|
Figure 2. Immunogold electron microscopy reveals the distribution of NEP-B78, LBRx, and p65 between the inner and outer nuclear envelope. Germinal vesicles (GVs) were isolated manually from stage VI oocytes and spread on silicon chips. Using this approach, areas of inner and outer nuclear membrane are both revealed and can be readily distinguished by reference to nuclear pore morphology (Goldberg and Allen, 1992). Spread GVs were labeled with mAb 3E9 (A), rabbit anti-LBR (B), or mAb CEL5C (C) followed by 10-nm gold-conjugated secondary antibodies. Using this approach the distribution of gold labeled antibodies can be detected either in backscatter (revealing white spots corresponding to the position of 10-nm gold; right-hand panels in AâC) or using the secondary electron detector (revealing antibody gold particles of â¼20-nm diam, arrows in left-hand panels in AâC). Bars, 200 nm.
|
|
Figure 3. Recruitment of NEP-B78, LBRx, and p65 to chromatin periphery during NE reassembly in vitro. Demembranated sperm chromatin was incubated in Xenopus LSS and samples were taken at the indicated time points and processed for immunofluorescence (see Materials and Methods). In each case DNA was stained with DAPI and proteins detected using fluorescein-labeled secondary antibody. NEP-B78 (left-hand micrographs), LBRx (center micrographs), or p65 (right-hand micrographs). Bar, 20 μm.
|
|
Figure 4. The association of NEP-B78 and LBRx with reforming nuclear envelopes in XLK-2 cells. XLK-2 cells were fixed and stained with either rabbit anti-LBR followed by FITC goat anti–rabbit Ig (a–h) or mAb 3E9 followed by FITC-goat anti– mouse Ig (i–m). Fluorescence images of cells in metaphase (a, e, i, and m), anaphase (b, f, j, and n), telophase (c, g, k, and o) or early G1 (d, h, i, and p) were collected with a 12 bit CCD camera attached to a Zeiss Axioskop microscope. In each pair of micrographs, the distribution of DNA is revealed by DAPI staining (a–d and i–l). Bars, 10 μm.
|
|
Figure 5. Reconstitution of NE assembly with purified particulate fractions. Demembranated sperm was incubated in cytosol with the addition of MP1 (A), MP2 (B), MP1+ MP2 l (C), or no additions (D) for 90 min at room temperature. Samples were processed for fluorescence microscopy (see Materials and Methods). In each case the left-hand panel shows DNA visualized with Hoechst 33258 and the right-hand panel shows the same sperm stained with 3,3′-dihexyloxocarbocyanine (DHCC) to reveal membranes. Bar, 10 μm.
|
|
Figure 6. Electron microscope analysis of vesicle binding and fusion. MP2 was incubated with sperm chromatin and cytosol alone (A–C) or with sperm chromatin, cytosol, and MP1 (D–E) as described in Materials and Methods. Incubations for the samples displayed were for 2 h at room temperature after which time the extracts were fixed and sectioned for TEM. A–C show MP2 vesicles bound to the surface of partially decondensed sperm chromatin. White arrows show details of membrane morphology at sites of interaction with chromatin (B). Black arrows show typical membrane morphology at sites adjacent to other vesicles (C). D–F show nuclear envelope structures typically observed in fully reconstituted extracts. Double unit membranes formed a continuous boundary around decondensed chromatin (D) and contained structures resembling nuclear pores (E) and were studded with ribosome-like particles (F, arrowheads). INM, inner nuclear membrane; ONM, outer nuclear membrane. Bars: (A and D) 1 μm; (B and E) 100 nm; (C and F) 200 nm.
|
|
Figure 7. Biochemical characterization of MP1 and MP2 fractions; localization of NEP-B78, p65, LBRx, and B-type lamins in egg extract fractions. (A) Total egg extract was subjected to fractionation by centrifugation as described (Smythe and Newport, 1991) to produce a total NE precursor membrane fraction (tot) or as described in (Vigers and Lohka, 1991) to yield MP1 and MP2 fractions. Equal protein loadings of each fraction were subjected to SDS-PAGE and stained with Coomassie blue. (B) Total egg extract (LSS) was subjected to fractionation by centrifugation as described (Vigers and Lohka, 1991) to yield MP1 and MP2 fractions and a membrane-free cytosol (S2004h). Volumes of each fraction, proportional to that found in a single egg, were resolved on an 8% polyacrylamide gel and subjected to immunoblotting for NEP-B78 (top) using mAb 4G12, p65 (middle), or LBRx (bottom). In each case, lane 1 contains low speed supernatant (LSS) and lanes 2â4 contain MP1, MP2 and cytosol, respectively. (C) MP1 and MP2 fractions were resolved on a 10% gel and subjected to immunoblotting for B-type lamins using the mAb L6 8A7.
