Click here to close
Hello! We notice that you are using Internet Explorer, which is not supported by Xenbase and may cause the site to display incorrectly.
We suggest using a current version of Chrome,
FireFox, or Safari.
???displayArticle.abstract???
We have developed a new assay to identify factors promoting formation and outgrowth of the tail bud. A piece of animal cap filled with the test mRNAs is grafted into the posterior region of the neural plate of a host embryo. With this assay we show that expression of a constitutively active Notch (Notch ICD) in the posterior neural plate is sufficient to produce an ectopic tail consisting of neural tube and fin. The ectopic tails express the evenskipped homologue Xhox3, a marker for the distaltail tip. Xhox3 will also induce formation of an ectopic tail in our assay. We show that an antimorphic version of Xhox3, Xhox3VP16, will prevent tail formation by Notch ICD, showing that Xhox3 is downstream of Notch signalling. An inducible version of this reagent, Xhox3VP16GR, specifically blocks tail formation when induced in tailbud stage embryos, comfirming the importance of Xhox3 for tail bud outgrowth in normal development. Grafts containing Notch ICD will only form tails if placed in the posterior part of the neural plate. However, if Xwnt3a is also present in the grafts they can form tails at any anteroposterior level. Since Xwnt3a expression is localised appropriately in the posterior at the time of tail bud formation it is likely to be responsible for restricting tail forming competence to the posterior neural plate in our assay. Combined expression of Xwnt3a and active Notch in animal cap explants is sufficient to induce Xhox3, provoke elongation and form neural tubes. Conservation of gene expression in the tail bud of other vertebrates suggests that this pathway may describe a general mechanism controlling tail outgrowth and secondary neurulation.
Fig. 1. Constructs used in this study. VP16 or EnR effector
domains are substituted for the putative repressor domain
of the wild-type Xhox3. In the inducible version, a
glucocorticoid receptor ligand-binding domain is added at
the 3¢ end.
Fig. 2. Ectopic tails formed by grafts expressing Notch ICD.
(A) Assay for outgrowth-forming ability. Test mRNA was injected
quadrilaterally into 4-cell-stage embryos, which were then allowed to
develop to stage 9. Animal caps were removed and trimmed into
strips of 100´600 mm. A slit 600 mm long was made in the host
neural plate 100-200 mm anterior to the slit blastopore, and the neural
plate pushed forward to create an opening for the graft. Grafted
embryos were analysed for ectopic tail formation at stage 34-36.
(B,C) Embryos grafted with control animal cap. There is no pattern
disruption, and visualisation of the graft by X-gal staining (cyan)
shows incorporation of the graft into the host neural tube.
(D,E) Embryos grafted with Notch ICD expressing animal cap
develop an ectopic tail. The X-gal stain shows that grafted tissue
which ends up more anteriorly is incorporated into the host neural
tube, while the more posterior graft tissue is incorporated into the
ectopic tail bud. (F,G) Section though a Notch ICD grafted embryo at
stage 35 to show the lack of somites and notochord in the ectopic tail
formed from the graft. (H,I) Section through a Notch ICD graft onto
a host labelled with FDA to show that the ectopic tail epidermis is
composed of host cells (fluorescent in H, green in I), whereas the
neural tube of the ectopic tail is composed primarily of nonfluorescent,
graft-derived cells. The composition of the fin
mesenchyme is mixed. fin, host fin; fin¢, ectopic fin; nt, neural tube;
nt¢, ectopic neural tube; nc, notochord; s, somites. Bars, 250 mm (F),
100 mm (H).
Fig. 3. Expression of tail bud genes in Notch
ICD ectopic tails. (A) Xbra in tail bud,
(B) Xhox3 in the distal tail bud, (C) Xwnt3a
localised to the tail bud and dorsal side of the
tail neural tube, (D) X-delta-1 is not restricted
ventrally as in the host tail bud, but is
expressed throughout the ectopic tail, (E) lfng
expression is dorsal in the proximal tail, (F)
X-shh expression in ectopic tails is much
reduced compared to the host tail and may
represent floor plate expression. (G) FGF-8
and (H) Xcad3 expression in ectopic tails
resembles that of wild-type tail buds.
Arrowheads indicate staining in ectopic tails
formed from the grafts. All embryos are aged
between stages 33 and 36. Posterior (host tail
bud) is to the right and dorsal uppermost.
Fig. 4. Xhox3 can induce ectopic
tails and functions downstream of
Notch ICD. (A-D) Animal cap
grafts were made into the
posterior neural plate of stage 13
hosts and assayed for formation
of an ectopic tail bud showing
expression of Xbra at stage 35.
