Click here to close
Hello! We notice that you are using Internet Explorer, which is not supported by Xenbase and may cause the site to display incorrectly.
We suggest using a current version of Chrome,
FireFox, or Safari.
Dev Biol
2005 Oct 15;2862:483-92. doi: 10.1016/j.ydbio.2005.08.020.
Show Gene links
Show Anatomy links
Uroplakin III, a novel Src substrate in Xenopus egg rafts, is a target for sperm protease essential for fertilization.
Mahbub Hasan AK
,
Sato K
,
Sakakibara K
,
Ou Z
,
Iwasaki T
,
Ueda Y
,
Fukami Y
.
???displayArticle.abstract???
In a previous study, we identified Xenopus egguroplakin III (xUPIII), a single-transmembrane protein that localized to lipid/membrane rafts and was tyrosine-phosphorylated upon fertilization. An antibody against the xUPIII extracellular domain abolishes fertilization, suggesting that xUPIII acts not only as tyrosine kinase substrate but also as a receptor for sperm. Previously, it has been shown that the protease cathepsin B can promote a transient Ca2+ release and egg activation as seen in fertilized eggs (Mizote, A., Okamoto, S., Iwao, Y., 1999. Activation of Xenopus eggs by proteases: possible involvement of a sperm protease in fertilization. Dev. Biol. 208, 79-92). Here, we show that activation of Xenopus eggs by cathepsin B is accompanied by tyrosine phosphorylation of egg-raft-associated Src, phospholipase Cgamma, and xUPIII. Cathepsin B also promotes a partial digestion of xUPIII both in vitro and in vivo. A synthetic xUPIII-GRR peptide, which contains a potential proteolytic site, inhibits the cathepsin-B-mediated proteolysis and tyrosine phosphorylation of xUPIII and egg activation. Importantly, this peptide also inhibits sperm-induced tyrosine phosphorylation of xUPIII and egg activation. Protease activity that digests xUPIII in an xUPIII-GRR peptide-sensitive manner is present in Xenopus sperm. Several protease inhibitors, which have been identified to be inhibitory toward Xenopus fertilization, are shown to inhibit sperm-induced tyrosine phosphorylation of xUPIII. Uroplakin Ib, a tetraspanin UP member, is found to be associated with xUPIII in egg rafts. Our results highlight novel mechanisms of fertilization signaling by which xUPIII serves as a potential target for sperm protease essential for fertilization.
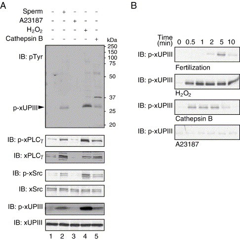
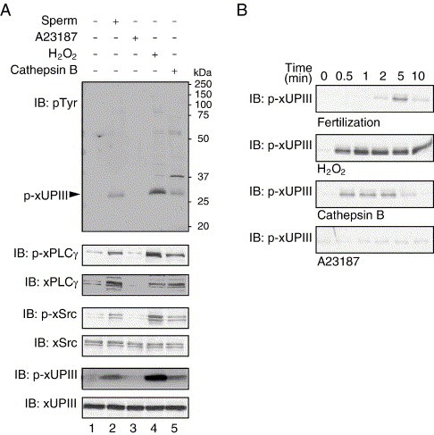
Fig. 1. Tyrosine phosphorylation of xUPIII in cathepsin-B-treated Xenopus egg. (A) Xenopus unfertilized eggs were treated for 5 min with none (lane 1), sperm (106/ml, lane 2), A23187 (0.5 μM, lane 3), H2O2 (10 mM, lane 4), or cathepsin B (5 U/ml, lane 5). Top panel shows tyrosine phosphorylation pattern for total raft proteins (5 μg/lane) as revealed by immunoblotting with anti-phosphotyrosine antibody, PY99 (IB: pTyr). Tyrosine phosphorylation as well as amounts of xSrc, xPLCγ, and xUPIII was analyzed by immunoprecipitation of the SDS-solubilized raft fractions (50 μg/lane) with antibodies against xSrc, xPLCγ, and xUPIII followed by immunoblotting with the homologous antibody or PY99. In the PY99 immunoblotting data, the position of the 30-kDa band, which is likely to be xUPIII, is indicated. Note that a small difference in the mobility of the 30-kDa phosphotyrosine-containing band in fertilized eggs, H2O2-activated, and cathepsin-B-activated eggs is not reproducible. Molecular size markers (20�250 kDa) are also shown. (B) Tyrosine phosphorylation of xUPIII (p-xUPIII) was analyzed as in panel A by anti-xUPIII immunoprecipitation and anti-phosphotyrosine immunoblotting of the SDS-solubilized raft fractions (50 μg/lane) of eggs that had been untreated (0 min) or treated for the indicated times (0.5�10 min) with sperm (106/ml, fertilization), H2O2 (10 mM), cathepsin B (5 U/ml), or A23187 (0.5 μM).
