Click here to close
Hello! We notice that you are using Internet Explorer, which is not supported by Xenbase and may cause the site to display incorrectly.
We suggest using a current version of Chrome,
FireFox, or Safari.
Molecular cloning and expression of Xenopus p300/CBP.
Fujii G
,
Tsuchiya R
,
Itoh Y
,
Tashiro K
,
Hirohashi S
.
???displayArticle.abstract???
Transcriptional coactivators act as signal committers from transcriptional regulators to basal transcriptional machineries. We isolated the cDNA for p300/CBP, one of the most important transcriptional coactivators, of Xenopus. We also report its regulated expression, and the effects of microinjection of its truncated form. Xenopus p300/CBP (Xp300) encodes a 2483 amino acid protein which is highly homologous with human p300. Northern hybridization analyses indicated that Xp300 mRNA is stored in the oocyte, and is present throughout early embryogenesis of this species. In situ hybridization studies have revealed that Xp300 mRNA localization is ubiquitous throughout early embryogenesis, but that in later stages it is predominant in the neural region. Among adult tissues, Xp300 mRNA was clearly detected in some tissues, suggesting that Xp300 functions as a transcriptional regulator in various tissues. Microinjection of a carboxy-terminal-truncated form of Xp300 RNA into both cells of Xenopus two-blastomere stage embryos invoked the malformation of the embryos. The neural plates of Xp300 RNA-injected embryos were loose and the trunk area was heavily contracted. These results suggest that Xp300 is indispensable for normal development of the early embryo, especially in neural formation.
Fig. 1. Schematic representation of the structure of Xenopus p300/CBP cDNA and cloning strategies using 5P-RACE. Top: Schematic
model of full-length Xenopus p300/CBP cDNA. The open white box indicates the Xenopus p300/CBP protein coding region and
straight lines indicate the 5P and 3P noncoding regions. The numbers are the nucleotide residue positions from the 5P end. The shadowed
boxes indicate the functional domains described elsewhere [2,3,5]. The three solid bold lines inside the open box show the highly
conserved regions described in Section 3 and Table 1. The bold black lines above the open box indicate the truncated fragment utilized
in the microinjection experiment. The position of the PCR probe used in Northern hybridization experiment is also indicated
here. Six arrows indicate the original and RACE clones, the size and orientations indicate the length of the DNA fragment and the
directions of the clones. The name of each clone is shown to the right. R4-67 is a clone which shows a high degree of homology with
R4-41, as described in Section 3.
Fig. 2. Nucleotide sequence and deduced amino acid sequence of the cDNA encoding Xenopus p300/CBP. Numbers on the right and
left indicate the nucleotide position from the 5P end. The deduced amino acid sequence is shown below the nucleotide sequence. The
bold letters in the amino acid sequence denote regions that are highly conserved between mouse and human p300/CBP, as shown in
Table 1. The bold underlines indicate the three C/H-rich regions. The bold wavy line marks the CREB binding region, and the open
box indicates the bromo domain.
Fig. 3. Structural analyses of Xenopus p300/CBP. (A) Molecular
evolution tree of known p300/CBPs. An evolutionary tree was
drawn according to the neighbor-joining method [40]. The
scores of each tree are indicated on a £oating scale. (B) Harr
plot of Xenopus p300/CBP. A Harr plot analysis was drawn
with both vertical and horizontal axes plotted by Xenopus p300/
CBP. The size of unit used for comparison was ¢ve amino
acids, and the dot plot score was two. The three solid bold line
under the Harr plot indicated highly homologous regions denoted
in Table 1.