(A) Xhox3 grafts can generate an
ectopic tail identical to those
formed by Notch ICD. (B) Grafts
expressing Xhox3EnR, a strong
repressing version of Xhox3, also
form ectopic tails. (C) Grafts
expressing an activating
(antimorphic) form of Xhox3,
Xhox3VP16, do not generate
ectopic tails. (D) Co-expression
of the antimorphic Xhox3VP16
with Notch ICD prevents ectopic
tail formation. (E-H) Expression
of Xhox3VP16 in embryos causes
tail, head and pigmentation defects and can be rescued by coinjection of wild-type Xhox3 mRNA. (E) Wild-type embryos at stage 40. Tails
contain 42 somites on average. (F) Embryos injected with 100 pg of Xhox3VP16 have a reduced tail with 28-34 somites at stage 40, pigment cells
are lacking and the head is slightly reduced. (G) Embryos injected with 50 pg Xhox3 mRNA have slightly reduced heads but normal tails, with 42
somites on average. (H) Co-injection of 50 pg of Xhox3 mRNA with 100 pg Xhox3VP16 completely rescues all the phenotypic effects of
Xhox3VP16 and tails contain 42 somites. (I-L) Effect of inducing Xhox3VP16GR with dexamethasone at different developmental stages.
(I) Injection of 400 pg of Xhox3VP16GR has no phenotypic effect if embryos are cultured in the absence of dexamethasone, or (J) treated with
dexamethasone at stage 35. (K) Embryos injected with 400 pg Xhox3VP16GR and treated with dexamethasone at stage 26 have reduced tails and
slight eye defects. (L) Embryos treated at stage 20 have vestigal tails and more severe eye defects.
Fig. 5. Posterior restriction of the tail-forming
ability of Notch ICD grafts can be overcome by
coexpression of Xwnt3a. Animal cap pieces
100´600 mm are grafted into one of three
positions along the anterior posterior axis of stage
13 hosts as shown. The final position of the graft
is marked by Xgal staining (cyan, absent in H,I)
and tail buds (host and ectopic) are marked by
Xbra expression (dark blue). (A-C) Control
animal cap pieces expressing b-galactosidase do
not form tails when grafted into anterior (A), midtrunk
(B) or posterior (C) positions. (D-F) Notch
ICD animal caps do not form ectopic tails if
grafted into the anterior (D) or trunk (E)
positions, but ectopic tails are formed from 81%
of posterior grafts (F). (G-I) Grafts expressing
both Notch ICD and Xwnt3a can form ectopic
tails in anterior (G), trunk (H) or posterior (I)
positions.
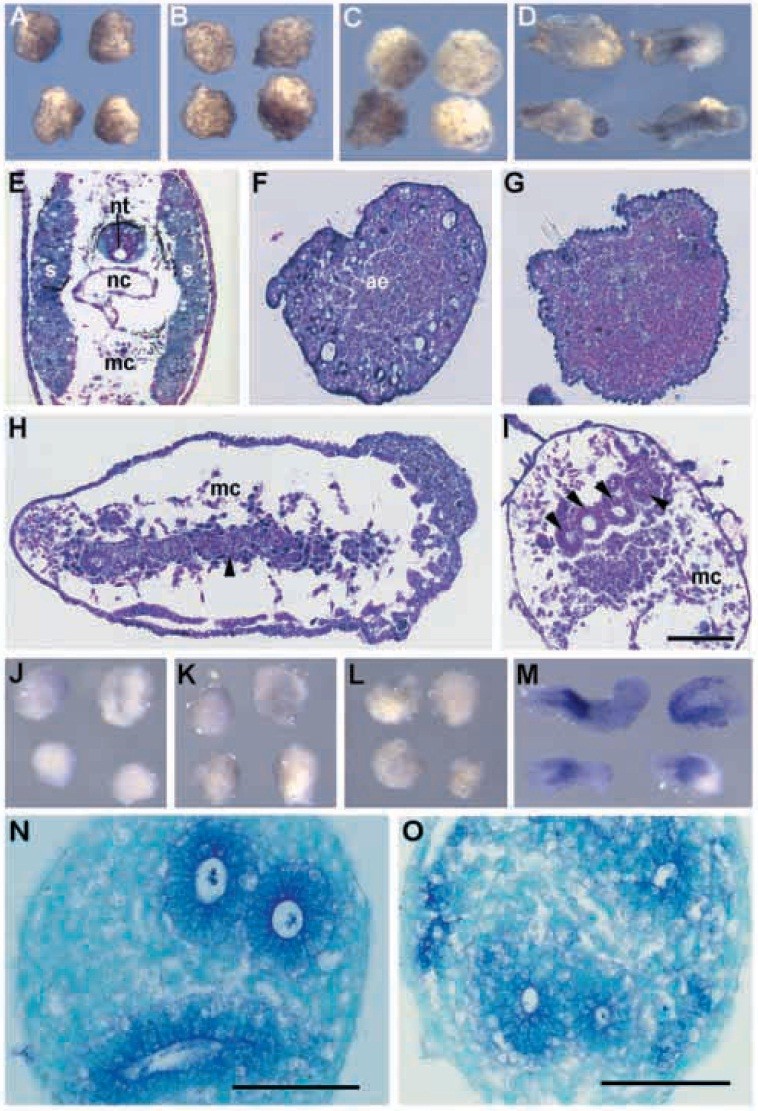
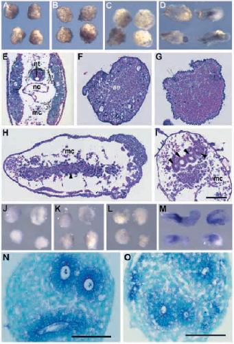
Fig. 6. Combined Notch and Wnt signalling induces formation of
neural tube-like structures in animal caps. (A-D) Animal caps at
stage 38. (A) Control caps expressing b-galactosidase; (B) caps
expressing Notch ICD alone resemble controls. (C) Caps expressing
Xwnt3a alone resemble controls. (D) Caps co-expressing Xwnt3a and
Notch ICD elongate and swell. (E-I) Histology of injected caps at
stage 38 compared to embryo of the same stage. (E) Transverse
section through a Xenopus late embryo tail showing arrangement of
tissues. (F) Section through uninjected animal cap showing atypical