|
|
Figure 8. Characterization of NEP-B78- and LBRx-containing vesicles in MP2 and MP1 fractions by (A) immunogold labeling and FEISEM and (B) sucrose density gradient centrifugation. (A) MP1 (top panels) or MP2 vesicles (bottom panels) were isolated on silicon chips, fixed with 4% paraformaldehyde and 0.1% glutaraldehyde and labeled with either mAb 3E9 followed by 10-nm gold–conjugated sheep anti–mouse Ig (left-hand panels) or rabbit anti–LBR followed by 10-nm gold–conjugated sheep anti–rabbit Ig (right-hand panels). Samples were imaged on a Topcon DS130F scanning electron microscope using both secondary electron and backscatter detectors. The micrographs displayed in A show backscatter images superimposed over secondary images. Before superimposition, the backscatter images were chromatically inverted so that 10-nm gold particles appear as black dots. (B) Aliquots of MP1 and MP2 were overlaid with a sucrose density gradient and subjected to centrifugation as described in Materials and Methods. 14 fractions were retrieved, from the top of the centrifuge tube (lane 1) to the bottom (lane 14), and analyzed by SDS-PAGE and Western blotting for the presence of NEP-B78 (top) using mAb 3E9 or LBR (bottom). Bars, 200 nm.
|
|
Figure 9. Recruitment of NEP-B78, p65, and LBRx to chromatin using isolated membrane fractions. Nuclear assembly assays were performed in which demembranated sperm was incubated in cytosol (S2004h) with MP1, MP2, MP1 + MP2 or with no additions for 90 min and prepared for immunofluorescence microscopy (see Materials and Methods). (A) Samples were diluted in 0.33à extract buffer containing EGS, incubated at 37°C for 30 min and centrifuged onto coverslips before incubation with antibodies as described in Materials and Methods. Assays were probed for the presence of NEP-B78 (left-hand micrographs) using mAb 4G12, p65 (center micrographs) or LBRx (right-hand micrographs), and in each case the left-hand column shows DNA stained with DAPI and the right-hand column shows the corresponding fluorescein-labeled images. (B) Samples were diluted in 0.33à extract buffer, and centrifuged onto coverslips before incubation with EGS followed by antibodies for double immunofluorescence microscopy as described in Materials and Methods. DNA was stained with DAPI (left-hand panels), NEP-B78 was detected using FITC-labeled secondary antibodies (middle panels) and LBRx was detected using TRITC-labeled secondary antibodies (right-hand panels). Bars, 20 μm.
|
|
Figure 10. Effect of NEP-B78 and p65 mAbs on vesicle recruitment and nuclear assembly. Aliquots of MP2 membranes were incubated with either anti-cytokeratin 18 mAb (CK-18) as control or anti-NEP-B78 mAB 3E9 or the anti-p65 mAb CEL5C and reisolated as described in Materials and Methods. (A) Vesicle recruitment assays were performed using demembranated sperm chromatin and cytosol supplemented with indicated antibody- treated MP2 alone. (B and C) NE assembly assays were performed using sperm chromatin, cytosol plus MP1 and indicated antibody-treated MP2. In A and B, DNA was stained with Hoechst 33258 (left-hand panels) and membranes are stained with DHCC (right-hand panels). In (C) MP2 previously treated with control CK-18 mAb or 3E9 was incubated with cytosol, MP1 and sperm chromatin, fixed for immunofluorescence and probed for the presence of LBRx using an FITC-labeled secondary antibody. Left-hand panels show DNA stained with DAPI with corresponding fluorescein-labeled images to the right.
