mRNA was undetectable through stage 47. Whole-mount in situ hybridization indicated that ADH1 expression was first localized in the pronephros during Xenopus embryogenesis, thus conserved with mouse embryonic ADH1 which is first expressed in the mesonephros. ADH4 expression was not detected in Xenopus embryos by whole-mount in situ hybridization but was localized to the gastric mucosa of the adult stomach, a property shared by mouse ADH4. Conserved expression of ADH1 and ADH4 in retinoid-responsive epithelial tissues of amphibians and mammals argue that these enzymes may perform essential retinoid signaling functions during development of the pronephros, mesonephros, liver, and lower digestive tract in the case of ADH1 and in the skin and upper digestive tract in the case of ADH4.
???displayArticle.pubmedLink??? 9825862
???displayArticle.link??? Dev Dyn
???displayArticle.grants???
Species referenced: Xenopus laevis
Genes referenced: adh1 adh1a adh1b adh1c adh4 adh5
???attribute.lit??? ???displayArticles.show???