epidermis is formed. (G) Section through cap expressing Notch ICD
showing poorly differentiated dense tissue. (H,I) Sections through
animal caps co-expressing Notch ICD and Xwnt3a to show presence
of fin-like mesenchyme (mc) and neural tube-like structures (arrows).
(J-M) In situ hybridisation to NCAM, a marker of neural tissue (dark
blue stain); (J) uninjected caps, (K) Notch ICD caps, (L) Xwnt3a
caps, (M) caps injected with Notch ICD and Xwnt3a. (N-O) Sections
of caps from M counterstained with methyl green (pale green) as in
Beck and Slack (1998), to show that NCAM staining (dark blue) is
restricted to the neural tube structures. ae, atypical epidermis; mc,
mesenchyme; nc, notochord; nt, neural tube; s, somite. Bars, 100 mm
(I), 50 mm (N,O).
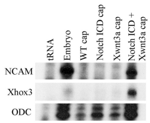
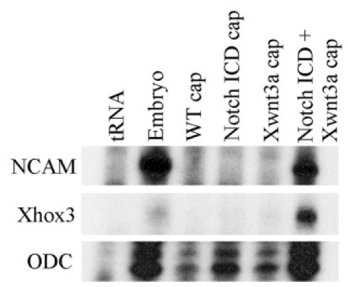
Fig. 7. Combined Notch and wnt signalling induces neural tissue in
animal caps. RNAse protections showing Xhox3 and NCAM are
strongly induced in the presence of both Notch ICD and Xwnt3a but
absent from uninjected caps, or caps injected with either RNA alone.
Whole stage-38 control embryonic RNA is included for comparison;
tRNA lane is a negative control.
Fig. 8. A model for tail
outgrowth in Xenopus. (A) The
NMC model for tail bud
initiation. At stage 13 three
regions, N, M and C, shown
here in a section through the
dorsal midline, come into
alignment so that the junction
of N and M overlies C. This
interaction is essential for tail
formation and is also required
for onset of expression of lfng
and Xwnt3a at stage 26.
(B) Rearrangement of N, M and
C occurs by the time of
outgrowth. By stage 26, closure
and extension of the neural tube
results in formation of the
posterior wall of the neural tube
from the lateral blastopore lips,
and movement of the N-M
junction to the tip of the tail.
(C) A mechanism for tail bud
outgrowth mediated by Notch
signalling. At around stage 26,
lfng expression begins in the dorsal roof of the neural tube. Expression terminates at the posterior of the embryo in a sharp boundary, which
slightly overlaps expression of the early genes X-Notch-1 and X-delta-1 in the posterior wall. This arrangement results in localised activation of
Notch signalling at the leading edge of the tail bud. In the presence of Xwnt3a, also turned on at stage 26 in the extreme posterior dorsal roof
and distal tip of the tail bud, this results in Xhox3 expression in the distal tip of the tail bud. Xhox3 is required at least for outgrowth of the tail,
and formation of the tail bud-derived neural tube. In addition, Xwnt3a may be required for dorsal-ventral patterning of the tail bud-derived
neural tube. (D) Summary of the expression of key genes at the time of tail outgrowth. Tailbud expression of lfng, Xwnt3a, Notch, Delta and
Xhox3 is shown in blue for comparison. Drawings are based on sections of stage-30 embryos shown in Beck and Slack (1998). cnh,
chordoneural hinge; end, endoderm; nt, neural tube; pw, posterior wall.