|
|
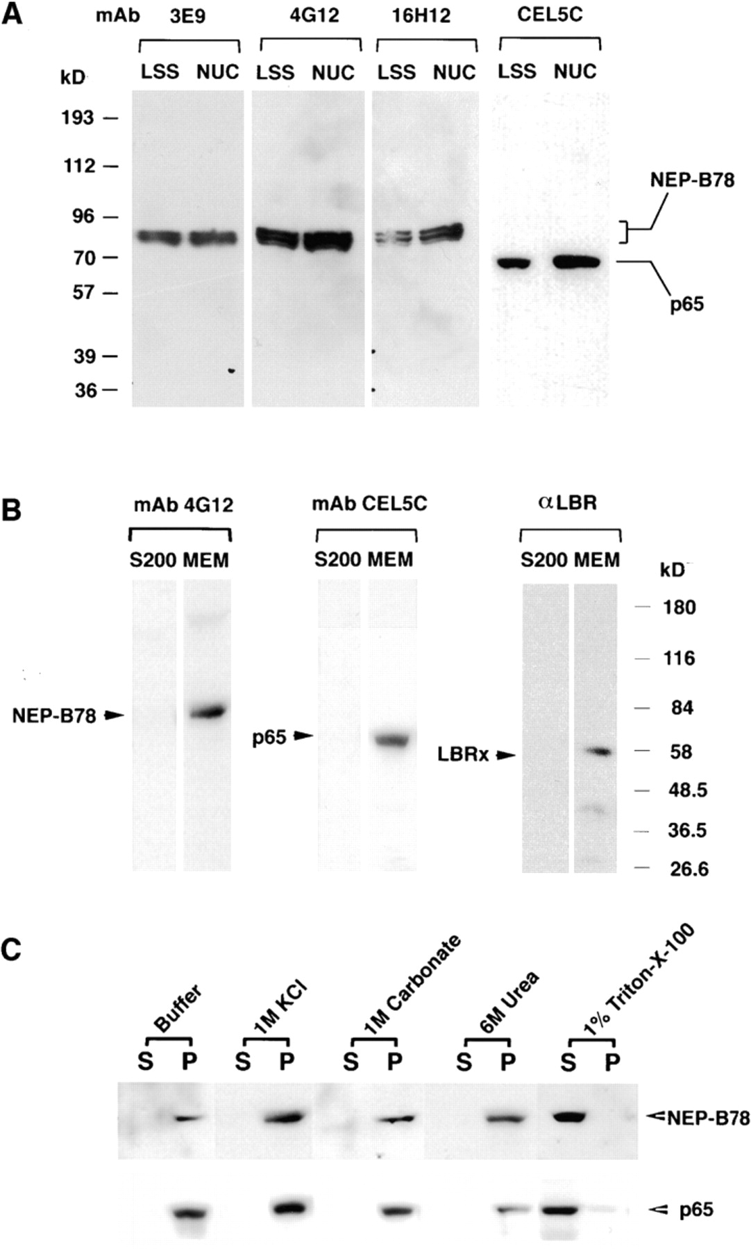
Figure 1
Immunoblotting analysis of NEP-B78, p65, and LBRx. (A) Egg extracts (LSS) or isolated sperm pronuclei (NUC) were resolved by 8% SDS-PAGE, transferred to nitrocellulose and blotted with one of mAbs 3E9, 4G12, 16H12 or CEL5C. 3E9, 4G12 and 16H12 all detected a protein migrating with a Mr of 78 kD (termed NEP-B78) in each fraction. CEL5C detected a single band migrating at 65 kD (termed p65) in each fraction. The positions of prestained molecular mass markers are shown at the left-hand side of the panel. (B) Xenopus LSS was fractionated by centrifugation at 200,000 g for 4 h to yield membrane-free supernatant (S200) and a nuclear membrane precursor fraction (MEM) that is sufficient for complete NE assembly (Smythe and Newport, 1991). Equivalent volumes of each fraction were resolved by SDS-PAGE and subjected to immunoblotting with the indicated antibodies for NEP-B78, p65, or LBRx. (C) Oocyte germinal vesicles were manually dissected from stage six oocytes and incubated with egg lysis buffer (Buffer), 1 M KCl, 1 M Na2CO3 (1 M carbonate), 6 M Urea or 1% Triton X-100 (all in egg lysis buffer). Soluble proteins (S) were separated from insoluble proteins (P) by centrifugation, resolved on 8% SDS-PAGE and blotted with either 4G12 or CEL5C. Only Triton X-100 was capable of solubilizing NEP-B78 and p65.
|