Fig. 2. Partial digestion of xUPIII with cathepsin B in vitro. (A) Raft fractions were prepared from unfertilized eggs and treated without (lanes 1 and 3) or with (lanes 2 and 4) cathepsin B (5 U/ml) for 30 min as described in Materials and methods. After the treatments, the raft fractions (5 μg/lane, lanes 3 and 4) and soluble components (lanes 1 and 2) were separated by ultracentrifugation and analyzed by silver staining or direct immunoblotting with anti-xUPIII or anti-xSrc antibody. In silver stain data, the position of cathepsin B in the soluble fractions is indicated. Asterisks indicate the positions of raft-associated proteins that decrease after cathepsin B treatment. In IB: xUPIII data, the intact 30-kDa xUPIII band, is indicated by an arrowhead, while bands of 21�27 kDa are indicated by a bracket. (B) Unfertilized eggs rafts (2 μg/lane) were treated for 5 min with different concentrations of cathepsin B in the absence or the presence of a synthetic xUPIII-GRR peptide (1 mM). The reaction mixtures were analyzed by direct immunoblotting with anti-xUPIII antibody. Cathepsin B + with an asterisk is heat-inactivated cathepsin B (95�C, 30 min).
Fig. 3. Xenopus egg activation by fertilization or cathepsin B involves proteolysis of xUPIII. (A) Unfertilized eggs were untreated or treated with sperm (106/ml), H2O2 (10 mM), or cathepsin B (5 U/ml), in the absence or the presence of 1 mM xUPIII-GRR peptide. In upper two panels, 5-min activated egg rafts (10 μg/lane) were analyzed for tyrosine phosphorylation of xUPIII by immunoprecipitation with anti-xUPIII ED antibody followed by immunoblotting with PY99 (IB: p-xUPIII) and for proteolysis of xUPIII by direct immunoblotting with anti-xUPIII ED antibody (IB: xUPIII). In lower two panels, 40-min activated egg rafts (1 μg/lane) (in the case of H2O2 treatments, eggs were exposed to H2O2 for 5 min and then incubated without H2O2 for 35 min) were directly analyzed for proteolysis of xUPIII (IB: xUPIII). Non-raft samples (50 μg/lane) were analyzed for tyrosine phosphorylation of MAP kinase by immunoblotting with anti-phospho MAP kinase antibody (IB: p-MAPK). (B) Tyrosine phosphorylation and proteolysis of the raft-associated xUPIII (5 min post-activation) and tyrosine phosphorylation of the non-raft MAP kinase (40 min post-activation) were analyzed as in panel A by using egg samples that were activated by sperm or cathepsin B in the absence or the presence of antibody against either xUPIII ED or xUPIII CT (each at 1:10 dilution of serum).
Fig. 4. Xenopus sperm possess protease activity toward xUPIII that is essential for tyrosine phosphorylation of xUPIII and egg activation. (A) In vitro proteolysis of the raft-associated xUPIII by cathepsin B or Xenopus sperm extracts. In the left panel, unfertilized egg rafts (2 μg/assay) were subjected to in vitro cathepsin B treatment (5 U/ml, 30 min) in the absence or the presence of one of the indicated synthetic peptides (each at 1 mM) or antibodies (each at 400 μg/ml). After the treatments, the raft fractions were collected and analyzed by immunoblotting with anti-xUPIII ED antibody. In the right panel, a similar experiment as in left panel was done with use of sperm extracts (1 mg/ml, 12 h). (B) Inhibition of sperm-induced egg activation events by a synthetic cathepsin B substrate and protease inhibitors. Fertilization was performed in the absence or the presence of several protease inhibitors: aprotinin (10 μM), APMSF (5 mM), chymostatin (1 mM), leupeptin (2 mM), or pepstatin (1 mM). In the upper panel, tyrosine phosphorylation of xUPIII was analyzed as in Fig. 1A using the raft fractions (10 μg/lane) prepared from 5-min inseminated eggs. In the lower panel, tyrosine phosphorylation of p42 MAPK was analyzed as in Fig. 3 by using non-raft samples (50 μg/lane) prepared from 40-min inseminated eggs.
Fig. 5. Co-localization of xUPIII and xUPIb in the rafts of Xenopus eggs. (A) Unfertilized Xenopus eggs were subjected to raft preparation, and fractions obtained (no. 1�12, 20 μl/lane that is equivalent to about 5 eggs/lane) were analyzed by immunoblotting with antibodies against xUPIb or xUPIII. Arrowheads indicate the positions of each protein band. (B) Raft fractions (10 μg/lane) were solubilized by 0.1% SDS and immunoprecipitated with either preimmune serum (Preimm) or anti-xUPIII antibody. The immunoprecipitates were analyzed by immunoblotting with the antibodies indicated. Input, raft fractions (1 μg/lane). NRS, normal rabbit serum.