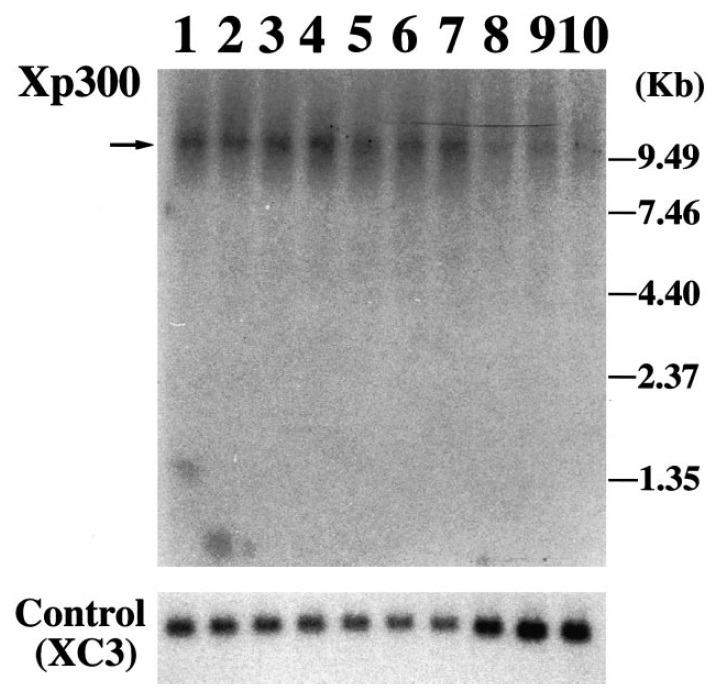
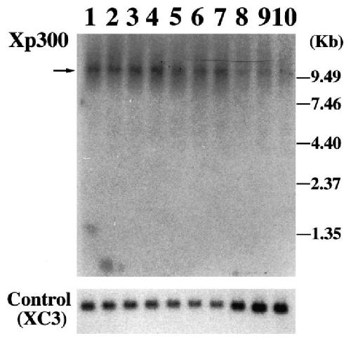
Fig. 4. Expression of Xenopus p300/CBP mRNA during early
embryogenesis of Xenopus laevis. RNA equivalent to the total
RNA of two embryos was analyzed by Northern blot hybridization
using an [K-32P]dCTP-labeled DNA probe ampli¢ed by
PCR as shown in Fig. 1. Lane 1, unfertilized egg; lane 2, early
cleavage (stage 3); lane 3, late cleavage (stage 6); lane 4, early
blastula (stage 7); lane 5, late blastula (stage 8); lane 6, early
gastrula (stage 9); lane 7, late gastrula (stage 11); lane 8, early
neurula (stage 15); lane 9, late neurula (stage 21); lane 10, tailbud
stage (stage 24). The arrow indicates the position of Xenopus
p300/CBP, and the marks and numbers on the right show
the positions and sizes of the RNA markers (Life Technologies).
Control hybridization was performed on the same ¢lter
with a DNA fragment of the Xenopus proteasome subunit XC3
probe [38].
Fig. 5. Localized expression of Xenopus p300/CBP mRNA analyzed by in situ hybridization during early embryogenesis. In situ hybridization
was performed as described in the materials and methods and the resulting signal was detected by purple staining. (a) left:
Four-cell cleavage stage (stage 3), right: blastula (right, stage 7), (b) tailbud (stage 24), (c) dorsal views of the tailbud (stages 22), (d)
magni¢ed views (U4) of the head region of the tailbud (stage 24), (e) tadpoles 1 and 2 (stage 32 and 35), (f) tadpole 3 (stage 41), and
(g) magni¢ed view (U2) of the intestinal torsion (stage 41) region of the sample cleared with benzyl alcohol/benzyl benzoate.
Fig. 6. Tissue distribution of mRNA for Xenopus p300/CBP.
Total RNA (10 Wg) from various Xenopus organs was analyzed
with the [K-32P]dCTP-labeled DNA probe ampli¢ed by PCR.
Lane 1, liver ; lane 2, lung; lane 3, stomach; lane 4, skin; lane
5: kidney; lane 6, muscle; lane 7, spleen; lane 8, testis; lane 9,
ovary. The arrow, marks and numbers denote the same parameters
as described in Fig. 4. Equal loading of the RNAs were
certi¢ed with the staining of the rRNAs. We con¢rmed the intactness
of the RNAs by the hybridization with XC3 as described
in Fig. 4 [38,39] (data not shown).
Fig. 7. Microinjection of the truncated DNA fragment of Xenopus p300/CBP into Xenopus embryos. (a, b) Control injection sample
(distilled water injection): (a) dorsal views of early neurula embryos (stage 16), (b) tadpole embryos (stage 37). (c^f) Truncated Xp300
RNA injected embryos: (c) dorsal views of Tr-1 injected early neurula (stage 16), as compared with (a). (d^f) Tadpole embryos (stage
37), as the same developmental stage as (b); (d) injection of Tr-1, (e, f) injection of Tr-2. Samples were ¢xed at the same time with
formaldehyde, and stored as described in Section 2. (g) Ventral view of a Tr-2 injected embryo. (h, i) Dorsal views of Tr-1-injected
and Tr-2-injected tadpoles, respectively. Samples were fixed at the same time as those shown in (b) and (c^f).
ep300 (E1A binding protein p300) gene expression in Xenopus laevis embryo, assayed via in situ hybridization, NF stage 7
ep300 (E1A binding protein p300) gene expression in Xenopus laevis embryo, assayed via in situ hybridization, NF stage 24, lateral view, anteriorleft, dorsal up.
ep300 (E1A binding protein p300) gene expression in Xenopus laevis embryo, assayed via in situ hybridization, NF stage 32, lateral view, anteriorleft, dorsal up.